患者男,35岁,因胸闷、咳嗽、咳白色泡沫样痰7 d来本院急诊就诊。无既往病史。
体格检查:心率104次/min,血压140/60 mmHg(1 mmHg =0.133 kPa)。心前区可闻及3/6级连续性杂音。两下肺可闻及细湿啰音。
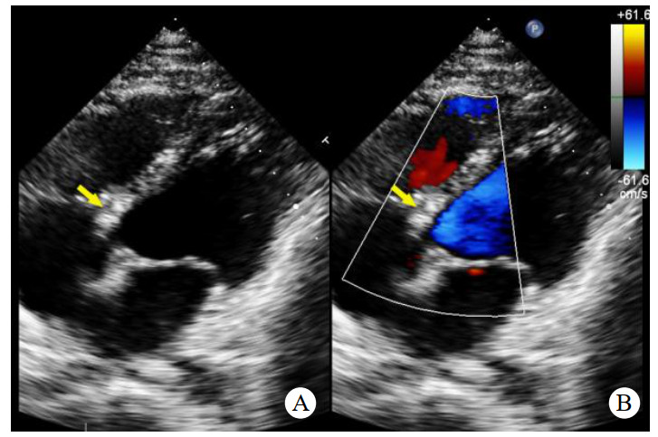
辅助检查如下。实验室检查:高敏C反应蛋白(hs-CRP)和红细胞沉降率(erythrocyte sedimentation rate, ESR)轻度升高。心电图:正常窦性心律,无ST段异常改变。胸部CT:双侧肺门中心对称分布的斑片状高密度影,部分实变,伴空气支气管征,病变边缘模糊。超声心动图:二维超声(2D)主动脉短轴切面显示右乏氏窦瘤破裂(ruptured of ASV, RASV),破入右心房形成“囊袋状”结构,长约1.7 cm,基底部破口内径约0.8 cm(图 1A)。彩色多普勒(color Doppler flow imaging, CDFI)显示全心动周期的左向右分流(图 1B)。连续多普勒(continuous doppler, CW)测得连续分流。室间隔内见4.0 cm×0.7 cm无回声区(图 2A),CDFI显示彩色血流信号随心动周期进出该无回声区(图 2B),考虑室间隔夹层瘤(dissecting aneurysm of the interventricular septum, DAIS)。实时双平面成像同步显示窦瘤破口与室间隔夹层相延续。应用Philips TrueVue三维(three-dimensional, 3D)超声心动图成像模式直观展示室间隔夹层瘤的立体结构(图 3)。
|
| 注:A为2D超声显示右乏氏窦瘤破裂(黄色箭头)突向右心房形成“囊袋状”结构;B为CDFI显示窦瘤破裂处自主动脉至右心房的左向右分流束 图 1 2D、CDFI显示主动脉短轴切面右乏氏窦瘤破裂情况 |
|
|
|
| 注:A为2D超声显示室间隔内无回声区(黄色箭头);B为CDFI显示彩色血流信号进出室间隔无回声区 图 2 2D及CDFI显示左室短轴二尖瓣水平切面室间隔夹层动脉瘤 |
|
|
|
| 图 3 3D超声显示左室短轴切面室间隔夹层动脉瘤立体结构 |
|
|
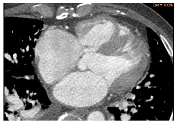
术前心脏计算机断层扫描血管造影(computed tomographyangiography, CTA)检查未能明确诊断右乏氏窦瘤破裂(图 4),这给临床医生带来一定困惑。经急诊超声心动图检查及临床医生全面评估后行右乏氏窦瘤破裂修复术和主动脉瓣成形术。取适当大小的牛心包补片,间断褥式缝合修补破口及室间隔夹层,并行主动脉瓣成形术。术中经食道超声心动图显示窦瘤破裂修补完好,分流消失,主动脉瓣瓣叶开闭良好,反流消失。术后1个月复查,二维超声心动图显示主动脉短轴切面:右乏氏窦瘤破裂修补处回声增强,连续性好;CDFI:该处分流消失。主动脉瓣瓣叶开闭正常。胸骨旁四腔心切面显示如上(图 5),室间隔回声稍不均质,室间隔夹层动脉瘤完全塌陷,未见夹层动脉瘤显示。
|
| 图 4 CTA未能明确诊断右乏氏窦瘤破裂 |
|
|
|
| 注:A为2D超声显示胸骨旁四腔心切面右乏氏窦瘤破裂修补处(黄色箭头)回声增强,连续性好;B为CDFI显示该处分流消失 图 5 2D及CDFI显示右乏氏窦瘤破裂修复术和主动脉瓣成形术后表现 |
|
|
乏氏窦瘤(aneurysm of sinus valsalva, ASV)多因主动脉中膜与纤维层融合缺陷引发[1-2],以先天性因素为主[3]。后天因素如感染性心内膜炎、结缔组织病、创伤或手术并发症等较为少见[4-5]。亚洲人ASV的发病率是西方人的五倍[6]。乏氏窦瘤破裂(ruptured of ASV,RASV)后多表现为突发心悸、胸痛、咳血[7]、完全性心脏传导阻滞[8]。在某些情况下,可导致快速进展的心力衰竭[9]、多器官功能障碍[10],甚至猝死[11]。其表现与破口位置、大小相关[12]。在日本与中国平均发病年龄27~32岁,本例患者为35岁男性,符合亚洲人群发病特征。
但本例存在两点显著特殊性,一是并发症罕见,文献中RASV多单独发生,而本例患者RASV同时撕裂室间隔膜周部,形成DAIS,国内外病例报告极少;二是首发症状非典型,本例以咳嗽、咳痰为初始症状,心电图无异常,与肺部疾病高度相似,显著增加了误诊风险。
