失血性休克(hemorrhagic shock,HS)通常见于外伤以及消化道溃疡等疾病所致的急性出血,导致有效循环血容量骤减,组织灌注不足,若不积极救治,常危及生命[1]。HS发生时,机体为了保障重要脏器如心、脑、肾等血供,将全身血液代偿性的重新分配,进而引起肠道缺血,肠道屏障功能受损,发生菌群移位,且复苏后常常出现肠道血管的“报复性收缩”[2],并发内毒素血症等其他病理生理变化,甚者出现多器官功能障碍综合征。
HS时细胞因子出现“瀑布样”级联反应多是因单核巨噬细胞系统被易位的细胞内毒素、炎症因子刺激所引发。炎症失控逐渐累及全身,表现为全身炎症反应综合征(systemic inflammatory response syndrome,SIRS)。在SIRS等一系列损伤中,肺脏首当其冲。早期即可发生急性肺损伤(acute lung injury,ALI),若无有效的干预措施,会迅速发展为急性呼吸窘迫综合征(acute respiratory distress syndrome,ARDS)。而早期以肺毛细血管内皮细胞损伤和功能障碍为特点的ALI,主要表现在肺组织毛细血管外液体积增,多由肺毛细血管功能障碍及通透性增加所致,与肺水肿的发生密切相关,以ALI后肺水肿为病理基础进而导致ARDS[3]。本研究以与肺水肿关联密切的肺水通道蛋白5(AQP5)、CC16蛋白为目标,检测失血性休克复苏后血浆与肺组织蛋白表达变化以及肺脏病理学变化,探讨失血性休克复苏后大鼠肺脏AQP5和CC16蛋白表达的意义。
1 材料与方法 1.1 实验动物与分组32只健康清洁级雄性Sprague-Dawley大鼠,体质量(250±20)g,由大连医科大学动物实验中心提供,适应性饲养1周,造模前12 h禁食、4 h禁水。所有操作程序由大连大学附属中山医院动物科研伦理委员会批准。动物随机(随机数字法)分为对照组和休克复苏组,每组16只;再分别按干预后12 h、24 h分为2个亚组,每组8只。
1.2 动物模型制备2%的戊巴比妥钠(1 mL/kg)腹腔注射麻醉,术区备皮、消毒,取气管右侧纵行切口,分离、暴露颈总动脉,动脉夹夹闭近心端,远端结扎,将充满肝素留置针置入动脉并固定,待血液充盈搏动良好用肝素封管。用三通管连接留置针、注射器和生理记录仪(BIOPAC公司, 美国),观察平均动脉压(mean arterial pressure, MAP)。
依次游离左侧股动脉及右侧股静脉,置入预先肝素冲管的留置针,固定妥当,左侧用于放血、右侧补液。取右侧股静脉缓慢注入肝素盐水(800 U/kg),完成全身肝素化。
对照组按上述方法做动、静脉插管并完成全身肝素化;休克复苏组按Wiggers改良法[4]制备HS大鼠模型,取左股动脉以1~1.2 mL/min速度放血,使MAP下降至40 mmHg,失血量约4~5 mL,维持MAP在40 mmHg左右1 h,然后将回收的全部血液加等体积的林格液经右股静脉快速回输,MAP平稳在100 mmHg以上视为复苏成功。
1.3 标本采集大鼠分别按复苏后12 h、24 h时间点经腹主动脉取血6 mL,其中2 mL用于测定血清内毒素含量,4 mL用于检测血浆CC16蛋白含量。动物处死后,立即取左肺测湿质量,用铝箔纸包裹,置于80 ℃干烤箱72 h后测得肺干质量,计算左肺湿/干比值。取右肺上叶于甲醛溶液瓶中固定,余下新鲜肺组织用铝箔纸包裹,液氮速冻,-80 ℃冰箱保存。
1.4 观察指标及方法 1.4.1 血清内毒素含量检测MB-80微生物快速动态检测系统(金山川科技发展有限公司, 中国)预热至37℃,录入检测信息。将2 mL血液离心(3 000 r/min,4 ℃)2 min,取上清液100 μL,加到样品处理液中,充分溶解后插入恒温仪加热区(70 ℃)10 min,然后将处理液放入冷却区降至室温,取上清液200 μL加到反应试剂中(革兰阴性菌脂多糖检测试剂盒, 金山川科技发展有限公司, 中国),摇匀至透明后移至平底试管,并立即放入检测系统内,仪器自动生成结果并保存。
