2. 大连医科大学附属第一医院急诊科,大连 116001
2. Department of Emergency Medicine, The First Affiliated Hospital of Dalian Medical University, Dalian 116001, China
脓毒症(sepsis)是宿主对感染引起的免疫失衡,导致器官功能障碍而危及生命。脓毒症心肌损伤(sepsis induced myocardial dysfunction,SIMD)是脓毒症常见的并发症,约50%的脓毒症休克患者存在不同程度的心肌抑制,其病死率高达70%~90%[1]。早期控制感染、逆转心肌损伤可提高患者的生存率。目前认为,脓毒症心肌损伤与能量代谢、氧自由基生成、细胞内“钙超载”、心肌细胞焦亡、凋亡等因素有关[2-3]。脓毒症早期核苷酸结合寡聚化结构域样受体蛋白3(nucleotide-binding oligomerization domain-like receptor protein 3,NLRP3)炎性小体通过半胱氨酸天冬氨酸蛋白酶1(cysteiny1 aspartate specific proteinase-1, Caspase-1)与含CARD结构域的凋亡相关颗粒样蛋白(apoptosis-associated speck-like protein containing CARD,ASC)等相互作用构成蛋白复合体,诱导细胞焦亡的发生[4-5]。因此,笔者推测,脓毒症急性心肌损伤与NLRP3介导的细胞焦亡有关。姜黄素(curcumin,Cur)是姜黄根茎的主要提取物,具有抗炎、抗氧化、抗肿瘤、清除自由基等多种功效,对脓毒症心肌损伤具有保护作用[6-7]。然而,NLRP3炎性小体是否参与姜黄素拮抗脓毒症心肌损伤尚不清楚,为此,本实验通过建立脓毒症大鼠模型,研究姜黄素介导NLRP3炎症小体对早期脓毒症大鼠心肌细胞的作用及其机制。
1 材料与方法 1.1 动物分组与模型制备健康雄性SD大鼠24只,体重350~400 g,由大连医科大学动物中心提供,饲养于大连医科大学附属第一医院中心实验室SPF级动物房。实验动物生产许可证号为:SCXK(辽)2020-0001,实验动物使用许可证号为:SYXK(辽)2018-0007。大鼠随机(随机数字法)分为3组:假手术组(Sham组,n = 8);脓毒症组(Sepsis组,n = 8);姜黄素干预组(Cur组,n = 8)。大鼠禁食12 h后采用1% 戊巴比妥钠(60 mg/kg)腹腔注射麻醉。在腹部正中切开长约1.0 cm切口,打开腹腔,分离出盲肠,用3-0丝线距离盲肠根部1/3处结扎,随后用18号注射针在盲肠末端刺破肠壁4处,使粪便流入腹腔,随后逐层关闭腹腔,Cur组腹腔注射姜黄素(二甲亚砜作为溶剂)100 mg/kg,24 h后重复给药;Sham组仅开腹分离盲肠远端,不做结扎与穿孔。实验组大鼠的补液量为5.0 mL/kg。3组大鼠单笼饲养,自由进食水。所有实验动物操作均按照动物伦理学标准实施。
1.2 主要试剂姜黄素(Sigma公司,美国);大鼠心肌特异性肌钙蛋白T(cTnT)试剂盒(武汉华美生物工程有限公司,中国);原位缺口末端标记法(TUNEL)凋亡检测试剂盒(Roche公司,瑞士)。兔抗鼠Cleaved caspase-1、IL-1β、NLRP3和甘油醛-3-磷酸脱氢酶(glyceraldehyde-3-phosphate dehydrogenase,GAPDH)抗体试剂盒(Abcam公司,英国)。
1.3 心肌损伤指标的血生化检测分别于6、24、48 h大鼠尾静脉取血1 mL,3000 r/min离心10 min,离心半径10 cm,取上清液分装于EP管中,并保存于-20℃冰箱。采用ELISA法检测各组大鼠血浆中cTnT水平,具体步骤按照试剂盒说明书操作。
1.4 心肌组织病理学分析建模成功48 h后腹腔注射1% 戊巴比妥钠,麻醉满意后处死大鼠,切取左心室肌组织,4℃生理盐水冲洗,一部分保存于-80℃冰箱中备用;另一部分置于10 %多聚甲醛中固定48 h,经过逐级乙醇脱水,二甲苯透明、侵蜡,石蜡包埋,超薄切片,备用。将石蜡包埋的心肌组织切成3 μm薄片、脱蜡、水化、蒸馏水等冲洗,经苏木精-伊红(hematoxylin-eosin,HE)染色后,在显微镜下观察大鼠心肌组织形态学变化。
