原发性甲状旁腺功能亢进(primary hyperparathyroidism,pHPT)是内分泌系统相关疾病,可表现为高钙血症,但有关pHPT以转移性肺钙化(Metastatic pulmonary Calcification, MPC)为首发症状并伴MPC快速进展的案例较为罕见,易被误诊为原发性肺部疾病而延误诊治,危及患者生命[1]。本案例探讨1例以MPC伴高钙危象为首发症状的pHPT患者采用了局部枸橼酸抗凝的连续肾脏替代治疗(regionalcitrate anticoagulation continuous renal replacement therapy, RCA-CRRT),使血钙降低至安全范围。
1 资料与方法 1.1 基本病史患者,女,32岁,以“重症肺炎”于2021-04-13由外院转入。患者2021-03-20因上腹不适伴胸闷、咳嗽1月余,晕厥2次到当地医院就诊。血常规:血红蛋白95 g/L,血小板620×109/L,白细胞35.8×109/L,中性粒细胞96.2%。降钙素原34.95 ng/mL,C反应蛋白171 mg/L。肺部CT提示:两肺炎性病变,肺部感染。经抗感染治疗,患者病情未见好转,出现氧饱和度及血压下降(具体数值不详),立即采取气管插管、体外膜肺氧合支持技术(extracorporeal membrane oxygenation,ECMO)治疗,之后转入当地市中心医院。血气分析:乳酸16 mmol/L,pH 7.3。生化:白蛋白24.7 g/L,谷丙转氨酶434 U/L,谷草转氨酶2 917 U/L,肌酐272 μmol/L,C反应蛋白100 mg/L,降钙素原≥100 ng/mL(血钙、磷等具体数据不详),肺泡灌洗液未找到确切致病菌。经抗感染、床旁透析、抑酸护胃、护肝等对症支持治疗,各项化验指标均有好转,撤离ECMO后呼吸机脱机困难行气管切开。2021-04-11肺部CT:两侧胸腔积液伴两下肺膨胀不全,较前加重。为求进一步治疗,2021-04-13转入本院。患者既往身体健康,无家族遗传倾向疾病。
1.2 体格检查患者入院时神志清,双肺呼吸音偏低,可闻及湿啰音,予以镇痛镇静下呼吸机辅助通气。腹软,压痛、反跳痛不配合,右下肢置入中心静脉透析导管一根,双下肢轻度浮肿,病理体征阴性。
1.3 辅助检查 1.3.1 实验室检查血红蛋白92 g/L,血小板301×109/L,白细胞17.78×109/L, 中性粒细胞14.08%,降钙素原0.5 ng/mL,C反应蛋白35 mg/L,甲状旁腺激素425.7 pg/L,血气分析:pH 7.27,乳酸1.2 mmol/L,氧分压80.8 mmHg, 二氧化碳分压62.6 mmHg, 碳酸氢根25.1 mmol/L,离子钙1.76 mmol/L, 钠离子141 mmol/L, 阴离子间隙18.9 mmol/L,尿素氮8.9 mmol/L,肌酐145 umol/L, 肾小球滤过率41.37 mL/min, 谷丙转氨酶13 U/L, 谷草转氨酶28 U/L,血清总钙3.16 mmol/L,血磷1.94 mmol/L。
1.3.2 影像学检查2021-04-14彩色多普勒超声:右侧甲状腺下极下方低回声,大小2.3 cm×1.5 cm,边界清,甲状旁腺来源首先考虑(图 1A, B);双肾B超提示:双肾肿大伴肾病表现。2021-04-17颈部CT:右侧甲状腺后方结节(图 1C)。心脏超声:主瓣瓣环及二尖瓣瓣环及二尖瓣腱索上多发钙化,左室壁偏厚,肺动脉压增高。肺部CT:两肺炎症病变,两侧少量胸腔积液(图 2A)。
|
| A、B:多普勒超声示右侧甲状腺下极下方2.3 cm× 1.5 cm低回声;C:颈部CT示右侧甲状腺后方结节(箭头所指部分) 图 1 甲状旁腺术前影像学定位检查 |
|
|
|
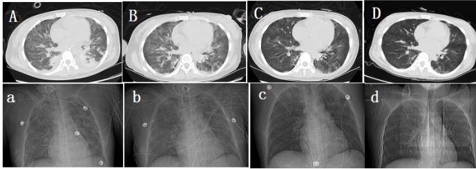
| A, a患者甲状旁腺腺瘤切除术前2021-04-13肺部CT;B, b患者术后第3天2021-04-25肺部CT;C, c患者术后第10天2021-05-02肺部CT;D, d患者术后第25天2021-05-17肺部CT 图 2 转移性肺钙化治疗前后的胸部CT影像 |
|
|
患者经抗感染、肠内营养支持、抑酸护胃、护肝、化痰等对症治疗,炎症指标呈下降趋势,但肺部症状未见明显好转。颈部CT及超声检查均提示甲状旁腺腺瘤考虑。2021-04-19请多学科联合会诊(multi-disciplinary treatment,MDT),包括甲状腺外科、内分泌科、呼吸内科、麻醉科、放射科、心血管内科,经讨论并查阅国内外文献,多学科会诊意见为患者检验提示甲状旁腺激素明显升高,结合影像学检查提示右侧甲状旁腺结节及两肺弥漫多发病变,经抗炎未见明显好转及改善,综合考虑为甲状旁腺病变导致的肺部病变,有手术治疗指征,建议加强围手术期病情监测。
