2 浙江大学医学院附属 第二医院麻醉科,杭州 310009;
3 浙江大学医学院附属第二医院心脏大血管外科,杭州 310009
主动脉瓣狭窄(aortic stenosis, AS)是由于先天性或后天性因素致主动脉瓣病变导致瓣膜在收缩期不能完全开放,其疾病进展虽较缓慢,一旦出现症状后病情将急剧恶化,预后极差。内科介入即经导管主动脉瓣置换术(transcatheter aortic valve replacement, TAVR)为患者提供了一种创伤小恢复快的治疗方式[1]。但重度主狭患者病情变化快,部分患者由于症状重而不允许或无法耐受细致的术前准备,越来越多的患者开始接受急诊TAVR手术[2]。本文结合1例典型病例论述急诊TAVR手术的操作过程和处理策略。
1 急诊TAVR的策略本中心开展急诊TAVR的策略,主要包括以下六点:
⑴对于患者病情的综合评估至关重要。重度AS患者病情变化往往很快,在患者病情进展时需果断、及时的启动急诊TAVR,一旦病情进展到CPR阶段,往往就失去了救治的机会。
⑵团队协作同样非常重要。急诊TAVR的患者通常病情重、变化快,操作过程中容易发生循环崩溃、血管入路损伤、严重瓣周漏等并发症,甚至需要紧急的外科开胸手术。所以术中心血管内科、心脏大血管外科、影像科、麻醉科的紧密合作是整个手术能否成功的关键。
⑶手术对超声的要求较高。急诊TAVR患者通常没有机会完善影像学检查。通过术中超声的检查可以评估血管入路及主动脉根部结构,为血管入路的选择和瓣膜尺寸大小选择提供参考,这对超声团队提出了较高的要求,需要他们在术中为手术医生提供可靠的信息。
⑷多种影像学手段相结合。术中超声为术者提供了很多有用的信息,但不如CT精准。所以术者需要在超声的指导下,结合造影以及球囊测量(Balloon Sizing,BS)选择手术器械和手术策略。同时,还需要选择合适的投照体位进行主动脉根部造影以及瓣膜植入。
⑸在手术开始前需提前设计好备用方案。急诊TAVR手术的术前准备往往比较仓促,无法获得一些关键的信息。在决定行急诊手术时需要提前做好备案。
① 如果经股动脉途径不行,需确定颈动脉入路或经心尖入路作为备用;②如果TAVR手术无法实行,则可以主动脉瓣球囊扩张(balloon aortic valvuloplasty,BAV)作为备用;③若术中发现冠脉存在严重多支病变,需以外科换瓣(surgical aortic valve replacement,SAVR)+冠状动脉旁路移植术(coronary artery bypass graft,CABG)作为备选方案。
⑹做最坏的打算,最充分的准备。
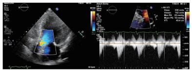
2 实例分析案例:病史摘要:患者为70岁老年女性,因“反复胸闷气促3月余,再发加重3 d”入院。患者2020.3.10从本科急诊途径入院,入院时呈端坐呼吸,伴大汗,本科急诊医生快速完成新冠肺炎核酸检查及肺部CT检查排除新冠肺炎感染后收住心内科监护室。患者既往病史复杂,高血压20年余,糖尿病20年余,2年前曾因冠心病在当地医院行经皮冠状动脉介入(percutaneous coronary intervention,PCI)治疗。入院查体:神清,精神软,呼吸急促,无法平卧,口唇无发绀,颈静脉无怒张,两肺听诊闻及大量湿啰音,心率98次/min,律齐,主动脉瓣听诊区可及4/6级舒张期吹风样杂音,双下肢可见凹陷性水肿。入病房后相关检查提示:“氨基端B型利钠肽原>35 000 pg/mL,肌钙蛋白T 0.139 ng/mL,血肌酐192 μmol/L,血气分析:二氧化碳分压44.7 mmHg(1 mmHg=0.133 kPa)、氧分压65.5 mmHg、氧饱和度90.1%”,心超提示“左室舒张末期内径(LVEDD)5.81 cm,simpson's测得LVEF 33.5%;主动脉瓣呈三叶结构,瓣叶增厚明显,主动脉瓣口最大射流速4.39 m/s,最大压差77 mmHg,平均压差41 mmHg,瓣口面积0.57 cm2” (图 1)。临床诊断考虑:①心脏瓣膜病:主动脉瓣重度狭窄急性心功能不全Killip Ⅲ期;②冠状动脉粥样硬化性心脏病PCI术后;③高血压病;④ 2型糖尿病糖尿病肾病。予以静脉呋塞米利尿等对症治疗后症状无缓解。患者主动脉瓣重度狭窄诊断明确,本次严重症状考虑与原发瓣膜病相关,有TAVR手术治疗指征。但患者病情危重,无法完成血管入路、冠脉及主动脉增强CT检查,本院心脏瓣膜团队讨论后决定行急诊TAVR治疗。
