2 上海安泰医院 200082
重型颅脑损伤和严重脑出血患者的存活率明显提高。部分存活患者处于严重意识障碍状态,对家庭和社会带来极大的负担;特别是植物状态患者,常合并不同程度的脑积水。其脑室扩大,可能是脑损伤本身引起的脑组织减少和萎缩,也可能是由不同程度脑积水所致。如何鉴别脑室扩大的两种因素,从而精准治疗脑积水、改善患者的意识水平仍非常困难。本研究就4例持续植物状态合并脑积水患者经精准治疗脑积水后恢复意识的病例报道如下。
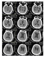
1 资料与方法病例1, 女,24岁,2015年12月以“脑干出血破入脑室术后1年,脑积水V-P分流术后”入院。入院时为植物状态,GCS 8分,双瞳孔3.0 mm, 对光反应灵敏,双侧巴氏征阳性;V-P分流调压阀压力为1.0(Medtronic, Minnesota, USA),储液囊外接引流管,压力为外耳道连线上方10 cmH2O (1 cnH2O = 0.098 kPa)。诊断为:脑干出血术后、脑积水、永久性植物状态(图 1)。
|
| A:2014年12月2日CT;B: 2015年12月8日入院CT,分流压力为1.0 图 1 病例1 CT |
|
|
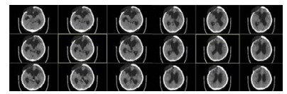
将分流管压力降为0.5后的第6天,该患者复查头颅CT和意识水平均无明显改变;后经分流储液囊穿刺脑脊液外引流,每日引流量150 mL,持续10 d,仍无明显改变。再将脑脊液外引流量增至300 mL/d,患者行为学稍有变化,开始出现刺激后头部转动、手部摸索活动,眼球能视觉追踪。复查头颅CT示脑室形态略缩小。因此,在此基础上再次手术将分流管由原来的抗虹吸可调压管更换为非抗虹吸可调压管,压力设为1.0。患者意识水平进一步改善,术后第4天复查CT示脑室较前缩小(图 2),其大小形态接近正常。随访一年,患者生活能自理,E-GOS 5分。
|
| 图 2 病例1更换分流管后第4天头颅CT |
|
|
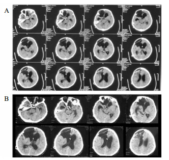
病例2,女,60岁,2017年10月以“动脉瘤夹闭和脑内血肿清除术后6个月,意识进行性下降2个月余“入院。入院时植物状态;查体:GCS 8分,双瞳孔3.0 mm,对光反应灵敏,双侧病理征阴性。右侧额颞部颅骨缺损大。入院头颅CT示脑室扩大。诊断为:右前交通动脉瘤术后、脑积水、头皮下积液、右额颅骨缺损、持续性植物状态(图 3)。
|
| 右侧额颞部颅骨缺损7 cm×9 cm,双侧脑室和三脑室扩大 图 3 2017年10月12日病例2的CT |
|
|
入院后于2017年10月30日行“颅骨修补+V-P分流术”。术后将分流管压力逐步调至0.5。患者术后意识无明显改善,复查CT示脑室仍显著扩大。观察2周后病情同前,遂将储液囊外接引流,每日引流量约200 mL,持续3 d,未见行为学及影像学明显变化。加大引流至每日300 mL,持续3 d后,患者自主睁眼增多;引流量增至每天400 mL左右,患者能呼唤下睁眼和视觉追踪。而停止脑脊液外引流后,患者则退步到引流前水平。决定通过按压储液囊促进脑脊液引流(按压600次/d),持续10 d后,睁眼时间延长但仍无意识。考虑到患者意识水平和引流量明显相关,增加按压储液囊频率至1 500次/d,患者又能呼唤睁眼,但CT未见脑室明显缩小。随后增加按压至2 000次/d时,偶尔能出现遵嘱活动,复查CT示脑室结构较前稍有缩小,但脑室仍显扩张。动态观察患者的行为学变化和反复CT随访,逐步升至4 000次/d,患者可表达简短言语,但脑室仍略扩大。随后每月按压次数递增1 000次直至6 000次,复查CT示脑室结构明显缩小(图 4A);患者意识显著改善,能简短正确对答。2018年6月病情稳定后,逐渐减少到3 000次/d, 并复查头颅CT(图 4B)。患者意识完全恢复,交流言语思路清晰,搀扶能行走。
|
| A:2018年3月27日头颅CT,此时6 000次/d,脑室系统明显缩小;B:2018年9月15日头颅CT,3 000次/d 图 4 病例2头颅CT |
|
|
病例3,患者男,76岁,因“突发头痛昏迷,动脉瘤栓塞脑室引流术后半年余,脑积水分流术后3个月”入院。入院体查:GCS 7分,植物状态,双巴氏征阳性。V-P分流调压阀压力为1.0,脑积水虽已行分流术,但脑室仍明显扩大。拟诊:左前交通动脉瘤栓塞术后,脑积水V-P分流术后,持续性植物状态。脑室压力低于外耳道连线5 cm, 持续外引流脑脊液100~200 mL/d,同时去枕卧位,腹带加压包扎,适当增加补液量和扩脑血管改善脑微循环,力求增加颅内压和脑顺应性。脑室压力逐渐上升,然后调压至0.5,期间多次复查未见脑室大小明显缩小;但患者出现对威胁有眨眼反应,偶尔能对视觉对象定位,转为微小意识状态。发病4年后,即80周岁时,因为肺部感染而再次入院,控制肺部感染期间,考虑脑室仍扩大状态,予按压分流阀600次/d,患者意识显著上升,能主动要求饮食并表达喜好,能和家属互动做简单游戏。随访头颅CT见脑室较前有所缩小(图 5C)。
|
| A:第一次入院CT(脑出血栓塞和脑室外引流后);B:常规治疗后脑室扩大仍明显;C:2018年7月5日随访 图 5 病例3 CT |
|
|