1.5 心肌凋亡细胞检测取石蜡包埋的左心室组织,切取5张3 μm薄片,经TUNEL法进行细胞凋亡原位标记检测。经二甲苯脱蜡,梯度酒精脱水,PBS冲洗,每片加25 μL的TUNEL反应液于孵育盒中37℃、60 min。经PBS冲洗,每片加25 μL碱性磷酸酶抗体,于孵育盒中37℃、30 min,再次PBS冲洗,每片加1~2滴BCIP/NBT,室温下孵育10~30 min,PBS冲洗。经苏木精复染,封片,60℃烘干。光镜下观察,正常心肌细胞核呈蓝色,凋亡心肌细胞核呈棕褐色或黑色。于×100倍镜下随机选取10个视野,计数每个视野中凋亡细胞数与总细胞数,计算凋亡指数(apoptotic index,AI)。
1.8 Western-blot法检测Cleaved caspase-1、NLRP3、IL-1β蛋白表达取冻存的大鼠心肌组织,加入放射免疫沉淀(radio immunoprecipitation assay, RIPA)裂解液,匀浆,在4℃下12 000 r/min离心5 min,离心半径10 cm,提取50 μg总蛋白经十二烷基硫酸钠-聚丙烯酰胺凝胶电泳(SDS-PAGE)进行蛋白质分离,上样后在12 %聚丙烯酰胺凝胶中进行电泳,以电转膜方式将蛋白质转移至醋酸纤维素膜上,经5 %的脱脂奶粉封闭2 h,加入Ⅰ抗(NLRP3 1∶500;Cleaved caspase-1 1∶500;IL-1β 1∶200)及抗GAPDH的Ⅰ抗(1∶1 000),4℃摇床过夜,TBST洗涤3×10 min,加入辣根过氧化物酶标记的二抗(1∶2 000)进行孵育1 h,漂洗后用增强化学发光(ECL)显影、定影,使用Quantity One软件测定各蛋白吸光度(IA值),分别以Cleaved caspase-1、NLRP3、IL-1β的IA与内参GAPDH的IA比值对目的蛋白进行定量分析。
1.9 透射电镜下超微结构变化将心肌组织于预冷的3 %戊二醛溶液中固定,4℃保存24 h后取出,PBS冲洗3次,滤纸吸干,置于1 %四氧化锇酸固定1~2 h,再次漂洗,逐级乙醇脱水,树脂包埋,常规超薄切片,载网,用4 %醋酸双氧铀和0.4 %柠檬酸铅固定,通过透射电子显微镜(Hitachi, Tokyo, Japan)观察心肌细胞超微结构变化。
1.10 统计学方法实验数据采用SPSS 22.0软件进行统计学分析。计量资料以均数±标准差(x±s)表示,多组间比较采用单因素方差分析,组间两两比较采用LSD-t检验;以P < 0.05为差异有统计学意义。
2 结果 2.1 大鼠血浆cTnT水平测定Sepsis组在6 h,24 h,48 h各时间点cTnT值均高于相应时间点的Sham组(P < 0.05),以Sepsis组24 h为最高,提示大鼠SIMD建模成功。而Cur组6 h,24 h,48 h对应cTnT值均低于相应时间点的Sepsis组,差异有统计学意义(P < 0.05)。见图 1。
|
| Sham为对照组;Sepsis为脓毒症组;Cur为姜黄素干预组;cTnT为心肌特异性肌钙蛋白T;与Sham组比较,aP < 0.05;与Sepsis组比较,bP < 0.05 图 1 大鼠血浆cTnT水平动态变化情况 Fig 1 Dynamic changes of plasma cTnT levels in rats |
|
|
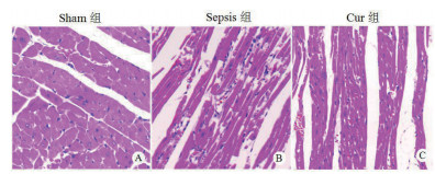
HE染色结果显示,Sepsis组心肌细胞肿胀,部分心肌纤维断裂、结构破坏,可见淋巴细胞和中性粒细胞浸润,间质水肿及血管内淤血,部分心肌坏死;Cur组心肌结构大致完整,仅少量心肌纤维断裂及部分血管内充血,细胞水肿不明显,心肌间质内少量炎性细胞浸润;Sham组心肌结构基本正常。见图 2。
|
| Sham组结构正常;Sepsis组大鼠心肌细胞肿胀,心肌纤维部分断裂,可见中性粒细胞、淋巴细胞浸润;Cur组大鼠心肌仅部分心肌细胞水肿及炎性细胞浸润 图 2 大鼠心肌组织病理结果分析(HE ×100) Fig 2 Pathological changes of myocardial tissue in rats after modeling (HE, original magnification ×100) |
|
|
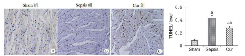
TUNEL法检测发现,其凋亡的心肌细胞核呈棕黄或棕褐色,Sepsis组凋亡的心肌细胞数量较多,凋亡指数为(43.6 ± 3.8)%,而Cur组凋亡的心肌细胞相对Sepsis组减少,凋亡指数为(28.4 ± 2.3)%,低于Sepsis组,高于Sham组(20.0 ± 3.8)%,差异有统计学意义(P < 0.05);Sham组细胞核呈淡蓝色,形态较清晰、完整。见图 3。
|
