2. 中山大学孙逸仙纪念医院泌尿外科, 广州 510120
2. Urology Surgery, Sun Yat-sen Memorial hospital, Sun Yat-sun university, Guangzhou, Guangdong, 510120, China
盆腔淋巴结清扫术是妇科及泌尿外科恶性肿瘤分期手术中不可或缺的组成部分,由于淋巴液回流通路的改变,术后淋巴囊肿的发生率达1.3~58%[1]。部分淋巴囊肿可能会通过血源、淋巴管源、临近组织器官局部播散或者手术操作等发生感染,如处置不当可引起血栓形成性静脉炎、败血症、脓毒性休克甚至死亡[2]。研究发现高BMI是盆腔淋巴结清扫术后淋巴囊肿形成的独立影响因子[3],而糖尿病是淋巴囊肿合并感染的危险因素之一[4]。糖尿病患者不仅存在葡萄糖代谢紊乱,还处于一种慢性炎症状态[5],一旦发生感染,容易发展为重症。但受其周围神经病变和免疫抑制状态的影响,患者发病初期所表现出来的体温、腹痛、血象等情况往往与感染程度不相符,易误导医生轻判病情,最终发展为脓毒性休克,救治困难。本研究拟通过回顾性分析13例糖尿病患者盆腔淋巴结清扫术后淋巴囊肿感染致脓毒性休克的临床资料,探讨其临床特征和诊治经过,希望以此引起临床医生的重视,提高抢救成功率,并指导该类患者淋巴囊肿后续的随访管理。
1 资料与方法 1.1 一般资料本研究内容已获得本院伦理委员会批准(伦理审批号SYSEC-KY-KS-2021-031)。通过病历检索系统收集既往病史,初次脓毒性休克出院后开展的随访包括询问囊肿的后续处置及转归均已获得患者或家属的知情同意。本研究回顾性纳入2015年1月至2020年1月新诊断膀胱癌、前列腺癌、肾癌、宫颈癌、子宫内膜癌及卵巢癌,并入住中山大学孙逸仙纪念医院泌尿外科和妇科的糖尿病患者,共计462例。入选标准:入院后经专科评估有手术适应证,术式包括盆腔淋巴结清扫术。术后通过体格检查、盆腔B超、CT、MRI等检查,有148例盆腔淋巴囊肿形成,其中有89例发生感染,之中的13例发展为脓毒性休克。排除标准:因肿瘤进展半年内死亡、临床资料不全、随访不足半年中断者。
1.2 研究方法通过本院病历检索系统,回顾性收集89例发生淋巴囊肿感染患者的一般资料:年龄、性别、糖尿病病程、入院时的BMI、糖基化血红蛋白、手术切除的淋巴结个数、术后引流管留置时间、淋巴囊肿最大直径及感染发生与辅助化疗的相隔时间。其中13例发生脓毒性休克的患者归为休克组;余76例归为非休克组;采用卡方检验进行分类标量分析,研究上述因素是否为淋巴囊肿感染进展为脓毒性休克的高危因素。
收集13例脓毒性休克患者体温、腹痛等始发症状、发病后首次血白细胞总数、中性粒细胞比例、发病至引流穿刺置管的时间及最终转归,分析其诊治经过;收集淋巴脓液病原学培养和药敏结果。在门诊超声、影像系统及电话随访追踪13例休克患者淋巴囊肿的后续情况,主要内容是该次感染后有无预处理残留的淋巴囊肿以及淋巴囊肿有无再发感染。如有干预囊肿,则进一步记录其具体的处置方法;如有再发感染,则进一步记录其发展和转归。
脓毒症定义[6-7]:存在感染且序贯器官衰竭评分(sequential organ failure assessment, SOFA)评分较基线值升高≥2分。根据患者既往病史做出基线评分;若患者缺少既往数据,则以入院时评分为基线数据。脓毒性休克为严重感染导致的心血管功能障碍,包括低血压、需要血管活性药物治疗或灌注异常。其诊断标准为存在脓毒症,在充分容量复苏后仍需要升压药物维持平均动脉压≥65 mmHg且血乳酸>2 mmol/L。若病例资料缺少血乳酸数据,则依据临床诊断[8]。
淋巴囊肿诊断标准[9]:主要经B超、CT等影像学检查进行诊断,且CT优于B超。淋巴囊肿感染的诊断标准[10]:(1)体温>37.4℃超过24 h或者下腹部疼痛;(2)体格检查可触及盆腔包块,压痛明显;(3)B超或CT提示,盆腔及腹股沟等位置的液性暗区,其内见均匀光点分布,边界清晰,或表现为边缘回声显著增强的盆腔囊性包块;(4)血培养或淋巴囊肿穿刺液细菌培养呈阳性。排除其他部位感染后,同时符合前3条即可诊断淋巴囊肿感染,符合第4条可明确诊断感染的病原菌,但并非诊断淋巴囊肿感染的必要条件。
1.3 统计学方法使用SPSS17.0进行统计分析。分类标量采用χ2检验进行分析,以P<0.05为差异有统计学意义。