在诊断方式的选择与鉴别上,超声心动图是RASV诊断的核心手段。二维超声可清晰显示窦瘤形态、破口大小及室间隔夹层范围,CDFI可评估RASV所引起的全心动周期血流动力学改变,观察异常分流的方向、流量及面积。实时双平面成像是一种新型的三维超声心动图技术,同步验证了RASV和DAIS的解剖关联。True Vue心内成像技术是一种独特的3D超声心动图可视化方法,在显示3D立体图像的同时,虚拟光源可以在不同方向上移动,以模拟光通过组织的传播,从而获得类似于“外科手术”视角,能直观呈现病变立体结构,为手术方案制定提供精准依据。
本例心脏CTA漏诊,分析原因包括:一是受心脏搏动、呼吸运动伪影干扰;二是检查时可能处于分流量少的心动周期实相。此外CTA存在电离辐射与过敏风险,在基层医院并非首选,临床诊断时需结合患者情况与检查优势综合选择,避免因单一检查手段导致漏诊或误诊。
治疗方面,文献明确紧急手术是控制RASV进展的关键,可有效预防心衰、猝死[11]等严重并发症,手术方式以补片修复为主,复发风险低[14]。本例患者采用牛心包补片修补+主动脉瓣成形术,术后效果与文献报道一致,进一步证实了手术干预的必要性与有效性[15]。
结合Song等[10]及Togashi等[13]的研究启示,一是非特异性症状患者需重视超声心动图的排查价值;二是术中TEE可能发现术前遗漏病变,需灵活调整手术方案。
综上所述,RASV合并室间隔夹层瘤临床罕见,非典型首发症状易致误诊。急诊超声心动图(尤其是三维技术)在病变定位、血流评估及手术指导中具有不可替代的作用,早期精准诊断联合及时手术修补是改善预后的关键。
利益冲突 所有作者声明无利益冲突
| [1] | Edwards JE, Burchell HB. The pathological anatomy of deficiencies between the aortic root and the heart, including aortic sinus aneurysms[J]. Thorax, 1957, 12(2): 125-139. DOI:10.1136/thx.12.2.125 |
| [2] | Hoey ETD, Gulati GS, Singh S, et al. The role of multi-modality imaging for sinus of Valsalva aneurysms[J]. Int J Cardiovasc Imaging, 2012, 28(7): 1725-1738. DOI:10.1007/s10554-011-0001-5 |
| [3] | Weinreich M, Yu PJ, Trost B. Sinus of Valsalva aneurysms: review of the literature and an update on management[J]. Clin Cardiol, 2015, 38(3): 185-189. DOI:10.1002/clc.22359 |
| [4] | Takahashi T, Koide T, Yamaguchi H, et al. Ehlers-Danlos syndrome with aortic regurgitation, dilation of the sinuses of Valsalva, and abnormal dermal collagen fibrils[J]. Am Heart J, 1992, 123(6): 1709-1712. DOI:10.1016/0002-8703(92)90833-h |
| [5] | Güler N, Eryonucu B, Tuncer M, et al. Aneurysm of sinus of Valsalva dissecting into interventricular septum: a late complication of aortic valve replacement[J]. Echocardiography, 2004, 21(7): 645-648. DOI:10.1111/j.0742-2822.2004.03128.x |
| [6] | Chu SH, Hung CR, How SS, et al. Ruptured aneurysms of the sinus of Valsalva in Oriental patients[J]. J Thorac Cardiovasc Surg, 1990, 99(2): 288-298. |
