急性胰腺炎(acute pancreatitis, AP)是胰腺的一种急性炎症性疾病,也是世界上最致命的消化道疾病之一,在美国每年约有27.9万AP相关的住院患者,造成约26亿美元的医疗费用[1-2]。近年来AP发病率呈上升趋势,全身炎症反应综合征(systemic inflammation response syndrome, SIRS)和随之而来的器官衰竭经常发生在胰腺炎发病两周内[3]。根据疾病的严重程度,可将AP分为轻度胰腺炎、中度重症胰腺炎和重症急性胰腺炎(severe acute pancreatitis, SAP),其中SAP占比10%~20%,尽管近些年对SAP进行了很多深入研究,但其院内病死率仍高达15%[3]。胰腺炎相关肺损伤(pancreatitis-associated lung injury, PALI)和呼吸功能衰竭是SAP最常见最严重的早期并发症,也是SAP死亡的重要原因,在SAP确诊后的第一周内,60%的死亡是由PALI引起的[4-5],但PALI的机制尚未完全阐明。巨噬细胞移动抑制因子(macrophage migration inhibitory factor, MIF)是重要的促炎因子[6],有研究表明MIF与PALI有关[7],但是其在PALI的研究相对较少且具体作用机制不明,尤其缺少利用基因敲除进行PALI的研究。本团队前期研究提示MIF可促进急性胰腺炎的发生并加重其严重程度[8],本研究拟在前期研究基础上进一步研究MIF与PALI的关系,并初步探讨其可能的机制。
1 材料与方法 1.1 MIF基因敲除(MIF-/-)(MIF-KO)小鼠的传代本研究使用的所有动物和实验程序均经郑州大学第一附属医院伦理研究委员会批准(伦理审批号2019-KY-140)。杂合子MIF+/-小鼠(背景为C57BL/6)由南京生物医学研究所提供。小鼠饲养温度(25±1)℃,相对湿度(55±10)%,光/暗周期为12 h。从小鼠尾尖提取基因组DNA进行基因分型。MIF基因缺陷(MIF-KO)小鼠通过MIF杂合子交配繁殖获得。用6~8周龄纯合子MIF-KO和野生(WT)小鼠分别建立SAP模型。
1.2 实验动物分组WT小鼠和MIF-KO小鼠各16只,6~8周龄,共随机(随机数字法)分为四组:野生型对照组(WT+CON)、野生型SAP组(WT+SAP)、MIF基因敲除对照组(KO+CON)、MIF基因敲除SAP组(KO+SAP)。每组8只。
1.3 动物模型的制作及处理6~8周龄雄性WT和KO小鼠腹腔注射L-精氨酸共2次,剂量为4 mg/g(用生理盐水稀释L-精氨酸原液,pH 7.0),间隔1 h[9]。第二次注射L-精氨酸的时间点定为0。相应对照组腹腔注射等量的生理盐水。SAP诱导后72 h,在1%戊巴比妥钠全麻下经眶静脉丛放血法采集血样,3 000 g离心10 min,在4 ℃取清洁血清于-80 ℃保存。处死小鼠,取胰腺及肺组织,分别迅速分为两部分,一部分于-80 ℃中保存备用,另一部分采用4%甲醛固定。
1.4 实验试剂小鼠基因组DNA提取试剂盒由中国成都FOREGENE公司提供。L-精氨酸和BCA蛋白检测试剂盒购自Solarbio Science and Technology(中国北京)。白细胞介素-6(IL-6)和NF-κB p65购自Cell Signaling Technology公司(美国)。淀粉酶(AMY)、免疫组化、IL-6和MIF ELISA试剂盒和免疫印迹实验试剂盒购自上海酶联生物科技有限公司。肿瘤坏死因子-α(TNF-α)的特异性抗体由英国ABCAM公司提供。RIPA裂解缓冲液、磷酸酶抑制剂购自碧云天生物技术公司(中国南京)。髓过氧化物酶(MPO)试剂盒购自Cloud Clone(中国武汉)。
1.5 指标检测 1.5.1 生化因子检测小鼠血清AMY、IL-6、TNF-α、MIF的水平采用特异性ELISA法进行检测。
1.5.2 胰腺及肺组织病理学检查由两位经验丰富的病理科医师在光镜下盲法观察胰腺和肺的组织学变化。
① 胰腺损伤组织学评分:依据文献[10]的方法并结合文献[7]的方法对胰腺的损伤进行病理学评分。
② 肺损伤组织学评分:依据文献[11]的评分标准,对肺的损伤进行病理学评分。
1.5.3 免疫组化检测肺组织IL-6和TNF-α采用链菌素亲生物素-过氧化物酶法(SP法),严格按照试剂盒说明书来操作。各组取肺组织切片,二甲苯脱蜡再复水,阻断内源性过氧化氢酶,胰蛋白酶修复抗原30 min,用一抗和二抗孵育细胞,DAB显色染色。观察IL-6、TNF-α的表达。
1.5.4 Western blot检测肺组织NF-κB的表达采用RIPA试剂盒提取肺组织的总的蛋白量,蛋白样本的浓度采用BCA蛋白定量试剂盒检测;加样40 μg,SDS-PAGE分离,移至PVDF膜上,封闭1.5 h,多克隆抗体兔抗NF-κB(1∶1 000)和单克隆抗体小鼠抗Actin(1∶1 000)在4℃下用50 g/L BSA稀释过夜。TBST每6 min洗膜1次,共三次;分别加HRP标记的山羊抗兔IgG或山羊抗小鼠IgG,孵育2 h,ECL显影。
1.6 统计学方法计量资料以均数±标准差(Mean±SD)表示,SPSS20.0统计软件进行数据分析处理。两组之间比较采用t检验,多组比较采用单因素方差分析。以P < 0.05为差异有统计学意义。
