嗜铬细胞瘤(pheochromocytoma,PCC)起源于肾上腺髓质[1],主要合成和分泌大量儿茶酚胺,通常是指去甲肾上腺素、肾上腺素和多巴胺,引起高血压及代谢紊乱症群[2-4]。嗜铬细胞瘤两种特殊临床表现为嗜铬细胞瘤危象和儿茶酚胺心肌病[5],儿茶酚胺心肌病临床可表现为急性心力衰竭、心源性休克、恶性心律失常,甚至是心脏骤停[6],是嗜铬细胞瘤患者死亡主要原因之一[7]。本文报道两例嗜铬细胞瘤合并儿茶酚胺心肌病患者使用静脉- 动脉体外膜肺氧合(veno-arterial extracorporeal membrane oxygenation, VA-ECMO)辅助的诊治经过。
1 资料与方法患者1,女性,31岁,因“反复胸闷、咽痛2 d,加重伴呕吐1 d”于2017-09-30入本院心血管内科。患者于2 d前无明显诱因出现胸闷、咽痛,间有头痛,无头晕,无发热、畏寒,无胸痛、心悸、气促,胸闷持续约2 min能自行缓解,但反复发作,一天发作约10次。曾在当地医院门诊就诊予抗感染后症状好转(具体药物不详),但胸闷症状仍有反复。1 d前患者出现进食后呕吐,伴头痛、肌肉酸痛,无头晕,无腹痛、腹泻。
既往史:患者1周前曾与其丈夫激烈争吵。曾有“妊娠期高血压”病史,产后血压恢复正常,未定期测血压。
体格检查:体温36.8 ℃,脉搏138次/min,血压155/124 mmHg(1 mmHg=0.133 kPa),呼吸21次/min。神志清,听诊双肺呼吸音稍粗,未闻及干湿罗音。心率138次/min,律齐,可闻及奔马律,P2>A2,各瓣膜区未闻及病理性杂音。腹平软,无压痛、反跳痛,未扪及异常包块,移动性浊音阴性,肠鸣音正常。双下肢无水肿。
辅助检查:2017-09-30心脏彩超示(1)左室心底水平节段收缩活动正常,左室乳头肌至心尖水平节段收缩活动明显减弱至消失,心尖部节段收缩活动消失,EF36%;考虑心碎综合征,未除外急性暴发型心肌炎;(2)肺动脉高压(40 mmHg),轻度三尖瓣反流。心电图广泛导联ST段抬高。超敏肌钙蛋白I> 50 ng/mL、肌红蛋白>1 000 ng/mL、CKMB Ⅱ 81.03 ng/mL;NT-proBNP 10 683 pg/mL;WBC 25.5× 109/L,GR 83%,血小板448× 109/L。测血浆儿茶酚胺水平明显升高,见表 1。
| 项目 | 检测方法 | 结果 | 参考区间 |
| 肾上腺素(AD) | 放免(RIA) | 586.98 | 0.00~100.00 |
| 去甲肾上腺素(NAD) | 放免(RIA) | 921.04 | 0.00~600.00 |
| 多巴胺(DOP) | 放免(RIA) | 150.90 | 0.00~100.00 |
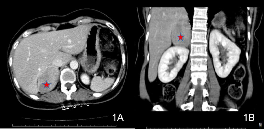
患者1初步诊断考虑急性暴发型病毒性心肌炎与儿茶酚胺心肌病鉴别,患者入院后心率快,呼吸促,满头大汗,面色苍白,双肺湿啰音,出现急性心力衰竭、肺水肿表现,病情进展迅速,随时可能出现心源性休克、恶性心律失常甚至心脏骤停等不良事件,当天转入重症医学科进一步诊治。转入后予以氧疗、控制心室率、营养心肌、抗感染、抗病毒、抗炎、护胃抑酸等支持治疗,效果欠佳,有ECMO辅助指征。征得患者及家属同意,于2017-10-01凌晨行清醒状态局麻下VA-ECMO治疗,使用右侧股动静脉切开置管。使用VA-ECMO模式,初始转速3 000 r/min,血流量3.0 L/min左右,气流量3.0 L/min,氧浓度100%,患者气促逐步缓解,心率90次/min,血压115/82 mmHg,SPO2 100%,尿量约100 mL/h。术前肝素首剂为50 mg,术后维持量为4~6 mg/h,APTT 43.8~70.3 s,ACT 130~168 s,全身各部位无明显出血,膜肺无血栓形成,在ECMO支持期间,同时予抗感染、抗病毒(阿昔洛韦)、人免疫球蛋白、艾司洛尔控制心室率(后过渡至酒石酸美托洛尔片)、控制血压等治疗。2017-10-02心脏彩超示EF下降至16%,2017-10-04将EF恢复至48%,撤离VA-ECMO。2017-10-06心脏彩超:左室心尖运动稍减弱,主动脉瓣返流(轻),二、三尖瓣返流(轻),左室射血分数57%,舒张功能稍减退。2017-10-10行冠脉造影未见明显异常。患者病情好转出院。2017-11-20返院复诊,查腹部CT发现右侧肾上腺区肿块,考虑嗜铬细胞瘤(见图 1),予服用“酚苄明”血压控制良好。2017-12-14复查心脏彩超提示:二、三尖瓣返流(轻度),左室收缩、舒张功能正常,EF 70%,肺动脉压正常(25 mmHg)。2017-12-15行择期手术治疗,病理结果符合嗜铬细胞瘤,术后患者血压恢复正常。患者最后诊断“嗜铬细胞瘤、儿茶酚胺心肌病”。
