急性高血糖是危重症患者最常见的并发症之一,影响患者预后,增加病死率[1-2]。应激性因素、使用糖皮质激素、L-天冬酰胺酶、静脉输注大量葡萄糖是急性高血糖的常见诱因[3-4]。有研究发现,伴发急性高血糖的危重患者较血糖正常的患者,远期发生2型糖尿病的风险更高[5-6]。急性高血糖导致小鼠早期胰岛素分泌受损和胰岛β细胞中胰岛素含量减少[7],但机制仍不明确。研究证实,高糖引起的氧化应激及β细胞凋亡在2型糖尿病发病中发挥重要作用[8]。Bcl-2/Bax/Caspase-3信号通路在细胞凋亡信号通路起至关重要的作用[9]。
Brain and muscle arnt-like 1(Bmal1)作为生物钟的核心基因之一,是生物钟体系反馈环路的正向调控因子。有研究表明,Bmal1功能异常导致糖尿病、肥胖、糖异生和脂肪生成异常[10-13]。此外,Bmal1基因多态性及其单倍型与人群中糖尿病和高血压的风险增加有关[14-15]。生物钟基因参与调控细胞凋亡,但其是否参与调控急性高糖诱导的β细胞凋亡尚不明确。因此,本研究通过过表达Bmal1,探讨Bmal1对高糖诱导的胰岛素瘤细胞-1(insulinoma cell lines-1, INS-1)细胞凋亡的作用,为临床治疗急性高血糖提供新的治疗思路。
1 材料与方法 1.1 细胞和试剂大鼠胰岛素瘤细胞-1(insulinoma cell lines-1, INS-1)购自武汉普诺赛生命科技有限公司。胎牛血清、左旋谷氨酰胺、巯基乙醇、HEPES和RPMI-1640培养液购自美国Gibco公司,RNA抽提试剂盒购自美国Ambion公司,实时荧光定量PCR试剂盒购自美国Vazyme公司,Bcl2和Bax抗体购自美国Proteintech公司,Caspase-3抗体购自美国Abcam公司,MTT试剂购自美国Sigma公司,TUNEL检测试剂盒购自美国Roche Applied Science公司。
1.2 细胞培养INS-1细胞培养于含10%胎牛血清、2 mmol/L左旋谷氨酰胺、50 μmol/L巯基乙醇、10 mmol/L HEPES的RPMI-1640培养液。细胞分为正常糖浓度对照组(NG组)、高糖组(HG组)、NG+空载体组(NG+pcDNA3.1组)、NG+Bmal1基因过表达组(NG+pcDNA3.1-Bmal1组)、HG+空载体组(HG+pcDNA3.1组)、HG+Bmal1基因过表达组(HG+pcDNA3.1-Bmal1组)。其中NG组含5.5 mmol/L葡萄糖,HG组含33.3 mmol/L葡萄糖。
1.3 转染取对数生长期、生长状态良好的INS-1细胞,每孔1×105个接种于细胞培养12孔板培养过夜。细胞密度达到70%时进行转染。转染前换成无血清的1640培养基;用100 μL opti-mem分别稀释4 μg质粒和5 μL lipofectaminetm 2000脂质体,两者混匀后室温下静置20 min。每个培养孔分别加入200 μL混合液,在37℃、5%CO2培养箱中培养,6 h后吸出混合液换入完全1640培养基。转染24 h后加入33.3 mmol/L或5.5 mmol/L的葡萄糖, 继续培养4 h后收集细胞。
1.4 MTT法检测INS-1细胞增殖率收集对数生长期细胞接种于96孔板中培养24 h,空质粒组和过表达组预先转染24 h。每孔加入10μL MTT,37℃继续培养4 h,弃去上清液,加入150 μL DMSO溶液震荡10 min,用酶标仪在波长570 nm处测定各孔吸光度值。
1.5 TUNEL法检测细胞凋亡4%多聚甲醛溶液室温固定细胞25 min,PBS洗涤3次后,将细胞爬片浸入0.1% TritonX-100 10 min。PBS洗涤2次后加入50 μL TUNEL检测液,避光孵育60 min。加入DAPI染色,抗荧光淬灭封片液封片,荧光显微镜下观察细胞凋亡。
1.6 RT-qPCR法检测Bcl2、Bax、Caspase-3 mRNA的表达Trizol法提取细胞总RNA。加入2 μL Oligo-(dT),根据试剂盒说明书操作,将RNA反转录合成cDNA。反转录反应条件如下:25℃ 5 min,50℃ 15 min,85℃5 min,4℃ 10 min。引物由杭州擎科生物公司设计合成。PCR扩增条件为95℃预变性10 min;95℃变性30 s,60℃退火延伸30 s,40次循环。应用2 -ΔΔCt法计算Bmal1、Bcl2、Bax、Caspase-3以及GAPDH mRNA表达。
1.7 Western blot检测Bcl2、Bax、Caspase-3蛋白的表达细胞收样后,加入细胞裂解液,于冰上进一步裂解30 min,在4℃离心机12 000 r/min离心5 min,收集蛋白上清液用于Western blot分析。取蛋白样品进行电泳及冰上转膜后,以脱脂奶粉室温封闭1 h。一抗4℃孵育过夜,TBST漂洗后,加入二抗室温下孵育1 h后洗膜。用化学发光法检测,以β-actin作为内参,用BandScan分析胶片灰度值。
1.8 统计学方法应用SPSS 16.0软件进行统计分析。所有计量资料以均数±标准差(Mean±SD)表示,多组间比较采用单因素方差分析,组间均数两两比较用SNK-q检验。以P < 0.05为差异有统计学意义。