2 结果 2.1 进展为脓毒症休克的相关因素分析分类标量分析发现糖基化血红蛋白(P=0.018)、辅助化疗(P=0.014)、囊肿大小(P<0.001)三个因素是淋巴囊肿感染的糖尿病患者进展为脓毒性休克的高危因素;血糖控制差、化疗后及较大的淋巴囊肿(d≥5 cm)形成的糖尿病患者,越容易在淋巴囊肿感染后进展为脓毒性休克;而年龄、性别、糖尿病病程、入院时的BMI、手术切除的淋巴结个数、术后引流管留置时间在休克和非休克患者组别之间差异无统计学意义,见表 1。
| 影响因素 | 感染无休克组(n=76) | 脓毒症休克组(n=13) | χ2值 | P值 |
| 年龄(岁) | ||||
| ≤55 | 28 | 4 | 0.178 | 0.763 |
| >55 | 48 | 9 | ||
| 性别 | ||||
| 男 | 37 | 6 | 0.028 | 1.000 |
| 女 | 39 | 7 | ||
| BMI(Kg/m2) | ||||
| ≤18.4 | 12 | 1 | 0.719 | 0.869 |
| 18.5~23.9 | 14 | 4 | ||
| 24~27.9 | 34 | 5 | ||
| ≥28 | 16 | 3 | ||
| 糖尿病病程(年) | ||||
| <5 | 18 | 2 | 0.445 | 0.912 |
| 5~10 | 48 | 9 | ||
| ≥10 | 10 | 2 | ||
| 糖基化血红蛋白(%) | ||||
| ≤6.1 | 12 | 0 | 6.016 | 0.014 |
| 6.1~8.0 | 47 | 6 | ||
| >8.0 | 17 | 7 | ||
| 切除淋巴结个数(个) | ||||
| ≤20 | 24 | 3 | 0.897 | 0.750 |
| 20~30 | 27 | 4 | ||
| >30 | 25 | 6 | ||
| 最大囊肿直径大小(cm) | ||||
| ≤5 | 23 | 2 | 18.236 | <0.001 |
| >5 | 53 | 11 | ||
| 引流管留置时间(d) | ||||
| ≤5 | 25 | 2 | 4.072 | 0.086 |
| 5~7 | 26 | 5 | ||
| >7 | 25 | 6 | ||
| 感染发生与辅助化疗的相隔时间(d) | ||||
| ≤3 | 16 | 1 | 5.786 | 0.018 |
| 3~7 | 26 | 3 | ||
| >7 | 34 | 9 | ||
就诊时13例患者中仅1例出现剧烈腹痛,2例高热,其余患者仅表现中低热和轻中度腹痛,甚至有2例无发热或腹痛;初次血象白细胞总数均在2万以下,但中性粒比例普遍显著升高,波动于85%~96%;其中1例在化疗后第9天发病,正处于骨髓抑制高峰期,白细胞计数仅2.35×109/L,因为粒细胞缺乏、且患者没有腹痛症状,导致未能及时考虑淋巴囊肿感染这一病因,在发病2 d后才行穿刺引流,治疗效果不佳,最后死亡。
13例患者从发病至囊肿穿刺引流的平均时间为33 h,有2例分别在发病52和53 h后才实施穿刺。最终转归有5例发展为MODS转入ICU,其中4例好转,1例死亡;有2例患者病情反复难以控制,表现为退热后再度发热、腹痛位置变化、新发尿频尿急等症状和感染指标的波动;经影像学检查证实脓腔和周围脏器连通,其中1例为子宫内膜癌患者,感染的淋巴囊肿经引流管贯通乙状结肠穿孔感染,需紧急行腹腔镜下肠穿孔修补术;影像学同时发现患者肾积水,尿检提示尿路感染;1例为膀胱癌患者,淋巴囊肿经引流管贯通回肠新膀胱,病原学培养结果随之发生改变;追踪随访发现救治成功出院的12例患者中仅1例通过B超引导下对残留的较大的淋巴囊肿(最大长径7 cm)进行穿刺抽液引流,后未再发生感染;余11例未作干预的患者中有4例再发囊肿感染1~2次,其中2例合并脓毒性休克,1例死亡,见表 2和图 1。
| 病例 | Tmax(℃) | 腹痛程度 | 白细胞(×109/L) | 占比(%) | 发热至穿刺时间(h) | 转归 |
| 病例1 | 38.5 | 轻度 | 13.5 | 92 | 46 | 好转,后复发1次 |
| 病例2 | 38.6 | 中度 | 14.7 | 89 | 41 | 好转 |
| 病例3 | 37.8 | 中度 | 12.3 | 88 | 53 | 好转 |
| 病例4 | 38.6 | 无 | 14.5 | 85 | 28 | 好转,后复发2次,第2次脓毒性休克死亡 |
