随着社会的进步,急性心肌梗死的发病率却逐年上升,并且有年轻化的趋势[1]。虽然再灌注治疗已经极大降低了急性心肌梗死的病死率[2],但心肌缺血-再灌注损伤(myocardial ischemia-reperfusion injury,MIRI)的问题却日趋显现[3]。炎症反应是MIRI损伤和修复阶段的重要机制[4],而调节性T细胞(regulatory T cell,Treg)是一类具有负相免疫调节功能的成熟T细胞亚群,可以减轻炎症反应。目前研究较多的与MIRI相关的Treg亚群为CD4+FOXP3+ Treg[5]。Treg可改变缺血区巨噬细胞的极性,促进血管再生,减少促炎因子释放,促进抑炎因子分泌,从而改善心室重构,促进缺血区心肌修复[6]。骨髓间充质干细胞(bone marrow derived mesenchymal stem cell, BM-MSC,以下简称MSC)具有免疫调节功能,在体内体外均能诱导Treg的产生[7]。因此本研究旨在明确MSC是否可通过上调Treg从而减轻MIRI。
1 材料与方法 1.1 建立小鼠MIRI模型[8]24只C57小鼠购于中国江苏昭衍新药研发有限公司,体质量20~25 g。采用冠状动脉结扎法,1%的水合氯醛(上海展云中国)腹腔麻醉小鼠,背位固定。心电图的针型电极插入小鼠四肢,记录标准肢体Ⅱ导联心电图。于胸骨左侧3、4肋间胸大肌边缘做1 cm切口,钝性分离皮下和肌肉组织,蚊式镊穿过肋间,挤出心脏。在左心耳下缘1~2 mm找到冠状动脉左前降支结扎。放置1.5 mm的乳胶管于结扎线,收紧结扎线,心电图显示Ⅱ导联S-T段的抬高超过0.2 mV时确认造模成功,30 min后拉松结线,心肌再灌注后缝合。
1.2 实验分组与处理将24只成年雄性C57小鼠按照随机数字表法进行分组。假手术组(SO组,n=3),手术时仅穿手术缝线,不行结扎。经小鼠尾静脉注射和其余组同体积的生理盐水;缺血-再灌注组(RI组,n=7),造模再灌注6 h后尾静脉注射同体积的生理盐水;MIRI模型MSC治疗组(MSC+RI组,n=7),再灌注6 h后经小鼠尾静脉注射106个[9]RFP-MSC细胞(cyagen美国);MIRI模型MSC治疗合并Treg清除组(MSC+RI+PC61组,n=7),再灌注6 h后经小鼠尾静脉同时注射106个RFP-MSC细胞和200 μg/只PC61。
1.3 心肌中Treg比例的观察取小鼠新鲜心脏组织,制成单细胞悬液。将4组的心肌细胞进行流式分析。分别设立空白对照组(不加入任何抗体),和三染组(加入CD4抗体、CD25抗体和FOXP3-PE抗体)(BD美国)孵育。将每组获得的抗体均为阳性的细胞数进行比较。
1.4 血清CK、TNI、BNP、IL-10、TGF-β含量的观察采用ELISA试剂盒(江莱生物南京建成中国)检测血清CK、TNI、BNP的活性:断头法取血2 mL,在3 000 r/min离心10 min,取血清标本20 μL,按说明书加入要求试剂后水浴、离心定磷再水浴后,酶标仪(MD美国)测定吸光度OD值。ELISA试剂盒(联科生物中国)检测血清转化生长因子β(transforming growth factor-β, TGF-β)、白介素10(interleukin-10,IL-10)的表达。步骤为制备标准品,制备多种浓度的检测液,按标准孔、待测样品孔各加样100 μL。每孔先后加入检测溶液A和B各100 μL,覆膜、温育、洗涤。每孔加TMB底物溶液90 μL,覆膜,避光显色终止反应,测各孔吸光度OD值。
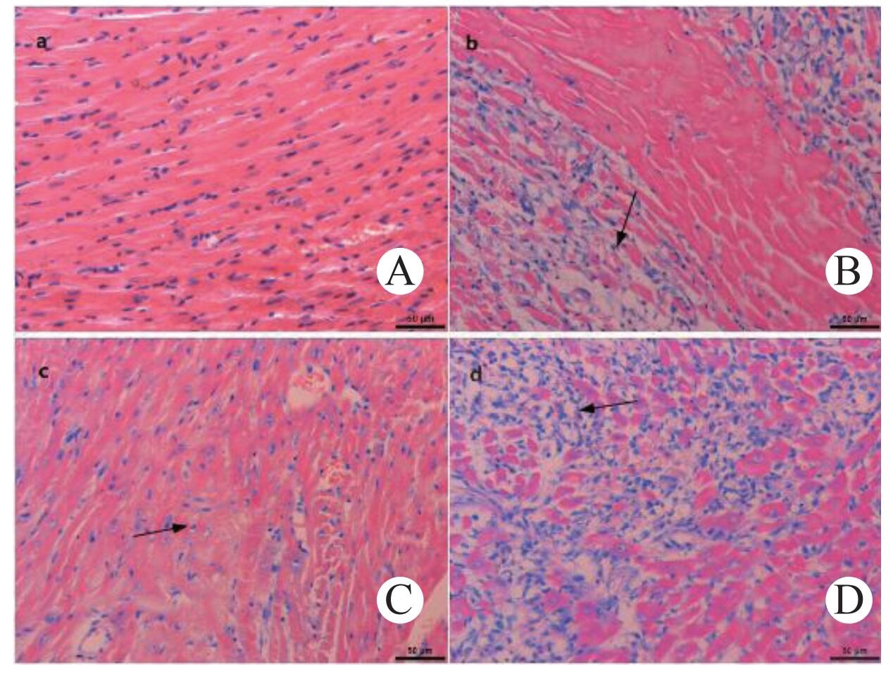
1.5 心肌组织病理学观察取小鼠的心肌组织,进行固定、脱水、包埋、切片等处理后,进行HE染色,使用光学显微镜(×200)观察心肌组织病理学改变。
1.6 凋亡心肌细胞检测具体操作参考陈俊杰等[10]研究,对每张切片的凋亡区域进行不重叠拍照,将图片编号,采用随机数字表法选取5个视野(×200)统计凋亡细胞,正常细胞呈紫蓝色,TUNEL阳性为棕褐色。用凋亡指数来反映各组小鼠心肌细胞凋亡。
1.7 心肌梗死面积测定[11]纵切小鼠心脏,切成4~5圈组织。放入2%的TTC溶液中37℃避光孵育15~30 min,后放入4%甲醛中固定24 h,心肌梗死组织呈灰白色,正常心肌组织为红色,拍照计算梗死面积(佳能505D),计算心肌梗死面积占心室总面积的百分比。