2 结果 2.1 RT-qPCR验证转染效率为验证过表达Bmal1的转染效率, 本研究使用RT-qPCR检测了Bmal1mRNA的表达水平。结果如图 1显示, NG+pcDNA3.1-Bmal1组与NG组和NG+pcDNA3.1组相比, Bmal1 mRNA表达水平明显升高, 其中NG+pcDNA3.1-Bmal1组Bmal1 mRNA表达量是NG+pcDNA3.1组的77.1倍,提示转染成功。
|
| 与NG组比较,aP < 0.01;与NG+pcDNA3.1组比较,bP < 0.01 图 1 实时荧光定量PCR法检测Bmal1的mRNA表达水平 |
|
|
如图 2所示,高糖刺激胰岛β细胞4 h后,细胞增殖率(44.17±1.25)%低于对照组(100±1.48)%,P < 0.01;Bmal1基因过表达后,以NG+pcDNA3.1组为对照,NG+pcDNA3.1-Bmal1组细胞增殖率无明显变化, HG+pcDNA3.1-Bmal1组细胞增殖率(64.40±1.98)%较HG+pcDNA3.1组(43.82±1.07)%升高,P < 0.01。
|
| 与NG组比较,aP < 0.01;与HG+pcDNA3.1组比较,bP < 0.01 图 2 MTT法检测细胞增殖率 |
|
|
如图 3所示,NG组、HG组、NG+pcDNA3.1组、NG+pcDNA3.1-Bmal1组、HG+pcDNA3.1组、HG+pcDNA3.1-Bmal1组的凋亡指数分别为(0.56±0.04)%、(1.86±0.28)%、(0.54±0.09)%、(0.50±0.17)%、(1.66±0.15)%、(0.95±0.26)%。与NG组相比,高糖导致细胞凋亡增加,P < 0.01。Bmal1基因过表达后,与NG+pcDNA3.1组相比,NG+pcDNA3.1-Bmal1组细胞凋亡率无明显变化,HG+pcDNA3.1-Bmal1组与HG+pcDNA3.1组相比,细胞凋亡率下降,P < 0.05。
|
| 与NG组比较,aP < 0.01;与HG+pcDNA3.1组比较,bP < 0.05;蓝色为正常细胞细胞核;红色为凋亡细胞细胞核;标尺为100 µm 图 3 TUNEL法检测细胞凋亡率 |
|
|
如图 4所示,与NG组相比,高糖导致Bcl2 mRNA表达明显下降,Bax、Caspase-3 mRNA水平明显升高(均,P < 0.01)。以NG+pcDNA3.1组为对照,NG+pcDNA3.1-Bmal1组Bcl2、Bax、Caspase-3 mRNA均无明显变化;HG+pcDNA3.1-Bmal1组与HG+pcDNA3.1组相比较,Bcl2 mRNA升高,Bax、Caspase-3 mRNA表达明显下降(均P < 0.01)。
|
| 与NG组比较,aP < 0.01;与HG+pcDNA3.1组比较,bP < 0.01 图 4 实时荧光定量PCR法检测Bcl2、Bax、Caspase-3 mRNA表达 |
|
|
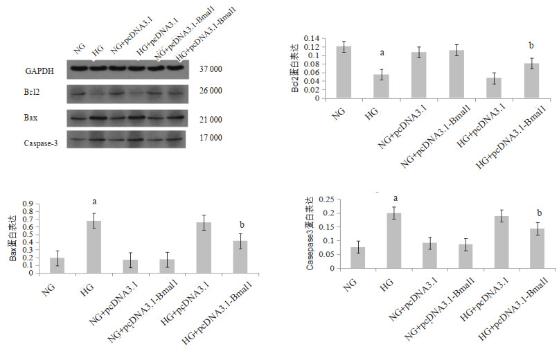
如图 5所示,与NG组相比,高糖导致Bcl2蛋白表达明显下降,Bax、Caspase-3蛋白表达明显升高(均P < 0.01)。以NG+pcDNA3.1组为对照,NG+pcDNA3.1-Bmal1组Bcl2、Bax、Caspase-3蛋白表达无明显变化;HG+pcDNA3.1-Bmal1组与HG+pcDNA3.1组相比较,Bcl2蛋白表达升高,Bax、Caspase-3表达明显下降(均P < 0.01)。
|
| 与NG组比较,aP < 0.01;与HG+pcDNA3.1组比较,bP < 0.01 图 5 蛋白印迹法检测Bcl2、Bax、Caspase-3蛋白表达 |
|
|
高血糖是影响危重患者预后的一个独立危险因素。急性高血糖导致烧伤,心肌梗死,脑卒中和外伤患者的病死率增加[16-19]。目前一般将葡萄糖刺激4 h定义为急性糖毒性[20]。近来有研究表明,急性高血糖导致患者远期发生2型糖尿病的风险增加[5-6],但其机制尚不明确。有研究认为,高血糖可能是通过氧化应激途径诱发胰岛β细胞凋亡导致胰岛素分泌不足[8]。因此,早期有效控制血糖可能减少危重症患者病死率及远期糖尿病发生率,研究急性高糖对β细胞凋亡的影响及其机制,对高血糖的早期预防和治疗有重要意义。
时钟系统包括中枢和外周生物钟,在调控机体的行为和多种能量代谢过程中起重要作用,如糖脂代谢、睡眠/觉醒周期和激素分泌[10-11]。昼夜节律紊乱包括夜间进食、轮班工作,是导致2型糖尿病发病率增加的重要因素[21]。生物钟基因参与调控胰岛β细胞功能。Bmal1是时钟系统的核心成员之一,有研究表明,Bmal1调节β细胞的扩增和存活[22]。Bmal1基因缺失损害葡萄糖刺激的胰岛素分泌[23]。此外,Bmal1基因敲除加重高脂饮食诱导的小鼠β细胞凋亡[24]。但目前没有关于生物钟基因在急性高糖诱导的β细胞损伤作用的研究。本研究结果表明,急性高糖降低INS-1细胞增殖率,过表达Bmal1基因能减轻急性高糖对INS-1细胞增殖率的抑制作用,提示Bmal1基因对β细胞的保护作用。但其机制尚不明确。Rakshit等[22]的研究还发现,Bmal1基因功能异常可引起细胞周期调节紊乱,导致细胞增殖降低。也有研究发现,Bmal1基因功能异常通过BMP信号通路加重内皮向间质转化,促进氧化应激和动脉粥样硬化[25]。因此,Bmal1基因对维持正常细胞功能至关重要。