|
| 图 1 2017-11-20患者1腹部CT(右侧肾上腺区肿块) |
|
|
患者2,男性,34岁,因“突发左侧腰腹部疼痛10 h”于2021-06-17入本院泌尿外科。患者10 h前突发左侧腰腹部疼痛,呈胀痛,无向他处放射,疼痛较重,难以忍受,伴有头晕、心悸、乏力,无畏寒、发热,无尿急、尿频、尿痛,无肉眼血尿,立即送至当地医院就诊,查腹部CT提示“左侧肾上腺肿瘤伴出血”,在当地医院治疗过程中,患者血压进行性下降,需大剂量升压药物维持,急转本院入泌尿外科。
入室查体:T 38.7 ℃,P 150次/min,RR 35次/min,BP 100/66 mmHg,SPO2 95%。双肺呼吸音粗,未闻及干湿啰音。心律齐,未闻及病理性杂音。腹平软,左肾区稍饱满,双肾未触及,双肾区、输尿管走行区域压痛及叩击痛未查,未闻及肾血管性杂音。尿液清亮,尿量可。
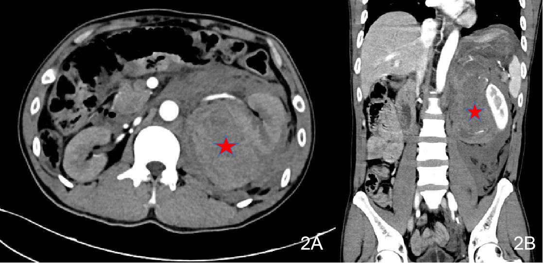
辅助检查如下。2021-06-17本院急诊生化十项:K 3.75 mmol/L,Ca 1.98 mmol/L,CR 116.6 μmol/L,GLUC 30.28 mmol/L;血清肌钙蛋白Ⅰ测定:TnI 21.645 ng/mL;凝血机制六项组合:Fib 1.25 g/L,APTT 21.5 s,DDi 2.97 mg/L;腹部CT平扫+ 增强(见图 2)。左侧肾上腺区占位,考虑肿瘤伴破裂出血,左侧腹膜后、腹盆腔广泛积血,拟左肾上腺来源可能。双下肺渗出,左侧少量胸腔积液,双下肺局部肺不张。右肾小囊肿。2021-06-17常规心电图检查:窦性心动过速非特异性室内传导阻滞T波异常(Ⅰ aVL V5 V6导联低平、浅倒)。
|
| 图 2 2021-06-17患者2腹部CT(左侧肾上腺占位伴出血) |
|
|
入院诊断:(1) 左侧肾上腺肿瘤伴出血;(2) 疑似失血性休克;(3) 低钾血症;(4) 低钙血症;(5) 心肌损害(应激性)。
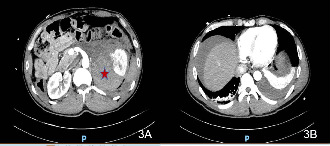
诊治经过如下。入院后查:HGB 81 g/L;生化十项(住院):CR 123.1 μmol/L,GLUC 22.22 mmol/L;心肌损伤标志物:TnI >50.0 ng/mL,MYO 377.45 ng/mL,CKMB Ⅱ 80.86 ng/mL;血气分析:pH 7.361,PCO2 33.5 mmHg,PO2 144.0 mmHg,BEb −5.0 mmol/L。予吸氧、积极补液扩容及输注悬浮红细胞(6U)、控制血糖等治疗。2021-06-18凌晨复查CT提示“左侧肾上腺区占位范围较前相仿,腹腔内积液较前增多”(见图 3)。2021-06-18早上复查BCA示Hb回升至115 g/L。
|
| 图 3 2021-06-18患者2腹部CT(腹腔积液较前增多) |
|
|
2021-06-18早上患者2气促加重,RR 35次/min,SPO2 89%,血压较前下降,约85/59 mmHg,心率135次/min,病情危重,立即转入重症医学科行气管插管机械通气,插管后患者气道内涌出大量粉红色泡沫痰,在肺保护通气策略下(FiO2 100%,Vt 6 mL/kg,PEEP 15 cmH2O, 1 cmH2O=0.098 kPa),氧合指数 < 100 mmHg。心脏彩超:左室壁运动普遍减弱,左房、左室增大伴二尖瓣反流(轻度),三尖瓣反流(中度),左室收缩、舒张功能减退(心动过速),肺动脉高压(48 mmHg),EF约28%。患者循环极不稳定,大剂量去甲肾上腺素维持下MAP < 65 mmHg。考虑患者存在儿茶酚胺心肌病、难治性心源性休克、急性肺水肿,有ECMO支持指征,征得家属同意,遂行VA-ECMO,使用右股动静脉切开置管。