毛霉菌感染的发生率随着严重免疫功能低下人群的增多而显著上升,由于无特异性临床表现、无特异性生物标志物检测且毛霉菌培养阳性率低,其诊断和治疗仍然面临极大困难,往往容易误诊为细菌、病毒、结核及其他类型的真菌感染,严重影响患者预后。颅内毛霉菌感染发生率更低,诊断和治疗更为困难,临床误诊误治率较高。本文结合郑州大学第一附属医院收治的1例颅内毛霉菌感染的临床资料,介绍该病的临床特点、治疗过程中出现的问题及并发症处理,以提高临床医师对该病的认识。
1 资料与方法患者男性,39岁,以“发热头痛7 d,左侧肢体无力3 d,加重1 d”为主诉入院,7 d前受凉后出现发热体温最高40℃,伴头痛、咽痛、流涕,无寒战。3 d前出现左侧肢体麻木无力,无恶心、呕吐,头颅CT示右侧基底节区病变,脑梗死可能性大;查头颅MRI示右侧基底节区异常信号,考虑脑梗死并灶内渗血可能性大,颅脑MRA未见异常。血常规:白细胞18.43×109/L,血小板计数248×109/L;脑脊液检查:白细胞1 062×106/L,脑脊液蛋白1 765 mg/L, 在当地医院按“脑梗死/化脓性脑膜炎”给予对症治疗。1 d前患者左侧肢体无力较前加重,体温控制不佳,遂来我院。既往体健,无糖尿病等病史。入院查体:体温37.5℃,脉搏78次/min,呼吸18次/min,血压148/88 mmHg (1 mmHg=0.133 kPa),血氧饱和度99%,神志嗜睡状态,精神差,反应差,口唇无发绀,全身皮肤黏膜无黄染,浅表淋巴结不大,双侧瞳孔3.0 mm,等大等圆,对光反应灵敏,颈强直,颏下5横指,双肺呼吸音粗,未闻及干湿啰音,腹平软,腹壁反射正常,肌张力正常,左侧上下肢肌力均Ⅰ级,右侧肌力Ⅴ级,左侧躯干及肢体痛觉、触觉减退,右侧正常,左侧Babinski征阳性,右侧阴性;左侧克氏征阳性,右侧阴性。入院后查(2017-08-05)头颅MRI(图 1)示“右侧额颞叶、右侧侧脑室旁、右侧基底节、右侧大脑脚、脑桥右份占位病变,SWI提示含铁血黄素沉积,增强未强化”;行腰穿检查,脑脊液微黄,颅内压30 cmH2O(1 cmH2O=0.098 kPa),白细胞194 ×106/L,淋巴细胞70%,蛋白定量2 623.1 mg/L,糖3.4 mmol/L,氯化物128.4 mmol/L,抗酸染色阴性,墨汁染色阴性,腺苷脱氨酶8.65 ng/mL。诊断“颅内感染:化脓性脑膜炎?单纯疱疹病毒性脑炎?”,给予“美罗培南2.0 /8 h、更昔洛韦抗感染治疗”。2 d后行腰穿检查,脑脊液淡黄,颅内压27 cmH2O,白细胞550×106/L,淋巴细胞74%,蛋白定量1 798.9 mg/L,糖4.49 mmol/L,氯化物128.3 mmol/L;4 d后行结核分枝杆菌T细胞检测,抗原A 26(参考值0~5)、抗原B 13(参考值0~5);2017年8月12日行头颅MRI平扫+增强诊断(图 1)示“右侧额颞叶、右侧侧脑室旁、右侧基底节、右侧大脑脚、脑桥右份异常信号病变范围较前稍增大,病变呈环形不均匀强化、双侧额顶枕颞叶局部脑膜可见线样强化”,考虑“颅内感染:结核性脑膜炎”给予“异烟肼、利福霉素针、乙胺丁醇、吡嗪酰胺片、左氧氟沙星”抗结核治疗。2017年8月21日复查腰穿,脑脊液淡黄,颅内压40 cmH2O,白细胞78×106/L,淋巴细胞78%,蛋白定量2 446.1 mg/L,糖4.71 mmol/L,氯化物131.7 mmol/L。2017年8月22日行头颅MRI平扫+增强诊断(图 1)示“右侧额颞叶、右侧侧脑室旁、右侧基底节、右侧大脑脚、脑桥右份占位病变,边缘可见环形强化,范围较前增大,较大者病变范围56 mm×75 mm×49 mm(左右径×前后径×上下径)”。2017年8月23日神经外科行右侧颞叶基底节区脑脓肿穿刺抽吸术,术中抽出黏稠脓液约20 mL, 术后第2天患者曾出现意识障碍加重、瞳孔散大固定、呼吸急促,给予气管插管、呼吸机辅助通气、加强脱水及镇静镇痛减少应激反应降低颅内压等处理后患者神志逐渐恢复,脱呼吸机,拔除气管插管,术后病理提示“脓液真菌性炎症,形态符合毛霉菌(图 2),PAS染色阳性、六胺银染色阳性”,诊断考虑颅内毛霉菌感染,停用抗结核药物,给予“两性霉素B逐渐加量至75 mg/d, 单通路输注,输注时间10 h/d”,后转至上海华山医院感染科给予“两性霉素B联合泊沙康唑口服液治疗”,出院1年后随访患者仍服用泊沙康唑,一般情况较好,左侧上下肢肌力Ⅲ级,能在辅助下下床活动。