| 病例5 | 38.5 | 无 | 2.35 | 86 | 52 | MODS,转ICU,死亡 |
| 病例6 | 38.9 | 轻度 | 16.8 | 89 | 15 | MODS,转ICU,好转 |
| 病例7 | 无 | 中度 | 17.2 | 96 | 16 | MODS,转ICU,好转,后复发1次 |
| 病例8 | 39.1 | 剧烈 | 19.3 | 91 | 13 | 病情反复,脓腔和新膀胱贯通 |
| 病例9 | 38.2 | 中度 | 14.2 | 89 | 26 | 好转,后复发2次,其中脓毒性休克1次 |
| 病例10 | 无 | 轻度 | 18.6 | 96 | 31 | 好转,后复发1次 |
| 病例11 | 39.3 | 中度 | 13.4 | 91 | 18 | MODS,转ICU,脓腔和乙状结肠连通 |
| 病例12 | 37.6 | 轻度 | 15.1 | 85 | 44 | MODS,转ICU,好转 |
| 病例13 | 38.5 | 轻度 | 18.7 | 89 | 47 | 好转后进一步处理淋巴囊肿,无复发 |
|
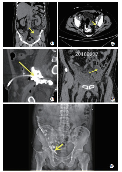
| A1-3:病例11子宫内膜癌术后患者A1:盆腔淋巴囊肿并感染;A2-3脓腔和乙状结肠连通;B1-2:病例8膀胱癌回肠新膀胱术后患者B1:盆腔囊肿并感染;B2脓腔和回肠代新膀胱连通 图 1 两例脓腔和附近器官连通影像学表现 Fig 1 Imaging features of the connections between the infected lymphocyst and surrounding organs in two patients |
|
|
经感染的淋巴囊液病原学检测,共培养出菌株16株,其中革兰氏阴性菌13株,革兰氏阳性菌2株,真菌1株,未培养出厌氧菌。所有患者均培养出革兰氏阴性菌,其中1例合并表皮葡萄球菌,1例合并表皮葡萄球菌和白色念珠菌。主要的革兰氏阴性菌分别是大肠埃希7株、肺炎克雷伯2株及铜绿假单胞2株;发生囊腔和回肠新膀胱连通感染的患者,最初培养为弗氏柠檬酸杆菌,连通后变成大肠埃希菌。大肠埃希菌对头孢他定、头孢曲松、左旋氧氟沙星的耐药率>50%,对亚胺培南、美罗培南、替加环素、哌拉西林/他唑巴坦均敏感,肺炎克雷伯菌和铜绿假单胞菌亦呈现类似的药物敏感性,见表 3和表 4。
| 菌种 | 株数(n=16) | 构成比(%) |
| 革兰阴性菌 | 13 | 81.25 |
| 大肠埃希菌 | 7 | 43.75 |
| 肺炎克雷伯 | 2 | 12.5 |
| 铜绿假单胞菌 | 2 | 12.5 |
| 弗氏柠檬酸杆菌 | 1 | 6.25 |
| 产气肠杆菌 | 1 | 6.25 |
| 革兰阳性菌 | 2(均为合并) | 12.5 |
| 表皮葡萄球菌 | 2 | 12.5 |
| 真菌 | 1(合并) | 6.25 |
| 白色念珠菌 | 1 | 6.25 |
| 厌氧菌 | 0 | 0 |
| 病原菌 | 美罗培南 | 亚胺培南 | 哌拉西林/他唑巴坦 | 头孢哌酮/舒巴坦 | 头孢他定 | 左旋氧氟沙星 | 丁胺卡那霉素 | 阿米卡星 | 头孢曲松 | 妥布霉素 | 替加环素 |
| 大肠埃希菌 | n=7 | ||||||||||
| 耐药率(%) | 4.5 | 3.7 | 7.8 | 15.6 | 56.8 | 78.8 | 71.8 | 38.5 | 62.5 | 31.2 | 0 |
| 敏感率(%) | 95.5 | 96.3 | 91.2 | 66.8 | 43.2 | 21.2 | 19.2 | 61.5 | 31.2 | 68.8 | 100 |
| 肺炎克雷伯 | n=2 | ||||||||||
| 耐药 | 0 | 0 | 0 | 0 | 2 | 1 | 1 | 0 | 2 | 1 | 0 |
| 敏感 | 2 | 2 | 2 | 1 | 0 | 1 | 1 | 1 | 0 | 1 | 2 |
| 中介 | 0 | 0 | 0 | 1 | 2 | 0 | 0 | 1 | 0 | 0 | 0 |
| 铜绿假单胞 | n=2 | ||||||||||
| 耐药 | 0 | 0 | 0 | 0 | 2 | 2 | 1 | 0 | 2 | 0 | 0 |
| 敏感 | 2 | 2 | 2 | 1 | 0 | 0 | 1 | 1 | 0 | 1 | 2 |
