左心室辅助装置(left ventricular assist device, LVAD) 作为终末期心衰患者除心脏移植外又一有效治疗手段,在国外应用已经有二三十年的历史。在国内的应用刚刚起步,泰达国际心血管病医院自2009年开始和中国运载火箭技术研究院合作,开始人工心脏的研发,并于2020年正式开展多中心临床试验,截止目前已成功完成50例临床试验目标。作为多中心研究组长单位,本院共完成20例,笔者对其中1例LVAD植入术后合并耐碳青霉烯肺炎克雷伯菌重症肺炎患者的救治过程进行回顾总结,探讨俯卧位通气联合支气管镜肺泡灌洗在LVAD术后重症肺炎患者中的应用效果及可行性,为临床此类患者的治疗提供经验参考。
1 病例资料患者男性,22岁,主因“间断胸闷气短2年余,加重半年”于2020年5月10日收入本院,既往否认高血压、糖尿病病史,2年前于当地医院诊断“扩张型心肌病”,此后反复多次住院治疗,此次因在当地医院等待心脏移植,无法等到供体,患者心衰症状进行性加重转来本院。入院时查体:体温36.0℃,脉率106次/min,呼吸16次/min,血压87/55 mmHg(1 mmHg=0.133 kPa);双肺呼吸音增粗,双肺未闻及湿啰音,双侧未闻及胸膜摩擦音。心尖搏动于左侧第Ⅳ肋间锁骨中线外0.5 cm,搏动弥散,未触及震颤。心脏相对浊音界向左扩大向左扩大。心率106次/min,心律齐,S1正常,S2正常,P2 < A2,未闻及额外心音,二尖瓣听诊区可闻及3/6级收缩期杂音,向左腋下传导,三尖瓣听诊区可闻及2/6级收缩期杂音;未闻及心包摩擦音。腹部平坦,腹壁软,剑突下有压痛,无反跳痛、肌紧张,肝大肋下4 cm,剑突下5 cm,质软,表面光滑,边缘锐,有压痛,胆囊未触及,脾不大,无移动性浊音,双侧肾区无扣痛,肠鸣音正常。双下肢无水肿。心电图提示窦性心动过速,室性早搏,V1~V5导联呈QS波形或rS波形;心脏超声提示心肌受累性疾患,不排除扩张型心肌病,二尖瓣大量返流,三尖瓣中量以上返流,肺动脉瓣少-中量返流,左心功能不全,中度肺动脉高压;左室舒张末径83 mm,左房舒张末径59 mm,右室舒张末径41 mm,右房舒张末径45 mm,心脏射血分数14%。入院诊断:扩张型心肌病心脏扩大、二尖瓣关闭不全、三尖瓣关闭不全、肺动脉瓣关闭不全、肺动脉高压、心功能Ⅳ级(NYHA)、心律失常室性早搏;入院后于心内科监护室积极术前准备,完善相关检查,患者仍主诉间断胸闷憋气,并于入院第2天开始出现喘憋症状进一步加重,血压下降,遂给予植入主动脉内球囊反搏辅助循环治疗,但患者心衰症状仍不见缓解,经本院多学科会诊后于2020年5月30日紧急在全麻体外循环下行左心室辅助装置(型号Heartcon,航天泰心科技有限公司)植入术,手术过程顺利,术后转入ICU监护治疗。
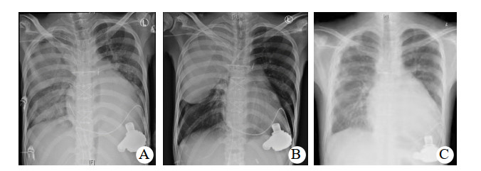
入ICU后查体:血压82/67 mmHg,心率120次/min, 体温36.5℃,呼吸12次/min。双侧瞳孔等大等圆,对光反射迟钝;口唇无发绀,双侧呼吸音粗糙,未闻及干湿啰音。监护提示:窦性心律,心律齐。心前区未闻及心脏杂音;腹平软,肝肋下未触及,肠鸣音弱。四肢末梢皮温正常,足背动脉搏动可及。留置纵隔、心包引流管。入科后即给予了呼吸机辅助呼吸,通气模式采用SIMV/PSV,压力支持12 cmH2O(1 cmH2O=0.098 kPa),呼吸频率12次/min,呼气末正压5 cmH2O, FiO2 0.5,给予舒芬太尼联合右美托咪定镇痛镇静治疗,应用头孢呋辛钠预防切口感染治疗,应用肝素和华法林钠抗凝治疗以及营养支持等综合支持治疗,患者循环稳定,胸片肺淤血较术前减轻,痰不多,于术后第4天顺利脱机拔管,拔管后自主呼吸稳定,少量白稀痰,胸片未见明显变化。术后第7天患者出现体温升高,最高体温38.5℃,痰量增多,为白粘痰,痰中带血,双肺听诊散在痰鸣音,脉搏氧饱和度下降至90%,血气分析提示PaCO2 42 mmHg,PaO2 59 mmHg,实验室检查,PCT 77.87 ng/mL,CRP 198.5 mg/L,患者血压下降,伴有少尿,胸片提示肺感染,经多学科会诊后除外其他部位感染,考虑患者术后合并重症肺炎、呼吸衰竭、感染性休克、急性肾损伤,遂给予再次气管插管机械通气治疗。