2 南京医科大学第一附属医院消化内科,南京 210029
2019年12月31日,中国报告了一起与湖北省武汉市华南海鲜批发市场有关的人群肺炎病例[1]。2020年1月7日,中国卫生部门确认该病例与一种新冠病毒(COVID-19)有关。虽然最初报告的病例与在武汉海鲜市场的接触有关,但目前的流行病学数据表明,新冠病毒肺炎的人际传播正在发生[2-5]。截至2020年2月07日, 中国累计报道确诊病例34 598例[6]。现报告一例以脑卒中为首发症状合并新冠肺炎感染病例。
患者女性,71岁,农民,2020年2月6日晚9点左右起夜上厕所时,突发左侧肢体乏力伴口齿不清,摔倒在地,无胸闷、心慌、恶心、呕吐、意识障碍等,后由家人扶至床上观察至次日凌晨3点,症状无明显好转,送至当地医院急诊科,初步诊断为脑卒中,因超过溶栓窗,建议转至上级医院进一步治疗,由急诊120送至江苏省人民医院急诊科就诊,到院后因口罩佩戴不规范,分诊护士指导正确佩戴口罩后送至急诊内科诊间。入院时(2020年2月7日3时45分),测体温37.1℃,呼吸频率18次/min,心率63次/min,血压199/89 mmHg,血氧饱和度99%。既往“高血压”病史8年,口服“苯磺酸氨氯地平片”降压,血压控制在140/80 mmHg左右,“冠心病”病史8年。仔细询问患者家属,患者及其家属发病前2周内居住在家中,无湖北疫区接触史,无新型冠状病毒人员接触史。查体:查体:神清,精神可,口角歪斜,全身皮肤黏膜完整,无皮疹,结膜无充血,口唇红, 双侧扁桃体无肿大,呼吸平稳,双肺呼吸运动对称,双肺底可闻及少量湿啰音,心律不齐,心音强弱不等。神经系统检查:神清,言语欠清,定向力、记忆力、计算力正常,查体合作。颈软无抵抗,双侧额纹对称,双瞳等大等圆,对光反应灵敏,眼球各向运动正常,无明确眼震。左侧鼻唇沟变浅,口角右偏,伸舌左偏。左侧肢体肌张力减低,左上肢肌力Ⅲ级、左下肢肌力Ⅲ级,右侧肢体肌张力正常,右上肢肌力Ⅳ+级、右下肢肌力Ⅳ级。生理反射对称存在,左侧巴氏征阳性。NIHSS 6分。辅助检查:血常规:白细胞4.7×109/L、中性粒细胞3.42×109/L、淋巴细胞计数0.8×109/L、淋巴细胞百分比17%,其余未见明显异常。降钙素原 < 0.1 ng/mL、脑钠肽1 090 pg/mL。心肌标志物、降钙素原、凝血四项及D-二聚体未见明显异常。头颅CT(图 1),胸部CT(图 2)。
|
| 图 1 右侧放射冠梗死灶 |
|
|
|
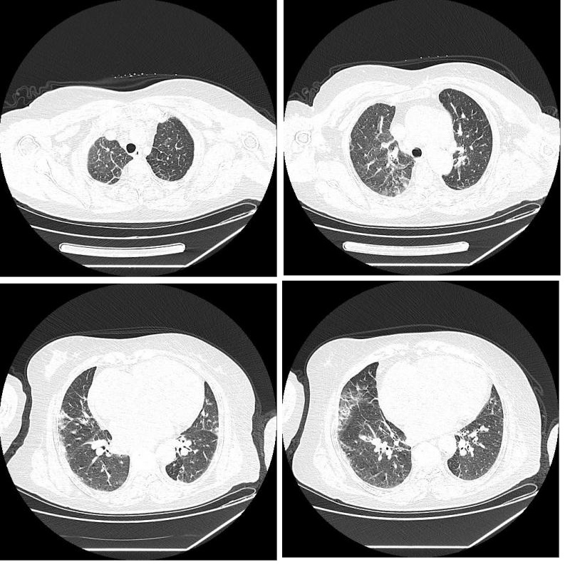
| 双肺小叶间隔增厚,双肺多发斑片影及磨玻璃影,双侧胸腔少量积液。心音增大,心包少量积液。肺动脉增粗 图 2 胸部CT |
|
|
诊疗过程:患者入院后完善胸部CT新冠肺炎感染不能排除,于2月7日5时作为高度疑似新冠肺炎感染病例立即转入急诊抢救区负压隔离病房观察治疗,予抗血小板聚集、调脂、降压、营养脑神经、改善微循环对症处理,同时联系发热门诊,8时转入发热门诊,立即采集咽拭子及血送南京市疾病预防控制中心检测COVID-19核酸,后动态测量体温,最高一次体温37.5℃,最低指脉氧90%(未吸氧),听诊双肺闻及少量湿啰音结合影像学检查,后给予呋塞米20 mg利尿治疗,同时吸氧2 L/min, 后指脉氧后波动在96%~98%,当天20时核酸检测结果呈阳性,确诊为COVID-19感染,21时患者立即转诊治南京公共卫生医疗中心继续治疗。
讨论 2019年12月我国武汉出现COVID-19感染暴发流行的疫情,最初确诊的41例成人肺炎患者中,重症13例(32%),死亡6例(15%),由此可见COVID-19感染所致疾病的严重性[3]。中国疾病预防控制中心基于2020年1月22日武汉已确诊的425例COVID-19感染的肺炎患者的流行病学调查数据,估算新冠肺炎的基本再生数R0值为2.2(R0表示一个病例进入到易感人群中,在理想条件下有能力感染的二代病例个数),提示人际间传播性较强。目前报告的确诊病例数几乎都是以呼吸道症状为发病症状,而且病原学筛查主要针对疑似肺炎患者,患者如果以其他疾病发病就有可能被漏诊,本案例报道的就是以急性脑卒中发病的新冠肺炎。
该患者早期没有出现任何提示肺炎的临床表现,如咳嗽咳痰、咯血、胸闷胸痛等症状。如果我们没有对该患者进行胸部CT扫描,就会漏诊新型冠状病毒肺炎,根据患者肺部听诊、影像学表现及双下肢水肿体征考虑心源性因素所致肺水肿可能,而新型冠状病毒可能直接、间接感染心肌以及炎症风暴导致心力衰竭、心律失常等,不排除病毒感染间接导致肺水肿的可能,核酸检测结果当天回报阳性后将患者转往定点医院进一步治疗。