胰岛素分泌不足是2型糖尿病发病的主要环节,细胞凋亡在此环节中起关键作用。本研究结果发现,急性高糖导致Bcl2表达下降,Bax、Caspase-3水平升高。Bcl-2家族和Caspase家族是细胞凋亡通路的重要组成部分。Bcl-2家族包括促凋亡蛋白, 如Bax、Bak、Bik、Bid、Bim、Bad等以及抗凋亡蛋白, 如Bcl-2、Bcl-xL、Bcl-W、A1、Mcl-1等。其中Bcl-2和Bax是最重要的凋亡调节因子。在Caspase家族中,Caspase-3是最关键的凋亡执行分子。Bcl2、Bax可通过控制细胞色素C的释放,调节Caspase-3的活性。此外,Bcl2是Caspase-3的直接作用底物,其可变环区被Caspase-3剪切后裂解为Bcl2片段,功能从抑制凋亡变为促进凋亡。高糖可导致促凋亡蛋白Bax等增加,导致细胞凋亡;此外,在高糖诱发氧化应激时,细胞色素C进入细胞质,激活Caspase-9,进而活化Caspase-3,启动Caspase级联反应,促进细胞凋亡[9, 26]。本研究探讨了在急性高糖环境下,β细胞凋亡与Bmal1基因活性的关系,并进一步检测了Bcl-2、Bax和Caspase-3基因和蛋白水平表达,观察Bmal1基因在急性高糖通过Bcl-2/Bax/ Caspase-3信号通路诱导的INS-1细胞凋亡中的作用。结果表明,Bmal1基因过表达可减轻高糖诱导的细胞凋亡。此外,过表达Bmal1基因能降低高糖诱导的Bax、Caspase-3的表达,增加Bcl-2表达,提示Bmal1基因通过调控Bcl-2/Bax/ Caspase-3信号通路减少细胞凋亡,对β细胞起保护作用。因此,选择有效的靶点干预凋亡信号通路,可能为减轻β细胞损伤提供有效的治疗策略。
综上所述,本研究发现过表达Bmal1能通过Bcl-2/Bax/Caspase-3信号通路减轻急性高糖导致的胰岛β细胞凋亡,对β细胞起保护作用。因此,研究Bmal1基因对高糖诱导的INS-1细胞凋亡的作用可能为今后危重患者急性高血糖的处理提供理论依据。
利益冲突 所有作者均声明不存在利益冲突
| [1] | Hirshberg E, Larsen G, van Duker H. Alterations in glucose homeostasis in the pediatric intensive care unit: Hyperglycemia and glucose variability are associated with increased mortality and morbidity[J]. Pediatr Crit Care Med, 2008, 9(4): 361-366. DOI:10.1097/pcc.0b013e318172d401 |
| [2] | Kerby JD, Griffin RL, MacLennan P, et al. Stress-induced hyperglycemia, not diabetic hyperglycemia, is associated with higher mortality in trauma[J]. Ann Surg, 2012, 256(3): 446-452. DOI:10.1097/sla.0b013e3182654549 |
| [3] | Hwangbo Y, Lee EK. Acute hyperglycemia associated with anti-cancer medication[J]. Endocrinol Metab, 2017, 32(1): 23-29. DOI:10.3803/enm.2017.32.1.23 |
| [4] | McCowen KC, Malhotra A, Bistrian BR. Stress-induced hyperglycemia[J]. Crit Care Clin, 2001, 17(1): 107-124. DOI:10.1016/s0749-0704(05)70154-8 |
| [5] | Terlecki M, Bryniarski L, Bednarek A, et al. The risk of diabetes development in long-term observation of patients with acute hyperglycaemia during myocardial infarction[J]. Kardiol Pol, 2015, 73(8): 606-612. DOI:10.5603/kp.a2015.0066 |