1.8 心肌纤维化检测制作各组心肌组织蜡块,制成后按5 µm厚度切片,再进行脱蜡复水入Bouin液,天青石蓝染色液滴染2~3 min后水洗,Mayer苏木精染色液滴染2~3 min后水洗,分化流水冲洗,丽春红品红染色液滴染10 min后冲洗,磷钼酸溶液处理约10 min。滴入苯胺蓝染色液染5 min,最后进行弱酸处理,脱水,透明化,封固后完成。显微镜下观察,蓝染处为纤维结缔组织。
1.9 统计学方法应用SPSS 19.0统计软件分析,计量资料用均数±标准差(Mean±SD)表示,参数的多组间比较采用单因素的方差分析(One-way ANOVA),多样本均数间两两比较用LSD-t法,以P < 0.05为差异有统计学意义。
2 结果 2.1 基本生理参数和死亡情况各组小鼠的体质量、收缩压、舒张压、心率相比差异无统计学意义(P>0.05),见表 1。
| 组别 | SO | RI | MSC+RI | MSC+RI+PC61 |
| 体质量(g) | 22.85±1.61 | 22.87±1.03 | 22.67±1.78 | 22.95±1.54 |
| 收缩压(mmHg) | 112.00±6.84 | 114.83±7.05 | 114.67±6.74 | 111.67±4.63 |
| 舒张压(mmHg) | 77.50±5.82 | 82.50±8.02 | 80.00±5.18 | 79.17±4.59 |
| 心率(次/min) | 448.17±10.74 | 451.63±9.47 | 444.83±8.86 | 448.83±11.14 |
| 7 d病死率(%) | 0 | 57.14 | 28.57 | 42.86 |
MSC+RI组心肌中Treg的比例最高,且差异有统计学意义(P<0.01)。SO组心肌中Treg的比例最低,与其他三组相比差异也有统计学意义(P<0.01)。RI和MSC+RI+PC61两组间心肌中Treg比例的比较,差异无统计学意义(P>0.05)。
|
| 图 1 小鼠心肌组织Treg流式细胞图 Fig 1 Flow cytometry of Treg cells in mice myocardium |
|
|
| 组别 | SO | RI | MSC+RI | MSC+RI+PC61 |
| FOXP3+ | 0.36±0.08 | 2.40±0.27ab | 6.23±1.64a | 2.48±0.44ab |
| 注:与SO组比较,aP<0.01,与MSC+RI组比较,bP<0.01 | ||||
MSC+RI组小鼠血清中IL-10、TGF-β含量最高,与其他三组相比差异有统计学意义(P<0.01)。MSC+RI组小鼠CK、TNI和BNP的含量较SO组高,较RI组和MSC+RI+PC61组低,差异有统计学意义(P<0.01)。RI组和MSC+RI+PC61组的CK、TNI、BNP、IL-10、和TGF-β的含量相比较均差异无统计学意义(P>0.05)。
2.4 各组小鼠心肌组织病理学比较HE染色显示SO组心肌纤维排列整齐,细胞核清晰,细胞质呈伊红色,间质未见水肿和炎性细胞。RI组和MSC+RI+PC61组梗死区较多成纤维细胞增生,心肌纤维水肿,部分被疏松结缔组织替代,炎症细胞浸润。MSC+RI组梗死区心肌细胞排列较为整齐,局部少许组织水肿和炎症。
|
| A: SO组心肌细胞排列水平整齐,细胞核清晰,未见炎症细胞。B:RI组梗死区心肌细胞排列紊乱,心肌细胞水肿,部分被疏松结缔组织替代,大量炎性细胞浸润。C:MSC+RI组心肌细胞基本正常,少许炎症细胞浸润。D:MSC+RI+PC61组纤维细胞增生,心肌纤维排列紊乱,较多炎症细胞浸润。箭头为炎症细胞浸润 图 2 各组小鼠心肌HE染色(×200) Fig 2 HE staining of myocardium in each group(original magnification×200) |
|
|
除SO组外,MSC+RI组的心肌凋亡指数最低,和其余两实验组比较,差异有统计学意义(P<0.01),RI组和MSC+RI+PC61组心肌凋亡细胞指数均较高,和SO组、MSC+RI组相比,差异有统计学意义(P<0.01),但此两组之间比较,差异无统计学意义(P>0.05)。
| 组别 | SO | RI | MSC+RI | MSC+RI+PC61 |