核酸检测临床诊断存在假阴性,且检测时间较长,部分患者血或咽拭子核酸检测虽阴性,但仍不能完全排除新冠肺炎病毒感染,而CT检测时间短,方便快捷,CT结果提示罹患COVID-19时,可以做到早发现,早诊断,早隔离,早治疗,对于急诊患者尤为适合,所以建议把CT作为早期筛查新冠肺炎的一个非常有效地手段。新冠肺炎患者的CT影像学表现为:早期呈多发的斑片状磨玻璃影及间质性改变,以肺外带明显;进展期表现为病灶增多、范围扩大,磨玻璃影与实变影或条索影共存;重症期表现为双肺弥漫性病变,少数呈"白肺"表现,以实变影为主,合并磨玻璃影,多伴条索影以及空气支气管征。胸腔积液或淋巴结肿大等症状少见。该患者的胸部CT示双肺小叶间隔增厚,双肺多发斑片影及磨玻璃影,双侧胸腔少量积液。心音增大,心包少量积液。肺动脉增粗,该患者血常规提示淋巴细胞减少,而新冠肺炎患者淋巴细胞减少较常见[9],根据患者的辅助检查提示新冠肺炎不能排除,因此我们立即给该患者进行了核酸检测,结果呈阳性,由此可见,在没有流行病学史、呼吸道症状、血象及炎症指标没有提示新冠肺炎是,胸部CT可作为新冠肺炎的一个有效初筛手段。
值得注意的是,在疫情期间,对于新冠病毒肺炎临床症状很可能不典型或早期症状被其他疾病所掩盖,医生需动态监测患者体温变化,本例患者后续测的最高体温37.5℃,无其他呼吸道症状,结合患者胸部CT,提示有新冠肺炎感染可能,核酸检测阳性明确该患者感染新冠肺炎,进一步说明如果合并基础性疾病,胸部CT筛查的对于排除新冠肺炎的必要性。此外,护理人员加强对于患者的正确性防护,正确佩戴口罩,如有高度疑似患者需立即送入负压室观察治疗,避免使患者暴露在人群密集的急诊室内。
利益冲突 所有作者均声明不存在利益冲突
| [1] | World Health Organization. Pneumonia of unknown cause —China.2020 https://www.who.int/csr/don/05-january-2020-pneumonia-of-unkown-cause-china/en/.opens in new tab |
| [2] | Chan JFW, Yuan S, Kok KH, et al. A familial cluster of pneumonia associated with the 2019 novel coronavirus indicating person-to-person transmission: a study of a family cluster. Lancet 2020 January 24.DOI: 10.1016/S0140-6736(20)30154-9 |
| [3] | Huang C, Wang Y, Li X, et al. Clinical features of patients infected with 2019 novel coronavirus in Wuhan, China. Lancet 2020 January 24.DOI: 10.1016/S0140-6736(20)30183-5 |
| [4] | Centers for Disease Control and Prevention. 2019 Novel coronavirus, Wuhan, China: 2019-nCoV situation summary. January 28, 2020https://www.cdc.gov/coronavirus/2019-nCoV/summary.htmL. opens in new tab |
| [5] | Phan LT, Nguyen TV, Luong QC, et al. Importation and human-to-human transmission of a novel coronavirus in Vietnam. N Engl J Med.DOI: 10.1056/NEJMc2001272. |
| [6] | National Health Commission of the People's Republic of China home pagehttps://www.nhc.gov.cn |
| [7] | Li Q, Guan X, Wu P, et al. Early transmission dynamics in Wuhan, China, of novel coronavirus-infected pneumonia[J/OL]. N Engl J Med, [2020-01 31].DOI: 10.1056/NEJMoa2001316. |
2020, Vol. 29



