感染是急危重症患者死亡的主要原因之一,重症感染起病急、进展快、病原体复杂,短时间内能否明确致病病原微生物至关重要。随着宏基因测序技术(metagenomics next-generation sequencing, mNGS)临床应用,人类鹦鹉热衣原体肺炎个案报道也逐渐增多,现将南京医科大学附属南京医院通过肺泡灌洗液经mNGS确诊的2例鹦鹉热衣原体肺炎报告如下。本研究2例病例均获得家属知情同意并签署知情同意书。
1 资料与方法病例1,女,39岁,有家禽接触史,发病前一周左右,饲养的鸭子大量死亡,近7 d来发热,伴畏寒、寒战,自觉胸闷,无咳嗽、咳痰,体温最高40 ℃。血常规示中性粒细胞比例升高,胸部CT示“右下肺炎”,予头孢呋辛抗感染,发热未退,改用头孢哌酮舒巴坦、莫西沙星、亚胺培南西司他丁治疗,效果不佳。
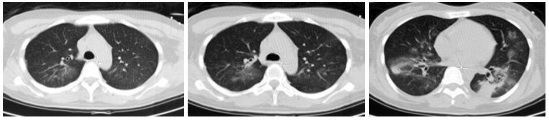
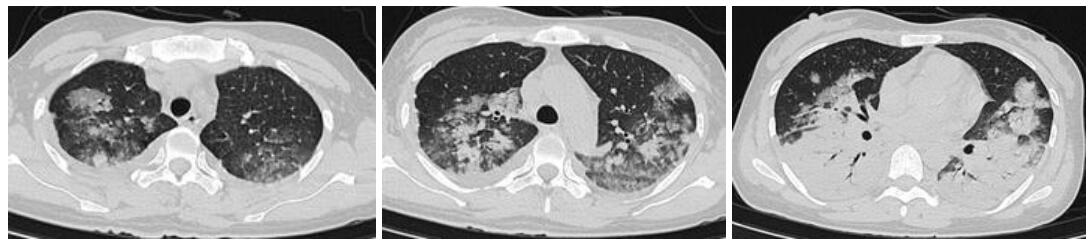
入院查体:体温39 ℃,脉搏87次/min,呼吸30次/min,血压111/75 mmHg(1 mmHg=0.133 kPa);神清,无皮疹,浅表淋巴结无肿大,双肺闻及少许干湿啰音,心律齐,未闻及杂音,腹软,肝脾肋下未触及;胸部CT示两肺感染,见图 1;甲、乙型流感病毒抗原检测阴性。入院诊断:重症社区获得性肺炎。予无创机械通气,莫西沙星抗感染,帕拉米韦抗病毒治疗,效果欠佳,遂转入ICU。入ICU血气:FiO2 70%,pH 7.44,PCO2 30.5 mmHg,PO2 88.2 mmHg,Lac 0.9 mmol/L,PO2/FiO2 126.0,考虑合并急性呼吸窘迫综合征,予气管插管机械通气,右美托美定+丙泊酚镇静、哌拉西林他唑巴坦、奥司他韦、甲泼尼松龙等治疗。复查胸部CT示:两下肺实变。行俯卧位通气,行肺泡灌洗液mNGS检测:鹦鹉热衣原体(序列数773),未检测到病毒及其他细菌,改用多西环素+莫西沙星抗感染。治疗效果好,1周后复查肺CT示病灶吸收明显,见图 2;第10天脱机拔管,转出ICU。
|
| 两肺斑片状密度增高影,边界模糊,两下肺大片实变影 图 1 病例1入院时胸部CT结果 |
|
|
|
| 两肺片状模糊影,双肺下叶实变渗出病灶较前明显吸收 图 2 病例1入院1周胸部CT结果 |
|
|
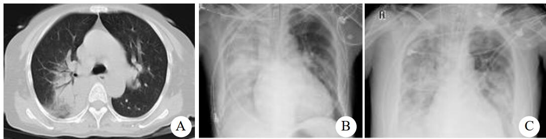
病例2,女,55岁,有鸽子喂养史,近半个月来咳嗽发热,咳剧时伴胸闷气喘,活动后加重,近1周出现纳差,伴呕吐、腹泻。入院查体:体温38 ℃,脉搏126次/min,呼吸32次/min,血压91/48 mmHg。神清,无皮疹,浅表淋巴结无肿大,右肺闻及湿啰音,心律齐,未闻及杂音,肝脾肋下未触及。胸部CT示右肺大片实变,见图 3A。甲、乙型流感抗原检测阴性。入院诊断:重症社区获得性肺炎。予无创机械通气,美罗培南+莫西沙星抗感染,奥司他韦抗病毒,入院第3天查胸片示两肺斑片状模糊影(图 3B),予气管插管辅助通气,查PCT 7.88 ng/mL。改用阿奇霉素+万古霉素抗感染。入院第8天行肺泡灌洗液mNGS检测:鹦鹉热衣原体(序列数314),鲍曼不动杆菌(序列数23),改舒普深+替加环素治疗。经治疗后,患者症状无明显好转,并发严重上消化道出血,入院第13天查胸片示病灶范围扩大(见图 3C),因病情危重,生命体征不平稳未行CT复查,患者病情进行性恶化,治疗14 d后死亡。