| [6] | Meisinger C, Beck J, Heier M, et al. Myocardial infarction and incidence of type 2 diabetes mellitus. Is admission blood glucose an independent predictor for future type 2 diabetes mellitus?[J]. Am Heart J, 2010, 159(2): 258-263. DOI:10.1016/j.ahj.2009.11.027 |
| [7] | Yan DE, Zhao YN, Gao XY, et al. Acute intravenous glucose load impairs early insulin secretion and insulin content in islet β cells in mice[J]. Life Sci, 2016, 144: 148-155. DOI:10.1016/j.lfs.2015.12.012 |
| [8] | Kooptiwut S, Wanchai K, Semprasert N, et al. Estrogen attenuates AGTR1 expression to reduce pancreatic β-cell death from high glucose[J]. Sci Rep, 2017, 7(1): 16639. DOI:10.1038/s41598-017-15237-4 |
| [9] | van Delft MF, Huang DC. How the Bcl-2 family of proteins interact to regulate apoptosis[J]. Cell Res, 2006, 16(2): 203-213. DOI:10.1038/sj.cr.7310028 |
| [10] | Marcheva B, Ramsey KM, Buhr ED, et al. Disruption of the clock components CLOCK and BMAL1 leads to hypoinsulinaemia and diabetes[J]. Nature, 2010, 466(7306): 627-631. DOI:10.1038/nature09253 |
| [11] | Shi SQ, Ansari TS, McGuinness OP, et al. Circadian disruption leads to insulin resistance and obesity[J]. Curr Biol, 2013, 23(5): 372-381. DOI:10.1016/j.cub.2013.01.048 |
| [12] | Li J, Lv S, Qiu XC, et al. BMAL1 functions as a cAMP-responsive coactivator of HDAC5 to regulate hepatic gluconeogenesis[J]. Protein Cell, 2018, 9(11): 976-980. DOI:10.1007/s13238-018-0514-y |
| [13] | Zhang DQ, Tong X, Arthurs B, et al. Liver clock protein BMAL1 promotesde NovoLipogenesis through insulin-mTORC2-AKT signaling[J]. J Biol Chem, 2014, 289(37): 25925-25935. DOI:10.1074/jbc.m114.567628 |
| [14] | Woon PY, Kaisaki PJ, Braganca J, et al. Aryl hydrocarbon receptor nuclear translocator-like (BMAL1) is associated with susceptibility to hypertension and type 2 diabetes[J]. Proc Natl Acad Sci U S A, 2007, 104(36): 14412-14417. DOI:10.1073/pnas.0703247104 |
| [15] | Hatanaka F, Matsubara C, Myung J, et al. Genome-wide profiling of the core clock protein BMAL1 targets reveals a strict relationship with metabolism[J]. Mol Cell Biol, 2010, 30(24): 5636-5648. DOI:10.1128/mcb.00781-10 |
| [16] | Gauglitz GG, Herndon DN, Jeschke MG. Insulin resistance postburn: underlying mechanisms and current therapeutic strategies[J]. J Burn Care Res, 2008, 29(5): 683-694. DOI:10.1097/bcr.0b013e31818481ce |