| 中介 | 0 | 0 | 0 | 1 | 2 | 0 | 0 | 1 | 0 | 1 | 0 |
控制血糖,化疗期严密监测血象、适当使用增强免疫力的药物,并积极预处置直径超过5 cm的残留淋巴囊肿。
虽然2018年美国内科医师协会(American Collegeof Physicians,ACP)将大多数成人2型糖尿病患者的糖化血红蛋白目标值定在7%~8%[11],但本研究发现糖化血红蛋白水平控制在6.1%以下的糖尿病患者在发生淋巴囊肿感染后,比更高的糖化血红蛋白患者具有更好的预后。因此,糖尿病患者在盆腔淋巴结清扫术的围手术期,应加强血糖的监测和控制。相对于传统的指尖血糖监测,扫描式葡萄糖监测系统避免了频繁检测的疼痛,能取得更好的依从性,在住院患者血糖管理方面具有优势[12]。对于血糖控制不佳者,术前应尽早给予胰岛素治疗。胰岛素泵可实现短期胰岛素强化治疗,快速控制围手术期血糖;且因其模拟人体正常胰岛素的分泌模式给药,比既往的三短一长的方式能带来更平稳的血糖管理[13]。
除糖化血红蛋白,本研究还发现术后辅助化疗也是囊肿感染进展为脓毒性休克的高危因素之一。化疗后第7~9天是骨髓抑制的高峰期,这一时间点与本研究脓毒性休克发生的高峰时间相符。因此,在化疗后应严密监测白细胞及中性粒细胞计数,当中性粒细胞小于1.5×109/L,应及时予以粒细胞刺激因子治疗;同时,可酌情使用增强免疫力的药物。有学者提出胸腺五肽可通过活化CD4和CD8阳性细胞,延长Tc细胞的寿命,并活化Th细胞和诱导Ts细胞的功能,在术后辅助治疗期间起到增强免疫力的作用[14],从而减低淋巴囊肿发生感染的风险。
本研究还发现,较大的淋巴囊肿(d≥5 cm)更容易在淋巴囊肿合并感染时导致脓毒性休克的发生,这与相关报道相符[10]。有学者主张在术后随访时发现淋巴囊肿应积极预处理,目前报道较多的是B超引导下经皮穿刺引流。Kim等[15]对23例体积5 cm×4 cm×3 cm到25 cm×10 cm×10 cm大小的淋巴囊肿施行B超引导下经皮穿刺引流治疗,平均引流出2 012 mL液体,引流持续时间3~49 d,治疗成功率87%。但对于糖尿病患者,长时间引流可能会带来皮肤引流口感染,且该研究中引流后复发率为13%。也有研究在穿刺基础上注射硬化剂,但有可能引起局部剧烈疼痛、发热、过敏等不同程度的不良反应。因此,对于糖尿病患者术后形成淋巴囊肿时,是否干预囊肿应权衡利弊,谨慎处置。笔者认为,对于已经发生过淋巴囊肿致脓毒性休克的患者,如影像学明确残留长径5 cm以上的淋巴囊肿时,应更积极地干预处置,以免发生第二次危及生命的严重感染。本研究救治成功的12例患者中仅有1例通过超声引导下穿刺引流对残留的淋巴囊肿进行预处理,处理后未再发生感染;而剩余的11例患者中有4例再发淋巴囊肿感染,其中1例患者在行第3次化疗后再发感染致脓毒性休克,最终死亡,值得反思。除超声引导下穿刺引流外,腹腔镜或开腹手术可分别将囊肿复发率降至8%和16%[16]。此外,大黄、芒硝、草木犀等促进消散吸收的中药和生长抑素类药物如奥曲肽等也证实可减少淋巴液的产生、促进淋巴液的循环[17]。
糖尿病患者在接受盆腔淋巴结清扫术后,因发热、腹痛就诊时,首诊医生要首先考虑盆腔淋巴囊肿合并化脓性感染的可能。应及时完善盆腔B超、CT或MR、感染指标等检查。一经确诊,应立即采取B超或CT引导下行淋巴囊肿穿刺引流术、广谱抗生素抗感染、积极抗休克和控制血糖等有效措施。
Hiramatsu等[17]研究对比了单纯抗生素治疗及联合超声引导下穿刺引流两种治疗方法,发现联合治疗更有效,且建议最佳引流时长为使用抗生素后的第5天[18]。引流时宜选取管径较粗带侧孔的管道,细的引流管容易被黏稠的脓性分泌物堵塞,且不便冲洗。Robert等[19]报道采用8~14 F的引流管进行脓肿引流,可以取得良好的临床疗效。抗休克治疗包括即刻建立深静脉通道,实施液体复苏,尽早使用血管活性药物,首选去甲肾上腺素,必要时可联合多巴胺及阿拉明,并按脓毒症治疗规范实施器官功能监测和管理。本研究中由于患者的首发症状多表现为轻中度发热或腹痛,接诊医生容易忽视病情;糖尿病患者的中性粒细胞的趋化和吞噬功能障碍[20],使得初次血象并不能准确地反映感染程度;或患者正处于化疗后骨髓抑制期,粒细胞缺乏和感染性改变混杂在一起,使医生难以甄别感染的严重程度。这就导致了大部分患者从发热到穿刺引流的时间较长,有2例患者是在起病2天后才行穿刺引流术,其中1例虽然在一开始就给予了强有力的抗生素治疗,但最终仍因脓毒性休克、MODS死亡,这也进一步证实了穿刺引流对于控制淋巴囊肿感染的必要性和重要性。