1.5 治疗经过患者入院后即予以连续肾脏替代治疗(continuous renal replacement therapy,CRRT),血气分析提示离子钙1.76 mmol/L,立即采用4%枸橼酸钠抗凝,设定血流量与枸橼酸钠泵速比为1∶1.5~1.8,置换液含钙1.5 mmol/L,静脉端未常规补充钙离子,鲑降钙素50 IU肌肉注射2次/d,降低血钙治疗。患者24 h尿量300 mL,拟定液体管理水平为保持置换液平衡,每2~4 h监测血气分析Ca2+、HCO3–、Na+、pH值等(表 1),每日监测血常规、生化、心肌酶谱、肌钙蛋白、凝血功能、降钙素原、C反应蛋白、总钙/离子钙比值等变化,完善病原学检查、NGS等。
| 化验日期 | 钙离子(mmol/L)a | 总钙(mmol/L)a | 总钙/钙离子 | 钠离子(mmol/L)a | 碳酸氢根(mmol/L)a | pH值a | 乳酸(mmol/L)a |
| 2021-04-13 | 1.63±0.10 | 3.16 | 1.94 | 138.14±0.64 | 24.85±0.88 | 7.30±0.02 | 1.53±0.25 |
| 2021-04-14 | 1.55±0.12 | 3.15 | 2.03 | 137.29±1.48 | 24.82±0.52 | 7.31±0.03 | 1.63±0.24 |
| 2021-04-15 | 1.37±0.09 | 2.90 | 2.12 | 137.29±1.03 | 24.77±0.64 | 7.33±0.02 | 1.30±0.21 |
| 2021-04-16 | 1.41±0.13 | 3.08 | 2.19 | 137.57±0.90 | 25.52±0.59 | 7.36±0.04 | 1.48±0.45 |
| 2021-04-17 | 1.38±0.08 | 3.15 | 2.28 | 138.43±1.18 | 25.33±0.43 | 7.39±0.02 | 2.00±0.23 |
| 2021-04-18 | 1.34±0.06 | 3.02 | 2.24 | 140.00±0.50 | 25.63±0.46 | 7.39±0.03 | 1.85±0.13 |
| 2021-04-19 | 1.34±0.13 | 3.06 | 2.30 | 138.71±0.70 | 25.58±0.86 | 7.38±0.01 | 1.70±0.20 |
| 2021-04-20 | 1.34±0.12 | 3.12 | 2.33 | 134.86±2.10 | 22.32±1.88 | 7.36±0.02 | 1.62±0.25 |
| 2021-04-21 | 1.33±0.12 | 3.06 | 2.30 | 137.29±1.16 | 23.85±1.60 | 7.36±0.03 | 1.63±0.21 |
| 2021-04-22 | 1.40±0.09 | 3.17 | 2.26 | 139.00±0.54 | 24.07±0.70 | 7.34±0.03 | 1.37±0.38 |
| 参考值 | 1.15~1.35 | 2.11~2.52 | <2.50 | 137.0~147.0 | 22.0~27.0 | 7.35~7.45 | 0.50~2.20 |
| 注:a为x±s | |||||||
2021-04-22患者在全麻下行右侧甲状旁腺腺瘤腔镜下切除术,术后病理报告:(右侧)符合甲状旁腺腺瘤。术后血清总钙2.45 mmol/L,甲状旁腺激素27.7 pg/mL, 停鲑降钙素肌肉注射治疗。CRRT设定血流量与枸橼酸钠泵速比为1∶1.3,监测血气分析调整静脉端补钙剂量,维持离子钙1.0~1.2 mmol/L范围,患者术后第2天经呼吸锻炼后脱机成功,气管切开处高流量吸氧。2021-04-25停止CRRT治疗。肺部CT:两肺炎症病变,较前吸收(图 2B, b)。2021-04-28停用抗生素治疗,改为鼻导管吸氧,开始床边坐起进行关节功能锻炼。2021-05-02肺部CT:两肺渗出性病变,较前明显吸收(图 2C, c),2021-05-09患者转康复病房进行肺功能训练、平衡功能训练、关节功能锻炼、中药辅助治疗。2021-05-17复查肺部CT:两肺渗出性病变,较上次明显吸收(图 2D, d)。2021-05-26血气分析:PH 7.37, 乳酸0.60 mmol/L,二氧化碳分压31.70 mmHg, 氧分压117.00 mmHg(1 mmHg=0.133 kPa), 氧饱和度100%(吸入氧流量21%),标准碳酸氢盐19.2 mmol/L。肾功能:肌酐104 μmol/L,肾小球滤过率61 mL/min,血清钙1.93 mmol/L。双上肢肌力5-级,双下肢肌力4+级,坐位平衡3级,立位平衡2级,2021-05-28患者要求出院回当地继续康复治疗。