肝素首剂为20 mg,ECMO抗凝目标维持于:APTT 40~50 s,ACT 130~150 s。在VA-ECMO支持下(初始转速3 295 r/min,血流量3.84 L/min,气流量3.0 L/min,氧浓度100%),逐渐下调升压药物至停止,SvO2 75%,心率降至120~130次/min。血肌酐第2天恢复正常,尿量正常。ECMO支持下,患者心脏功能逐渐恢复。2021-06-23复查超声心动图:右心房内径47 mm,右心室内径21 mm,左心房内径28 mm,左心室舒张末期内径53 mm,室间隔厚度11 mm,左心室后壁厚度11 mm,左室壁稍减弱,LVEF 49%,VTI 9.35 cm。撤机前2 h,下调ECMO转速至2 000 r/min、流量1.0 L/min,膜前ScvO2 67%,乳酸1.0 mmol/L,血压维持在110~100/55~65 mmHg,达到撤机标准,遂撤ECMO,继续予机械通气,予酚苄明片、艾司洛尔、美托洛尔控制血压及心率。2021-06-26脱离呼吸机,拔除气管插管。2021-06-27复查心脏彩超提示:左室壁运动尚可,三尖瓣反流(轻度),左室射血分数55%,舒张功能减退,肺动脉压正常(25 mmHg)。2021-06-29转至泌尿外科,2021-07-01好转出院,拟3~6个月后择期返院行肾上腺肿瘤手术治疗。
2 讨论儿茶酚胺心肌病发病机制可能为高浓度儿茶酚胺造成冠状动脉痉挛和心肌耗氧量增加,心肌细胞钙离子失平衡,儿茶酚胺代谢产物直接毒害心肌细胞,病理改变包括心肌肥厚、心肌损伤、心肌纤维化、心肌缺血,临床可表现为急性心力衰竭、心源性休克、恶性心律失常,甚至是心脏骤停[6],是嗜铬细胞瘤患者死亡主要原因之一[7]。
嗜铬细胞瘤的典型临床表现为持续性或阵发性高血压,严重头痛、心悸、出汗(三联征) [1, 6, 8-9],部分患者以嗜铬细胞瘤危象、儿茶酚胺心肌病为首发表现。国外研究表明,儿茶酚胺心肌病在嗜铬细胞瘤患者中发病率为11%,并发症发生率高,若合并心源性休克则患者急性期病死率可高达24%~33%。
儿茶酚胺心肌病目前尚无统一诊断标准,较多使用以下标准[5]:(1)有嗜铬细胞瘤、副神经节瘤的实验室和影像学证据。(2)有心脏异常的临床和/或实验室证据,包括临床表现有胸痛、心力衰竭症状和体征,心电图示持续3个或以上导联T波低平或倒置、ST段偏移或心律失常。超声心动图示心肌肥厚,左心室舒张功能减低,LVEF降低[6],室壁运动异常等。(3)嗜铬细胞瘤或副神经节瘤切除后上述病变明显改善或消失。(4) Takotsubo心肌病[10]。
嗜铬细胞瘤的临床表现差异较大,在缺乏原发病灶影像学证据时,早期诊断困难。国外多位学者认为由于嗜铬细胞瘤临床表现不具有特异性,对于不明原因难治性心源性休克或心力衰竭[11],超声提示心尖球形综合征或反心尖球形综合征,应警惕合并儿茶酚胺心肌病可能,腹部CT检查有助于诊断[7, 10]。本文患者1为年轻女性,既往有妊娠期高血压病史,起病前曾与丈夫激烈争吵,以“胸闷、咽痛”为首发表现,伴头痛,心脏彩超表现符合心尖球形综合征,儿茶酚胺测定明显升高,血压偏高,回顾病例,由于当时缺乏腹部超声及CT检查,无法定位诊断。患者经VA-ECMO支持心功能恢复良好。出院后1个月返院复诊查腹部CT发现右肾上腺区肿块,手术病理结果符合嗜铬细胞瘤。首次发病考虑应激诱发该患者儿茶酚胺的释放骤增所致。患者2在外院首诊时腹部CT已发现左侧肾上腺肿瘤并出血,随后出现严重休克,按失血性休克处理效果不理想,床边超声及时发现患者心脏收缩功能差,双肺弥漫渗出,结合病史,考虑儿茶酚胺心肌病、心源性休克、急性肺水肿。2021-06-21查患者血浆甲氧基肾上腺素类物质水平基本正常(见表 2),原因考虑采集标本时间为患者起病后第3天,在VA-ECMO支持下患者病情已趋稳定,儿茶酚胺分泌高峰期已过。
| 项目 | 结果 | 参考值 |
| 3-甲氧基酪胺 | <0.08 | <0.18 |
| 甲氧基肾上腺素 | 0.11 | ≤0.50 |
| 甲氧基去甲肾上腺素 | 1.18 | ≤0.90 |
