2017年5月7日晚浙江大学医学院附属第二医院急诊科接诊一例因误吸氯气导致急性呼吸窘迫综合征(ARDS)的患者使用经鼻高流量氧疗(HFNC)进行氧疗,患者呼吸窘迫症状逐渐缓解,并成功使患者避免气管插管、机械通气并痊愈出院; 笔者就经鼻导管湿化高流量吸氧在该患者的应用进行回顾,结合文献对诊疗过程进行分析,以期总结经验,并讨论HFNC技术在该类患者中的应用价值。
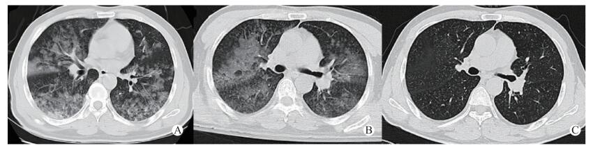
1 资料与方法患者,男,45岁。因“吸入氯气后胸闷气急伴视物模糊9 h”于2017年5月7日晚8时入我院急诊。患者9 h前家务劳动时不慎吸入氯气,当时稍有胸闷气急,伴视物模糊,流泪不止,用大量清水冲洗眼部,未做特殊处理; 后患者胸闷气急症状逐渐加重,伴有咳嗽,无胸痛,来我院急诊就诊。查体:T 37℃,BP 145/89 mmHg(1 mmHg=0.133 kPa),HR 121次/min,RR 28次/min,急诊室测患者未吸氧情况下氧饱和度为70%,神志清,两肺可及少许湿啰音,腹软,无压痛、反跳痛、肌紧张。立即予储氧面罩吸氧后氧饱和度维持在90%~95%左右,急诊血气分析提示, pH 7.37,PO2 68.4 mmHg, PCO2 44.3 mmHg, BE -2.57 mmol/L, SB 22.3 mmol/L。查胸部CT(图 1A)提示,两肺广泛斑片状影; 其余血检查基本正常。初步诊断:1.氯气中毒; 2.急性呼吸窘迫综合征,为进一步治疗收住急诊ICU病房。
|
| 图 1 患者入院2 h(A)、第3天(B)及第5天(C)胸部CT变化 |
|
|
入我科急诊ICU后予继续给予储氧面罩吸氧,氧饱和度仅能维持在90%~92%,RR:35次/min,HR:135次/min; 患者自诉胸闷气急症状不能缓解,呈端坐位呼吸。与家属充分沟通后改为经鼻高流量吸氧治疗:初始吸入氧体积分数70%, 氧流量50 L/min; 同时给予甲强龙80 mg静滴,沐舒坦化痰及雾化吸入等对症治疗,患者氧饱和度逐渐上升至98%~100%,并自诉胸闷气急症状明显缓解,可平卧。使用高流量氧疗1 h后复查血气分析:pH 7.38,PO2 88.4 mmHg,PCO2 23 mmHg, BE-1.36 mmol/L, SB 23.3 mmol/L; 后患者病情逐渐稳定,氧饱和度维持在95%~99%,仍稍有胸闷气急症状,有咳嗽咳痰,痰容易咳出。3 d后复查胸部CT提示(图 1B):两肺斑片影较前吸收,经鼻高流量吸氧治疗模式调整为:吸入氧体积分数40%, 氧流量30 L/min。患者氧饱和度基本维持在96%以上,胸闷气急症状基本消失,仍稍有咳嗽,无咳痰,入监护室5 d后患者病情好转后转入普通病房,改为普通鼻导管吸氧治疗,7 d后再次复查胸部CT提示(图 1C),肺部斑片状影基本吸收,患者无明显不适主诉,予出院并嘱其定期复查胸部CT。
2 讨论急性氯气中毒是吸入氯气所致的急性呼吸系统损伤为主的疾病。氯气是很重要的工业原料,很多化学物质成分中均含有氯,如饮用水消毒常用的消毒剂、某些药物、化学纤维或塑料等都需要氯做原料,家用漂白水等物质也含有氯气,不慎使用可能会导致误吸中毒。肺损伤与吸入浓度有关,氯气的许可浓度为1.015~2.900 mg/m2。氯气为强氧化剂,吸入呼吸道后即溶于呼吸道黏液水分中,产生盐酸和次氯酸。次氯酸可进一步分解为氯化氢和新生态氧,盐酸对黏膜有灼伤和刺激作用, 新生态氧对组织有强烈氧化作用[1]。急性轻症患者表现为化学性支气管炎或支气管周围炎,较重者表现为化学性支气管肺炎、间质性肺水肿。国内外报道严重的氯气中毒导致的呼吸衰竭往往需要气管插管机械通气治疗,但机械通气过程中会造成呼吸道、肺泡的二次损伤及呼吸机相关性肺炎的发生,大大增加患者医疗时间及经济成本[2]。HFNC装置是对传统吸氧装置的革新,它的最大氧流量可达到40~60 L/min,在人体体温37 ℃下可达到100%湿化效果,患者闭嘴呼吸时拥有呼吸末正压效应(PEEP功能)[3-4]。国外多项多中心临床试验已证实HFNC可以降低早期ARDS患者的气管插管率,改善患者的氧合水平; 对于ICU的急性呼吸衰竭患者中可以减少气管插管率及降低病死率。对于术后呼吸衰竭治疗效果,与普通吸氧或无创呼吸机比较,可以降低术后拔管患者的再插管率,改善患者预后[5-7]。HFNC拥有PEEP效应,可以降低PaCO2,研究报道已证明可以在慢性阻塞性肺疾病急性加重期(AECOPD), 急性左心衰以及不明原因的呼吸衰竭上应用,可以丰富急诊室呼吸衰竭患者的吸氧治疗手段,并可能带来预料之外的效果[8-9]。该病例为使用HFNC治疗氯气中毒引起的ARDS国内罕见报道。患者在使用经鼻高流量氧疗后在改善氧合指数及吸氧治疗舒适度上较普通吸氧模式有明显优势,HFNC拥有的稳定氧流量、氧体积分数及PEEP效应在治疗早期ARDS有显著的效果,避免了患者气管插管行机械通气以及机械通气带来的一系列并发症,从而减少了患者住院治疗时间及经济费用; 为急诊科气体中毒引起的ARDS患者的呼吸治疗提供了新思路。