病例4,男,26岁,因“车祸致颅脑损伤昏迷6个月”而入我院。急诊行开颅血肿清除术后1个月因脑积水而行V-P分流术。入院体检:GCS 7分,植物状态,四肢肌张力高,双巴氏征阳性。入院诊断为:重型颅脑损伤术后,脑积水V-P分流术后,持续性植物状态(图 6A)。考虑V-P分流过度引流,将分流调压阀调至最高的2.5水平,骨窗压力和头颅CT没有明显改变。遂将分流管皮下缝扎完全阻断,骨窗压力逐渐升高,术后复查CT(图 6B), 同时患者意识水平改善至微小意识状态。因脑积水加重再行V-P分流术,并择期予右额颞颅骨修补重建,随访头颅CT见图 6C。随后患者恢复至GCS 15分。
|
| A:男,26岁,颅脑损伤术后6个月入院时头颅CT;B:2015年1月4日分流管缝扎后CT;C:2017年3月8日V-P分流和颅骨修补术后 图 6 病例4 CT |
|
|
脑室腹腔分流术是最经典的脑积水治疗[1-2]。然而脑积水病理生理机制复杂,至今仍未完全明确,大量临床研究表明脑积水的发生发展是多因素作用的结果[3-5];低压性脑积水和负压性脑积水的机制尤其复杂,所以部分经过分流术治疗的脑积水并没有取得明显的病情改善,即使是脑积水经过分流术治疗后病情稳定的患者,其脑积水的治疗也未必达到最佳疗效[6-9]。在长期植物状态的患者中,合并脑积水的患者比例相当大,其通常也接受了分流治疗[10,11]。在这类患者中,是否有可能通过精准评估脑积水对脑功能的影响,从而进行脑积水精准治疗并进一步取得意识改善呢?
脑结构是脑功能的基础,因而改善脑功能要尽可能恢复脑结构,尽可能减少形变。前3例植物状态患者入本院时,病程已超半年,脑室均明显扩大,即使其中2例患者已经接受了脑V-P分流治疗;第4例植物状态合并脑积水患者,在分流术后即使将压力阀设为最高值,仍然引流过度导致脑结构极度变形,脑室基本消失。这是因为脑实质受损后,其粘弹性发生变化,即脑顺应性下降。脑顺应性下降时易导致脑室结构异常[12,13]。同时,脑室的扩大及异常缩小,都影响脑功能甚至意识的康复。本研究的4个患者经过脑积水的精准治疗后,脑室更加接近于正常大小,脑功能和意识水平显著提高,全部由植物状态恢复为具有交流能力的意识状态。
本组4例患者中,前3例患者入院时脑室都比正常扩大。第1例患者入院时储液囊穿刺测压为10 cmH2O, 考虑为常压性脑积水,但是因为脑积水病程长、脑顺应性不佳,使用抗虹吸可调压分流管即使将压力阀调至最低水平0.5,其治疗效果仍然不佳。更换为非抗虹吸可调压管后,在1.0的压力下患者脑室显著缩小,意识水平逐渐恢复。第2例为低压性脑积水,第3例患者为负压性脑积水,虽然经过脑脊液外引流、去枕头低位等综合措施来提高颅压和改善脑顺应性,以提高分流的疗效;但考虑到这两例患者颅内存在植入物、外引流时一旦颅内感染,后果极其严重,故未能通过足够长时间的脑脊液外引流为核心的综合治疗来改善脑顺应性和提高颅压。所以以上两个病例根据头颅CT脑室大小和患者行为的改善情况,采用了按压分流储液囊促进脑脊液分流。第2例患者储液囊按压次数逐渐从600次/d增加到6 000次/d;按压时必须充分保护头皮,避免局部头皮坏死。第3例患者,在病程的第4年80岁时开始储液囊按压促进脑脊液分流而恢复意识,这说明数年以上脑积水严重意识障碍患者通过精准脑积水治疗仍有恢复意识的可能。
对于病程长脑顺应性差、低压性和负压性脑积水患者,抗虹吸分流管引流效果差,建议选取非抗虹吸可调压分流管。本研究的病例1更换为非抗虹吸管后,压力1.0比抗虹吸调压0.5具有更好的分流疗效。但是对于低压性和负压性脑积水患者,常规的分流疗效不佳,需要通过合理的脑室脑脊液外引流、腹带包扎、颈围、头低位、改善脑微循环等综合措施提高脑顺应性和颅压后,分流阀门才能起到脑脊液分流的作用。病例2、3的患者颅内有植入物。该类特殊病例,一旦颅内感染后果极重。这种情况下,1~2周脑脊液持续外引流如未能迅速改善脑顺应性和颅压,利用储液囊每天进行一定频次的按压促进脑脊液引流,也不失为一种改善分流的方法。而对于有大面积颅骨缺损的脑积水患者,大气压通过大骨窗压迫大脑,容易导致V-P分流后过度引流,从而使脑室过度缩小、骨窗塌陷和脑结构变形,所以对于大面积去骨瓣减压的患者,建议选取抗虹吸的可调压分流管。本研究的病例4,在非抗虹吸分流压力2.5的情况下仍然过度分流导致骨窗极度塌陷,而更换成抗虹吸分流管后脑结构变形显著改善,意识水平明显提高。
脑良好的结构是良好脑功能的基础,对于存在脑积水的植物状态患者,即使已经进行了脑积水的分流手术,部分患者仍有可能通过精准的脑积水治疗来改善患者的意识水平,从而达到催醒的疗效。更精准的意识评估手段能指导精准脑积水治疗,是未来发展方向[14-15]。
| [1] | 黄绳跃, 王开宇, 黄克清. 脑室-腹腔分流术治疗脑积水[J]. 中华神经外科杂志, 1999, 20(6): 385-386. DOI:10.3969/j.issn.1005-4057.2002.04.060 |
| [2] | Aschoff A, Kremer P, Hashemi B, et al. The scientific history of hydrocephalus and its treatment[J]. Neurosurg Rev, 1999, 22(2/3): 67-93. |
