2 广东省人民医院(广东省医学科学院)急危重症医学部,广州 510800;
3 广东省人民医院(广东省医学科学院)临床微生物室,广州 510800
创伤弧菌也被称为海洋弧菌,是一种栖息于海洋中的嗜盐的革兰阴性菌,该菌生长在20~25 ℃的水域中,在我国东南沿海及台湾地区多见[1]。创伤弧菌可通过多种途径侵入人体,生食海鲜、被海洋生物扎伤、伤口直接接触海水均可致病。一旦人体感染创伤弧菌,将在48 h内出现感染性休克、皮肤肌肉坏死,进而引起多脏器功能衰竭[2]。创伤弧菌脓毒性休克属于罕见病,但该病进展快速,病情凶险,救治难度极大,病死率高达75%[3]。广东省人民医院2009—2017年共收治创伤弧菌脓毒性休克患者3例,现报道如下。
1 资料与方法 1.1 一般资料广东省人民医院2009—2017年收治的3例创伤弧菌脓毒性休克患者的一般资料见表 1。
| 病例 | 年龄/性别 | 既往病史 | 致病原因 | 发病距暴露时间 | 首诊距暴露时间 | 感染部位 | 首次细菌培养 | |
| 伤口分泌物 | 血液 | |||||||
| 1 | 63岁/男性 | 乙肝肝硬化 | 死海鱼骨扎伤 | 12 h | 28 h | 左下肢 | 创伤弧菌 | 阴性 |
| 2 | 43岁/男性 | 酒精性肝硬化 | 进食海鲜 | 16 h | 48 h | 双下肢 | 创伤弧菌 | 创伤弧菌 |
| 3 | 56岁/男性 | 乙肝肝硬化;冠心病3支病变(支架置入史) | 鲜海鱼扎伤 | 6 h | 13 h | 右上肢 | 创伤弧菌 | 创伤弧菌 |
3例患者均急性起病。首先表现为患处肿胀、剧烈疼痛及活动障碍。随后出现患处瘀斑、张力性水疱甚至皮肤坏死。笔者报道3例患者均在16 h内出现高热,48 h内出现感染性休克。
1.3 诊断3例患者除均有肝硬化病史及典型临床表现外,实验室检查提示白细胞、中性粒细胞比例、C反应蛋白、降钙素原、血糖等指标均升高,血红蛋白、白蛋白、血小板、血钙、血钠均降低。超声、CT或磁共振(MRI)平扫表现为组织、肌肉广泛肿胀,无积气,无明显脓腔。患处组织液或者血液涂片可发现革兰阴性弧菌,组织培养可发现创伤弧菌。切开患处皮肤可见筋膜组织广泛坏死,大量洗肉水样渗液,无明显臭味。肌肉组织水肿、色泽晦暗,电凝无收缩。
1.4 治疗本文3例病例均在重症监护病房治疗。3例患者入院时均诊断脓毒性休克,采取高级生命支持治疗,积极补液纠正休克,经验性使用广谱抗生素(覆盖革兰阳性菌和革兰阴性菌)。3例患者分别在伤后1~9 d接受了清创手术,2例患者进行截肢(单个肢体),1例患者进行了2次清创手术。3例患者均施行了伤口封闭负压引流。本研究经医院伦理委员会批准,伦理批件号:粤医科伦理2016407H号。
2 结果 2.1 病原学及病理学结果3例患者中,2例首诊入院患者首次患处组织液、血液均培养出创伤弧菌。抗生素治疗后未再培养出创伤弧菌。1例转诊患者于当地医院培养出创伤弧菌,转入本院后多次培养均阴性。药敏试验结果显示创伤弧菌对大多数抗生素敏感,其中以三代头孢菌素和喹诺酮类药物MIC值最低,体外敏感性最强。
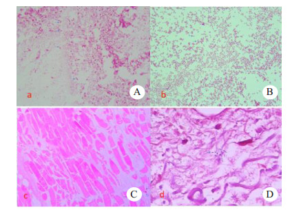
2.2 临床结局3例患者均在重症监护病房内接受治疗,治疗过程中均有病情好转期,最终均因肝衰竭无法恢复死亡,平均存活时间为18.3 d。患者感染部位组织病原学及病理学图片见图 1。患者的典型图片见图 2。
|
| A:患者坏死组织涂片镜下观,可见G-弧菌(HE×1 000);B:菌落涂片镜下观,可见大量G-弧菌(HE×1 000);C:肌纤维肿胀、溶解(HE×400);D:高倍镜下可见弧菌(HE×1 000) 图 1 感染部位组织病原学及病理学检查 |
|
|
|
| A:患肢极度肿胀,皮肤瘀斑,起水疱,手指活动障碍;B:掌侧皮肤瘀斑,指端有缺血表现;C:术中见筋膜间大量洗肉水样渗液,无积气,无化脓,无明显臭味,肌肉组织肿胀,颜色晦暗,电凝无收缩;D:患者截肢术后病情改善,感染指标下降,伤口愈合较好(中间好转期);E:腹部CT提示肝硬化 图 2 患者典型病例图片 |
|
|
| 病例 | 抗生素选择 | 手术时间 | 手术操作 | 存活时间 | 病情缓解期a | 死亡原因b |
