脓毒症为人类健康的重大威胁之一,全球每年有上百万脓毒症患者,其中约1/4脓毒症患者因此丧生[1]。脓毒症是由宿主对感染反应失控导致危及生命的器官功能障碍[2],其中脓毒症相关性肺损伤被认为是常见的严重并发症。急性肺损伤和急性呼吸窘迫综合征是脓毒症患者脏器功能障碍和死亡的独立危险因素[3]。细胞焦亡(pyroptosis)是近年新发现的一种伴随炎症反应的细胞程序性死亡方式[4],可引起强烈的炎症反应,可能是脓毒症相关性肺损伤发生时的早期事件。本研究旨在初步探索Caspase-1介导的细胞焦亡在脓毒症相关性肺损伤发病过程中的作用及部分机制,以对该疾病的发生发展作进一步的认识,为防治该疾病提供新的干预靶点和理论依据。
1 材料与方法 1.1 主要试剂Caspase-1抑制剂氟甲基酮(Z-WEHD-FMK)购于英国Abcam生物公司。IL-1β和IL-18 ELISA试剂盒由上海森雄科技实业有限公司提供。Caspase-1和GSDMD抗体购于英国Abcam生物公司。
1.2 实验动物分组及脓毒症模型制备选择SPF级雄性小鼠[SCXK(浙)2019-0004]36只,6周龄,体重20~25 g。随机数字法分成3组,分别为假手术组(Sham组,n=12),脓毒症组(CLP组,n=12)及干预组(CI组,n=12)。小鼠脓毒症模型的建立采用经典的盲肠结扎穿孔法(cecal ligation and puncture, CLP)[5]建立小鼠脓毒症模型。脓毒症组及干预组均腹腔注射4%水合氯醛40 mg/kg麻醉后,常规腹部备皮、碘伏消毒和铺无菌纱布洞巾,腹部正中切开皮肤、腹壁约1 cm,用手术缝线把盲肠远端3/4处结扎,用20 G无菌注射器针头于被结扎盲肠横向贯通穿孔,挤出少许粪便后将盲肠放回腹腔,缝合腹壁各层组织。Sham组只开腹,不进行盲肠的结扎和穿孔。CI组于术后1 h经腹腔注射caspase-1抑制剂氟甲基酮(Z-WEHD-FMK)3 mg/kg,Sham组和CLP组则注射相同剂量的生理盐水。
1.3 肺组织W/D测定在24 h后处死各组小鼠,快速取出小鼠右肺上叶组织, 用滤纸拭干组织表面渗液及血液, 称其湿质量并做记录。然后将其置于1.5 mL EP管内, 放入80 ℃烤箱烘烤48 h后称其干质量。以肺的湿质量与干质量之比(W/D)表示肺组织的相对含水量。
1.4 肺组织损伤评分取右肺中叶,经10%多聚甲醛溶液固定、脱水、石蜡包埋、切片、苏木精-伊红(HE)染色后,病理学专业人员光镜下观察肺组织病理学改变。进行肺损伤评分[6],评分项目包括水肿、充血、中性粒细胞浸润、支气管内出血和碎屑、细胞增生,每项的评分按损伤程度分为0、1、2和3分,取5项评分总和。
1.5 肺泡灌洗液IL-1β和IL-18水平检测术后24 h时将各组小鼠麻醉后置于清洁的实验台上,打开胸腔,暴露肺和气管,气管切开后插入软管并固定,结扎右主支气管。通过软管注射PBS 0.3 mL,静置30 s后回抽,共进行3次注射与回抽,收集到的支气管肺泡灌洗液(BALF)离心,取上清液用酶联免疫吸附试验(ELISA)法检测。
1.6 肺组织Caspase-1及GSDMD蛋白测定各组小鼠取右下肺组织,提取组织蛋白,采用Western blot法测定Caspase-1和GSDMD蛋白,SDS-PAGE凝胶电泳,将蛋白转移到0.2 μm的PVDF膜上,5%TBST配制的脱脂牛奶封闭1 h,将PVDF膜放入按说明书比例稀释的Caspase-1或GSDMD抗体中4℃孵育过夜,TBST洗膜30 min,放入相对应的二抗中室温下孵育1 h,TBST洗膜30 min,暗室显影曝光,用Gene Tools图像分析软件测定条带灰度值,以目的蛋白条带灰度值与GAPDH条带灰度值的比值来反映目的蛋白的表达水平。
1.7 统计学方法采用SPSS 22.0软件进行统计学分析,各组实验数据以均数±标准差(x±s)表示,各组间实验数据比较采用LSD-t检验;通过Graph Pad Prism 8.0软件进行统计学分析及作图,以P<0.05为差异有统计学意义。
2 结果 2.1 各组间肺组织病理损伤比较HE染色肺组织进行损伤评分,以及通过肺组织W/D比值比较肺水含量,评估比较各组小鼠肺组织病理损伤情况。Sham组肺组织结构清晰,肺泡及肺间质无水肿,无明显炎症细胞浸润;CLP组和CI组均存在不同程度肺损伤,炎症细胞浸润,肺泡透明膜形成,肺间质水肿,CLP组和CI组肺组织肺水含量及肺损伤评分较Sham组均明显升高(P < 0.05);与CLP组比较,CI组肺组织损伤评分则明显降低(P<0.05), 肺水含量也减少(P<0.05)。见表 1、图 1。
| 组别 | 肺损伤评分 | W/D值 |
| Sham组 | 3.20±0.88 | 8.10±1.02 |
| CLP组 | 12.51±3.12a | 14.65±4.18a |
| CI组 | 9.36±3.74b | 11.46±2.02b |
| 注:与Sham组比较,aP < 0.05; 与CLP组比较,bP < 0.05。 | ||
|
| 图 1 各组小鼠肺组织比较(HE ×200) |
|
|
与Sham组比较,肺泡灌洗液IL-1β、IL-18含量在CLP组和CI组明显升高(P<0.01)。与CLP组相比,CI组肺泡灌洗液IL-1β、IL-18含量则明显降低(P<0.05)。见图 2。
|
| 注:与Sham组比较,aP < 0.05; 与CLP组比较,bP < 0.05。 图 2 各组肺泡灌洗液IL-18、IL-1β水平 |
|
|
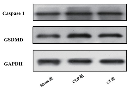