| Sham为对照组;Sepsis为脓毒症组;Cur为姜黄素干预组;TUNEL法检测心肌细胞凋亡指数;与Sham组比较,aP < 0.05;与Sepsis组比较,bP < 0.05 图 3 心肌组织细胞凋亡染色结果分析(×100) Fig 3 Comparison of apoptosis cell in myocardial tissues after modeling (original magnification×100) |
|
|
通过Western-blot法检测NLRP3蛋白在Cur组表达(0.256±0.027)高于Sham组(0.172±0.018),低于Sepsis组(0.432±0.043),差异有统计学意义(P < 0.05);Cleaved caspase-1蛋白在Cur组表达(0.495±0.037)高于Sham组(0.382±0.023),低于Sepsis组(0.823±0.056)差异有统计学意义(P < 0.05);IL-1β蛋白在Cur组表达(0.432±0.035)高于Sham组(0.193±0.028),低于Sepsis组(0.834±0.046),差异有统计学意义(P < 0.05)。见图 4。
|
| A:免疫印迹检测正常(Sham)大鼠心肌组织,48 h脓毒症大鼠心肌组织(Sepsis)及姜黄素干预组(Cur)的Cleaved caspase-1、NLRP3、IL-1β蛋白表达情况;B、C、D:各组蛋白OD相对值比较;与Sham组比较,aP < 0.05;与Sepsis组比较,bP < 0.05 图 4 各组心肌组织NLRP3、Cleaved caspase-1和IL-1β蛋白水平变化 Fig 4 The protein levels of NLRP3, Cleaved caspase-1 and IL-1β in the myocardial tissues of each group |
|
|
取各组大鼠心肌组织,在透射电镜下观察,Sham组心肌细胞核膜结构完整,核染色质分布均匀,线粒体呈椭圆形,嵴线清晰,板层小体结构正常。Sepsis组心肌细胞损伤严重,肌小节部分断裂,细胞核染色质边集、体积固缩,并且伴有线粒体空化、嵴线溶解甚至消失,板层小体内容物减少,肌浆网扩张、闰盘间隙增宽;而Cur组心肌细胞核体积略有缩小,染色质部分边集,线粒体轻度肿胀,板层小体内容物尚完整,较Sepsis组损伤明显减轻。见图 5。
|
| Sham组线粒体结构完整、肌小节正常;Cur组部分线粒体水肿、空泡化现象;Sepsis组线粒体空泡化明显、肌小节部分断裂、闰盘间隙增宽 图 5 透射电镜下大鼠心肌细胞超微结构(×20 000) Fig 5 Ultrastructure of myocardial tissues under transmission electron microscope (original magnification×20 000) |
|
|
脓毒症由感染引起的全身炎症反应综合征,是临床常见的急危重症,如延迟治疗或治疗不当容易发生多脏器功能衰竭,其中心肌损伤是脓毒症和脓毒症休克常见的并发症[8],而炎性介质在急性心肌损伤继发休克和多脏器功能衰竭过程起到核心作用。因此,早期抑制炎症反应、减轻心肌损伤,对提高患者生存率及生存质量具有重要意义[9-12]。
NLRP3炎性小体作为胞内识别受体,是由多种蛋白分子组成的复合体,包括核苷酸结合寡聚化结构域样受体(nucleotide binding oligomerization domain receptor, NLR)、ASC和pro-Caspase-1, 在炎症反应和免疫调节中具有重要调控作用。NLRP3炎性小体通过活化下游Caspase-1信号,进而激活白细胞介素IL-1β(interleukin-1β,IL-1β)、IL-18及肿瘤坏死因子α(tumor necrosis factor-alpha, TNF-α)等炎症因子,一系列的级联反应引起心肌组织损伤,为研究脓毒症心肌损伤提供实验依据[13-14]。NLRP3炎性小体通过Caspase-1与含半胱天冬氨酸酶活化招募域的凋亡相关颗粒样蛋白构成多蛋白复合物而诱导细胞焦亡。而焦亡过程中细胞膜孔隙扩大将胞质内容物释放到组织中,导致大量促炎因子产生,进一步加重炎症反应。细胞焦亡是依赖于Caspase-1介导炎症反应的程序性细胞死亡方式,而Caspase-1不仅是IL-1β的启动因子,同时也参与细胞凋亡,在感染性疾病、动脉粥样硬化和神经系统疾病中发挥重要作用[15-17]。因此,阐明脓毒症心肌损伤机制与寻找抑制NLRP3活性药物来防治脓毒症心肌损伤具有潜在的临床价值。