| 1 | 利奈唑胺针+亚胺培南西司他丁钠针 | 伤后5 d | 清创+负压 | 21 d | 8 d | 肝功能衰竭革兰阴性菌败血症(耐ESBL肺炎克雷伯菌) |
| 2 | 万古霉素针+美罗培南针+左氧氟沙星针 | 伤后9 d | 清创+截肢(左下肢)+负压(右下肢) | 19 d | 3 d | 肝功能衰竭消化道大出血真菌败血症(热带念珠菌) |
| 3 | 派拉西林钠他唑巴坦钠针+左氧氟沙星针 | 伤后1 d伤后2 d | 清创+负压(第1次)截肢(第2次) | 15 d | 7 d | 肝功能衰竭 |
| 注:a病情好转期指患者治疗周期中间的某个时间段病情较入院时稳定,本文中以停呼吸机为评定标准;b死亡原因为导致患者死亡的直接死因 | ||||||
创伤弧菌属于革兰阴性菌,感染后广泛存在于患者组织、肌肉甚至血液中。该菌普通培养基可以良好生长[4],但对大多数抗生素敏感,使用广谱抗生素后较难获取阳性结果[5]。笔者报道的3例患者,均反复进行血培养或者组织培养,但使用广谱抗生素治疗后未再培养出创伤弧菌。
创伤弧菌感染的发病机制尚未完全明确。研究认为,与宿主环境耐受、铁摄取异常、细胞损伤与细胞毒性作用、毒力因子溶细胞毒素和金属蛋白酶等有关[6-10]。
体外药敏试验显示,创伤弧菌对多数抗生素敏感,喹诺酮类和三代头孢类药物MIC值最低。国内指南推荐联合使用喹诺酮类和三代头孢类抗菌药物,疗程7~10 d[10]。限于对该病的认识,笔者报道的3例患者中有1例用药符合指南推荐,另外2例选用超广谱抗生素(经验用药)。结果选用超广谱抗生素的2例患者均出现了院内感染(1例耐ESBL肺炎克雷伯菌,1例热带念珠菌),给后续治疗带来更大困难。而按指南推荐用药的患者未出现院内感染,更短的生存期(15 d)实际上与患者家属后续治疗不积极有一定关系(患者后来病情再次恶化后未插管及上机)。
单一抗感染治疗对创伤弧菌脓毒性休克效果不佳,可能与抗生素难以在感染部位达到有效杀菌浓度有关[11]。外科清创可去除坏死组织,减轻细菌负荷,有助于阻断细菌传播。因此,文献建议抗感染及外科清创两者联用,且外科清创需在诊断明确后尽早进行[12]。有文献认为,尽早外科清创有益于提高患者的存活率以及延长存活时间[13-14]。但鉴于病原菌培养的滞后性,创伤弧菌感染难以被及时识别[15],而等获得病原菌培养结果时,患者多已进展至脓毒性休克,丧失手术时机。虽然外科清创手术并没有改变本组3例创伤弧菌脓毒性休克患者的治疗结局,笔者仍认同尽早进行外科清创。一是因为外科清创可快速减轻患者疼痛,二是因为感染早期各类凝血因子尚未耗竭,出血风险相对低,手术耐受力相对好。截肢与否并未改善预后,但截肢有助于彻底去除感染源,阻断细菌传播链,使患者尽早进入“病情好转期”,可能使患者获益。另外,虽然伤口封闭负压引流技术有助于局限感染、引流渗液、减轻水肿[16],但会增加出血风险。3例患者中有1例因术后创面出血不止,进而出现消化道大出血,最终死亡。负压封闭引流技术是否能使创伤弧菌感染患者获益有待进一步验证。
文献报道创伤弧菌感染患者病死率与是否合并肝硬化密切相关[13]。合并肝硬化的创伤弧菌感染患者病死率为75%~100%,而无肝硬化的创伤弧菌感染患者病死率在30%以下[17],具体原因尚未明确。目前认为肝功能障碍可能在创伤弧菌感染的病理生理过程中发挥了关键作用。肝硬化的患者,肝脏的合成能力、内毒素清除能力均下降,宿主易被感染[18];由于合成功能下降,肝硬化患者体内各种细胞因子的水平均低下,一旦感染创伤弧菌,其发生败血症及其他并发症的的风险也显著增加[19];肝硬化患者铁代谢能力下降,容易蓄积中高水平的血清铁,而创伤弧菌具有多个铁调节基因,在高铁含量的环境中更具毒力,这也可能是合并肝硬化的创伤弧菌感染患者病死率更高的原因之一[20-21]。
中国是肝病大国,乙肝病毒携带者约1.2亿,肝硬化患者群体庞大。同时,我国拥有3.2万公里长的海岸线,近300万平方公里的海域,渔业作业及军事活动十分频繁。鉴于创伤弧菌感染病情凶险,特定人群病死率高,需要引起足够重视。
利益冲突 所有作者均声明不存在利益冲突
| [1] | 马聪, 陈昌国, 蒋学兵, 等. 中国海域海洋细菌分布特征分析[J]. 解放军医学杂志, 2012, 37(9): 909. |