1.4.2 大鼠肺脏组织病理形态学观察选取右侧肺脏组织块,于10%甲醛溶液中固定24 h,经酒精梯度脱水,常规石蜡包埋,4 μm厚度切片,贴片固定。将贴片蒸馏水中浸泡1 min,苏木精染色5 min,水洗5 s,然后伊红染色30 s,使用增色液冲洗2次,封片留观察。
1.4.3 酶联免疫法检测大鼠血浆CC16及肺组织AQP5蛋白大鼠血浆CC16蛋白:将上述采集的4 ml血液离心(3 000 r/min、4 ℃)30 min,取血浆,分装标注,待酶联免疫法检测。大鼠肺AQP5蛋白:将新鲜肺组织称重后,加入其9倍量的冷生理盐水,制成10%的组织匀浆,离心(3 000 r/min、4 ℃)15~20 min,取上清液,分装标注,待酶联免疫法检测。酶联免疫法检测步骤按所购试剂盒说明书进行(ELISA试剂盒均购自中国抚生实业有限公司)。
1.4.4 大鼠肺脏CC16及AQP5免疫组织化学及评分免疫组织化学方法按所购抗体试剂盒说明书进行(免疫组织化学试剂盒均购自中国抚生实业有限公司)。采用免疫反应计分法行免疫组织化学评分,在40倍下对组织进行评分。评分标准:按照阳性细胞百分数比分:①无细胞染色为0分;②1%~10%的细胞染色为1分;③11%~50%的细胞染色为2分;④51%~80%的细胞染色为3分;⑤;81%~100%的细胞染色为4分。按照阳性细胞染色强度分级:①阴性0分;②弱阳性1分;③中等阳性2分;④强阳性3分。符合要求的阳性细胞百分数比和阳性细胞染色强度分级相乘,分数范围从0到12,其中0分表示阴性,1~4为1分表示弱阳性,5~8为2分表示中度阳性,9~12为3分表示强阳性免疫反应。
1.5 统计学方法采用SPSS 22.0软件进行数据处理。计量资料采用均数±标准差(x±s)表示,以单因素方差分析进行显著性分析,以P < 0.05为差异具有统计学意义。
2 结果 2.1 血清内毒素含量休克复苏组高于对照组,比较有统计学意义(P < 0.01);休克复苏组内,24 h高于12 h(P < 0.05),见表 1。
| 组别 | 12 h | 24 h |
| 对照组 | 12.37±1.44 | 12.69±1.32 |
| 休克复苏组 | 17.62±2.15a | 20.04±2.77ab |
| 注:休克复苏组与对照组比较,aP<0.01;休克复苏组24 h与12 h比较,bP<0.05 | ||
休克复苏组肺W/D值较对照组升高(P < 0.05);休克复苏组内,24 h高于12 h(P < 0.05),说明肺组织含水量高,肺水肿严重,且随时间加重,见表 2。
| 组别 | 12 h | 24 h |
| 对照组 | 4.44±0.16 | 4.50±0.24 |
| 休克复苏组 | 5.31±0.33a | 6.09±0.26ab |
| 注:休克复苏组与对照组比较,aP < 0.05;休克复苏组24 h与12 h比较,bP < 0.05 | ||
与对照组比较,休克复苏组血浆中CC16含量明显升高(P < 0.05);休克复苏组内,24 h高于12 h(P < 0.05),见表 3。
| 组别 | 12 h | 24 h |
| 对照组 | 21.29±2.48 | 22.20±1.68 |
| 休克复苏组 | 38.95±1.33a | 45.68±1.09ab |
| 注:休克复苏组与对照组比较,aP < 0.05;休克复苏组24 h与12 h比较,bP < 0.05 | ||
与对照组比较, 休克复苏组肺组织中AQP5含量降低(P < 0.05);休克复苏组内,24 h低于12 h(P < 0.05),见表 4。
| 组别 | 12 h | 24 h |