儿茶酚胺心肌病的药物治疗主要包括α受体阻滞剂(酚苄明) [12]、钙通道阻滞剂、β受体阻滞剂[1]、儿茶酚胺合成抑制剂(α‐甲基酪氨酸)等,但合并心源性休克的急性期,由于循环极不稳定,药物治疗受到明显限制。治疗策略是准确评估血流动力学情况,予以积极脏器支持治疗,必要时应用机械循环辅助装置(如ECMO) [3, 7-8, 11]。本文患者1出现儿茶酚胺心肌病,急性肺水肿,在血压尚稳定的情况及早行清醒状态下VA-ECMO支持,尽管ECMO早期患者心功能仍继续转差,在ECMO支持下患者循环基本维持稳定,患者心功能在短时间内恢复良好,治疗效果满意。患者2尽管已出现难治性心源性休克,大剂量升压药物维持下,休克仍在恶化,且存在急性肺水肿,启动VA-ECMO支持后,患者心肺功能及其他重要器官功能仍然恢复满意。国外多项研究表明,副神经节瘤导致的儿茶酚胺心肌病具有良好的可逆性[13],经ECMO支持数天后心功能恢复良好,是ECMO的适应证[3]。通过VA-ECMO支持,偿还氧债,停用强心药物,逐步下调升压药物,减少血管活性药物诱发心律失常等不良反应,为心脏的恢复赢得时机[3]。同时,有研究证实手术切除原发病灶是嗜铬细胞瘤的根治措施[7, 12, 14]。
另外,在上述二例患者ECMO管理过程中,因患者2合并腹膜后出血,抗凝风险极高,须谨慎权衡抗凝与出血的利弊,寻找“平衡点”。笔者认为,小剂量肝素首剂(25 mg),并予小剂量肝素静脉泵入维持APTT 40~50 s,ACT 130~150 s,对此类患者是安全有效的。综上所述,儿茶酚胺心肌病是嗜铬细胞瘤的一种特殊临床表现,通常会出现难治性心源性休克、急性肺水肿而危及生命[9],予积极对症支持及ECMO支持后大多数有良好的可逆性,宜尽早启动ECMO支持[11, 13, 15]。
利益冲突 所有作者声明无利益冲突
| [1] | Casey RT, Challis BG, Pitfield D, et al. Management of an acute catecholamine-induced cardiomyopathy and circulatory collapse: a multidisciplinary approach[J]. Endocrinol Diabetes Metab Case Rep, 2017, 2017: 17-0122. DOI:10.1530/EDM-17-0122 |
| [2] | Kayode O, Underwood P, Dissanayake R, et al. Phaeochromocytoma presenting as takotsubo cardiomyopathy[J]. Clin Med (Lond), 2020, 20(2): 212-214. DOI:10.7861/clinmed.2019-0494 |
| [3] | 刘长智, 朱瑞秋, 周柱江, 等. 体外膜肺氧合治疗副神经节瘤合并儿茶酚胺心肌病和心原性休克一例[J]. 中华心血管病杂志, 2019, 47(9): 742-744. DOI:10.3760/cma.j.issn.0253-3758.2019.09.017 |
| [4] | 龙毅, 李勇, 李享. 以急性左心衰竭为首发表现的巨大嗜铬细胞瘤一例[J]. 中华心血管病杂志, 2020, 48(5): 420-422. DOI:10.3760/cma.j.cn112148-20190625-00356 |
| [5] | 王庭俊, 谢良地. 《嗜铬细胞瘤和副神经节瘤诊断治疗专家共识(2020版)》解读[J]. 中华高血压杂志, 2021, 29(8): 708-714. DOI:10.16439/j.issn.1673-7245.2021.08.003 |
| [6] | Y-Hassan S, Falhammar H. Clinical features, complications, and outcomes of exogenous and endogenous catecholamine-triggered Takotsubo syndrome: a systematic review and meta-analysis of 156 published cases[J]. Clin Cardiol, 2020, 43(5): 459-467. DOI:10.1002/clc.23352 |