| [1] | 吴国荣, 祁春雷. 急性氯气中毒28例救治体会[J]. 中国呼吸与危重监护杂志, 2004, 3(5): 323-323. DOI:10.3969/j.issn.1671-6205.2004.05.025 |
| [2] | Endrizzi J, Nobay F, Wiegand T, et al. Bronchoscopic findings associated with inhaled chlorine toxicity[J]. J Emerg Med, 2015, 49(4): e123-125. DOI:10.1016/j.jemermed.2015.04.022 |
| [3] | Roca O, Riera J, Torres F, et al. High-flow oxygen therapy in acute respiratory failure[J]. Respir Care, 2010, 55(4): 408-413. |
| [4] | Frizzola M, Miller TL, Rodriguez ME, et al. High-flow nasal cannula: impact on oxygenation and ventilation in an acute lung injury model[J]. Pediatr Pulmonol, 2011, 46(1): 67-74. DOI:10.1002/ppul.21326 |
| [5] | Frat J-P, Brugiere B, Ragot S, et al. Sequential application of oxygen therapy via high-flow nasal cannula and noninvasive ventilation in acute respiratory failure: an observational pilot study[J]. Respir Care, 2015, 60(2): 170-178. DOI:10.4187/respcare.03075 |
| [6] | Frat J-P, Thille AW, Mercat A, et al. High-flow oxygen through nasal cannula in acute hypoxemic respiratory failure[J]. N Engl J Med, 2015, 372(23): 2185-2196. DOI:10.1056/NEJMoa1503326 |
| [7] | Hernández G, Vaquero C, González P, et al. Effect of postextubation high-flow nasal cannula vs conventional oxygen therapy on reintubation in low-risk patients: a randomized clinical trial[J]. JAMA, 2016, 315(13): 1354-1361. DOI:10.1001/jama.2016.2711 |
| [8] | Lenglet H, Sztrymf B, Leroy C, et al. Humidified high flow nasal oxygen during respiratory failure in the emergency department: feasibility and efficacy[J]. Respir Care, 2012, 57(11): 1873-1878. DOI:10.4187/respcare.01575 |
| [9] | Sztrymf B, Messika J, Bertrand F, et al. Beneficial effects of humidified high flow nasal oxygen in critical care patients: a prospective pilot study[J]. Intensive Care Med, 2011, 37(11): 1780-1786. DOI:10.1007/s00134-011-2354-6 |
2018, Vol. 27