| [3] | Dandy WE, Blackfan KD. An experimental and clinical study of internal hydrocephalus[J]. Journal of the American Medical Association, 1913, 61(25): 2216-2217. DOI:10.1001/jama.1913.04350260014006 |
| [4] | Dandy WE, Blackfan KD. Internal hydrocephalus: second paper[J]. American Journal of Diseases of Children, 1917, 14(6): 424-443. DOI:10.1001/archpedi.1917.01910120029002 |
| [5] | Dandy WE. Intracranial tumors and abscesses causing communicating hydrocephalus[J]. Ann Surg, 1925, 82(2): 199. DOI:10.1097/00000658-192507010-00013 |
| [6] | Owler EJ, Johnston B. Low pressure hydrocephalus: issues of diagnosis and treatment in five cases[J]. Br J Neurosurg, 2001, 15(4): 353-359. DOI:10.1080/02688690120072531 |
| [7] | Clarke MJ, Maher CO, Nothdurft G, et al. Very low pressure hydrocephalus: report of two cases[J]. J Neurosurg, 2006, 105(3): 475-478. DOI:10.3171/jns.2006.105.3.475 |
| [8] | Pandey S, Jin Y, Gao L, et al. Negative-pressure hydrocephalus: a case report on successful treatment under intracranial pressure monitoring with bilateral ventriculoperitoneal shunts[J]. World Neurosurg, 2017, 99: 812. e7-812. e12. DOI:10.1016/j.wneu.2016.12.049 |
| [9] | Cohen AR. Editorial: Low-pressure hydrocephalus[J]. J Neurosurg, 2011, 115(5): 1029-1030. DOI:10.3171/2011.5.JNS11703 |
| [10] | 冯志仙, 李全成, 苏琳, 等. 创伤后脑积水合并严重意识障碍患者侧脑室-腹腔分流术的疗效[J]. 中华创伤杂志, 2013, 29(9): 824-826. DOI:10.3760/cma.j.issn.1001-8050.2013.09.005 |
| [11] | 杨小锋, 詹仁雅. 外伤性脑积水的概念和流行病学[J]. 中华创伤杂志, 2013, 29(2): 97-99. DOI:10.3760/cma.j.issn.1001-8050.2013.02.001 |
| [12] | Rekate HL, Nadkarni TD, Wallace D. The importance of the cortical subarachnoid space in understanding hydrocephalus[J]. J Neurosurg Pediatr, 2008, 2(1): 1-11. DOI:10.3171/PED/2008/2/7/001 |
| [13] | Akins PT, Guppy KH, Axelrod YV, et al. The genesis of low pressure hydrocephalus[J]. Neurocrit Care, 2011, 15(3): 461-468. DOI:10.1007/s12028-011-9543-6 |
| [14] | Jamal A, Sankhyan N, Jayashree M, et al. Full Outline of Unresponsiveness score and the Glasgow Coma Scale in prediction of pediatric coma[J]. World J Emerg Med, 2017, 8(1): 57-62. DOI:10.5847/wjem.j.1920-8642.2017.01.010 |
| [15] | 蔡菁, 施小燕. 神经重症患者的意识评估[J]. 中华急诊医学杂志, 2018, 27(12): 1311-1314. DOI:10.3760/cma.j.issn.1671-0282.2018.12.001 |
2019, Vol. 28



