急性心肌梗死是冠状动脉急性、持续性缺血缺氧而引起心肌坏死的病症,可并发心律失常、休克等症状,常危及生命。急诊经皮冠状动脉介入治疗是急性ST段抬高心肌梗死最主要的治疗措施。但经皮冠状动脉介入治疗不完全、操作困难或失败的情况下,行主动脉内囊反搏、急诊心脏不停跳搭桥或心脏“杂交手术”是最有效的补救方法。现将甘肃省心血管病研究所应用综合方法成功治疗一例难治性心肌梗死患者, 现报道如下。
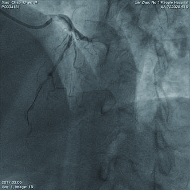
1 资料与方法患者,男性,62岁。曾因“反复胸闷、胸前区疼痛5月余”,就诊于当地医院。患者在住院期间病情加重,于2017年3月6日14:00以急性心肌梗死急诊转入甘肃省心血管病研究所。查体:血压88/45 mmHg,心率69次/min,双肺底部可听及中等量湿性啰音,心音低钝,心脏瓣膜听诊区未闻及病理性杂音,心电图异常,ST-T改变,提示前壁心肌梗死。抽血化验,立即送入导管室行紧急经皮冠状动脉介入治疗。冠脉造影提示:左前降支6段以后100%闭塞,前向TIMI血流0级,左回旋支100%阻塞,前向TIMI血流0级,右冠状动脉(RCA)2段60%狭窄,内膜不光整,前向TIMI血流2级(图 1)。
|
| 图 1 经皮冠状动脉介入治疗前左前降支与回旋支均完全堵塞,心肌梗死溶栓治疗血流0级 |
|
|
拟行左前降支及左回旋支经皮冠状动脉介入治疗,左前降支通过导丝,以1.5 mm×1.5 mm球囊反复扩张左前降支6段狭窄段(分别以10、12、14 atm压力扩张),扩张程度不满意,遂注入尿激酶50万单位, 行经皮冠状动脉内溶栓(PTCR),10 min后造影示左前降支及左回旋支远端可见细小血流(图 2),欲继续经皮冠状动脉介入治疗,但患者心率增快(170次/min),血压下降(60/40mmHg)急转至重症医学科抢救。
|
| 图 2 左前降支狭窄处球囊扩张后可见血流通过 |
|
|
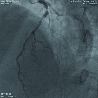
转入重症医学科后18:30行主动脉内球囊反搏,1:1反搏启动,正肾、副肾、多巴安及硝酸甘油微量泵辅助,因呼吸急促(35次/min),氧饱和度下降(80%),19:40呼吸机辅助呼吸。3月15日撤呼吸机,3月17日撤主动脉内囊反搏(IABP)。脱机后冠脉造影示:左前降支及左回旋支远端血流明显好转(图 3)。于3月24日行心脏不停跳冠状动脉搭桥术(OPCAB),左侧乳内动脉→左前降支(LIMA→LAD),升主动脉→大隐静脉→回旋支(AAO→SVG→CX)。术后11 d康复出院。
|
| 图 3 主动脉内球囊反搏11 d后左前降支血流明显好转 |
|
|
主动脉内囊反博(IABP)法对治疗危重心脏病有特殊疗效,合理地使用主动脉内囊反博, 可使急性心肌梗死患者的抢救成功率明显提高[1]。对于急性心肌梗死伴休克需要急诊经皮冠状动脉介入治疗者, 主动脉内囊反博的时机在经皮冠状动脉介入治疗前,还是经皮冠状动脉介入治疗后,应视患者病情而定。目前急诊经皮冠状动脉介入治疗仍是开通梗塞冠脉血管的最直接和最有效的手段[2],但当急诊经皮冠状动脉介入治疗操作困难或失败时,急性心肌梗死的病死率就大为增加,此时应根据患者情况决定下一步处理方法。如本例患者经皮冠状动脉球囊扩张及经皮冠状动脉内溶栓后罪犯血管有血流通过,但患者休克加重,此时采用主动脉内囊反博可能较为稳妥,如继续经皮冠状动脉介入治疗可能会有较大风险。