|
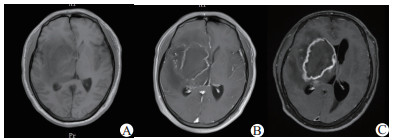
| A:8月5日MRI增强:病变未强化;B:8月12日MRI增强:病变呈环形不均匀强化,局部脑膜可见线样强化;C:8月22日MRI增强:病变呈环形强化,范围较前扩大 图 1 患者入院后MRI增强影像结果 |
|
|
|
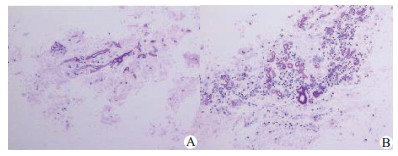
| A: HE染色×100;B: HE染色×200 图 2 患者病理检查形态符合毛霉菌 |
|
|
毛霉菌病多为机会性感染,病理基础为急性化脓性炎症,免疫力低下患者多见;颅内毛霉菌感染较为少见,多数为鼻窦来源,鼻腔内毛霉菌孢子易于停留,当机体免疫力低下或脑膜屏障破坏时容易发病;也可由较远病灶的血源性播散所致[1],毛霉菌感染可导致局部组织坏死侵犯血管引起鼻、脑和肺部感染,但血培养阳性率较低[2]。毛霉菌感染诊断金标准:组织、无菌体液培养阳性或组织病理活检;毛霉菌涂片染色的特点:菌丝呈宽带状无分隔,直径可大可小,但分枝呈直角。关于聚合酶链反应(polymerase chain reaction, PCR)定量检测真菌DNA、基于PCR技术的滚环复制(RCA)技术应用于毛霉菌病的诊断,仍处于研究阶段,临床应用较少,可能为未来毛霉菌诊断一种可靠方法[3]。
本文病例有以下临床特点:(1)中年男性、发病前有劳累、池塘游泳病史,池塘卫生情况差;(2)起病急、病程短,进展较迅速;(3)以发热、头痛、左侧肢体无力发病;(4)外周血白细胞计数及中性粒细胞比例明显增高,G试验阴性,GM试验阴性,脑脊液细胞数、蛋白较高,脑脊液结果提示颅内感染但不典型,明确何种颅内感染较困难,曾按照“单纯疱疹病毒性脑炎、化脓性脑膜炎、结核性脑膜炎”治疗,效果不佳;(5)影像学检查示,头颅MRI平扫加增强提示:右侧额颞叶、右侧侧脑室旁、右侧基底节、右侧大脑脚、脑桥右份病变伴出血,早期增强未强化,发病2周左右复查, 病灶呈环形强化,考虑脑脓肿可能性大;(6)外科手术,术中抽出20 mL黏稠脓液;(7)病理组织活检及染色确诊为毛霉菌感染;(8)患者因经济等原因应用两性霉素B治疗,后又加用泊沙康唑;体温恢复正常,脑脊液细胞数恢复正常,出院1年后随访患者恢复较好。
颅内毛霉菌感染,临床诊断治疗困难,脑脊液培养阳性率较低,组织活检可提高诊断阳性率;该患者多次脑脊液培养均阴性,曾多次误诊,最终病理组织活检明确诊断。毛霉菌可选药物较少,且大部分治疗药物难以透过血脑屏障,治疗失败率较高;主要治疗药物两性霉素B要求剂量较高,肝肾毒性、恶心呕吐、顽固性低钾血症、寒颤、高热、心血管反应、贫血等不良反应较大,脑脊液浓度偏低,但价格便宜且如果从小剂量开始逐渐加量、并延长输注时间患者耐受性会明显增加、不良反应明显降低, 用药期间需要监测肝肾功能电解质,必要时可考虑鞘内注射治疗,以增加脑脊液药物浓度,提高疗效。两性霉素B脂质体较两性霉素B不良反应明显减少,为毛霉菌感染一线药物,尽管价格昂贵且难透过血脑屏障,仍为颅内毛霉菌感染治疗的首选药物。Ville等[4]提出对两性霉素B及其脂质体效果不佳者,可考虑泊沙康唑;泊沙康唑能透过血脑屏障,对于颅内毛霉菌感染临床疗效可靠,可作为颅内毛霉菌感染的一线治疗药物;两性霉素B或其脂质体联合泊沙康唑, 临床疗效较好,但价格昂贵。Graves等[5]提出对两性霉素B及其脂质体或泊沙康唑效果差或无效的毛霉菌感染可应用艾沙康唑治疗。Miceli和Kauffman[6]的研究证实艾沙康唑抗毛霉菌治疗效果可靠且不良反应较小,艾沙康唑为侵袭性毛霉菌感染治疗提供了一个新的选择。
综上所述,颅内毛霉菌感染发病率较低,多发于免疫力低下患者,预后较差,早诊断、早治疗、联合用药是改善预后的关键[7]。无菌组织、体液的培养或病变部位活检对确诊颅内毛霉菌感染意义重大,外科手术清除感染灶基础上早期抗毛霉菌治疗[8-10],有利于感染控制,可降低病死率。
| [1] | Quan C, Spellberg B. Mucormycosis, pseudallescheriasis, and other uncommon mold infections[J]. Proc Am Thorac Soc, 2010, 7(3): 210-215. DOI:10.1513/pats.200906-033al |