在Sham组小鼠肺组织内caspase-1及GSDMD蛋白表达均较低。与Sham组比较,CLP组和CI组肺组织内caspase-1及GSDMD蛋白表达均明显升高(P均<0.01)。与CLP组比较,给予caspase-1抑制剂干预处理后,CI组caspase-1及GSDMD蛋白的表达较前者明显下降(P<0.05)。见图 3,图 4。
|
| 图 3 各组小鼠肺组织内Caspase-1和GSDMD比较 |
|
|
|
| 注:与Sham组比较,aP < 0.05; 与CLP组比较,bP < 0.05。 图 4 Caspase-1及GSDMD蛋白在各组小鼠肺组织内表达情况 |
|
|
肺是脓毒症病程中最易损伤的器官之一,在脓毒症早期即可出现急性肺损伤(acutelung injury,ALI)/ 急性呼吸窘迫综合征(acute respiratory distress syndrome,ARDS)[7]。肺损伤过程起始于渗出阶段和免疫细胞介导的肺泡上皮和血管内皮屏障破坏,继而导致血浆、血浆蛋白、细胞内容物等涌入组织间隙及肺泡腔内,中性粒细胞和巨噬细胞已被认为在此过程中起着关键性作用[8]。但是,目前尚不清楚这些炎性细胞聚集和活化的详细机制。炎症反应的开始阶段是脓毒症相关性肺损伤发病机制的关键环节,可能决定着肺损伤的发生发展。在本研究中,采用经典的CLP法制备脓毒症动物模型,可见肺组织病理损伤现象, 并且脓毒症动物模型肺组织内炎性细胞因子IL-1β和IL-18水平显著升高。
在细胞焦亡过程中,细胞膜上形成众多1~2 nm的孔隙,使细胞膜失去完整性,最终细胞裂解,释放IL-1β、IL-18等炎症因子,诱发强烈的炎症反应[9-10]。细胞焦亡由炎性半胱氨酸蛋白酶(Caspase)介导,目前发现的有小鼠体内的Caspase-1、Caspase-11和Caspase-12,人体内有Caspase-1、Caspase-4、Caspase-5和Caspase-12[11]。细胞焦亡过程存在经典焦亡途径和非经典焦亡途径两种方式[12]。在经典细胞焦亡途径中,具有活性的Caspase-1可以裂解Gasdermin D(GSDMD)蛋白形成具有活性的N端与C端,N端促使细胞膜穿孔、细胞死亡[13];同时Caspase-1还可以处理pro-IL-1β形成有活性的IL-1β,释放到细胞外扩大炎症反应。在非经典细胞焦亡途径中,活化的Caspase-4、Caspase-5、Caspase-11可以裂解GSDMD蛋白,还可以激活NLRP3炎症小体来活化Caspase-1,最终产生IL-1β并外释[14]。由此可见,细胞焦亡可能在炎症反应的起始过程中发挥着重要作用。由于细胞焦亡在机体内是一个动态过程,往往难以观测,目前,活化的Caspase-1和GSDMD蛋白N端已被公认为细胞焦亡过程发生的标记物,通过检测这些指标水平变化来确定细胞焦亡的发生。本研究结果显示,与Sham组比较,CLP组和CI组小鼠肺组织内的Caspase-1和GSDMD蛋白均明显升高,提示在脓毒症早期,肺组织内已有细胞焦亡的发生。
细胞焦亡是一个高度炎症性细胞死亡模式,可以加速免疫应答以抵抗病原体入侵,促进病原体的清除[15]。然而,细胞焦亡也同时放大炎症反应,引起强烈的炎症反应的发生,并导致细胞死亡、组织损害、脏器功能障碍以及致命的感染性休克[16]。在炎症过程中,Caspase-1的活化可诱导促炎因子释放,以及使炎症细胞通过细胞焦亡而死亡[9]。在本研究中,脓毒症小鼠肺组织Caspase-1蛋白表达水平明显升高,并且炎症因子IL-1β和IL-18水平也显著上升,这提示脓毒症小鼠肺组织损伤过程中有这三者的参与。在严重感染或脓毒症中,细胞焦亡可能是不利因素[5],细胞焦亡时释放的炎性介质导致强烈的炎症反应,致使脏器功能受损。在Ming等的研究[17]中发现,在内毒素血症动物模型中,Caspase-1基因敲除的小鼠与野生型小鼠相比有着更高的存活率。而在本研究中,使用Caspase-1抑制剂可在一定程度上减少脓毒症小鼠肺损伤严重程度,也间接证实细胞焦亡在肺损伤过程中起着重要作用。
利益冲突 所有作者声明无利益冲突。
作者贡献声明 李增攀、方建江、周挺:研究设计、论文撰写、基金支持、数据分析等;韩文文、袁杰、胡恩聪:数据整理、收集、实验操作;余俊伟、董明骏:数据分析、图表制作、统计处理。
| [1] | Fleischmann C, Scherag A, Adhikari NK, et al. Assessment of global incidence and mortality of hospital-treated sepsis: current estimates and limitations[J]. Am J Respir Crit Care Med, 2016, 193(3): 259-272. DOI:10.1164/rccm.201504-0781OC |
| [2] | Singer M, Deutschman CS, Seymour CW, et al. The third international consensus definitions for sepsis and septic shock (Sepsis-3)[J]. JAMA, 2016, 315(8): 801-810. DOI:10.1001/jama.2016.0287 |
