百草枯(paraquat, PQ)是一种高毒类杂环除草剂,中毒致死剂量小,病程进展快,且临床上缺乏有效解毒剂,中毒后病死率高达80%[1-2]。PQ中毒后患者迅速出现严重的电解质紊乱,其中以严重的低钙血症最为显著。钙离子是机体各项生理活动不可或缺的离子,作为第二信使,几乎控制所有生物功能[3]。相关研究提示,细胞内钙离子稳态的改变在囊性纤维化疾病发生发展中起重要作用[4]。细胞质中钙离子浓度的变化主要受两种途径调节,一种是内质网等胞内钙库应激释放储存的钙离子,引起胞内钙离子水平上升,且这种钙库钙离子的减少能进一步启动钙库操纵的钙离子内流(store-operated Ca2+ entry, SOCE)机制,引起胞外钙离子内流促进胞内钙离子水平上升,并补充钙库中减少的钙离子;另一种是胞外钙池钙离子水平的改变直接引起胞质钙离子浓度的应激变化。
近年来研究不断揭示在非兴奋细胞中SOCE是介导细胞内钙离子内流的关键主要途径[5]。在PQ刺激的支气管上皮细胞中存在SOCE过程的激活,并参与调控细胞周期[6]。本团队前期研究也证实,使用SOCE抑制剂SKF96365后,可以明显减轻PQ引起的肺损伤。目前,SOCE抑制剂SKF96365在PQ引起其他脏器损伤(肝脏、肾脏)未见报道。本研究旨在探讨SOCE抑制剂SKF96365对PQ引起肝脏、肾脏损伤的作用,为治疗PQ中毒引起多脏器损伤提供理论和实验依据。
1 材料与方法 1.1 主要试剂本实验使用的主要试剂包括PQ标准品(美国Sigma公司)、胎牛血清(FBS,美国GIBCO公司)、0.25% 胰酶(杭州吉诺生物科技有限公司)、F-12K培养基(美国GIBCO公司)、无水乙醇(国药集团化学试剂有限公司)、二甲苯(国药集团化学试剂有限公司)、DAPI染色液(上海碧云天生物技术有限公司)、抗荧光淬灭封片剂(上海碧云天生物技术有限公司)、TUNEL试剂盒(武汉塞维尔生物科技公司)、SKF96365(美国MedChemExpress公司)、双荧光素酶报告基因试剂盒(南京诺唯生物科技股份有限公司)。
1.2 细胞来源与模型制备人肺腺癌上皮细胞(A549细胞)购于美国模式培养动物集存库(ATCC)。取生长状态良好的A549细胞,10% FBS的F-12K培养基常规培养48 h,PBS冲洗2遍,加入胰酶,以4× 105/mL的细胞密度接种于十二孔孔板,培养24 h。分为两组:对照组和PQ组。每组分为3个亚组:对照组(DMSO组、SKF 2 µmol/L组、SKF 10 µmol/L组);PQ组(PQ+DMSO组、PQ+SKF 2 µmol/L组、PQ+SKF 10 µmol/L组)。其中PQ组根据课题组相关研究选择半数致死率的浓度800 µmol/L。
1.3 动物分组与模型制备6~8周C57BL/6J雄性小鼠40只,体重18~22 g。中国科学院上海实验动物中心提供,动物合格证号:SYXK(沪)2009-0086。自由摄食、饮水2周后用随机数字表法分组。对照组(n=10):腹腔注射生理盐水。PQ组(n=10):按照50 mg/kg腹腔注射PQ。SKF组(n=10):按照10 mg/kg每天腹腔注射SKF96365,共注射3 d。PQ+SKF组(n=10):按照50 mg/kg腹腔注射PQ一次,按照10 mg/kg每天腹腔注射SKF96365,共注射3 d。第4天处死小鼠,取肝肾组织进行处理后用于后续检测。
1.4 检测指标及方法 1.4.1 荧光素酶报告基因检测(NFAT) A549细胞贴壁后,配置工作液A(50 µL高糖DMEM培养基+0.2 µg NFAT+0.2 µg Renilla质粒),工作液B (50 µL高糖DMEM培养基+0.66 µL polyjet转染试剂),将工作液A和B两管混合均匀,室温静置孵育15 min,将工作液加入十二孔板中。按照分组处理细胞,DMSO组:加入DMSO;SKF 2 µmol/L组:加入SKF96365 2 µmol/L;SKF 10 µmol/L组:加入SKF96365 10 µmol/L;PQ+DMSO组:加入DMSO处理2 h后,再加入PQ 800 µmol/L;PQ+SKF 2 µmol/L组:加入SKF96365 2 µmol/L预处理2 h后,再加入PQ 800 µmol/L;PQ+SKF 10 µmol/L组:加入SKF96365 10 µmol/L预处理2 h后,再加入PQ 800 µmol/L。24 h后,裂解细胞,收集于EP管中。将20 µL荧光素酶底物加入黑色96孔板中,再加入20 µL细胞裂解液,酶标仪读数。迅速加入20 µL停止底物(按照50 ∶ 1的比例加入停止 & 反应和Renilla基质混匀),酶标仪读数。计算结果为荧光素酶的读值/ 停止的读值。结果重复3次。