| [2] | 吴振波, 周宏伟, 陈坤. 2011—2015年神经外科患者脑脊液分离菌分布及耐药分析[J]. 中华急诊医学杂, 2017, 26(12): 1384-1388. DOI:10.3760/cma.j.issn.1671-0282.2017.12.010 |
| [3] | Chitasombat MN, Kontoyiannis DP. Treatment of mucormycosis in transplant patients:role of surgery and of old and new antifungal agents[J]. Curr Opin Infect Dis, 2016, 29(4): 340-345. DOI:10.1097/QCO.0000000000000277 |
| [4] | Ville S, Talarmin JP, Gaultier-Lintia A, et al. Disseminated mucormycosis with cerebral involvement owing to Rhizopus microsporus in a kidney recipient treated with combined liposomal amphotericin B and posaconazole therapy[J]. Exp Clin Transplant, 2016, 14(1): 96-99. DOI:10.6002/ect.2014.0093 |
| [5] | Graves B, Morrissey CO, Wei A, et al. Isavuconazole as salvage therapy for mucormycosis[J]. Med Mycol Case Rep, 2016, 11: 36-39. DOI:10.1016/j.mmcr.2016.03.002 |
| [6] | Miceli MH, Kauffman CA. Isavuconazole: a new broad-spectrum triazole antifungal agent[J]. Clin Infect Dis, 2015, 61(10): 1558-1565. DOI:10.1093/cid/civ571 |
| [7] | Rodriguez-Ruiz E, Iglesias-Alvarez D, Peña-Gil C. Obstructive shock secondary to fungal prosthetic aortic valve endocarditis[J]. World J Emerg Med, 2018, 9(3): 227-228. DOI:10.5847/wjem.j.1920-8642.2018.03.011 |
| [8] | Gutiérrez-Delgado EM, Treviño-González JL, Montemayor-Alatorre A, et al. Chronic rhino-orbito-cerebral mucormycosis: A case report and review of the literature[J]. Ann Med Surg (Lond), 2016, 6: 87-91. DOI:10.1016/j.amsu.2016.02.003 |
| [9] | Dimaka K, Mallis A, Naxakis SS, et al. Chronic rhinocerebral mucormycosis: a rare case report and review of the literature[J]. Mycoses, 2014, 57(11): 699-702. DOI:10.1111/myc.12219 |
| [10] | 徐领城, 王选锭. 难治性感染治疗:不只是抗菌药物[J]. 中华急诊医学杂志, 2018, 27(3): 233-236. DOI:10.3760/cma.j.issn.1671-0282.2018.03.001 |
2019, Vol. 28