| IL-10(pg/mL) | 126.38±11.81 | 426.67±16.54ab | 564.85±34.67a | 439.30±43.18ab |
| TGF-β(pg/mL) | 598.60±82.22 | 20 207.00±2 263.44ab | 27 220.07±1 968.32a | 21 407.67±1 810.46ab |
| CK(U/mL) | 0.36±0.24 | 1.32±0.13ab | 1.03±0.12a | 1.39±0.10ab |
| TNI(pg/mL) | 19.78±7.65 | 102.75±15.73ab | 41.86±10.43a | 98.08±14.67ab |
| BNP(pg/mL) | 41.27±6.31 | 252.28±34.93ab | 122.57±36.20a | 240.35±25.08ab |
| 注:与SO组比较,aP<0.01;与MSC+RI组比较,bP<0.01 | ||||
| 指标 | SO | RI | MSC+RI | MSC+PC61+RI |
| 凋亡指数(%) | 1.53±1.06 | 13.20±1.37ab | 4.93±0.79a | 12.47±1.60ab |
| 注:与SO组比较,aP<0.01,与MSC+RI组比较,bP<0.01 | ||||
|
| E:SO组未见明显TNNEL染色阳性细胞。F:RI组满屏散在分布TUNEL染色阳性细胞,局部分布密集。G:MSC+RI组图片右上视野偶可见单个TUNEL染色阳性细胞。H:MSC+RI+PC61组右下视野较多TUNEL染色阳性细胞聚集。箭头为TUNEL染色阳性细胞 图 3 各组心肌TUNEL染色图(×200) Fig 3 TUNEL staining of myocardium in each group(original magnification×200) |
|
|
除SO组外,MSC+RI组的心肌梗死面积比最小,与其余两实验组相比差异有统计学意义(P<0.01)。RI组和MSC+RI+PC61组心肌梗死面积比均较大,与SO组和MSC+RI组相比差异有统计学意义(P<0.01),但此两组间比较差异无统计学意义(P>0.05)。
2.7 Masson染色检测心肌纤维化情况SO组为正常心肌细胞,Masson染色见正常红染肌纤维组织,未见蓝染区域。RI组可见满屏蓝染区域,为损伤的心肌细胞被纤维结缔组织所取代,中间夹杂少量红染的心肌细胞。MSC+RI组大部分为红染的心肌细胞,中间夹杂及少许蓝染的胶原纤维。MSC+RI+PC61组图片表现与RI组类似。
| 组别 | SO | RI | MSC+RI | MSC+PC61+RI |
| 梗死面积(%) | 0.00±0.00 | 34.46±2.59ab | 20.15±1.50a | 33.68±2.76ab |
| 注:与SO组比较,aP<0.01,与MSC+RI组比较,bP<0.01 | ||||
|
| I:SO组未见明显梗死区域。J:RI组灰白色梗死区域与红色正常组织相间。K:MSC+RI组基本为红色的正常组织,可见点片状梗死组织。L图:MSC+RI+PC61组灰白色梗死区域和红色正常心肌组织相间 图 4 各组小鼠心肌大体标本 Fig 4 Gross specimen in each group |
|
|
MSC对MIRI有治疗作用,能够提高左室射血分数,改善心肌灌注和心室重构[7],但其治疗的机制仍在不断探索当中。MIRI的机制和Ca2+超载与氧化应激、细胞凋亡与自噬、以及某些小分子物质如线粒体通透性转换孔和MicroRNA有关[12-13]。其中炎症反应也是MIRI损伤和修复阶段的重要机制[14]。MIRI早期主要为促炎反应阶段,表现为损伤相关分子模式(damage associated molecular patterns,DAMPS), 活性氧(reactive oxygen species,ROS)和补体的产生,释放白细胞介素1β(interleukin-1β,IL-1β), 白细胞介素18(interleukin-8,IL-18), 趋化因子配体2(chemokine ligand 2,CCL2)等细胞因子, 介导中性粒细胞、单核细胞、巨噬细胞、B淋巴细胞和CD8+T细胞等进入梗死区。