脓毒症的定义为宿主对感染的反应失调而导致的器官功能障碍性疾病[1],大多是继发于临床上的重症病例,如外科大手术后、严重创伤、感染及休克等[2],尤其在宿主免疫力下降时致病病原体的感染会导致机体多器官功能障碍,是全球医学界需要解决的难题和面临的重大挑战之一。相关研究报道,脓毒症的病死率为50%~65%[3], 其中心肌功能的损害会使脓毒症患者的病死率高达80%左右[4],对患者的生命造成了极大的危险。脓毒症心肌病(septic cardiomyopathy, SCM)是指脓毒症患者发生的可逆性心肌功能障碍[5],是严重脓毒症的重要并发症之一。不同的研究提出的脓毒性心肌病的发生率不同,原因在于大多数研究的病例数少,其研究的发生率差异有统计学意义,缺乏足够样本数据的支持[6]。目前,SCM的自身危险因素及发病机制迄今为止仍未明确,治疗进展缓慢。随着国内外对SCM的发病机制及治疗方法研究的不断深入,认为脓毒症心肌损伤的发生可能是由多种综合因素共同参与的病理生理过程,其中交感神经系统(sympathetic nerve system,SNS)过度激活,释放大量儿茶酚胺在其初始级联中起着关键性作用,心脏是儿茶酚胺超载的主要靶器官,而大量的临床试验显示,高浓度的儿茶酚胺可导致心肌功能的损伤[7]。发生脓毒症时大量的儿茶酚胺介导高分解代谢状态、炎性损伤、线粒体功能障碍、氧化应激、钙循环失调等引起心肌细胞的损伤、凋亡及坏死[8]。临床上,β受体阻滞剂对心功能不全患者具有较高的治疗作用,其不仅能够改善脓毒症引起的循环系统的改变,还能在拮抗交感神经活性、阻断炎症反应的发生、减轻高分解代谢状态、抑制细胞凋亡以及改善脓毒症患者预后等方面有显著功效[9-11]。艾司洛尔作为超短效的β受体阻滞剂,具有起效快、代谢快、方便调控的特点,且艾司洛尔通过红细胞代谢,不受肝肾功能的影响,是重症患者较好的选择[12]。越来越多的临床及基础研究表明,艾司洛尔可以降低心肌耗氧量及肌钙蛋白水平,延长心室舒张时间和增加冠状动脉灌注;增加心内膜下缺血心肌血流再分布,从而降低心肌缺血风险,改善脓毒症心功能障碍及保护心肌细胞的功能[13-14]。在一篇基于相关随机对照试验(randomized controlled trails, RCT)进行的Meta分析里显示,艾司洛尔可显著降低脓毒症休克患者的28 d病死率,降低心肌肌钙蛋白,且明显增加每搏量指数[15]。
β肾上腺素受体已被诸多研究证明表达于人外周血单个核细胞[16],而外周血单个核细胞上存在TLR4炎症通路[17]。Toll样受体(Toll-like receptor,TLR)是天然免疫系统中的跨膜蛋白,是一类模式识别受体(pattern recognition receptor,PRR),可识别多种病原体相关分子模式(pathogen associated molecular pattern,PAMP)[18],并与其非特异性结合,启动多种信号转导途径,引起先天性免疫反应和炎症介质表达[19]。TLR家族由13个成员组成,其中TLR4可识别脂多糖(lipopolysaccharide,LPS)并使其水平上调,进而激活TLR4下游的MyD88途径,两者通过同源结构域相互作用,引起信号级联最终导致核因子NF-kB通路的活化,诱导炎症细胞因子如TNF-α、IL-1β、IL-6、IL-8、IL-12、IFN等表达,从而介导炎症的发生,导致心脏收缩功能障碍[20-21]。为明确脓毒症大鼠心肌损害与TLR4炎症通路间的变化关系以及β受体阻滞剂(艾司洛尔)能否通过阻断TLR4信号通路来保护心肌功能,本研究旨在应用β受体阻滞剂研究TLR4炎症通路在大鼠脓毒性心功能障碍中的保护作用。
1 材料与方法 1.1 实验动物为确保实验的稳定性,避免雌激素对脓毒症模型的影响,选取8~12周标准体重(180~220 g)的雄性Wistar大鼠60只,由新疆医科大学动物实验中心提供,于室温18~24℃,相对湿度40%~60%,12 h光-暗循环的标准条件下饲养7 d,所有实验严格按照《中华人民共和国实验动物管理条例》和新疆医科大学实验动物伦理委员会中的准则进行。