Jimenez等[21]发现主要为革兰氏阳性球菌及厌氧菌,而Nogami发现主要是革兰阴性杆菌(以大肠埃希菌为主),其次为革兰阳性球菌[22]。本研究发现主要的病原菌依次为大肠埃希菌、肺炎克雷伯及铜绿假单胞,均为革兰氏阴性菌,这与我国2020年版淋巴囊肿诊治的专家共识中描述的菌群分布相符[23]。究其原因可能与糖尿病患者抵抗力低下,定植菌经阴道或尿道逆行感染,或肠道定植菌发生移位有关。本研究提示致病菌对头孢他定、头孢曲松、左旋氧氟沙星的耐药率>50%,对亚胺培南、美罗培南、替加环素、哌拉西林/他唑巴坦均为敏感,均与报道相符[21, 24]。值得注意的是,其中,1例合并表皮葡萄球菌,1例合并表皮葡萄球菌和白色念珠菌。1例患者在囊腔与周围脏器连通后其病原菌随之改变。因此,在病原学培养结果未明确前,建议选用广谱抗生素,疗程2~3周[21],且应多次反复送检,随时调整抗感染方案。
当积极穿刺引流及抗感染后治疗效果仍不尽人意时,需考虑以下几个因素:(1)感染囊腔是否与周围脏器相通。如本研究中1例淋巴囊腔贯通乙状结肠穿孔感染,需紧急行腹腔镜下肠穿孔修补术;1例淋巴囊腔贯通回肠新膀胱,需即刻留置尿管减压并行膀胱冲洗。其征象可能为感染难以控制、腹痛加重、新发尿频尿急等症状,可行囊腔造影、腹部B超、CT及反复送检引流液病原学等明确;(2)血糖控制欠佳;(3)合并真菌感染:部分淋巴囊肿慢性压迫可导致泌尿系统梗阻,而后者是糖尿病患者合并泌尿系真菌感染的高危因素之一[25];本研究中即有1例患者合并外压性肾积水、尿路感染,引流液培养为大肠埃希菌,而尿培养为肺炎克雷伯和白色念珠菌;(4)处于骨髓抑制期,警惕合并新发的其他部位的多重感染。
利益冲突 所有作者均声明不存在利益冲突
| [1] | Weinberger V, Cibula D, Zikan M. Lymphocele: prevalence and management in gynecological malignancies[J]. Expert Rev Anticancer Ther, 2014, 14(3): 307-317. DOI:10.1586/14737140.2014.866043 |
| [2] | Achouri A, Huchon C, Bats AS, et al. Postoperative lymphocysts after lymphadenectomy for gynaecological malignancies: preventive techniques and prospects[J]. Eur J Obstet Gynecol Reprod Biol, 2012, 161(2): 125-129. DOI:10.1016/j.ejogrb.2011.12.021 |
| [3] | Kim HY, Kim JW, Kim SH, et al. An analysis of the risk factors and management of lymphocele after pelvic lymphadenectomy in patients with gynecologic malignancies[J]. Cancer Res Treat, 2004, 36(6): 377-383. DOI:10.4143/crt.2004.36.6.377 |
| [4] | Ma X, Wang Y, Fan A, et al. Risk factors, microbiology and management of infected lymphocyst after lymphadenectomy for gynecologic malignancies[J]. Arch Gynecol Obstet, 2018, 298(6): 1195-1203. DOI:10.1007/s00404-018-4914-2 |
| [5] | Knapp S. Diabetes and infection: is there a link?: a mini-review[J]. Gerontology, 2013, 59(2): 99-104. DOI:10.1159/000345107 |