72 h后梗死区逐渐开始产生抑炎反应,表现为IL-10、TGF-β等抑炎因子的产生、单核细胞和巨噬细胞极性的变化以及Treg、CD4+T细胞和树突状细胞的募集,缓解炎症损伤[15]。Treg的负性免疫调节作用可减少促炎因子γ-干扰素(interferon-γ,IFN-γ)、肿瘤坏死因子α(tumor necrosis factor-α, TNF-α)等释放,促进抑炎因子IL-10、TGF-β等分泌;Tregs也可减少基质金属蛋白酶-2(matrix metalloproteinase-2 MMP-2)的激活,减少白细胞趋化,减少炎症因子释放[5];Tregs有直接保护细胞基质作用,减少细胞凋亡,从而改善心室重构,促进缺血区心肌修复,改善心功能[6]。而MSC具有免疫调节功能,在体内体外均能诱导Treg的产生,通过分泌IL-10、TGF-β等细胞因子增加Treg的数量,从而降低炎症反应,减轻组织损伤[16-17]。
|
| M图:SO组均为正常红染心肌纤维组织;N图:RI组心肌组织被大量蓝染的纤维结缔组织所替代,残存少量红染的心肌纤维,心肌纤维化严重;O图:MSC+RI组基本为红染的正常心肌组织,可见少量点片状蓝染区;P图:MSC+RI+PC61组红染心肌纤维和蓝染纤维结缔组织纠结分布,心肌纤维化严重 图 5 各组小鼠心肌纤维化情况比较 Fig 5 Comparison of myocardial fibrosis in each group |
|
|
因此,本实验通过建立小鼠MIRI模型,探讨MSC对MIRI的治疗作用的机制是通过诱导Treg来实现。文献[11]以及前期预实验表明,MIRI小鼠注射106个MSC可以达到理想的实验效果,若MSC浓度过高会引起实验动物栓塞死亡。MIRI最早发生于再灌注后6 h[18], 因此本研究选择了在缺血-再灌注后6 h时注射实验试剂。Chen等[19]发现MSC移植24 h后,50%以上的移植细胞凋亡,7 d后超过90%的移植细胞凋亡,考虑到监测指标的时效性及小鼠的生存率,因此本研究的实验取材均在缺血-再灌注后72 h进行[20]。首先明确了MSC的确会使MIRI小鼠心肌中Treg产生增多。MSC+RI组给予MIRI小鼠MSC治疗后,与其他三组相比,在心肌中诱导出最多数量的Treg,使得MIRI小鼠血清中的抑制型的细胞因子IL-10、TGF-β增高,减轻MIRI后的炎症反应,减轻心肌损伤。故除对照组外,该组的CK、TNI、BNP最低,心肌组织病理学仅表现为少数部位有组织水肿和少量炎症,心肌凋亡细胞,心肌梗死面积,心肌纤维化和其余实验组相比最少。以上实验结果证实了MSC通过诱导Treg产生,使抑炎因子IL-10、TGF-β增多,从而减轻心肌的炎症损伤,改善心脏重构和功能。RI组和MSC+RI+PC61两组的实验数据相近,相比差异无统计学意义,说明给予Treg清除剂PC61后,由MSC诱导的Treg会下降至无MSC治疗的水平,MSC对MIRI的治疗效果消失,这从侧面证明了MSC对MIRI的治疗作用是通过诱导Treg产生的。Casiraghi等[21]研究表明小鼠心脏移植前注射MSC可以使Treg扩增,延长移植心脏的存活时间。
利益冲突 所有作者均声明不存在利益冲突
| [1] | Castro-Dominguez Y, Dharmarajan K, McNamara RL. Predicting death after acute myocardial infarction[J]. Trends Cardiovasc Med, 2018, 28(2): 102-109. DOI:10.1016/j.tcm.2017.07.011 |
| [2] | Brieger D, Pocock SJ, Blankenberg S, et al. Two-year outcomes among stable high-risk patients following acute MI. Insights from a global registry in 25 countries[J]. Int J Cardiol, 2020, 311: 7-14. DOI:10.1016/j.ijcard.2020.01.070 |
| [3] | González-Montero J, Brito R, Gajardo AI, et al. Myocardial reperfusion injury and oxidative stress: Therapeutic opportunities[J]. World J Cardiol, 2018, 10(9): 74-86. DOI:10.4330/wjc.v10.i9.74 |