同时为充分引流痰液,给予了俯卧位通气联合支气管镜肺泡灌洗治疗(俯卧位时间为每次12 h,支气管镜肺泡灌洗每日1次,灌洗剂量为生理盐水100 mL/次),并经验性应用美罗培南联合万古霉素抗感染治疗,给予了液体复苏及CRRT治疗、综合支持治疗。为维持血泵正常运转,继续华林钠口服抗凝治疗,维持INR 2.0~2.5。术后第8天痰培养和血培养均报告为耐碳青霉烯肺炎克雷伯菌,抗生素更改为头孢他啶- 阿维巴坦抗感染治疗。并于术后第15天给患者进行了气管切开治疗。头孢他啶阿维巴坦共应用17 d,期间患者因同时合并了肺部屎肠球菌、热带假丝酵母菌感染,根据药敏实验结果分别给予了替加环素、卡泊芬净等抗感染治疗。因此患者术前反复心衰,营养状况差;术后长期应用抗生素,加上体外循环的打击,机体免疫力差;术后第27天出现菌群失调,严重腹泻,粪便球杆比9 ∶ 1,化验为艰难梭菌感染,给予静脉万古霉素口服(125 mg,q6h)治疗,同时停用所有抗生素。因患者感染未完全控制,继续给予了俯卧位通气联合支气管镜肺泡灌洗治疗,综合营养支持治疗,间断呼吸功能锻炼,患者感染得到有效控制,PCT由77.87 ng/mL下降到0.11 ng/mL,胸片(图 1)及CT(图 2)显示右肺实变影逐渐吸收,术后77 d成功脱离呼吸机辅助,于术后89 d转回普通病房并顺利出院。后期随访患者生活正常。
|
| 图 1 患者胸片变化 |
|
|
|
| 图 2 患者胸部CT变化 |
|
|
终末期心衰患者在全球范围内呈逐年增加趋势,心脏移植仍然是治疗此类疾病的主要手段。然而,受限于供体缺乏,越来越多的终末期心衰患者应用LVAD作为心脏移植的过渡或作为终点治疗[1]。感染仍然是LVAD植入术后常见的并发症[2],一旦出现,可能并发多脏器功能衰竭,影响患者预后。本院于2020年9月正式开始纯国产HeartCon磁液悬浮LVAD多中心临床试验,截止目前本院共完成20例,所有患者90 d内完全存活,血泵运转正常。1例患者在术后早期出现严重肺部感染,感染性休克、急性肾损伤,经积极抗感染治疗、连续性肾脏替代治疗、营养支持治疗后痊愈出院。患者治疗期间出现严重菌群失调,经多学科会诊后停用了抗感染药物,给予了俯卧位通气联合支气管镜肺泡灌洗等措施,使感染得到有效控制。
随着重症医学的进步,支气管镜已经成为危重症患者检查及治疗的有效武器,因其管腔较小、操作容易、创伤小,可直视下进入肺段支气管并观察病灶,清除分泌物,迅速改善肺通气和氧合。支气管镜肺泡灌洗是在支气管镜检查基础上发展起来的一项新技术。是利用支气管镜向支气管肺泡内注人生理盐水并随即吸出,收集肺泡表面有效液体,检查其细胞成分和可溶性物质的一种方法。可以有效清除小气道内含菌分泌物,缓解病灶周围局部的炎症, 提高肺通气和换气功能[3-4]。然而,部分重症患者由于痰液多且粘稠,导致痰痂堵塞肺内细小气道,10%~20% 患者支气管镜肺泡灌洗效果差,深部痰液难以得到有效引流。俯卧位通气主要通过改变患者的体位,使背侧萎陷的肺泡腹胀, 使肺及气道内分泌物得到有效的引流,同时能减轻心脏和纵隔对肺组织的压迫, 促进该区域肺泡复张,从而改善通气血流比例,达到提高氧合、纠正低氧血症的目的,有助于感染控制[5-6]。然而,俯卧位通气联合支气管镜肺泡灌洗治疗LVAD术后重症感染的病例未见报道。
本例患者为终末期心衰患者,伴有重度营养不良,加上体外循环手术的打击,术后机体免疫力差,出现耐碳青霉烯肺炎克雷伯菌肺炎,应用头孢他啶阿维巴坦抗感染治疗,期间还出现了屎肠球菌和热带假丝酵母菌肺炎,给予替加环素和卡泊芬净治疗。由于长期应用广谱抗生素,术27 d出现菌群失调,严重腹泻,大便球杆比9 ∶ 1,化验为艰难梭菌感染,经多学科会诊后停用抗生素治疗,给予益生菌、口服万古霉素治疗后好转。针对肺部感染,采用俯卧位通气联合支气管镜肺泡灌洗的方式,收到良好的效果。通过物理治疗后,患者感染指标PCT、CRP、WBC、中性粒细胞百分比呈逐渐下降趋势,PLT逐渐恢复到正常水平(图 3)。总结此例患者救治成功的经验,俯卧位通气联合支气管镜肺泡灌洗发挥了重要的作用。
|
| PCT、CRP、Plt、N位于左侧坐标轴,WBC位于右侧坐标轴 图 3 感染指标变化趋势 |
|
|