| [2] | Chiang SR, Chuang YC. Vibrio vulnificus infection: clinical manifestations, pathogenesis, and antimicrobial therapy[J]. J Microbiol Immunol Infect, 2003, 36(2): 81-88. |
| [3] | Kumamoto KS, Vukich DJ. Clinical infections of Vibrio vulnificus: a case report and review of the literature[J]. J Emerg Med, 1998, 16(1): 61-66. DOI:10.1016/s0736-4679(97)00230-8 |
| [4] | 王志刚, 邵平扬, 曹浩强, 等. 创伤弧菌的培养与鉴定[J]. 中华医院感染学杂志, 2009(15): 2068-2070. DOI:10.3321/j.issn:1005-4529.2009.15.057 |
| [5] | Scully EP, Earp BE, Miller AL, et al. Just a cut[J]. N Engl J Med, 2016, 375(18): 1780-1786. DOI:10.1056/NEJMc1615253 |
| [6] | Gulig PA, Bourdage KL, Starks AM. Molecular pathogenesis of Vibrio vulnificus[J]. J Microbiol, 2005, 43(1): 118-131. |
| [7] | 曹兵兵, 高昉, 姜勇, 等. 创伤弧菌致病机制研究进展[J]. 温州医科大学学报, 2018, 48(2): 145-149. DOI:10.3969/j.issn.2095-9400.2018.02.016 |
| [8] | 帅维正, 刘剑飞, 吴成林, 等. 创伤弧菌溶细胞素对小鼠骨髓来源巨噬细胞坏死性凋亡的作用及机制[J]. 解放军医学杂志, 2018, 43(5): 419-423. DOI:10.11855/j.issn.0577-7402.2018.05.11 |
| [9] | 洪广亮, 戴晓琴, 向兰, 等. 创伤弧菌脓毒症大鼠脑组织转位蛋白的表达及抗菌药物的干预[J]. 中华急诊医学杂志, 2013(3): 260-265. DOI:10.3760/cma.j.issn.1671-0282.2013.03.008 |
| [10] | 洪广亮, 卢才教, 赵光举, 等. 创伤弧菌脓毒症诊疗方案(2018)[J]. 中华急诊医学杂志, 2018, 27(6): 594-598. DOI:10.3760/cma.j.issn.1671-0282.2018.06.005 |
| [11] | Bhat P, Bhaskar M, Sistla S, et al. Fatal case of necrotising fasciitis due to Vibrio vulnificus in a patient with alcoholic liver disease and diabetes mellitus[J]. BMJ Case Rep, 2019, 12(1). DOI:10.1136/bcr-2018-227851 |
| [12] | Park J, Lee CS. Vibrio vulnificus infection[J]. N Engl J Med, 2018, 379(4): 375-375. DOI:10.1056/NEJMicm1716464 |
| [13] | Chen SC, Chan KS, Chao WN, et al. Clinical outcomes and prognostic factors for patients with Vibrio vulnificus infections requiring intensive care: a 10-yr retrospective study[J]. Crit Care Med, 2010, 38(10): 1984-1990. DOI:10.1097/ccm.0b013e3181eeda2c |