| [4] | Ko GJ, Zakaria A, Womer KL, et al. Immunologic research in kidney ischemia/reperfusion injury at Johns Hopkins University[J]. Immunol Res, 2010, 47(1/2/3): 78-85. DOI:10.1007/s12026-009-8140-7 |
| [5] | Kaplan A, Altara R, Eid A, et al. Update on the protective role of regulatory T cells in myocardial infarction: a promising therapy to repair the heart[J]. J Cardiovasc Pharmacol, 2016, 68(6): 401-413. DOI:10.1097/fjc.0000000000000436 |
| [6] | Weirather J, Hofmann UD, Beyersdorf N, et al. Foxp3+ CD4+ T cells improve healing after myocardial infarction by modulating monocyte/macrophage differentiation[J]. Circ Res, 2014, 115(1): 55-67. DOI:10.1161/circresaha.115.303895 |
| [7] | Ward MR, Abadeh A, Connelly KA. Concise review: rational use of mesenchymal stem cells in the treatment of ischemic heart disease[J]. Stem Cells Transl Med, 2018, 7(7): 543-550. DOI:10.1002/sctm.17-0210 |
| [8] | 臧光耀, 李波, 耿田欣, 等. 一种快速建立小鼠心肌缺血再灌注模型的方法[J]. 江苏大学学报(医学版), 2019, 29(6): 472-475. DOI:10.13312/j.issn.1671-7783.y190138 |
| [9] | 钟泽, 罗秀英, 相鹏, 等. MRTF-A经TLR4/TRIF通路抗心肌缺血-再灌注介导的炎症损伤[J]. 中华急诊医学杂志, 2019, 28(4): 473-477. DOI:10.3760/cma.j.issn.1671-0282.2019.04.015 |
| [10] | Zhang QY, Fu L, Liang YH, et al. Exosomes originating from MSCs stimulated with TGF-β and IFN-γ promote Treg differentiation[J]. J Cell Physiol, 2018, 233(9): 6832-6840. DOI:10.1002/jcp.26436 |
| [11] | 陈俊杰, 李青松, 李永宁, 等. 乌司他丁抑制脓毒症大鼠心肌细胞凋亡及Caspase-3信号机制研究[J]. 中华急诊医学杂志, 2018, 27(1): 72-77. DOI:10.3760/cma.j.issn.1671-0282.2018.01.015 |
| [12] | 胡锴勋, 赵士富, 郭梅, 等. 骨髓间充质干细胞防治多脏器衰竭[J]. 中华急诊医学杂志, 2009, 18(6): 607-610. DOI:10.3760/cma.j.issn.1671-0282.2009.06.014 |
| [13] | Kalogeris T, Baines CP, Krenz M, et a1. Ischemia/Reperfusion[J]. Compr Physiol Actions, 2016, 6;7(1): 113-170. DOI:10.1002/cphy.c160006 |
