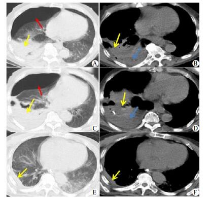
患者,男性,73岁,因“突发左侧肢体功能障碍伴言语不清3 h”于2017年12月16日入住神经外科,结合CT(图 1A 、B )诊断为:右侧基底节脑出血,左下肺炎症。患者饮水试验阳性,为行肠内营养,予留置鼻胃管,过程顺利,上腹闻及气过水声后间断推注150 mL食糜,后出现呛咳,呼吸困难。经家属要求后拨除胃管,胃管尖端可见明显血迹。胸部CT提示右侧气胸(压缩60%),右肺下叶感染,胸腔积液。考虑胃管误入肺引起液气胸。予胸腔闭式引流及抗感染治疗,10 d后因反复高热、呼吸困难及氧合下降转入ICU。查体:T 39.8℃,P 114次/min,R 35次/min,BP 195/104 mmHg(1mmHg=0.133kPa),SPO2 89%(储氧面罩),GCS评分为7分(2+2+3),点头样呼吸,右下肺闻及明显痰鸣音及湿啰音。右侧胸腔闭式引流管大量气泡溢出及少量黄色胸水。胸水常规:深黄混浊,白细胞4+/HP,蛋白定性阳性。胸水生化:总蛋白45.4 g/L,白蛋白25.2 g/L,LDH 10 305 U/L(50~250 U/L),CRP 65.8 mg/L(0~8 mg/L)。胸水涂片见革兰阴性(G-)杆菌。血常规WBC 22.81×109/L(4.0~10×109/L),N 94.2%(50%~70%); 血CRP 176.06 mg/L(0~8 mg/L),降钙素原1.12 ng/mL(0~0.25 ng/mL)。血气分析:pH 7.25,PaO2 53.7 mmHg,PaCO2 42.7 mmHg,SaO2 81.6%,血乳酸2.6 mmol/L。复查胸部CT示:右肺压缩60%,胸腔积液较前增多(图C、D)。诊断:右侧气胸合并脓胸,Ⅰ型呼吸衰竭。予气管插管,机械通气,B超引导下反复多点穿刺抽脓,并改粗管引流,胸腔冲洗,亚胺培南/西司他丁钠(泰能)联合利奈唑胺(斯沃)抗感染,鼻肠管肠内营养支持。患者入ICU第48天脱机成功。复查胸部CT气胸完全吸收,感染灶明显吸收好转(图E、F),后转普通病房。
|
| 入院2 d:右肺压缩约60%(红色箭头所指为气胸),右肺下叶感染灶(黄色箭头所指为感染灶),右侧少量胸腔积液(蓝色箭头所指为胸水)(图A和B)。入院10 d:右肺压缩约60%(红色箭头所指为气胸),积液较前明显增多(蓝色箭头所指为胸水)(图C和D)。入ICU 48 d:气胸吸收,感染灶明显吸收好转(图E和F,箭头所指为感染灶) 图 1 胸部CT动态变化 |
|
|
讨论 有文献报道,留置鼻胃管气道错位发生率为3.2%,气胸发生率为1.2%[1]。盲置鼻胃管发生并发症的危险因素包括医护人员操作不熟练、患者存在意识障碍,气管插管,吞咽咳嗽反射障碍,鼻、咽、消化道解剖结构异常等。该患者胃管穿破胸膜发生气胸以及脓胸的相关因素有:⑴脑卒中后咽反射及咳嗽反射下降。⑵卒中后不能正常表诉自身的不适,客观上易引起判断失误。⑶医护人员对鼻胃管位置判断失误、不合理的肠内营养时机及对留置鼻胃管医源性并发症的认识不足。国内目前常用判断留置胃管成功的方法有抽吸胃液法、胃管注气听气过水声以及胃管末端置于水中看是否有气泡溢出三种, 但均有其局限性。仅凭鼻胃管注气听气过水声判断胃管位置的错位率在20%左右,国外多数指南已不推荐。而公认的金标准为X线检查,但也存在需有资格的放射科医生解读,同时存在辐射、不及时性等问题。目前被国外指南所推荐且较X线更安全、方便的方法为抽吸胃液测pH值,如pH小于5一般提示在胃腔内。超声对鼻胃管位置判断具有简单、快速、准确的特点,随着床边超声的应用,其越来越多的应用于危重昏迷患者。该例患者在ICU治疗时间近2个月,教训深刻。鉴于鼻胃管异位可造成严重并发症以及常用鼻胃管位置判断方法的局限性,在临床工作中需严格遵循留置鼻胃管操作流程; 针对存在如意识障碍、高龄、吞咽咳嗽反射障碍、不能正常表述等高危因素的患者,甚至是所有患者,建议通过抽吸胃液测pH或影像学(X线、超声)检查确认在位后,方能鼻饲肠内营养。
2018, Vol. 27