1.4.2 肝脏、肾脏苏木精- 伊红H & E染色取部分肝脏、肾脏以中性甲醛溶液中固定,石蜡包埋、切片,常规方法进行H & E染色,光镜下观察。
1.4.3 肝脏、肾脏TUNEL染色取肝脏、肾脏的石蜡切片,二甲苯和乙醇脱蜡,加入蛋白酶K工作液,在37℃烤箱孵育20 min,PBS洗涤3次,每次5 min。配置工作液(TdT∶dUP∶buffer按照1∶5∶50比例),将工作液加入玻片上,覆盖组织。将切片置于湿盒中,在37 ℃烤箱孵育2 h,PBS洗涤4次,每次5 min。DAPI染色,避光室温孵育10 min,PBS洗涤3次,每次5 min。封片,倒置荧光显微镜下观察,拍照。
1.5 统计学方法采用SPSS统计软件进行数据分析,符合正态分布的计量资料采用均数±标准差(x±s)表示,组间比较采用单因素方差分析,两组间比较采用LSD-t检验。以P < 0.05为差异有统计学意义。
2 结果 2.1 细胞NFAT激活水平变化采用荧光素酶报告基因技术检测PQ处理后A549细胞NFAT的激活情况。结果显示,与对照组相比,PQ组NFAT明显被激活(图 1);给予SKF96365预处理后,NFAT激活水平明显下降,且具有剂量依赖性(P < 0.05)。
|
| 与对照(DMSO) 组相比,aP<0.05;与对照(SKF 2 µmol/L) 组相比,bP<0.05;与Control (SKF 10 µmol/L) 相比,cP<0.05 图 1 利用荧光素酶报告基因技术检测A549细胞NFAT基因转录活性 Fig 1 The transcriptional activity of NFAT gene in A549 cells detected by luciferase reporter gene technology |
|
|
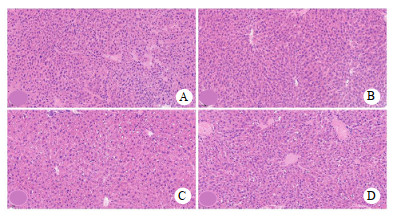
对照组和SKF组肝脏组织结构完整,肝细胞排列规整;PQ染毒组肝脏组织结构轮廓不清楚、细胞肿胀,炎性细胞浸润,坏死灶内有大量红细胞;PQ+SKF组肝脏细胞肿胀减轻,炎性细胞浸润明显减少(图 2)。
|
| A: 对照组;B: SKF组肝脏组织结构完整,肝细胞排列规整;C: PQ组肝脏组织结构轮廓不清楚、细胞肿胀,炎性细胞浸润,坏死灶内有大量红细胞;D: PQ+SKF组肝脏细胞肿胀减轻,炎性细胞浸润明显减少 图 2 各组小鼠肝脏H & E染色(× 200) Fig 2 H & E staining of liver tissues in each group (× 200) |
|
|
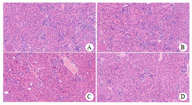
对照组和SKF组肾脏组织结构完整;PQ组肾脏组织结构不清楚,大量炎性细胞及红细胞浸润;PQ+SKF组细胞肿胀减轻,炎性细胞浸润明显减少(图 3)。
|
| A: 对照组;B: 抑制剂组肾脏组织结构完整;C: PQ染毒组肾脏组织结构不清楚,大量炎性细胞及红细胞浸润;D: PQ+SKF组细胞肿胀减轻,炎性细胞浸润明显减少 图 3 各组小鼠肾脏H & E染色(× 200) Fig 3 H & E staining of kidney tissuesin in each group (× 200) |
|
|
SKF组见少量凋亡细胞;与对照组相比,PQ组肝脏内细胞凋亡明显增加;PQ+SKF组肝脏内细胞凋亡减少(图 4)。
|
| A: 对照组;B: SKF组见少量凋亡细胞;C: PQ组肝脏内细胞凋亡明显增加;D: PQ+SKF组肝脏内细胞凋亡减少 图 4 各组小鼠肝脏TUNEL染色(× 200) Fig 4 TUNEL staining of liver tissuesin each group (× 200) |
|
|
SKF组见少量凋亡细胞;与对照组相比,PQ染毒组肾脏内细胞凋亡明显增加;PQ+SKF组肾脏内细胞凋亡减少(图 5)。
|
| A: 对照组;B: SKF组见少量凋亡细胞;C: PQ组肾脏内细胞凋亡明显增加;D: PQ+SKF组肾脏内细胞凋亡减少(× 200) 图 5 各组小鼠肾脏TUNEL染色 Fig 5 TUNEL staining of kidney tissuesin each group (× 200) |
|
|
PQ中毒后短期内出现急性肺损伤及肝脏、肾脏等器官衰竭,引起患者死亡。目前关于PQ中毒引起的多器官功能损伤的机制主要集中于钙超载、自由基、炎症介质等方面[2, 7-8]。而本研究主要探讨钙超载在PQ引起多器官功能损伤的作用。