2 结果 2.1 MIF-KO和WT小鼠的传代和分析由南京大学南京生物医学研究所采用CRISPR/Cas9法删除外显子1、2和3进行MIF基因敲除(图 1A)。用MIF+/-杂合子小鼠杂交产生MIF-/-纯合子小鼠。从小鼠尾尖提取基因组DNA进行基因分型,以证实基因缺失(图 1B)。产生的KO小鼠行为正常,并具有生育能力。6~8周龄纯合子KO小鼠和年龄匹配的WT小鼠用于后续SAP造模实验。
|
| A:MIF基因KO方案;B:MIF+/-杂合子小鼠交配产生的MIF基因纯合缺失的基因分型 图 1 MIF基因敲除(MIF-KO)和野生型小鼠(WT)的传代和分析 Fig 1 Generation and analysis of MIF-KO and WT mice |
|
|
WT+SAP组小鼠血清AMY、IL-6、TNF-α、MIF水平较WT+CON组和KO+SAP组显著升高,差异有统计学意义(P < 0.05)。KO+SAP组AMY、IL-6、TNF-α、MIF水平与WT+SAP组和KO+CON组相比明显降低,差异有统计意义(P < 0.05)见图 2A。光镜下胰腺组织病理提示,WT+CON组和KO+CON组小叶完整,没有明显的病理改变或仅见轻度水肿。WT+SAP组和KO+SAP组胰腺组织切片显示胰腺不同程度的水肿、出血、片状坏死,胰腺小叶间隙增宽并伴有炎症细胞浸润,较WT+CON组和KO+CON组病理评分明显升高(P < 0.05);且KO+SAP组与WT+SAP组相比,胰腺组织病理改变及病理评分较低,差异有统计学意义(P < 0.05)。见图 2B。
|
| A:各组小鼠血清AMY、IL6、TNF-α、MIF水平比较;aP < 0.05,bP < 0.01;B:各组小鼠胰腺组织病理改变(HE×400) 图 2 小鼠胰腺生化及胰腺组织病理变化 Fig 2 Laboratory test index and pathological changes of pancreas in mice |
|
|
WT+CON组和KO+CON组肺组织肉眼未见明显异常,光镜下肺间质无渗出,肺泡壁完整;KO+SAP组小鼠肺组织间隙增宽,并可见大量炎性细胞,且肺泡腔内可见弥漫性渗出伴局灶性实变,见图 3A;KO+SAP组肺组织病理评分较KO+CON组小鼠显著升高(P < 0.01)。WT+SAP组病变较对照组严重,肺组织病理评分较WT+CON组小鼠显著升高(P < 0.01);KO+SAP组与WT+SAP组相比病理评分显著降低,差异有统计学意义(P < 0.05)。见图 3B。
|
| A:各组小鼠肺组织的病理组织学改变(HE×400);B:各组小鼠肺组织病理评分;aP < 0.05,bP < 0.01 图 3 小鼠肺组织病理变化 Fig 3 Pathological changes of lung tissue in mice |
|
|
采用免疫组织化学染色法染色,WT+SAP组小鼠肺组织中TNF-α表达显著高于WT+CON组和KO+SAP组,免疫组化吸光度值显著高于WT+CON组和KO+SAP组,差异均有统计学意义(P < 0.01);WT+SAP组小鼠肺组织中IL-6表达分别与WT+CON组和KO+SAP组相比明显增加,吸光度值显著升高,差异有统计学意义(P < 0.01)。KO+SAP组IL-6和TNF-α的表达较KO+CON组小鼠显著升高,差异有统计学意义(P < 0.05),见图 4。
|
| aP < 0.05,bP < 0.01 图 4 小鼠肺组织中IL-6及TNF-α的表达(免疫组织化学染色×400) Fig 4 Expression of IL-6 and TNF-α in lung tissue of mice (Immunohistochemical staining ×400) |
|
|
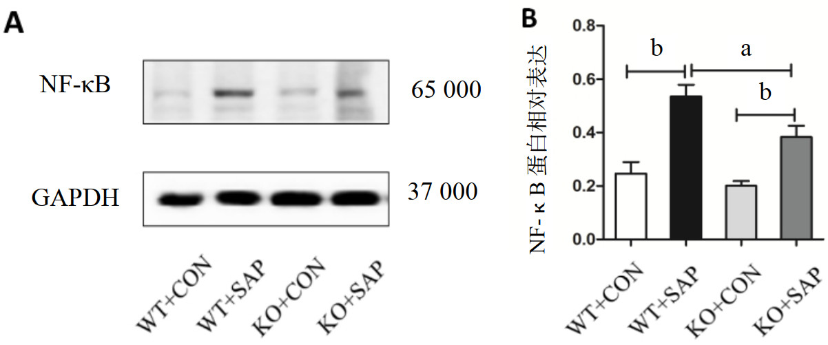
采用Western blot检测各组小鼠肺组织中NF-κB,发现WT+SAP组小鼠肺组织NF-κB表达水平分别高于WT+CON组和KO+SAP组,差异均有统计学意义(P < 0.01或P < 0.05)。与KO+CON组相比,KO+SAP组NF-κB蛋白表达水平增高,差异有统计学意义(P < 0.05),见图 5。
|
| aP < 0.05,bP < 0.01 图 5 小鼠肺组织NF-κB蛋白的表达 Fig 5 Expression of NF-κB protein in lung tissue of mice |
|
|
SAP的早期机体即过度释放炎性细胞因子并迅速导致难以控制的广泛的炎症反应[3],MCP-1、TNF-α、前列腺素E(prostaglandin E,PGE)、IL-1、IL-6、环氧合酶-2(cyclooxygenase-2,COX-2)等均参与胰腺炎的炎症反应。SAP患者早期可迅速导致严重的急性肺损伤并发生急性呼吸窘迫综合征(acute respiratory distress syndrome, ARDS),是SAP第一死亡高峰的重要原因之一[12],因此肺损伤导致SAP早期大约60%的患者死亡[4, 13]。本实验参考赵秋玲等[14]利用L-精氨酸构建动物模型,实验结果显示WT+SAP组小鼠血清AMY及胰腺及肺组织病理评分较WT+CON组明显升高,证实PALI模型构建成功;免疫组织化学染色结果显示,WT+SAP组小鼠肺组织中IL-6和TNF-α的表达与WT+CON组相比明显增加,证实炎症因子的激活参与PALI的发病过程。