| 对照组 | 15.81±0.62 | 15.65±0.68 |
| 休克复苏组 | 7.38±0.46a | 6.68±0.59ab |
| 注:休克复苏组与对照组比较,aP < 0.05;休克复苏组24 h与12 h比较,bP < 0.05 | ||
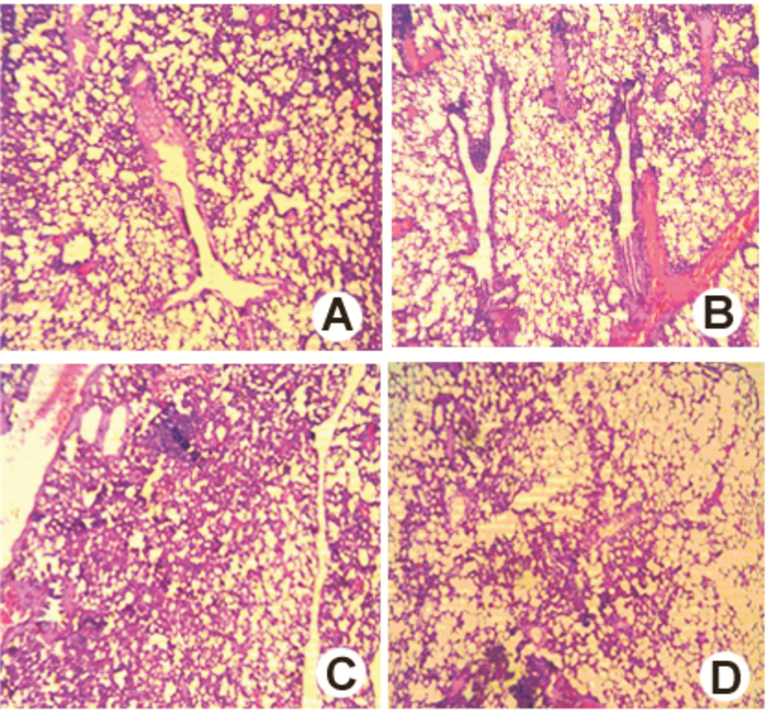
休克复苏组肺泡内看到大量炎性渗出,淋巴滤泡形成,肺间质水肿,毛细血管充血,肺泡间隔增宽,炎性细胞浸润,而对照组肺泡结构清晰完整,肺泡囊清晰,肺泡间隔正常,见图 1。
|
| A:对照组12 h;B:休克复苏组12 h;C:对照组24 h;D:休克复苏组24 h 图 1 大鼠肺脏HE染色图像(×200) Figure 1 Hislogogical observation of lung tissue with HE staining(×200) |
|
|
在肺脏细胞浆呈棕黄色为CC16蛋白阳性染色。与休克复苏组比较,对照组染色呈强阳性,差异有统计学意义(P < 0.05)。见图 2~3。
|
| A:对照组12 h;B:休克复苏组12 h;C:对照组24 h;D:休克复苏组24 h 图 2 肺脏克拉拉细胞蛋白(CC16)免疫组织化学染色(×400) Figure 2 Immunohistochemical staining of lung tissue Clara cell protein (CC16) (×400) |
|
|
|
| 休克复苏组与对照组比较,aP < 0.05 图 3 各组大鼠肺脏克拉拉细胞蛋白(CC16)免疫组织化学评分 Figure 3 Immunohistochemical score for CC16 in each group |
|
|
在肺脏细胞浆呈棕黄色为AQP5阳性染色。与休克复苏组比较,对照组染色呈强阳性,差异有统计学意义(P < 0.05)。见图 4~5。
|
| A:对照组12 h;B:休克复苏组12 h;C:对照组24 h;D:休克复苏组24 h 图 4 肺脏水通道蛋白5(AQP5)免疫组织化学染色(×400) Figure 4 Immunohistochemical staining of lung tissue AQP5(×400) |
|
|
|
| 休克复苏组与对照组比较,aP < 0.05 图 5 各组大鼠肺脏AQP5免疫组织化学评分 Figure 5 Immunohistochemical score for AQP5 in each group |
|
|
水通道蛋白(aquaporins,AQPs)家族是一组高效选择性转运水分子的特异通道,分为能够特异性的透过水分子的传统水通道,和不仅对水特异通透,且选择性的通过一些小分子如甘油的甘油水通道。AQP5是相对分子质量为27 000的蛋白,由265个氨基酸组成,功能主要是参与水的转运和参与腺体的分泌,Ⅰ型肺泡上皮细胞中可以发现其大量表达[5],而Ⅰ型肺泡上皮细胞是肺泡主要的上皮细胞,也是完成气体交换的主要场所,对肺泡毛细血管水平衡起主要作用。在肺泡内AQPs、Na+-K+-ATP酶、肺泡上皮钠通道和非选择性阳离子通道等与液体清除有关[6]。将小鼠的AQP5基因敲除后,其肺泡上皮对水的通透性约下降10倍[7]。无论什么原因引起的ALI均表现出不同程度的AQPs数量的减少和活性的降低[8]。AQPs参与调节内皮细胞渗透性和屏障功能,对肺泡-毛细血管膜的屏障功能的维持具有保护作用[9]。
Clara细胞分泌的CC16蛋白,是气道分泌的最丰富的蛋白之一[10],具有抗炎、调节免疫、抗氧化等作用[11]。有研究表明CC16基因敲除后的小鼠接受病毒或抗原刺激后炎症反应相比于野生型小鼠更强烈,而在给予人重组CC16后,炎症得到控制,表现出一定程度的抑制作用。在模拟内毒素所致的ALI模型中,发现大鼠肺组织匀浆中CC16蛋白及其mRNA水平在静脉注射内毒素后开始逐渐下降,但随着二者水平的回升,肺损伤程度也得到明显恢复。现有研究表明,CC16蛋白可直接抑制多种炎性介质的生成,阻止炎症联级反应进程,抑制炎症的发生。