钙是人体重要的元素,主要存在骨骼和牙齿中,血液中钙水平较低且保持相对恒定水平(2.25~2.75 mmol/L)。钙离子的动态平衡是细胞保持正常结构和功能的前提和基础,胞内钙离子作为第二信使收到胞内外钙离子动态流动(钙稳态)的整合调控,即胞外钙池、胞内钙库及胞质钙离子间的动态流动[9]。在博来霉素诱导的肺纤维化中,硝苯地平处理后,成纤维细胞内依赖的钙稳态形成的钙振荡严重受损,并由此缓解肺纤维性病变,提示钙稳态是促进肺纤维化病变中的关键信号[10]。细胞内钙离子浓度持续增加会引起NFAT的激活,表现为去磷酸化、向细胞核内转移,并激活下游一系列被认为是纤维化发病过程中重要的转录因子,如TNF-α、IL-2、IL-4和IL-5,这一过程由钙调磷酸酶介导[11-12]。已有研究发现,PQ可以通过钙调磷酸酶激活NAFT信号通路[13]。本研究也提示了PQ处理A549细胞后,存在NAFT基因转录活性激活现象。因此,笔者认为PQ中毒后可以引起细胞内钙离子超载,并参与其引起的一系列脏器损伤。
近年来研究不断揭示在非兴奋性细胞中SOCE是介导细胞内钙离子内流的关键主要途径[5]。SOCE主要由STIM1和Orai1蛋白介导,当内质网中钙库储存的钙离子耗竭时,单通道跨膜蛋白STIM1与钙离子解离,形成寡聚体,并移位至内质网- 细胞膜连接处,与细胞膜上的钙通道孔蛋白Orai1结合,形成钙离子通道,使得胞外钙离子大量内流[14-15]。研究报道显示,在PQ刺激的支气管上皮细胞中存在SOCE过度的激活,并参与调控细胞周期[6]。本研究显示与PQ组相比,予以SOCE抑制剂预处理后,A549细胞中NFAT激活水平明显下降,提示在PQ中毒时,予以SOCE抑制剂SKF96365处理后,可以明显减轻PQ引起的细胞内钙离子超载。且本团队前期研究也证实SKF96365能够明显减轻PQ引起的肺损伤。在本研究中,SKF96365可以明显缓解PQ引起的小鼠肝脏、肾脏损伤。钙离子超载被认为是引起细胞不可逆损伤的主要原因,持续性钙离子超载可以诱导细胞凋亡[16]。而本研究证实,SKF96365可以明显缓解PQ引起的肝脏、肾脏损伤。因此推测在PQ中毒后,SKF96365可能通过抑制肝脏、肾脏细胞凋亡减轻损伤。
综上所述,SOCE抑制剂SKF96365能够减轻PQ引起的肝肾损伤,其机制可能是通过抑制凋亡信号通路,但更具体机制还需进一步研究。
利益冲突 所有作者声明无利益冲突
作者贡献声明 王飞瑶:实验操作、论文撰写;杨雯雨:动物模型构建;陆健、金卫:数据分析;田锐:课题指导、文章修改
| [1] | Sun B, Chen YG. Advances in the mechanism of paraquat-induced pulmonary injury[J]. Eur Rev Med Pharmacol Sci, 2016, 20(8): 1597-1602. |
| [2] | Xie H, Wang RL, Tang X, et al. Paraquat-induced pulmonary fibrosis starts at an early stage of inflammation in rats[J]. Immunotherapy, 2012, 4(12): 1809-1815. DOI:10.2217/imt.12.122 |
| [3] | Monteith GR, Prevarskaya N, Roberts-Thomson SJ. The calciumcancer signalling Nexus[J]. Nat Rev Cancer, 2017, 17(6): 367-380. DOI:10.1038/nrc.2017.18 |
| [4] | Janssen LJ, Mukherjee S, Ask K. Calcium homeostasis and ionic mechanisms in pulmonary fibroblasts[J]. Am J Respir Cell Mol Biol, 2015, 53(2): 135-148. DOI:10.1165/rcmb.2014-0269TR |
| [5] | Ambudkar IS, de Souza LB, Ong HL. TRPC1, Orai1, and STIM1 in SOCE: Friends in tight spaces[J]. Cell Calcium, 2017, 63: 33-39. DOI:10.1016/j.ceca.2016.12.009 |
| [6] | Fan HT, Huang HJ, Hu L, et al. The activation of STIM1 mediates S-phase arrest and cell death in paraquat induced acute lung intoxication[J]. Toxicol Lett, 2018, 292: 123-135. DOI:10.1016/j.toxlet.2018.04.030 |