| [6] | Singer M, Deutschman CS, Seymour CW, et al. The third international consensus definitions for Sepsis and septic shock (Sepsis-3)[J]. JAMA, 2016, 315(8): 801-810. DOI:10.1001/jama.2016.0287 |
| [7] | 刘韬滔, 刘亚林, 何清, 等. 软组织感染致脓毒性休克的早期诊断与治疗[J]. 中华急诊医学杂志, 2020, 29(1): 76-81. DOI:10.3760/cma.j.issn.1671-0282.2020.01.012 |
| [8] | Weiss SL, Peters MJ, Alhazzani W, et al. Surviving Sepsis Campaign international guidelines for the management of septic shock and sepsis-associated organ dysfunction in children[J]. Pediatr Crit Care Med, 2020, 21(2): e52-e106. DOI:10.1097/PCC.0000000000002198 |
| [9] | Keskin MS, Argun ÖB, Öbek C, et al. The incidence and sequela of lymphocele formation after robot-assisted extended pelvic lymph node dissection[J]. BJU Int, 2016, 118(1): 127-131. DOI:10.1111/bju.13425 |
| [10] | 潘明霞, 王颖梅, 闫晔, 等. 子宫内膜癌患者术后盆腔淋巴囊肿感染相关因素及最佳引流时间[J]. 中华医学杂志, 2017, 97(23): 1765-1768. DOI:10.3760/cma.j.issn.0376-2491.2017.23.002 |
| [11] | Rhea JM, Molinaro R. Pathology consultation on HbA(1c) methods and interferences[J]. Am J Clin Pathol, 2014, 141(1): 5-16. DOI:10.1309/AJCPQ23GTTMLAEVL |
| [12] | 中华医学会糖尿病学分会. 中国持续葡萄糖监测临床应用指南(2017年版)[J]. 中华糖尿病杂志, 2017, 9(11): 667-675. DOI:10.3760/cma.j.issn.1674-5809.2017.11.002 |
| [13] | 祝方, 纪立农, 韩学尧, 等. 短期胰岛素强化治疗诱导初诊2型糖尿病患者血糖长期良好控制的临床试验[J]. 中国糖尿病杂志, 2003, 11(1): 5-9. |
| [14] | 陈星, 叶丽娅, 杨慧春, 等. 宫颈癌术后患者淋巴囊肿发生及合并感染的相关因素及疗效分析[J]. 中华医院感染学杂志, 2019, 29(5): 745-748. DOI:10.11816/cn.ni.2019-180274 |
| [15] | Kim JK, Jeong YY, Kim YH, et al. Postoperative pelvic lymphocele: treatment with simple percutaneous catheter drainage[J]. Radiology, 1999, 212(2): 390-394. DOI:10.1148/radiology.212.2.r99au12390 |
| [16] | Lucewicz A, Wong G, Lam VWT, et al. Management of primary symptomatic lymphocele after kidney transplantation: a systematic review[J]. Transplantation, 2011, 92(6): 663-673. DOI:10.1097/tp.0b013e31822a40ef |