本研究发现失血性休克复苏后血浆内毒素含量增高,且随时间推移递增,符合既往的研究[12],休克后肠道屏障功能受损导致细菌移位引发内毒素血症,进而引发全身炎症反应,导致急性肺损伤;休克复苏后大鼠W/D值明显增大,且24 h高于12 h,说明失血性休克复苏后肺间质水肿,并随时间推移水肿程度加重,上述结果与肺组织病理形态学观察一致;失血性休克复苏后肺组织中AQP5含量随时间进行性降低,说明失血性休克复苏后肺间质水肿与AQP5表达下调有关,而AQP5的表达下调可能与HS复苏后易位的细胞内毒素、炎症因子刺激所引发细胞因子出现“瀑布样”级联反应所致;研究报道在ALI模型中大鼠肺组织匀浆中CC16蛋白下降,与本实验的免疫组织化学结果相符,而休克后肺组织中CC16蛋白下降的机制尚不确切。在细胞内毒素、炎症因子等刺激下大鼠支气管肺泡膜与毛细血管屏障发生损伤[13],因此推测休克复苏后肺组织中CC16蛋白含量降低可能与全身炎症反应导致肺毛细血管通透性增高CC16释放入血所致。本研究选择检测血清中CC16蛋白含量来进一步验证。确实发现休克复苏后血浆中CC16蛋白含量随时间进行性增多,说明休克复苏后大鼠支气管肺泡膜与毛细血管屏障受损,CC16随着浓度差由细胞上皮衬液进入外周血中,导致肺脏CC16分泌减少,从而加重了ALI的程度,同时也提示通过检测血清CC16含量可间接反映急性肺损伤的程度。
| [1] | Spinella PC, Perkins JG, Cap AP. Lessons learned for the resuscitation of traumatic hemorrhagic shock[J]. US Army Med Dep J, 2016(2-16): 37-42. |
| [2] | Lu XG, Kang X, Zhan LB, et al. Dai Huang Fu Zi Tang could ameliorate intestinal injury in a rat model of hemorrhagic shock by regulating intestinal blood flow and intestinal expression of p-VASP and ZO-1[J]. BMC Complement Altern Med, 2014, 14(1): 80. DOI:10.1186/1472-6882-14-80 |
| [3] | 靳丽妍, 朱光发. 急性肺损伤/急性呼吸窘迫综合征与炎症因子关系的研究[J]. 临床肺科杂志, 2010, 15(7): 1004-1005. DOI:10.3969/j.issn.1009-6663.2010.07.049 |
| [4] | Shi HP, Deitch EA, Lu Q, et al. Hypertonic saline improves intestinal mucosa barrier function and lung injury after trama-hemorrhagic shock[J]. Shock, 2002, 17: 496-501. DOI:10.1097/00024382-200206000-00010 |
| [5] | 祁峰, 徐志华, 李峰, 等. ARDS患者血管外肺水与肺顺应性相关性研究[J]. 中华急诊医学杂志, 2015, 24(3): 263-266. DOI:10.3760/cma.j.issn.1671-0282.2015.03.007 |
