2 深圳市宝安区人民医院急诊医学科, 518101
急性氟乙酰胺中毒是常见的急性有机氟类杀鼠剂中毒[1],通过干扰三羧酸循环从而引起中枢神经系统和心血管系统为主的毒性损害[2],严重者引起昏迷、抽搐、心脏损害、呼吸和循环衰竭, 具有较高病死率,但幸存者两周后上述中毒症状体征均消失[3]。这两周内脑部发生了什么特征性改变是值得探讨分析的临床问题。为此笔者回顾性分析吉林省榆树市人民医院急诊急救中心收治的药物中毒患者头部核磁的改变,以解答上述问题。
1 资料与方法 1.1 一般资料本研究选取2015年12月至2018年03月期间吉林省榆树市人民医院急诊急救中心收治的氟乙酰胺中毒患者,本研究已经得到榆树市人民医院伦理委员会批准(批号:榆市医[2018]19号),头颅磁共振等病历资料获得患者及家属的知情同意进行分析,纳入病例标准:①明确服用氟乙酰胺病史,且2周内完成头部核磁检查。排除病例标准:①两周内患者未能完成头部核磁检查;研究剔除病例标准:患者入住后24 h内转科、死亡或者出院。
1.2 磁共振采集方法头部磁共振检查采用的序列包括:常规序列+弥散加权像(DWI)+表观扩散系数(ADC);收集图像资料进行数据分析,由两名高级核磁影像医师审核影像结果。
1.3 临床轻型、中型、重型分型方案根据临床的病情严重程度(尤其是神经系统症状)分为轻型、中型及重型,轻型临床表现为头痛头晕、视力模糊四肢麻木抽动口渴恶心呕吐;中型临床表现为轻型基础上合并呼吸困难及四肢痉挛;重型表现为短时间内出血昏迷、抽搐和多脏器衰竭。所有患者均接受血浆灌流治疗,灌流前后观察阵挛发生。
1.4 分析方法回顾性探讨“颅脑MRI影像”分组特点与临床病情分组间的变化关系
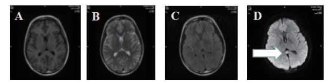
2 结果 2.1 基本资料及头颅核磁特征本观察研究最终纳入患者51例,中毒患者的头颅核磁特征表现为:在MRI的常规序列(T1\T2\FLAIR)病灶显示不明显,但在DWI表现为高信号,ADC值下降呈低信号。病变部位主要是胼胝体的压部(所有阳性病例胼胝体压部均受损),病变也可以形成以胼胝体为中心的广泛白质病变,皮质不受损害。见图 1,2。
|
| 图 1 A.T1序列/B.T2序列/C.FLAIR序列均无异常;D.DWI系列上为高信号(箭头所示) |
|
|
|
| 图 2 A\C弥散像呈高信号,B\D ADC图呈低信号(箭头所示) |
|
|
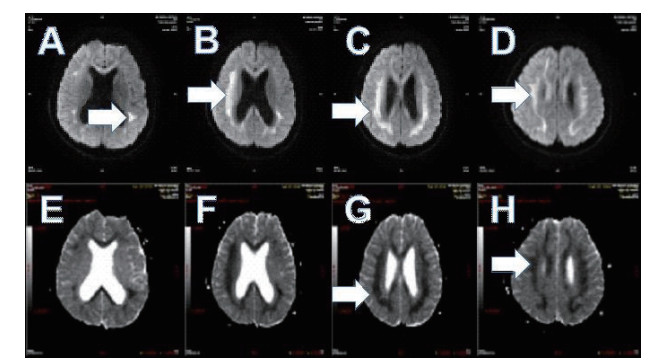
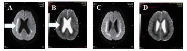
磁共振提示胼胝体局灶病变多为轻症患者(图 3);磁共振提示胼胝体双侧放射冠部散在病变多为中型患者(图 4);磁共振提示胼胝体双侧放射冠区弥漫性病变多为重症患者(图 5,6)。
|
| 图 3 ABCD为同例患者,病变为胼胝体局灶病变(箭头所示);EFGH为同例患者,病变为胼胝体右侧放射冠区局灶病变(箭头所示) |
|
|
|
| 图 4 此图为中型患者,可见胼胝体双侧放射冠部散在病变 |
|
|
|
| 图 5 重型患者,可见胼胝体双侧放射冠区弥漫性病变 |
|
|
|
| 图 6 重型患者,可见胼胝体双侧放射冠区弥漫性病变 |
|
|
其中灌流后发生阵挛的患者共29例、灌流前已发生阵挛的患者共12例、灌流前或后均无发生阵挛的患者共10例,但无论灌流前后有无阵挛发生,所有中毒患者头部MRI都有阳性特征性表现。
3 讨论氟乙酰胺进入人体后生成氟柠檬酸, 可在脑组织诱发细胞毒性脑水肿[4]。细胞毒性脑水肿在DWI上呈现高信号,在ADC上呈低信号,结合我们发现佐证氟乙酰胺中毒所引起的脑部病变性质是细胞毒性脑水肿,并且证实氟乙酰胺中毒病变部位主要是胼胝体的压部,病情危重者可出现以胼胝体为中心的广泛白质病变,皮质不受损害。所幸此病变特点符合可逆性胼胝体压部病变综合征(reversible splenial lesion syndrome,RESLES)[5]:是一种由各种病因引起的累计胼胝体压部的临床影像综合征。其特点为MRI上可见胼胝体压部(SCC)的卵圆形、非强化病灶,一段时间后可完全消失[6]。
胼胝体压部可逆性病变最早于1999年由Kim等首次报道,对1200例服用抗癫痫药物的患者进行颅脑MRI随访,发现2例患者存在SCC病变,分别停药4个月、6个月后消失,无其他临床症状。Kim等[7]认为该病变可能为抗癫痫药物引起的脱髓鞘病变。后续报道多种病因引起SCC病变。2004年提出了MERS的概念(伴SCC可逆性病变的轻度脑炎/脑病),适用于儿童、不适于成人SCC可逆性病变[8]。2011年提出了RESLES的术语。一般不遗留神经系统功能障碍。磁共振是诊断RESLES的首选检查[9]。其特征性的影像学表现为SCC(一般位于中心区域)局限性的椭圆形或条状的病变,如出现整个胼胝体压部受累的条状病变,称为“回旋镖征”(Boomerang sign)[10]。病灶位于T1WI上呈等或低信号,T2WI/FLAIR和DWI上均为高信号,ADC值降低,增强扫描无明显强化。目前尚无胼胝体压部发生囊病或坏死的报道。病变可不仅仅局限在胼胝体压部,其他部位如膝部、体部也可同时出现,甚至可以累及胼胝体外,如脑室旁白质,皮质下白质和基底节区,而这些病灶基本上也是可逆的[11]。由于RESLES此类细胞毒性脑水肿不累及皮层,其影像特点缺乏特异性,临床上针对氟乙酰胺治疗后大多预后良好。