如急诊经皮冠状动脉介入治疗不完全或失败,急诊心脏不停跳冠脉搭桥术或心脏“杂交手术”是最有效的补救方法之一[3],可提高急性心肌梗死的抢救成功率[4]。心脏“杂交手术”具有创伤小、恢复快、中远期疗效满意的优点,“分站式”心脏杂交技术[5],体现了“先救急,后根治”的抢救急性心肌梗死的原则,如本例患者先经皮冠状动脉介入治疗和采用主动脉内囊反博联合治疗,待病情稳定后再采用心脏不停跳冠脉搭桥术处理其他严重狭窄的血管。
心脏“杂交手术”,就是微创冠状动脉搭桥与经皮冠状动脉介入治疗结合治疗冠心病多支血管病变的方法[6],其优点是既保留了冠状动脉搭桥手术乳内动脉-前降支旁路移植的益处,又发挥了经皮冠状动脉介入治疗处理其他冠状动脉病变创伤小的特点,为患者创造最大的临床获益。杂交手术治疗急性心肌梗死,尤其在罪犯血管是左前降支、在经皮冠状动脉介入治疗失败的情况下,采用同期其他狭窄冠脉经皮冠状动脉介入治疗加罪犯血管微创冠状动脉搭桥的“一站式心脏杂交手术”,有效达到了梗死区域的心肌再灌注,降低了急性心肌梗死患者的病死率。“一站式”心脏杂交手术治疗急性心肌梗死:对罪犯血管是左前降支,经皮冠状动脉介入治疗失败,其他冠脉支又有严重狭窄的情况,严重狭窄的其他冠脉支行经皮冠状动脉介入治疗,前降支行急诊微创冠脉搭桥的手术方法。“分站式”心脏杂交技术,体现了“先救急,后根治”的抢救急性心肌梗死的原则,如本例患者先经皮冠状动脉介入治疗及主动脉内囊反博,待病情稳定后再采用心脏不停跳冠脉搭桥术处理其他严重狭窄的血管,既安全又可靠。左侧乳内动脉与左前降支旁路移植被认为是冠状动脉再血管化的金标准,具有长期效果好的优点。介入导管、移植静脉等均不能达到这一治疗效果。杂交技术同时结合了介入和外科治疗的优势,为多支血管病变的冠心病患者提供了新的治疗途径,也为急性心肌梗死的抢救开辟了另一条途径。
| [1] | 魏立, 项美香, LinsM. 主动脉内球囊反搏在急性心肌梗死并发心源性休克中的应用[J]. 中华急诊医学杂志, 2002, 11(6): 389-391. |
| [2] | 王勇, 刘晓飞, 李宪伦, 等. 急诊经皮冠状动脉介入治疗急性心肌梗死死亡原因分析[J]. 中华急诊医学杂志, 2006, 15(10): 876-878. DOI:10.3760/j.issn:1671-0282.2006.10.004 |
| [3] | Hirose H, Amano A, Yoshidas, et al. Surgical management of unstable patients in the evolving phase of acute myocardial infraction[J]. Ann Thorac Surg, 2000, 69(2): 425-428. DOI:10.1016/S0003-4975(99)01296-5 |
| [4] | 郑叙锋, 孔烨, 谢静, 等. 急诊心脏不停跳冠状动脉搭桥术7例分析[J]. 军医进修学院学报, 2012, 33(2): 163-164. |
| [5] | 谢静, 王延震, 李炯, 等. "杂交手术"治疗急性心肌梗死6例[J]. 中华急诊医学杂志, 2016, 25(2): 227-229. DOI:10.3760/cma.j.issn.1671-0282.2016.02.018 |
| [6] | Byrne JG, Leacche M, Vaughan DE, et al. Hybrid cardiovascular procedures[J]. JACC Cardiovasc Interv, 2008, 1(5): 459-468. DOI:10.1016/j.jcin.2008.07.002 |
2018, Vol. 27