有研究表明,巨噬细胞的过度激活与PALI密切相关,MIF是SAP早期炎症因子瀑布样反应的关键因子,且增加患者的病死率[15-16]。用中和抗体或小分子抑制剂抑制MIF在各种动物模型中的结肠炎[17]、严重脓毒症[18]、慢性阻塞性肺疾病[19]、过敏性气道炎症[20]和膀胱炎[21]已显示出良好的治疗前景。因此,MIF可能是开发药物以减轻与胰腺炎相关的病理性炎症的候选药物之一。本实验通过基因敲除技术精准敲除MIF基因,发现敲除组相关炎症因子IL-6、TNF-α显著减少,组织病理学发现胰腺及肺炎症反应较对照组显著减轻,因此MIF可能参与了AP炎症因子的释放,敲除MIF可明显减少炎症因子的释放,减轻胰腺及肺组织的病理性炎症改变。
NF-κB参与全身的免疫和炎症反应,亦参与AP及其相关并发症的发生及发展[22]。经研究证实,多种细胞因子如IL-17A、TNF-α等的活化与胰腺炎的发生进展关系密切,且都与NF-κB激活有关[23-24]。NF-κB在AP早期在腺泡细胞中被激活并引起多种促炎症基因的表达[25]。胰腺炎的多个实验模型表明NF-κB的激活与AP的严重程度相关[26]。早期研究表明,药物抑制NF-κB可促进胰腺炎及其相关并发症改善[27]。本研究结果显示WT+SAP组小鼠肺组织中NF-κB较其他三组明显升高,KO+CON组NF-κB较WT+SAP组明显降低。因此本研究发现在PALI的发生发展中NF-κB通路被激活,且NF-κB的激活与MIF密切相关。
综上所述,本研究结果表明通过MIF基因敲除,可减少炎症因子的产生和分泌,可减轻PALI的损伤程度,同时伴随NF-κB降低,MIF可能通过激活NF-κB信号通路在加重PALI的损伤程度,但两者的具体作用机制尚需进一步研究。针对MIF的治疗可能对于PALI的治疗提供新的方法。
利益冲突 所有作者均声明不存在利益冲突
| [1] | Pandol SJ, Saluja AK, Imrie CW, et al. Acute pancreatitis: bench to the bedside[J]. Gastroenterology, 2007, 132(3): 1127-1151. DOI:10.1053/j.gastro.2007.01.055 |
| [2] | Peery AF, Crockett SD, Murphy CC, et al. Burden and cost of gastrointestinal, liver, and pancreatic diseases in the United States: update 2018[J]. Gastroenterology, 2019, 156(1): 254-272.e11. DOI:10.1053/j.gastro.2018.08.063 |
| [3] | van Santvoort HC, Bakker OJ, Bollen TL, et al. A conservative and minimally invasive approach to necrotizing pancreatitis improves outcome[J]. Gastroenterology, 2011, 141(4): 1254-1263. DOI:10.1053/j.gastro.2011.06.073 |
| [4] | Piao XH, Liu BH, Sui XD, et al. Picroside II improves severe acute pancreatitis-induced intestinal barrier injury by inactivating oxidative and inflammatory TLR4-dependent PI3K/AKT/NF-κB signaling and improving gut microbiota[J]. Oxid Med Cell Longev, 2020, 2020: 3589497. DOI:10.1155/2020/3589497 |
| [5] | Shields CJ, Winter DC, Redmond HP. Lung injury in acute pancreatitis: mechanisms, prevention, and therapy[J]. Curr Opin Crit Care, 2002, 8(2): 158-163. DOI:10.1097/00075198-200204000-00012 |
| [6] | Bernhagen J, Calandra T, Mitchell RA, et al. MIF is a pituitary-derived cytokine that potentiates lethal endotoxaemia[J]. Nature, 1993, 365(6448): 756-759. DOI:10.1038/365756a0 |