| [14] | Xiong W, Qu Y, Chen HM, et al. Insight into long noncoding RNA-miRNA-mRNA axes in myocardial ischemia-reperfusion injury: the implications for mechanism and therapy[J]. Epigenomics, 2019, 11(15): 1733-1748. DOI:10.2217/epi-2019-0119 |
| [15] | Weil BR, Neelamegham S. Selectins and immune cells in acute myocardial infarction and post-infarction ventricular remodeling: pathophysiology and novel treatments[J]. Front Immunol, 2019, 10: 300. DOI:10.3389/fimmu.2019.00300 |
| [16] | Ong SB, Hernández-Reséndiz S, Crespo-Avilan GE, et al. Inflammation following acute myocardial infarction: Multiple players, dynamic roles, and novel therapeutic opportunities[J]. Pharmacol Ther, 2018, 186: 73-87. DOI:10.1016/j.pharmthera.2018.01.001 |
| [17] | Lavoie JR, Rosu-Myles M. Uncovering the secretes of mesenchymal stem cells[J]. Biochimie, 2013, 95(12): 2212-2221. DOI:10.1016/j.biochi.2013.06.017 |
| [18] | Yan W, Abu-El-Rub E, Saravanan S, et al. Inflammation in myocardial injury: mesenchymal stem cells as potential immunomodulators[J]. Am J Physiol Heart Circ Physiol, 2019, 317(2): H213-H225. DOI:10.1152/ajpheart.00065.2019 |
| [19] | Zhao ZQ, Velez DA, Wang NP, et al. Progressively developed myocardial apoptotic cell death during late phase of reperfusion[J]. Apoptosis, 2001, 6(4): 279-290. DOI:10.1023/a:1011335525219 |
| [20] | Chen J, Baydoun AR, Xu R, et al. Lysophosphatidic acid protects mesenchymal stem cells against hypoxia and serum deprivation-induced apoptosis[J]. Stem Cells, 2008, 26(1): 135-145. DOI:10.1634/stemcells.2007-0098 |
| [21] | Casiraghi F, Azzollini N, Cassis P, et al. Pretransplant infusion of mesenchymal stem cells prolongs the survival of a semiallogeneic heart transplant through the generation of regulatory T cells[J]. J Immunol, 2008, 181(6): 3933-3946. DOI:10.4049/jimmunol.181.6.3933 |
2021, Vol. 30