2 讨论高钙危象是指血钙总值≥3.75 mmol/L引起的多系统代谢紊乱的一系列临床征象, 病死率极高, 可达60%[2]。目前已有研究表明,高钙血症是肾功能受损的独立危险因素[3]文献报道MPC病例多见于终末期肾病(end-stage renal disease,ESRD)患者中,确切的发病机制尚不清楚,多数患者无明显症状[4],临床上呼吸困难伴高钙血症的患者应考虑MPC的可能。pHPT伴MPC是一种罕见的异位钙化类型[5],胸部CT多提示为双侧肺多发高密度影或肺部双侧磨玻璃影[1, 6]。目前查阅到3例相关报道。有研究发现[1],肺钙化沉积的相对稳定性和对抗生素治疗无效可作为区分MPC和感染性肺炎的方法,且高钙血症引起的肺水肿可以通过降低血钙治疗而好转,因此积极采取措施降低血钙是首要任务,出现呼吸衰竭时,ECMO治疗是一个很好的选择[6]。本案例患者当地医院予以气管插管、ECMO、床旁透析等治疗,为进一步救治争取了宝贵时机。
近年来CRRT是临床急危重症患者救治过程中的重要支持手段之一[7]。CRRT治疗时使用局部枸橼酸钠抗凝(regional citrate anticoagulation, RCA),可螯合患者血液中的钙离子形成枸橼酸钙,并通过透析清除而使血钙降低。本例患者首次血气分析离子钙1.76 mmol/L(总钙≈3.52 mmol/L),甲状旁腺激素(parathyroid hormone, PTH)425.7 pg/mL,符合pHPT患者血钙≥3.5 mmol/L并出现多系统受累表现时可诊断为pHPT导致的高钙危象的文献报道[8],结合患者颈部超声及CT提示:右侧甲状旁腺结节,考虑患者为甲状旁腺腺瘤引起的高钙危象伴转移性肺钙化。患者肾小球滤过率41.37 mL/min, 因此采取RCA-CRRT降低血钙、改善机体内环境,积极手术切除甲状旁腺腺瘤的治疗方案,术后患者各项指标降至正常。切除病灶是治疗pHPT的根本有效方法[1],早发现、早治疗是关键。
RCA技术是一种安全有效的抗凝方式,有良好的耐受性及生物相容性[9],RCA-CRRT治疗时应兼顾血液中离子钙的浓度, 高钙血症患者通常离子钙偏高,所需要的枸橼酸钠量大[10]。临床上使用低钙/无钙配方透析治疗可迅速降低血钙,适用于肾功能受损的高钙血症患者[11]。本案例患者采用了含钙1.50 mmol/L的置换液进行RCA-CRRT后稀释血液滤过治疗, 设定血流量与枸橼酸泵速比为1∶1.5~1.8,静脉回路端未给予补钙,使血液离子钙维持在1.17~1.57 mmol/L。值得注意的是1 mmol的枸橼酸钠可使体内增加3 mmol钠离子、3 mmol钙离子和6 mmol碳酸氢根[12],患者机体会出现酸碱平衡、电解质(钙离子和钠离子)的变化,严重者导致枸橼酸蓄积和代谢性碱中毒。Hetzel等[13]研究结果显示:总钙/离子钙比值与枸橼酸代谢障碍成正相关,并将总钙/离子钙比值> 2.5设为枸橼酸蓄积的阈值。在治疗过程中乳酸持续升高或HCO3–持续降低也是判断枸橼酸代谢障碍的指标,因此应持续、动态监测患者各项化验指标,避免相关并发症的发生。
pHPT伴MPC快速进展案例较为罕见,研究[5]表明原发性HPT伴高钙血症、原发性HPT、高钙血症和继发性HPT伴肾功能衰竭、维生素D缺乏症、骨髓瘤等疾病是MPC的危险因素,能否有效控制高钙血症和高PTH是治疗的关键。本例患者采用含钙1.50 mmol/L的置换液进行RCA-CRRT联合鲑降钙素降钙治疗,为进一步诊断及手术治疗赢得了时间,患者在切除右侧甲状旁腺腺瘤病灶后,肺钙化症状明显改善(图 2D, d),表明pHPT伴MPC手术治疗后有逆转的可能。
利益冲突 所有作者声明无利益冲突
| [1] | Sun HM, Chen F, Yin HL, et al. Rapid development of metastatic pulmonary calcifications in primary hyperparathyroidism: a case report and literature review[J]. Diagn Pathol, 2017, 12(1): 38. DOI:10.1186/s13000-017-0628-1 |