| [7] | Matsuda N, Nishihira J, Takahashi Y, et al. Role of macrophage migration inhibitory factor in acute lung injury in mice with acute pancreatitis complicated by endotoxemia[J]. Am J Respir Cell Mol Biol, 2006, 35(2): 198-205. DOI:10.1165/rcmb.2005-0272OC |
| [8] | Zhu CJ, Liu YN, Song YD, et al. Deletion of macrophage migration inhibitory factor ameliorates inflammation in mice model severe acute pancreatitis[J]. Biomedecine Pharmacother, 2020, 125: 109919. DOI:10.1016/j.biopha.2020.109919 |
| [9] | Dawra R, Sharif R, Phillips P, et al. Development of a new mouse model of acute pancreatitis induced by administration of L-arginine[J]. Am J Physiol Gastrointest Liver Physiol, 2007, 292(4): G1009-G1018. DOI:10.1152/ajpgi.00167.2006 |
| [10] | Schmidt J, Lewandrowsi K, Warshaw AL, et al. Morphometric characteristics and homogeneity of a new model of acute pancreatitis in the rat[J]. Int J Pancreatol, 1992, 12(1): 41-51. DOI:10.1007/BF02927069 |
| [11] | Hofbauer B, Saluja AK, Bhatia M, et al. Effect of recombinant platelet-activating factor acetylhydrolase on two models of experimental acute pancreatitis[J]. Gastroenterology, 1998, 115(5): 1238-1247. DOI:10.1016/s0016-5085(98)70096-4 |
| [12] | 董春阳, 张兴文. 代谢组学在AP中的应用及研究进展[J]. 中华急诊医学杂志, 2019, 28(3): 397-400. DOI:10.3760/cma.j.issn.1671-0282.2019.03.025 |
| [13] | Lu XG, Kang X, Zhan LB, et al. Circulating miRNAs as biomarkers for severe acute pancreatitis associated with acute lung injury[J]. World J Gastroenterol, 2017, 23(41): 7440-7449. DOI:10.3748/wjg.v23.i41.7440 |
| [14] | 赵秋玲, 黄承钰, 黄英, 等. L-精氨酸诱导AP小鼠肺损伤的实验研究[J]. 四川大学学报(医学版), 2004, 35(6): 839-842. DOI:10.3969/j.issn.1672-173X.2004.06.026 |
| [15] | Zhu RT, Zhao YP, Li XB, et al. Effects of penehyclidine hydrochloride on severe acute pancreatitis-associated acute lung injury in rats[J]. Biomedecine Pharmacother, 2018, 97: 1689-1693. DOI:10.1016/j.biopha.2017.12.025 |
| [16] | Sen R, Baltimore D. Multiple nuclear factors interact with the immunoglobulin enhancer sequences[J]. Cell, 1986, 46(5): 705-716. DOI:10.1016/0092-8674(86)90346-6 |
| [17] | Ohkawara T, Nishihira J, Takeda H, et al. Amelioration of dextran sulfate sodium-induced colitis by anti-macrophage migration inhibitory factor antibody in mice[J]. Gastroenterology, 2002, 123(1): 256-270. DOI:10.1053/gast.2002.34236 |