| [7] | Sauneuf B, Chudeau N, Champigneulle B, et al. Pheochromocytoma crisis in the ICU: a French multicenter cohort study with emphasis on rescue extracorporeal membrane oxygenation[J]. Crit Care Med, 2017, 45(7): e657-e665. DOI:10.1097/CCM.0000000000002333 |
| [8] | Flam B, Broomé M, Frenckner B, et al. Pheochromocytomainduced inverted takotsubo-like cardiomyopathy leading to cardiogenic shock successfully treated with extracorporeal membrane oxygenation[J]. J Intensive Care Med, 2015, 30(6): 365-372. DOI:10.1177/0885066614552992 |
| [9] | Min D. Catastrophic catecholamine-induced cardiomyopathy rescued by extracorporeal membrane oxygenation in recurrent malignant pheochromocytoma[J]. Yeungnam Univ J Med, 2019, 36(3): 254-259. DOI:10.12701/yujm.2019.00213 |
| [10] | Diaz B, Elkbuli A, Ehrhardt JD Jr, et al. Pheochromocytoma-related cardiomyopathy presenting as broken heart syndrome: case report and literature review[J]. Int J Surg Case Rep, 2019, 55: 7-10. DOI:10.1016/j.ijscr.2018.12.003 |
| [11] | Hekimian G, Kharcha F, Bréchot N, et al. Extracorporeal membrane oxygenation for pheochromocytoma-induced cardiogenic shock[J]. Ann Intensive Care, 2016, 6(1): 117. DOI:10.1186/s13613-016-0219-4 |
| [13] | Thekekara J, Gunasekharan A, Kwon Y, et al. Catecholamine-induced cardiomyopathy and multiple organ failure in pheochromocytoma[J]. J Community Hosp Intern Med Perspect, 2020, 10(5): 480-482. DOI:10.1080/20009666.2020.1796277 |
| [14] | 马晓烨, 蔡英, 周晓茜, 等. 以急性肺水肿为首发症状的嗜铬细胞瘤一例[J]. 中华内分泌代谢杂志, 2017, 33(6): 519-521. DOI:10.3760/cma.j.issn.1000-6699.2017.06.012 |
| [15] | Bourenne, Jeremy B, Fresco, et al. Stress cardiomyopathy managed with extracorporeal support after self-injection of epinephrine[J]. Case Rep Crit Care, 2017, 2017: 3731069. DOI:10.1155/2017/3731069 |
2022, Vol. 31