近年来发现,姜黄素可以通过抑制TNF-α、IL-6和IL-1β炎性因子,降低ROS产生和MDA含量,抑制凋亡蛋白Bax/Bcl-2和凋亡执行蛋白Caspase-3的表达发挥心肌保护作用[18-19]。选择姜黄素100 mg/kg给予大鼠腹腔注射,可发挥最佳药代学效应,剂量安全可靠[20]。本研究通过盲肠结扎建立脓毒症大鼠心肌损伤模型,通过检测心肌酶水平评价建模成功与否。建模后48 h采用Western-blot法检测心肌组织中焦亡相关蛋白表达,发现NLRP3、Cleaved caspase-1及IL-1β蛋白处于高表达;病理组织切片显示心肌细胞水肿、坏死和大量炎性细胞浸润现象,说明炎症介质参与心肌细胞损伤。在TUNEL检测中Sepsis组心肌细胞凋亡率增加,姜黄素干预后凋亡率明显下降,但并不单纯依赖于传统的Caspase-3凋亡途径,NLRP3/ASC/Caspase-1途径介导的细胞焦亡也参与了脓毒症心肌损伤。姜黄素干预后心肌细胞焦亡相关蛋白NLRP3、Cleaved caspase-1、IL-1β表达下调,说明姜黄素抑制心肌细胞焦亡的发生,降低心肌酶cTnT指标。电镜下观察Sepsis组心肌超微结构可见炎症细胞浸润,线粒体内部结构破坏、空化现象明显,肌小节纤维断裂,姜黄素干预后心肌细胞损伤减轻,线粒体结构大致完好,空化泡减少,说明姜黄素下调炎症反应,减轻线粒体损伤,对脓毒症心肌起到保护作用。
总之,脓毒症急性心肌损伤与NLRP3炎性小体介导的Cleaved caspase-1、IL-1β蛋白表达上调诱导细胞焦亡有关,姜黄素通过下调NLRP3炎性小体及其介导的Cleaved caspase-1、IL-1β蛋白表达抑制心肌细胞焦亡的发生,对心肌起到保护作用,为脓毒症心肌损伤提供新的治疗靶点,而姜黄素是否通过其他途径保护和改善脓毒症大鼠心肌损伤需在今后工作中进一步深入研究。
利益冲突 所有作者均声明不存在利益冲突
作者贡献声明:李青松、陈俊杰:参与实验操作、设计、文章撰写;王立峰:负责数据采集、统计分析、图片与图表制作;李永宁:文章内容修改、审阅以及后期文章处理,获取研究经费、行政、技术或材料支持
| [1] | 张晓凡, 李莉. 脓毒症心肌损伤机制研究及治疗进展[J]. 中华急诊医学杂志, 2015, 24(3): 339-341. DOI:10.3760/cma.j.issn.1671-0282.2015.03.027 |
| [2] | 孙姗姗, 李培军, 李博, 等. 脓毒症心肌损伤中Toll样受体4和JNK信号通路对细胞凋亡的作用[J]. 中国中西医结合急救杂志, 2020, 27(2): 151-156. DOI:10.3969/j.issn.1008-9691.2020.02.006 |
| [3] | 李萌芳, 胡系意, 陈隆望, 等. 黄芩苷调节STIM1介导的钙超载减轻脂多糖诱导的心肌细胞凋亡[J]. 中华医学杂志, 2019, 99(40): 3176-3182. DOI:10.3760/cma.j.issn.0376-2491.40.011 |
| [4] | 佘颜, 胡雨琴, 张荆, 等. 细胞焦亡参与脑缺血再灌注损伤的初步研究[J]. 中国病理生理杂志, 2019, 35(8): 1379-1386. DOI:10.3969/j.issn.1000-4718.2019.08.006 |
| [5] | 陶波, 刘浙波, 夏豪. NLRP3炎性小体在心脏重构中的作用和进展[J]. 中国心血管病研究, 2020, 18(11): 1052-1056. DOI:10.3969/j.issn.1672-5301.2020.11.018 |
| [6] | 曹星, 吴岩, 冯建宇, 等. 姜黄素抵抗脓毒症心肌损伤新机制探究[J]. 中国体外循环杂志, 2020, 18(2): 118-123. DOI:10.13498/j.cnki.chin.j.ecc.2020.02.14 |
| [7] | Yang C, Wu K, Li SH, et al. Protective effect of curcumin against cardiac dysfunction in sepsis rats[J]. Pharm Biol, 2013, 51(4): 482-487. DOI:10.3109/13880209.2012.742116 |
| [8] | 晋金兰, 张洪, 刘倩, 等. 黄连素对脓毒症大鼠心肌损伤和心功能的保护作用及机制[J]. 中华医学杂志, 2020, 100(35): 2779-2784. DOI:10.3760/cma.j.cn112137-20200227-00477 |