| [7] | 符红娜, 聂时南. 百草枯致肺纤维化的上皮- 间质转化的机制研究进展[J]. 中华急诊医学杂志, 2019, 28(6): 803-805. DOI:10.3760/cma.j.issn.1671-0282.2019.06.033 |
| [8] | 孟潇潇, 朱勇, 杨雯雨, 等. 百草枯染毒肺泡上皮细胞中KCa3.1对NLRP3炎症小体的调控作用[J]. 中华急诊医学杂志, 2020, 29(6): 805-809. DOI:10.3760/cma.j.issn.1671-0282.2020.06.013 |
| [9] | Li YS, Guo B, Xie QC, et al. STIM1 mediates hypoxia-driven hepatocarcinogenesis via interaction with HIF-1[J]. Cell Rep, 2015, 12(3): 388-395. DOI:10.1016/j.celrep.2015.06.033 |
| [10] | Mukherjee S, Ayaub EA, Murphy J, et al. Disruption of calcium signaling in fibroblasts and attenuation of bleomycin-induced fibrosis by nifedipine[J]. Am J Respir Cell Mol Biol, 2015, 53(4): 450-458. DOI:10.1165/rcmb.2015-0009OC |
| [11] | Pang Z, Junkins RD, MacNeil AJ, et al. The calcineurin-NFAT axis contributes to host defense during Pseudomonas aeruginosa lung infection[J]. J Leukoc Biol, 2017, 102(6): 1461-1469. DOI:10.1189/jlb.4A0517-197R |
| [12] | Gao P, Guo K, Pu QQ, et al. oprC impairs host defense by increasing the quorum-sensing-mediated virulence of Pseudomonas aeruginosa[J]. Front Immunol, 2020, 11: 1696. DOI:10.3389/fimmu.2020.01696 |
| [13] | Ke QD, Li JX, Ding J, et al. Essential role of ROS-mediated NFAT activation in TNF-alpha induction by crystalline silica exposure[J]. Am J Physiol Lung Cell Mol Physiol, 2006, 291(2): L257-L264. DOI:10.1152/ajplung.00007.2006 |
| [14] | Yang ZF, Yue ZY, Ma XR, et al. Calcium homeostasis: a potential vicious cycle of bone metastasis in breast cancers[J]. Front Oncol, 2020, 10: 293. DOI:10.3389/fonc.2020.00293 |
| [15] | Bhullar SK, Shah AK, Dhalla NS. Store-operated calcium channels: Potential target for the therapy of hypertension[J]. Rev Cardiovasc Med, 2019, 20(3): 139-151. DOI:10.31083/j.rcm.2019.03.522 |
| [16] | Doherty AH, Ghalambor CK, Donahue SW. Evolutionary physiology of bone: bone metabolism in changing environments[J]. Physiology (Bethesda), 2015, 30(1): 17-29. DOI:10.1152/physiol.00022.2014 |
2022, Vol. 31