| [17] | Hiramatsu K, Kobayashi E, Ueda Y, et al. Optimal timing for drainage of infected lymphocysts after lymphadenectomy for gynecologic cancer[J]. Int J Gynecol Cancer, 2015, 25(2): 337-341. DOI:10.1097/IGC.0000000000000353 |
| [18] | Cobo F. Lymphocele infection due to Peptoniphilus harei after radical prostatectomy[J]. Med Mal Infect, 2018, 48(2): 154-155. DOI:10.1016/j.medmal.2017.10.003 |
| [19] | Kim EJ, Ha KH, Kim DJ, et al. Diabetes and the risk of infection: a national cohort study[J]. Diabetes Metab J, 2019, 43(6): 804-814. DOI:10.4093/dmj.2019.0071 |
| [20] | Kew F, Noble A, Sandhu M. Infection of a lymphocyst after pelvic lymph node dissection for endocervical adenocarcinoma[J]. J Obstet Gynaecol, 2012, 32(6): 606. DOI:10.3109/01443615.2012.685901 |
| [21] | Jiménez A, Araya R, Paniagua D, et al. Molecular epidemiology and antimicrobial resistance of Clostridium difficile in a national geriatric hospital in Costa Rica[J]. J Hosp Infect, 2018, 99(4): 475-480. DOI:10.1016/j.jhin.2018.03.027 |
| [22] | Nogami Y, Banno K, Adachi M, et al. Profiling of the causative bacteria in infected lymphocysts after lymphadenectomy for gynecologic cancer by pyrosequencing the 16S ribosomal RNA gene using next-generation sequencing technology[J]. Infect Dis Obstet Gynecol, 2019, 2019: 9326285. DOI:10.1155/2019/9326285 |
| [23] | 中国医师协会微无创医学专业委员会, 中国妇幼保健协会放射介入专业委员会. 妇科恶性肿瘤盆腔淋巴结切除术后淋巴囊肿诊治专家共识(2020版)[J]. 中国实用妇科与产科杂志, 2020, 10(36): 959-964. DOI:10.19538/j.fk2020100113 |
| [24] | 胡宗风, 谢志康, 刘文革, 等. 急诊科血流感染临床特点和病原学分析[J]. 中华急诊医学杂志, 2020, 29(11): 1450-1455. DOI:10.3760/cma.j.issn.1671-0282.2020.11.012 |
| [25] | Al-Mula Abed OWS, Srirangam SJ, Wemyss-Holden GD. Upper tract imaging in patients with initial or terminal hematuria suggestive of bleeding from the lower urinary tract: how often is the upper urinary tract responsible for the hematuria?[J]. Oman Med J, 2018, 33(5): 374-379. DOI:10.5001/omj.2018.70 |
2021, Vol. 30