| [2] | 王越越, 朱海燕, 班雨, 等. 临床容易忽视的高血钙危象三例报告并文献复习[J]. 临床误诊误治, 2015, 28(1): 23-26. DOI:10.3969/j.issn.1002-3429.2015.01.007 |
| [3] | Çalışkan M, Kızılgül M, Beysel S, et al. Factors associated with glomerular filtration rate variation in primary hyperparathyroidism after parathyroidectomy[J]. Turk J Med Sci, 2019, 49(1): 295-300. DOI:10.3906/sag-1806-181 |
| [4] | Lakshmana Perumal N, Selvi J, Sahoo JP, et al. An unusual cause of pulmonary calcification[J]. BMJ Case Rep, 2019, 12(6): e229725. DOI:10.1136/bcr-2019-229725 |
| [5] | Kawase K, Takagi K, Mizuno M, et al. A case of temporary metastatic pulmonary calcification in a patient with hyperparathyroidism on peritoneal dialysis[J]. Clin Nephrol, 2021, 95(3): 161-165. DOI:10.5414/cn110337 |
| [6] | Ikegaki S, Otoshi T, Hirai T, et al. A rare case of parathyroid crisis with respiratory failure successfully treated using extracorporeal membrane oxygenation[J]. Respir Med Case Rep, 2020, 30: 101088. DOI:10.1016/j.rmcr.2020.101088 |
| [7] | 宁琪琪, 孟庆华, 朱跃科. 局部枸橼酸抗凝在肝衰竭患者进行持续肾脏替代治疗中的应用进展[J]. 中华肝脏病杂志, 2018, 26(7): 549-552. DOI:10.3760/cma.j.issn.1007-3418.2018.07.015 |
| [8] | 王志新, 左庆瑶, 陈佳, 等. 原发性甲状旁腺功能亢进症合并高钙危象患者临床特点分析[J]. 医学研究杂志, 2017, 46(12): 112-115. DOI:10.11969/j.issn.1673-548X.2017.12.028 |
| [9] | 姜变通, 张志刚, 靳修, 等. 枸橼酸用于CRRT局部抗凝时的离子钙管理的研究进展[J]. 中国血液净化, 2019, 18(8): 553-556. DOI:10.3969/j.issn.1671-4091.2019.08.011 |
| [10] | 穆春凯, 王勇强, 高红梅, 等. 连续静脉-静脉血液滤过时局部枸橼酸钠抗凝初始剂量的探讨[J]. 中国急救医学, 2020, 40(2): 137-141. DOI:10.3969/j.issn.1002-1949.2020.02.010 |
| [11] | 张颖超, 邓先兆, 郭伯敏, 等. 原发性甲状旁腺功能亢进症术后高钙危象一例[J]. 中华内分泌外科杂志, 2020, 14(4): 347-349. DOI:10.3760/cma.j.issn.115807-00249 |
| [12] | 陈香美. 血液净化标准操作规程: 2020版[M]. 北京: 人民军医出版社, 2020. |
| [13] | Hetzel GR, Taskaya G, Sucker C, et al. Citrate plasma levels in patients under regional anticoagulation in continuous venovenous hemofiltration[J]. Am J Kidney Dis, 2006, 48(5): 806-811. DOI:10.1053/j.ajkd.2006.07.016 |
2022, Vol. 31