| [17] | Smit JWA, Romijn JA. Acute insulin resistance in myocardial ischemia: causes and consequences[J]. Semin Cardiothorac Vasc Anesth, 2006, 10(3): 215-219. DOI:10.1177/1089253206291153 |
| [18] | Ray B, Ludwig A, Yearout LK, et al. Stress-induced hyperglycemia after spontaneous subarachnoid hemorrhage and its role in predicting cerebrospinal fluid diversion[J]. World Neurosurg, 2017, 100: 208-215. DOI:10.1016/j.wneu.2017.01.008 |
| [19] | Leto R, Desruelles D, Gillet JB, et al. Admission hyperglycaemia is associated with higher mortality in patients with hip fracture[J]. Eur J Emerg Med, 2015, 22(2): 99-102. DOI:10.1097/mej.0000000000000119 |
| [20] | Gresele P, Guglielmini G, de Angelis M, et al. Acute, short-term hyperglycemia enhances shear stress-induced platelet activation in patients with type Ⅱ diabetes mellitus[J]. J Am Coll Cardiol, 2003, 41(6): 1013-1020. DOI:10.1016/s0735-1097(02)02972-8 |
| [21] | Sridhar GR, Sanjana NSN. Sleep, circadian dysrhythmia, obesity and diabetes[J]. World J Diabetes, 2016, 7(19): 515. DOI:10.4239/wjd.v7.i19.515 |
| [22] | Rakshit K, Hsu TW, Matveyenko AV. Bmal1 is required for beta cell compensatory expansion, survival and metabolic adaptation to diet-induced obesity in mice[J]. Diabetologia, 2016, 59(4): 734-743. DOI:10.1007/s00125-015-3859-2 |
| [23] | Lee J, Kim MS, Li RY, et al. Loss of Bmal1 leads to uncoupling and impaired glucose-stimulated insulin secretion in β-cells[J]. Islets, 2011, 3(6): 381-388. DOI:10.4161/isl.3.6.18157 |
| [24] | Wang YH, Gao P, Wei C, et al. Calcium sensing receptor protects high glucose-induced energy metabolism disorder via blocking gp78-ubiquitin proteasome pathway[J]. Cell Death Dis, 2017, 8(5): e2799. DOI:10.1038/cddis.2017.193 |
| [25] | Zhu MJ, Tang HF, Tang X, et al. BMAL1 suppresses ROS-induced endothelial-to-mesenchymal transition and atherosclerosis plaque progression via BMP signaling[J]. Am J Transl Res, 2018, 10(10): 3150-3161. |
| [26] | Galluzzi L, Vitale I, Abrams JM, et al. Molecular definitions of cell death subroutines: recommendations of the Nomenclature Committee on Cell Death 2012[J]. Cell Death Differ, 2012, 19(1): 107-120. DOI:10.1038/cdd.2011.96 |
2020, Vol. 29