|
| 图 1 患者术前超声心动图 |
|
|
本例急诊TAVR的挑战在于:①血管入路情况不明;②主动脉根部结构不明;③可能合并严重冠脉疾病;④存在严重肾功能不全。
心脏瓣膜团队处理策略:①采用气管插管全麻的方式进行手术;②超声结合造影评估血管入路;③经食道超声评估主动脉根部结构并结合球囊扩张制定瓣膜选择策略;④预先制定备选方案。
手术过程:患者2020.3.11中午转运至心脏介入中心,麻醉科评估后立即予以气管插管。
血管入路的评估和建立:
(1)血管超声评估手术入路通过床边超声检查来评估两侧股动脉血管入路情况并同时完善颈动脉超声评估作为备选方案。穿刺要求:穿刺点位于股动脉正中央,血管分叉1 cm以上并避开严重钙化处。
(2)血管造影明确双侧髂股动脉入路情况,选择条件更好的一侧进行手术本病例通过超声引导下穿刺左侧股动脉,但J型导丝难以通过股左侧髂总动脉,提示血管可能存在严重狭窄。随后的造影可见双侧髂总动脉均有不同程度的病变,右侧相对较好(图 2A),故选择右侧作为主入路进行手术。超声引导下穿刺右侧股动脉,置入19 F大鞘内芯,通过有阻力,考虑血管条件差,放弃置入19 F鞘。因瓣膜输送系统的外径与16 F大鞘外径相当,采用无鞘植入的方案,改成16 F cook鞘置入,顺利通过。
|
| A:外周血管造影;B: 20×40 mm Z-Med球囊行Balloon Sizing;C:植入26 mm Venus-A瓣膜后复查造影;D:复查外周血管入路造影 图 2 患者造影 |
|
|
明确冠状动脉情况:该患者有右冠PCI手术史,合并高血压和糖尿病,可能存在需要处理的冠脉病变,所以在置入大鞘后对该患者进行冠脉造影检查,结果提示右冠支架通畅,前降支及回旋支轻-中度狭窄,无需干预处理。
主动脉根部结构精确评估:
(1)经食道超声评估瓣环、窦、冠脉高度和升主动脉由于患者术前无法行CT检查,无法获知其主动脉根部情况,术中通过食道超声(2D和3D)评估主动脉根部结构。本病例术中经食道超声评估提示:主动脉瓣瓣环内径2.11 cm,主动脉窦部直径2.89 cm×2.84 cm×2.84 cm,右冠开口高度1.12 cm,左冠开口开口1.05 cm,升主动脉无明显增宽(图 3)。
|
| 图 3 患者术中经食道超声心动图 |
|
|
(2)选择合适大小的球囊进行Balloon Sizing测量:在明确上述情况后,还需要选择合适的球囊进行Balloon Sizing测量,同时观察冠脉血流情况进一步评估瓣膜释放后可能出现的冠脉堵塞情况。因术中基于超声测得的瓣环内径为2.11 cm,故选择20 mm×40 mm Z-Med球囊进行测量,在球囊膨胀到最大程度时,可以看到球囊两侧仍存在少量反流,且无明显腰征,左冠及右冠血流通畅(图 2B)。
选择合适大小的瓣膜植入并评估;根据超声和球囊测量的结果,针对该患者,最终选择26 mm Venus-A瓣膜进行手术,植入位置理想,几乎无瓣周漏和跨瓣压差,冠脉血流未受影响(图 2C),复查外周血管造影提示未见明显狭窄及出血(图 2D)。
术后随访:患者术后病情稳定,病房继续住院3 d后顺利出院。术后1个月随访化验提示“proBNP 5 869 pg/mL,血肌酐185 μmol/L,肌钙蛋白T 0.118 ng/mL”,复查心超提示“LVEDD 5.19 cm,simpson's测得LVEF 58.6%;主动脉瓣口最大流速2.35 m/s,最大压差22 mmHg,平均压差10 mmHg,瓣口面积1.65 cm2”(图 4)。
|
| 图 4 患者术后1月随访超声心动图 |