|
| A:入院时胸部CT,右肺大片实变;B:入院第3天床边胸片,两肺斑片状模糊影;C:入院第13天床边胸片,两肺斑片状模糊影,较前有进展 图 3 病例2胸部检查结果 |
|
|
鹦鹉热衣原体典型表现为高热、恶寒、头痛、肌痛、咳嗽和肺部浸润性病变等特征,其临床表现缺乏特异性,尤其是缺乏鸟类、家禽接触史的患者,感染后易误诊,延误病情[1-2]。
本文病例1患者有鸭接触史,以发热为首发症状,伴畏寒、寒战,有胸闷气喘,偶咳嗽,咳少量白稀痰;病例2患者有鸽子喂养史,以咳嗽发热为首发症状,干咳为主,咳剧时伴胸闷气喘,后出现纳差,伴呕吐、腹泻。上述两位患者的临床表现均无特异性。
衣原体是一种极小的非运动性细胞内生长的微生物,分为四种:肺炎衣原体、鹦鹉热衣原体、沙眼衣原体和牛衣原体。禽衣原体病是由鹦鹉热衣原体感染禽类引起不同症候群的一种接触性人畜共患病。目前,衣原体菌株已从多种哺乳动物和鸟类宿主中分离出来[3]。
鹦鹉热衣原体肺炎属非典型性肺炎,常规的实验方法诊断困难,而mNGS不仅检测的数量庞大,而且及时可靠[4]。mNGS是依托高通量测序技术,以微生物学为基础,以生物信息学为技术手段,以解决临床医学问题为目的的一项技术[5],对重症社区获得性肺炎的早期病原学诊断尤为重要[6]。
鹦鹉热衣原体肺炎影像学常缺乏特异性,胸片表现为不同程度渗出、实变,病灶可累及整个肺叶,实变以外侧肺叶较为明显,CT表现为肺部大片炎性浸润伴间质性肺炎,可伴少量胸腔积液。本文中两例患者影像学表现均与上述相符。
鹦鹉热衣原体肺炎的确诊常依赖于家禽接触史和实验室检查[7]。鉴别诊断首先需与常见病原体感染,如肺炎链球菌、金黄色葡萄球菌、病毒等进行鉴别诊断。肺炎链球菌肺炎,患者常起病急骤,咳铁锈色痰,可有患侧胸部疼痛,X线呈肺部急性炎性病变;金黄色葡萄球菌肺炎,患者常咳脓性痰,X线表现为坏死性肺炎;病毒性肺炎常表现为全身症状较重,X线呈弥漫性结节性浸润。本文两例患者有家禽或鸟接触史,mNGS示鹦鹉热衣原体,序列数均较高,病例1未检出细菌、真菌、病毒及寄生虫。病例2则检出鲍曼不动杆菌,但序列数较低,考虑为定植。
治疗应选择胞内活性高的如四环素、大环内酯类及新氟喹诺酮等抗生素,本病与一般的非典型肺炎不同,病灶吸收慢,平均6周,长者可达20周[8]。本文病例1确诊早,采用莫西沙星+多西环素联合抗感染治疗,效果较好。病例2因mNGS检测较晚,且受定植的鲍曼不动杆菌干扰,采用舒普深+替加环素抗感染治疗,尽管后者是四环素类抗生素,但其疗效不及多西环素、莫西沙星等抗生素。因此,对疑似鹦鹉热衣原体肺炎的患者尽早mNGS检测[9-11],以明确诊断,采取目标性抗感染策略,做到早诊断、早治疗,从而缩短病程,改善预后。
利益冲突 所有作者声明无利益冲突
| [1] | Tolba HMN, Abou Elez RMM, Elsohaby I. Risk factors associated with Chlamydia psittaci infections in psittacine birds and bird handlers[J]. J Appl Microbiol, 2019, 126(2): 402-410. DOI:10.1111/jam.14136 |
| [2] | 史兰萍, 李阳. 鹦鹉热衣原体重症肺炎1例[J]. 中国感染与化疗杂志, 2019, 19(3): 309-311. DOI:10.16718/j.1009-7708.2019.03.016 |
