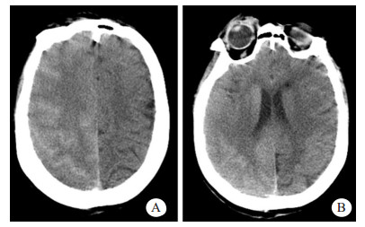
患者女性,71岁,2011年3月行食管癌切除术,6年来反复出现咯血症状,每次均在止血及抗感染治疗后好转。2018年1月20日患者再次出现咯血,入苏州大学附属第二医院介入科治疗。CT检查提示支气管扩张伴感染,遂于2018年1月25日在本院行支气管动脉栓塞术,分别对右支气管动脉远端、支气管动脉主干及左侧肋间动脉进行栓塞,术中使用的造影剂为碘海醇150 mL(浓度为30 g/100 mL)。术后仍出现反复痰中带血,因症状逐渐加重,患者于2018年8月13日再次来本院就诊。患者既往无高血压、糖尿病、心脏病等慢性病病史。入院后,给予患者头孢匹胺抗感染及止血、抑酸等对症支持治疗,咯血症状明显缓解。为进一步明确患者支气管动脉情况并予以处理,于8月17日穿刺右股动脉对患者施行支气管动脉造影+栓塞术,造影显示左侧两支支气管动脉与肋间动脉共干,左侧一支气管动脉血管明显增粗,紊乱,可见小片状可疑出血染色,遂对左侧两支与肋间动脉共干的支气管动脉分别予以栓塞,术中使用的造影剂为碘海醇100 mL(浓度为30 g/100 mL)。术中患者未有不适,术后患者安返病房。术后2 h, 患者无明显诱因下突然出现谵妄,查体:T 36.6℃,P 110次/min,BP 190/80 mmHg (1 mmHg=0.133 kPa),双侧瞳孔对光反射存在,左上肢肌力1级,右上肢肌力5级。急诊颅脑CT显示,右侧脑沟裂、纵裂池密度增高,局部脑实质肿胀、密度增高(图 1)。术后4 h颅脑MRI显示,右侧额叶部分皮质增厚,皮质T1WI信号稍减低,T2WI、T2WI-FLAIR、DWI信号增高,ADC信号稍高;右侧放射冠区见斑片状T1WI稍低信号,T2WI、T2WI-FLAIR、DWI高信号,ADC稍高信号影(图 2A~E);颅脑与颈部TOF-MRA显示各动脉未见明显扩张或狭窄征象。结合患者临床及影像学表现,在排除心脑血管病变后,经多学科会诊,考虑造影剂脑病。给予患者糖皮质激素抗炎、甘露醇降颅压、改善微循环及纠正电解质紊乱等对症处理,患者于术后第3天意识恢复,左侧肢体肌力明显好转。术后第6天,患者精神状态与左侧肢体肌力完全恢复,复查颅脑CT显示脑沟裂池内及局部脑实质高密度影消失,MRI各序列(图 2F~J)未见明显异常,予以出院,随访至今,患者未有不适。
|
| 患者介入栓塞术后2 h,示右脑沟裂、纵裂池密度增高(A),局部脑实质肿胀、密度增高(B) 图 1 患者颅脑CT检查结果 |
|
|
|
| 患者介入栓塞术后4 h(A~E),示右侧额叶部分皮质增厚,皮质T1WI信稍稍减低,T2WI、T2WI-FLAIR、DWI信号增高,ADC信号稍高;右侧放射冠区见斑片状T1WI稍低信号,T2WI、T2WI-FLAIR、DWI高信号,ADC稍高信号影。患者出现症状后第6天复查(F~J)示颅脑已基本显示正常 图 2 患者颅脑MRI检查结果 |
|
|
血管介入造影后可以出现短暂的神经系统并发症,而其中又以造影剂脑病(contrast-induced encephalopathy, CIE)较为罕见,发生率约0.3%~1%[1],其临床表现缺乏特异性,轻者可表现为头痛、呕吐、皮质盲等,严重时可以出现偏瘫、癫痫及意识障碍,但造影剂脑病为可逆性病变,绝大多数患者经补液等对症支持治疗后可短期内恢复,预后良好[2]。目前,造影剂脑病的诊断还缺乏统一标准,常需结合患者的临床和影像学表现,在排除血栓栓塞或脑出血等并发症后综合做出最终诊断。迄今为止国内报道的病例不足30例,且均缺乏完整的影像学资料。经患者知情同意,本病例提供了其发病时的CT与MRI影像,在国内相关报道中尚属少见。
造影剂脑病一般发生于血管内注射造影剂后数分钟至数小时,其发病机制尚不明确,可能是造影剂的理化特性导致血脑屏障通透性增加,造影剂透过血脑屏障进入脑沟裂池内并造成部分脑组织的毒性反应[3],尤其好发于使用大剂量高渗非离子型碘造影剂的情况下,但有研究指出,所有类型的碘造影剂,无论其渗透压或离子状态如何,都有可能导致造影剂脑病的发生,且并不一定发生在大剂量使用的情况下[1, 4]。本例患者两次介入手术中所使用的碘海醇为次高渗非离子型碘造影剂,该类造影剂较低剂量使用后引起的造影剂脑病已有报道[5]。