| [3] | Miyashita T, Ahmed AK, Nakanuma S, et al. A three-phase approach for the early identification of acute lung injury induced by severe Sepsis[J]. In Vivo, 2016, 30(4): 341-349. |
| [4] | Cookson BT, Brennan MA. Pro-inflammatory programmed cell death[J]. Trends Microbiol, 2001, 9(3): 113-114. DOI:10.1016/s0966-842x(00)01936-3 |
| [5] | Rittirsch D, Huber-Lang MS, Flierl MA, et al. Immunodesign of experimental sepsis by cecal ligation and puncture[J]. Nat Protoc, 2009, 4(1): 31-36. DOI:10.1038/nprot.2008.214 |
| [6] | McGuigan RM, Mullenix P, Norlund LL, et al. Acute lung injury using oleic acid in the laboratory rat: establishment of a working model and evidence against free radicals in the acute phase[J]. Curr Surg, 2003, 60(4): 412-417. DOI:10.1016/S0149-7944(02)00775-4 |
| [7] | Wheeler AP, Bernard GR. Acute lung injury and the acute respiratory distress syndrome: a clinical review[J]. Lancet, 2007, 369(9572): 1553-1564. DOI:10.1016/s0140-6736(07)60604-7 |
| [8] | Sweeney RM, McAuley DF. Acute respiratory distress syndrome[J]. Lancet, 2016, 388(10058): 2416-2430. DOI:10.1056/NEJMra1608077 |
| [9] | Lieberman J, Wu H, Kagan JC. Gasdermin D activity in inflammation and host defense[J]. Sci Immunol, 2019, 4(39): eaav1447. DOI:10.1126/sciimmunol.aav1447 |
| [10] | 卓荦, 刘永娟, 李小民. 脓毒症中细胞焦亡的相关研究进展[J]. 中华急诊医学杂志, 2019, 28(11): 1449-1453. DOI:10.3760/cma.j.issn.1671-0282.2019.11.025 |
| [11] | Aachoui Y, Sagulenko V, Miao EA, et al. Inflammasome-mediated pyroptotic and apoptotic cell death, and defense against infection[J]. Curr Opin Microbiol, 2013, 16(3): 319-326. DOI:10.1016/j.mib.2013.04.004 |
| [12] | 姜洁, 吕菁君, 魏捷. 细胞焦亡途径以及细胞焦亡对脓毒症免疫反应的潜在影响[J]. 中华急诊医学杂志, 2019, 28(5): 655-658. DOI:10.3760/cma.j.issn.1671-0282.2019.05.029 |
| [13] | Shi J, Zhao Y, Wang K, et al. Cleavage of GSDMD by inflammatory caspases determines pyroptotic cell death[J]. Nature, 2015, 526(7575): 660-665. DOI:10.1038/nature15514 |
| [14] | 刘岳衡, 王慧. 细胞焦亡: 程序性死亡研究新热点[J]. 临床与病理杂志, 2016, 36(7): 1006-1011. |
| [15] | Case CL. Regulating caspase-1 during infection: roles of NLRs, AIM2, and ASC[J]. Yale J Biol Med, 2011, 84(4): 333-343. |
| [16] | Aziz M, Jacob A, Wang P. Revisiting caspases in sepsis[J]. Cell Death Dis, 2014, 5: e1526. DOI:10.1038/cddis.2014.488 |
| [17] | Man SM, Karki R, Briard B, et al. Differential roles of caspase-1 and caspase-11 in infection and inflammation[J]. Sci Rep, 2017, 7: 45126. DOI:10.1038/srep45126 |
2022, Vol. 31