本例患者因植入LVAD,在实施俯卧位通气和气管镜肺泡灌洗过程中的风险对医护人员是一种挑战,缺乏经验和指南可寻。因担心会影响血泵正常工作,给患者造成严重后果,对血泵植入患者能否实施俯卧位通气也存在不同意见。为此成立了以医疗、护理、呼吸治疗师及营养、临床药学为一体的全院心室辅助装置多学科治疗团队,在手术早期实施气管镜灌洗之前给予患者适当镇痛镇静治疗,以防止气管镜刺激下患者血压升高对泵流量的影响。呼吸治疗师负责整个操作过程中的呼吸机参数的调整,以及气管插管或气管切开管路的固定,并严密监测患者的呼吸情况;另外进镜过程中一定要严格寻腔进镜,动作轻柔,切忌暴力操作和盲目吸引,以防引起肺内出血。此患者早期痰中带血,但仍需要应用华法林钠抗凝维持血泵正常运转,存在出血和抗凝之间的矛盾,增加了治疗的难度和出血的风险,因此在气管镜过程中需十分谨慎。灌洗过程中要密切关注血泵流量波形的变化,避免发生影响血泵工作的不良事件。在实施俯卧位的过程中,除需要加深镇痛镇静外,还需严密监测流量波形的变化,牢固固定经皮电源导线,避免导线受压或出现弯折、或受到暴力牵拉,影响血泵正常运转,一旦出现导线折断将对患者带来致命的危害。同时注意俯卧位过程中血压的变化,警惕出现血压过低的情况,因为血压过低可能会导致血泵“吸壁”事件。此例患者经过严密监护及多学科诊疗,未出现与血泵相关的不良事件发生。
综上所述,俯卧位通气联合支气管镜肺泡灌洗可以安全有效用于LVAD术后患者,可以达到充分引流痰液,改善通气和氧合的目的,有利于肺部感染的控制。由于体内血泵的植入,操作过程中需要医护严密配合,临床医生需密切观察血泵流量波形的变化,做好预案,警惕不良事件发生。此例患者的成功救治经验,为以后LVAD期间俯卧位通气治疗提供了临床依据和经验参考。另外,这例患者的救治成功,多学科团队在整个治疗过程中也发挥了重要作用。
利益冲突 所有作者声明无利益冲突
| [1] | Kirklin JK, Xie R, Cowger J, et al. Second annual report from the ishlt mechanically assisted circulatory support (IMACS) registry[J]. J Heart Lung Transplant, 2018, 37(6): 685-691. DOI:10.1016/j.healun.2018.01.1294 |
| [2] | Hilal T, Mudd J, DeLoughery TG. Hemostatic complications associated with ventricular assist devices[J]. Res Pract Thromb Haemost, 2019, 3(4): 589-598. DOI:10.1002/rth2.12226 |
| [3] | 石泽亚, 秦月兰, 祝益民, 等. 纤维支气管镜肺泡灌洗联合振动排痰治疗重症肺炎机械通气患者的效果观察: 一项286例患者前瞻性随机对照研究[J]. 中华危重病急救医学, 2017, 29(1): 66-70. DOI:10.3760/cma.j.issn.2095-4352.2017.01.014 |
| [4] | 刘晓青, 黎毅敏, 何为群, 等. 纤维支气管镜在低咳嗽峰流速慢性阻塞性肺疾病急性加重期患者拔管后的应用[J]. 中华危重病急救医学, 2014, 26(12): 855-859. DOI:10.3760/cma.j.issn.2095-4352.2014.12.002 |
| [5] | 韩进海, 马四清, 孙斌, 等. 持续俯卧位通气在高原重度急性呼吸窘迫综合征患者救治中的应用[J]. 中华危重病急救医学, 2021, 33(2): 161-164. DOI:10.3760/cma.j.cn121430-20200707-00502 |
| [6] | 杜玉明, 李岩, 孙荣青, 等. 俯卧位通气对重症肺炎患者氧合影响的Meta分析[J]. 中华危重病急救医学, 2018, 30(4): 327-331. DOI:10.3760/cma.j.issn.2095-4352.2018.04.008 |
2022, Vol. 31