临床表现轻微的造影剂脑病,影像学检查可以无异常发现。对于症状较为严重的患者,颅脑CT平扫及MRI检查常可见特征性表现。造影剂脑病的CT表现可以为脑水肿,皮质及皮质下异常高密度影,蛛网膜下腔密度增高以及局灶性高密度改变等[2, 6]。但是,有些造影剂脑病患者虽然症状严重,CT平扫也可无异常发现[4]。CT上脑实质的异常高密度影在MRI上可以表现为T2WI、DWI及FLAIR高信号灶,而ADC可无明显异常[3, 6]。这些异常的影像学表现均会在临床对症治疗后短期内消失。本例患者的CT及MRI表现与文献报道相符。
造影剂脑病需与部分脑血管疾病相鉴别,主要是蛛网膜下腔出血和急性缺血性梗死。蛛网膜下腔出血与造影剂脑病在CT上都可以表现为脑沟裂池内高密度影,但出血的CT值一般为40~60 HU,而进入脑沟裂池的造影剂CT值约为80~160 HU[3]。造影剂脑病的异常高密度影会在24~48 h内变淡甚至消失,但出血的高密度影常可持续数天至数周。不同时期的蛛网膜下腔出血在T2WI-FLAIR上均可表现为脑沟内高信号[7],而本例CT图像中脑沟裂池内的高密度影在T2WI-FLAIR上表现为与正常脑脊液类似的低信号。造影剂脑病患者可以出现类似急性缺血性梗死导致的头痛、偏瘫等神经系统症状,但急性缺血性梗死在ADC上表现为低信号,颅脑TOF-MRA常可见到脑血管的局限性狭窄或闭塞,本例患者ADC信号未见降低且颅脑TOF-MRA未见明显异常。
综上所述,当患者血管介入造影后短时间内出现严重的神经系统症状,CT或MRI检查发现上述影像学表现,需考虑造影剂脑病的可能,进而避免采取不必要的治疗措施。
利益冲突 所有作者均声明不存在利益冲突
| [1] | Potsi S, Chourmouzi D, Moumtzouoglou A, et al. Transient contrast encephalopathy after carotid angiography mimicking diffuse subarachnoid haemorrhage[J]. Neurol Sci, 2012, 33(2): 445-448. DOI:10.1007/s10072-011-0765-3 |
| [2] | Donepudi B, Trottier S. A seizure and hemiplegia following contrast exposure: understanding contrast-induced encephalopathy[J]. Case Rep Med, 2018, 2018: 9278526. DOI:10.1155/2018/9278526 |
| [3] | Yu J, Dangas G. Commentary: new insights into the risk factors of contrast-induced encephalopathy[J]. J Endovascular Ther, 2011, 18(4): 545-546. DOI:10.1583/11-3476c.1 |
| [4] | Dattani A, Au L, Tay KH, et al. Contrast-induced encephalopathy following coronary angiography with No radiological features: a case report and literature review[J]. Cardiology, 2018, 139(3): 197-201. DOI:10.1159/000486636 |
| [5] | Sawaya RA, Hammoud R, Arnaout S, et al. Contrast-induced encephalopathy following coronary angioplasty with iohexol[J]. South Med J, 2007, 100(10): 1054-1055. DOI:10.1097/smj.0b013e3181540086 |
| [6] | Law S, Panichpisal K, Demede M, et al. Contrast-induced neurotoxicity following cardiac catheterization[J]. Case Rep Med, 2012, 2012: 267860. DOI:10.1155/2012/267860 |
| [7] | 金红花, 杨卫, 程若勤. 磁共振T_2FLAIR与DWI序列在少量自发性蛛网膜下腔出血中的诊断价值[J]. 医学影像学杂志, 2017, 27(3): 416-418,421. |
2020, Vol. 29