| [6] | Sartori C, Rimoldi SF, Scherrer U. Lung fluid movements in hypoxia[J]. Prog Cardiovasc Dis, 2010, 52(6): 493-499. DOI:10.1016/j.pcad.2010.02.005 |
| [7] | Almeida C, Nagarajan D, Tian J, et al. The role of alveolar epithelium in radiation-induced lung injury[J]. PLoS One, 2013, 8(1): e53628. DOI:10.1371/journal.pone.0053628 |
| [8] | Beitz E, Golldack A, Rothert M, et al. Challenges and achievements in the therapeutic modulation of aquaporin functionality[J]. Pharmacology & Therapeutics, 2015, 11(155): 22-35. DOI:10.1016/j.pharmthera.2015.08.002 |
| [9] | Gao C, Tang J, Li R, et al. Specific inhibition of AQP1 water channels in human pulmonary microvascular endothelial cells by small interfering RNAs[J]. J Trauma Acute Care Surg, 2012, 72(1): 150-161. DOI:10.1097/TA.0b013e318230e25d |
| [10] | Casey M, Manning, Carl J, et al. Exacerbation of lung radiation injury by viral infection:The role of clara cells and clara cell secretory protein[J]. Radiat res, 2013, 179(6): 617-629. DOI:10.1667/RR3279.1 |
| [11] | Briana DD, Gourgiotis D, Boutsikou M, et al. Clara cell protein in fulltern pregnancies: the influence of intrauterine growth restriction[J]. Pediatr Pulmonol, 2010, 45(12): 1186-1191. DOI:10.1002/ppul.21305 |
| [12] | Lu XG, Kang X, Zhou FQ, et al. Effects of pyruvate-enriched peritoneal dialysis solution on intestinal barrier in peritoneal resuscitation from hemorrhagic shock in rats[J]. J Surg Res, 2015, 193(1): 368-376. DOI:10.1016/j.jss.2014.06.053 |
| [13] | 路小光, 康新, 战丽彬, 等. 大黄附子汤对重症急性胰腺炎肺损伤大鼠肺泡上皮屏障功能的影响[J]. 中华急诊医学杂志, 2011, 20(2): 151-155. DOI:10.3760/cma.j.issn.1671-0282.2011.02.010 |
2017, Vol. 26