| [14] | Lee CH, Wang CC, Yue CT, et al. Necrotising fasciitis caused by Vibrio vulnificus in a man with cirrhosis[J]. Lancet Infect Dis, 2008, 8(6): 399. DOI:10.1016/s1473-3099(08)70128-2 |
| [15] | 骆月琴, 王柏磊, 周石连, 等. 急诊创伤弧菌脓毒症的误诊分析及防范[J]. 中华急诊医学杂志, 2012, 21(4): 423-424. DOI:10.3760/cma.j.issn.1671-0282.2012.04.022 |
| [16] | Papes D. Negative pressure wound therapy for open fractures[J]. JAMA, 2018, 320(16): 1709. DOI:10.1001/jama.2018.11747 |
| [17] | Kuo Chou TN, Chao WN, Yang C, et al. Predictors of mortality in skin and soft-tissue infections caused by Vibrio vulnificus[J]. World J Surg, 2010, 34(7): 1669-1675. DOI:10.1007/s00268-010-0455-y |
| [18] | Chuang PY, Yang TY, Huang TW, et al. Hepatic disease and the risk of mortality of Vibrio vulnificus necrotizing skin and soft tissue infections: a systematic review and meta-analysis[J]. PLoS One, 2019, 14(10): e0223513. DOI:10.1371/journal.pone.0223513 |
| [19] | Powell JL, Strauss KA, Wiley C, et al. Inflammatory cytokine response to Vibrio vulnificus elicited by peripheral blood mononuclear cells from chronic alcohol users is associated with biomarkers of cellular oxidative stress[J]. Infect Immun, 2003, 71(7): 4212-4216. DOI:10.1128/iai.71.7.4212-4216.2003 |
| [20] | Hor LI, Chang TT, Wang ST. Survival of Vibrio vulnificus in whole blood from patients with chronic liver diseases: association with phagocytosis by neutrophils and serum ferritin levels[J]. J Infect Dis, 1999, 179(1): 275-278. DOI:10.1086/314554 |
| [21] | Choi G, Jang KK, Lim JG, et al. The transcriptional regulator IscR integrates host-derived nitrosative stress and iron starvation in activation of the vvhBA operon in Vibrio vulnificus[J]. J Biol Chem, 2020, 295(16): 5350-5361. DOI:10.1074/jbc.ra120.012724 |
2020, Vol. 29