| [9] | 孙雪莲, 肖红丽, 谭志敏, 等. 脓毒症心肌损伤患者临床特征及危险因素研究[J]. 中华急诊医学杂志, 2019, 28(4): 494-497. DOI:10.3760/cma.j.issn.1671-0282.2019.04.019 |
| [10] | 李昕原, 吴彩军, 郭楠, 等. 脓毒症心肌病的研究进展[J]. 中国中西医结合急救杂志, 2019, 26(3): 372-377. DOI:10.3969/j.issn.1008-9691.2019.03.030 |
| [11] | Jin L, Cai CL, Lang XL, et al. Ghrelin inhibits inflammatory response and apoptosis of myocardial injury in septic rats through JAK/STAT signaling pathway[J]. Eur Rev Med Pharmacol Sci, 2020, 24(22): 11740-11746. DOI:10.26355/eurrev_202011_23825 |
| [12] | 陈俊杰, 李青松, 李永宁, 等. 乌司他丁抑制脓毒症大鼠心肌细胞凋亡及Caspase-3信号机制研究[J]. 中华急诊医学杂志, 2018, 27(1): 72-77. DOI:10.3760/cma.j.issn.1671-0282.2018.01.015 |
| [13] | 颜亮, 李陈广, 徐丽慧, 等. 黄芩苷对NLRP3炎症小体活化和细胞焦亡的抑制作用及其机制研究[J]. 免疫学杂志, 2018, 34(2): 93-100, 114. DOI:10.13431/j.cnki.immunol.j.20180014 |
| [14] | 张建楠, 刘文, 昌广平, 等. 核苷酸结合寡聚化结构域样受体蛋白3炎性小体在脓毒症急性肾损伤大鼠肾脏组织的表达及其影响[J]. 中华危重症医学杂志(电子版), 2020, 13(1): 55-59. DOI:10.3877/cma.j.issn.1674-6880.2020.01.011 |
| [15] | 许丽婷, 于红红, 许滔, 等. 黄连解毒汤调控NLRP3炎症小体改善动脉粥样硬化的机制研究[J]. 中国免疫学杂志, 2020, 36(7): 815-820. DOI:10.3969/j.issn.1000-484X.2020.07.010 |
| [16] | 王可, 刘国荣, 潘晓华, 等. NLRP3炎症小体与脑小血管病[J]. 卒中与神经疾病, 2020, 27(1): 136-138. DOI:10.3969/j.issn.1007-0478.2020.01.033 |
| [17] | 张飞, 李湘民, 张方杰. NOD样受体家族核苷酸结合寡聚化结构域样受体3炎性小体在脓毒症中的作用[J]. 中华危重症医学杂志(电子版), 2018, 11(6): 420-424. DOI:10.3877/cma.j.issn.1674-6880.2018.06.014 |
| [18] | 曹星, 吴岩, 冯建宇, 等. 姜黄素抵抗脓毒症心肌损伤新机制探究[J]. 中国体外循环杂志, 2020, 18(2): 118-123. DOI:10.13498/j.cnki.chin.j.ecc.2020.02.14 |
| [19] | Kumari A, Dash D, Singh R. Curcumin inhibits lipopolysaccharide (LPS)-induced endotoxemia and airway inflammation through modulation of sequential release of inflammatory mediators (TNF-α and TGF-β1) in murine model[J]. Inflammopharmacology, 2017, 25(3): 329-341. DOI:10.1007/s10787-017-0334-3 |
| [20] | 孙宇立, 仲伟鉴. 姜黄素潜在毒性作用的研究进展[J]. 环境与职业医学, 2005, 22(6): 552-555. DOI:10.3969/j.issn.1006-3617.2005.06.021 |
2022, Vol. 31