|
|
主动脉瓣狭窄作为一种瓣膜退行性疾病发病率逐渐升高,严重危害人类健康[3]。外科手术虽可根治,但许多患者因各种原因失去了手术机会。TAVR是近年来心脏瓣膜病诊治领域里程碑式的进展,目前外科手术中危及以上风险且预期寿命超过1年、有症状的钙化性重度主动脉瓣狭窄患者为TAVR的主要适应证[4]。但重度主狭窄患者病情变化快,猝死风险高,一部分患者由于严重的症状无法进行细致的术前准备,或在手术准备过程中出现明显的病情进展,无法耐受术前检查[5]。所以急诊TAVR的开展成为了迫切的需要[6]。
正因为急诊TAVR存在诸多难点以及不确定性,有时结果难以预料,术者及整个瓣膜团队在决定行急诊手术当时以及术中均需要做好充分的准备,包括上述已经介绍的几点。患者在术中容易出现血流动力学不稳定,循环崩溃甚至心搏呼吸骤停,所以在手术开始时尽量准备好体外循环系统以及ECMO系统,并预先准备好相关的血管通路,一旦出现突发情况及时干预。
我国经导管瓣膜病介入治疗的发展迅速,有越来越多的中心能够独立、成熟的完成TAVR手术。希望通过该例急诊TAVR的介绍及经验分享,能为国内其他中心提供参考,使得急诊TAVR的常规开展成为一种可能。
利益冲突 所有作者均声明不存在利益冲突
| [1] | 王建安.中国心脏瓣膜病介入治疗的现状与展望[J]. 2019, 47(9): 706-709. doi: 10.3760/cma.j.issn.0253-3758.2019.09.009. |
| [2] | Wernly B, Jirak P, Lichtenauer M, et al. Systematic review and metaanalysis of interventional emergency treatment of decompensated severe aortic stenosis[J]. J Invasive Cardiol, 2019, 32(1): 30-36. |
| [3] | Carabello BA, Paulus WJ. Aortic Stenosis[J]. Lancet, 2009, 373(9667): 956-966. DOI:10.1016/s0140-6736(09)60211-7 |
| [4] | Nishimura RA, Otto CM, Bonow RO, et al. 2014 AHA/ACC guideline for the management of patients with valvular heart disease: A report of the American college of cardiology/American heart association task force on practice guidelines[J]. J Am Coll Cardiol, 2014, 63(22): e57-185. DOI:10.1016/j.jacc.2014.02.536 |
| [5] | Huang H, Kovach CP, Bell S, et al. (2019) Outcomes of Emergency Transcatheter Aortic Valve Replacement[J]. J Interv Cardiol, 2019: 7598581. |
| [6] | Frerker C, Schewel J, Schlüter M, et al. Emergency transcatheter aortic valve replacement in patients with cardiogenic shock due to acutely decompensated aortic Stenosis[J]. EuroIntervention, 2016, 11(13): 1530-1536. DOI:10.4244/eijy15m03_03 |
2020, Vol. 29