| [3] | Andersen AA. Serotyping of US isolates of Chlamydophila psittaci from domestic and wild birds[J]. J Vet Diagn Invest, 2005, 17(5): 479-482. DOI:10.1177/104063870501700514 |
| [4] | 朱逸敏, 张文宏. 二代测序在脓毒血症患者病原学诊断中的应用[J]. 微生物与感染, 2018, 13(2): 97-101. DOI:10.3969/j.issn.1673-6184.2018.02.006 |
| [5] | 宏基因组分析和诊断技术在急危重症感染应用专家共识组. 宏基因组分析和诊断技术在急危重症感染应用的专家共识[J]. 中华急诊医学杂志, 2019, 28(2): 151-155. DOI:10.3760/cma.j.issn.1671-0282.2019.02.005 |
| [6] | Long Y, Zhang YX, Gong YP, et al. Diagnosis of sepsis with cell-free DNA by next-generation sequencing technology in ICU patients[J]. Arch Med Res, 2016, 47(5): 365-371. DOI:10.1016/j.arcmed.2016.08.004 |
| [7] | Wang X, Zhang NZ, Ma CF, et al. Epidemiological investigation and genotype of chlamydia exposure in pigeons in three provinces in Northern China[J]. Vector Borne Zoonotic Dis, 2018, 18(3): 181-184. DOI:10.1089/vbz.2017.2214 |
| [8] | 朱榕生, 罗汝斌, 王选锭. 鹦鹉热衣原体致重症社区获得性肺炎一例[J]. 中华结核和呼吸杂志, 2019, 42(7): 548-551. DOI:10.3760/cma.j.issn.1001-0939.2019.07.021 |
| [9] | Xie Y, Du J, Jin W, et al. Next generation sequencing for diagnosis of severe pneumonia: China, 2010-2018[J]. J Infect, 2019, 78(2): 158-169. DOI:10.1016/j.jinf.2018.09.004 |
| [10] | 赵仁淹, 柴海娜, 郑瑞强. 病原体二代测序辅助诊断鹦鹉热衣原体重症肺炎一例[J]. 中华内科杂志, 2020, 59(12): 989-991. DOI:10.3760/cma.j.cn112138-20200229-00157 |
| [11] | 汪洋, 鲁厚清, 邵仁德, 等. 鹦鹉热衣原体感染肺炎患者的临床特征分析[J]. 中华危重病急救医学, 2020, 32(11): 1388-1390. DOI:10.3760/cma.j.cn121430-20200408-00259 |
2022, Vol. 31