总之,①磁共振明确氟乙酰胺的毒物靶点,进一步证实氟乙酰胺的作用机制为细胞毒性脑水肿所致脑白质脱髓鞘改变。②这种可逆性脑白质病变,可因中毒程度,轻症以胼胝体局部病灶为主,中度则为胼胝体散在病灶,重度则出现胼胝体为中心的广泛性病灶。③由于氟乙酰胺累及可逆性胼胝体压部病变综合征,属于可逆性病灶,因此本组患者应用激素冲击治疗均已取得良好预后。④对于原因不明的有阵发性痉挛发生或癫痫的患者,应该重点考虑行头部MRI检查,可协助排除是否是氟乙酰胺中毒。⑤重度中毒患者临床上可出现癫痫大发作,目前经头颅核磁检测可明确与其胼胝体广泛病灶相关联。
利益冲突 所有作者均声明不存在利益冲突
| [1] | Wen W, Gao H, Kang N, et al. Treatment of severe fluoroacetamide poisoning in patient with combined multiple organ dysfunction syndrome by evidence-based integrated Chinese and Western medicines: A case report[J]. Medicine (Baltimore), 2017, 96(27): e7256. DOI:10.1097/MD.0000000000007256 |
| [2] | 朱万勤, 杜铁宽, 刘郁. 氟乙酰胺急性中毒患者血清肌酸激酶升高的临床意义[J]. 中华急诊医学杂志, 2002, 11(5): 344-344. DOI:10.3760/j.issn:1671-0282.2002.05.020 |
| [3] | 吴晓春, 吴少琴, 卢益中. 急性氟乙酰胺中毒的急救[J]. 中华急诊医学杂志, 2001, 10(1). DOI:10.3760/j.issn:1671-0282.2001.01.024 |
| [4] | Unione L, Alcalá M, Echeverria B, et al. Fluoroacetamide Moieties as NMR Spectroscopy Probes for the Molecular Recognition of GlcNAc-Containing Sugars: Modulation of the CH-π Stacking Interactions by Different Fluorination Patterns[J]. Chemistry, 2017, 23(16): 3957-3965. DOI:10.1002/chem.201605573 |
| [5] | Jeong TO, Yoon JC, Lee JB, et al. Reversible Splenial Lesion Syndrome (RESLES) Following Glufosinate Ammonium Poisoning[J]. J Neuroimaging, 2015, 25(6): 1050-1052. DOI:10.1111/jon.12216 |
| [6] | 方玮, 章殷希, 丁美萍. 可逆性胼胝体压部病变综合征[J]. 中华神经科杂志, 2016, 49(3): 258-260. DOI:10.3760/cma.j.issn.1006-7876.2016.03.018 |
| [7] | Ko SY, Kim BK, Kim DW, et al. Reversible splenial lesion on the corpus callosum in nonfulminant hepatitis A presenting as encephalopathy[J]. Clin Mol Hepatol, 2014, 20(4): 398-401. DOI:10.3350/cmh.2014.20.4.398 |
| [8] | Mackay IM, Arden KE. MERS coronavirus: diagnostics, epidemiology and transmission[J]. Virol J, 2015, 22: 12-222. DOI:10.1186/s12985-015-0439-5 |
| [9] | Altunkas A, Aktas F, Ozmen Z, et al. MRI findings of a postpartum patient with reversible splenial lesion syndrome (RESLES)[J]. Acta Neurol Belg, 2016, 116(3): 347-349. DOI:10.1007/s13760-015-0578-x |
| [10] | Saigal R, Gupta N, Goyal L, et al. Boomerang Sign[J]. Journal of the Association of Physicians of India, 2015, 63(5): 65. |
| [11] | Bajaj BK, Wadhwa A, Pandey S. "Boomerang sign": An ominous-looking finding in reversible maladies[J]. Neurol India, 2016, 64(2): 330-331. DOI:10.4103/0028-3886.177623 |
2020, Vol. 29