| [7] | Talwar S, Sen Gupta S, Jagia P, et al. Unusual presentation and rupture of left sinus of Valsalva into mitral-aortic intervalvular fibrosa[J]. J Card Surg, 2020, 35(4): 904-907. DOI:10.1111/jocs.14449 |
| [8] | Bocchino PP, Fasano R, Fortuni F, et al. Transient complete atrioventricular block due to rupture of the right sinus of Valsalva[J]. Circ Cardiovasc Imaging, 2021, 14(8): e012708. DOI:10.1161/CIRCIMAGING.121.012708 |
| [9] | Bricker AO, Avutu B, Mohammed TH, et al. Valsalva sinus aneurysms: findings at CT and MR imaging[J]. Radiographics, 2010, 30(1): 99-110. DOI:10.1148/rg.301095719 |
| [10] | Song JY, Pan XT. Multiple organ dysfunction caused by a ruptured aortic sinus aneurysm: a case report[J]. J Clin Ultrasound, 2021, 49(8): 799-802. DOI:10.1002/jcu.22991 |
| [11] | Feldman DN, Roman MJ. Aneurysms of the sinuses of Valsalva[J]. Cardiology, 2006, 106(2): 73-81. DOI:10.1159/000092635 |
| [12] | Xu B, Kocyigit D, Betancor J, et al. Sinus of Valsalva aneurysms: a state-of-the-art imaging review[J]. J Am Soc Echocardiogr, 2020, 33(3): 295-312. DOI:10.1016/j.echo.2019.11.008 |
| [13] | Togashi K, Paez FJG, Sheu RD. Sinus of Valsalva aneurysm rupture associated with a ventricular septal defect: the importance of multi-angle assessment by intraoperative transesophageal echocardiography[J]. J Cardiothorac Vasc Anesth, 2020, 34(12): 3376-3381. DOI:10.1053/j.jvca.2020.07.028 |
| [14] | Wingo M, de Angelis P, Worku BM, et al. Sinus of Valsalva aneurysm repairs: Operative technique and lessons learned[J]. J Card Surg, 2019, 34(6): 400-403. DOI:10.1111/jocs.14041 |
| [15] | Wang SX, Liu DB, Li YN, et al. Transthoracic minimally invasive closure for the treatment of ruptured sinus of Valsalva aneurysm: immediate and mid-term follow-up results[J]. J Thorac Dis, 2022, 14(1): 169-176. DOI:10.21037/jtd-22-32 |
2026, Vol. 35