| [18] | Calandra T, Echtenacher B, Roy DL, et al. Protection from septic shock by neutralization of macrophage migration inhibitory factor[J]. Nat Med, 2000, 6(2): 164-170. DOI:10.1038/72262 |
| [19] | Russell KE, Chung KF, Clarke CJ, et al. The MIF antagonist ISO-1 attenuates corticosteroid-insensitive inflammation and airways hyperresponsiveness in an ozone-induced model of COPD[J]. PLoS One, 2016, 11(1): e0146102. DOI:10.1371/journal.pone.0146102 |
| [20] | Amano T, Nishihira J, Miki I. Blockade of macrophage migration inhibitory factor (MIF) prevents the antigen-induced response in a murine model of allergic airway inflammation[J]. Inflamm Res, 2007, 56(1): 24-31. DOI:10.1007/s00011-007-5184-9 |
| [21] | Vera PL, Wang XH, Meyer-Siegler KL. Upregulation of macrophage migration inhibitory factor (MIF) and CD74, receptor for MIF, in rat bladder during persistent cyclophosphamide-induced inflammation[J]. Exp Biol Med (Maywood), 2008, 233(5): 620-626. DOI:10.3181/0709-RM-240 |
| [22] | Sen R, Baltimore D. Multiple nuclear factors interact with the immunoglobulin enhancer sequences[J]. Cell, 1986, 46(5): 705-716. DOI:10.1016/0092-8674(86)90346-6 |
| [23] | Mo XJ, Ye XZ, Li YP. Effects of Euphorbia kansui on the serum levels of IL-6, TNF-α, NF-κB, sTNFR and IL-8 in patients with severe acute pancreatitis[J]. J Biol Regul Homeost Agents, 2019, 33(2): 469-475. |
| [24] | Li XL, Ye CX, Mulati M, et al. Ellipticine blocks synergistic effects of IL-17A and TNF-α in epithelial cells and alleviates severe acute pancreatitis-associated acute lung injury[J]. Biochem Pharmacol, 2020, 177: 113992. DOI:10.1016/j.bcp.2020.113992 |
| [25] | Muili KA, Jin SQ, Orabi AI, et al. Pancreatic acinar cell nuclear factor κB activation because of bile acid exposure is dependent on calcineurin[J]. J Biol Chem, 2013, 288(29): 21065-21073. DOI:10.1074/jbc.M113.471425 |
| [26] | Huang HJ, Liu Y, Daniluk J, et al. Activation of nuclear factor-κB in acinar cells increases the severity of pancreatitis in mice[J]. Gastroenterology, 2013, 144(1): 202-210. DOI:10.1053/j.gastro.2012.09.059 |
| [27] | Satoh A, Shimosegawa T, Fujita M, et al. Inhibition of nuclear factor-kappaB activation improves the survival of rats with taurocholate pancreatitis[J]. Gut, 1999, 44(2): 253-258. DOI:10.1136/gut.44.2.253 |
2021, Vol. 30