1.2 主要药物与试剂盐酸艾司洛尔注射液(10 mL∶0.1 g)购自齐鲁制药有限公司;TLR4抑制剂TAK-242(瑞沙托维)10 mg购自Med Chem Express公司;心肌肌钙蛋白I(cTnI)、肿瘤坏死因子α(TNF-α)、白细胞介素-6(IL-6)、白细胞介素-1β(IL-1β)ELISA试剂盒购自上海优选生物科技有限公司;TLR4抗体购于Affinity Biosciences公司、MyD88抗体购于英国Abcam公司、NF-κB p65抗体购于武汉赛维尔生物科技有限公司、β-actin多克隆抗体购于英国Abcam公司、山羊抗兔IgG H & L(HRP)购于英国Abcam公司;免疫组织化学试剂盒购自北京诺博莱德科技有限公司;Masson染色试剂盒购自北京索莱宝科技有限公司。
1.3 动物模型制备、分组与处理将大鼠采取随机数字法分成4组:假手术组(Shame组)、脓毒症组(CLP组)、艾司洛尔组(CLP+ES组)、TLR4抑制剂组(CLP+TAK-242组)每组15只,所有大鼠均可自由获取食物和水,但实验前禁食12 h。CLP组、CLP+ES组与CLP+TAK-242组行盲肠结扎穿孔术(CLP法)制备脓毒症模型[22]:大鼠以5 mL/kg水合氯醛腹腔注射麻醉后,将动物仰卧固定于手术板上,腹部手术区常规消毒与去毛,无菌条件下用手术刀沿腹前正中线作一长约2 cm切口,经切口进入腹腔在回盲瓣远端分离并以3号丝线结扎1/3处盲肠。用18号注射针头于结扎端穿孔,并挤出粪便少许,还纳盲肠,尽量避免损伤血管。之后用4号丝线间断缝合腹膜及皮肤。Shame组探查盲肠后立即还纳关腹,不进行盲肠结扎穿孔。CLP术后大鼠逐渐出现毛发竖立、精神萎靡、活动度减少、眼角分泌渗出物、肛门粪便堆积、脓尿、腹腔呈现血性混浊,有臭味渗出液提示造模成功。CLP+ES组与CLP+TAK-242组于造模后12 h分别给予艾司洛尔稀释液20 mg/kg、TAK-242 3 mg/kg腹腔注射,Shame组与CLP组给予等量生理盐水腹腔注射。各组均于术后24 h处死大鼠,采集并处理标本,用于后续实验。
1.4 检测指标及方法 1.4.1 大鼠心肌组织形态学变化新鲜心肌组织用4%多聚甲醛固定48 h以上,经脱水、石蜡包埋、切片后,用于三部分实验:第一部分用于HE染色,光镜下观察心肌组织的损伤程度及炎性细胞浸润情况;第二部分用于免疫组织化学染色:3%过氧化氢溶液阻断,柠檬酸盐抗原修复液修复,山羊血清封闭后,用TLR4(1∶100)、MyD88(1∶1000)、NF-κB(1∶200)特异性一抗孵育于4℃过夜,次日用HRP标记的二抗孵育,DAB显色液显色后,苏木精复染,显微镜下观察,细胞呈棕褐色染色即为阳性表达;第三部分用于Masson染色,光镜下观察心肌组织中胶原纤维与肌纤维的表达。
1.4.2 Western blot检测检测心肌组织TLR4、MyD88、NF-κB蛋白表达称取约30~40 mg心肌组织,加入组织细胞裂解液(RIPA)400~500 μL, 于研磨仪按180 Hz、60 s匀浆,匀浆后的样品于4℃,12 000 r/min离心15 min,取上清液,采用二喹啉甲酸(Bbicinchonininc acid, BCA)法进行蛋白浓度的测定。配制分离胶、浓缩胶,经蛋白上样、十二烷基硫酸钠-聚丙酰胺凝胶电泳(sodium dodecyl sulfate-polyacrylamide gel electrophoresis,SDS-PAGE),转模,无蛋白快速封闭液封闭10min,β-actin(1∶4000)、NF-κB(1∶1000)、TLR4(1∶2000)、MyD88(1∶1000)特异性一抗孵育于4℃摇床过夜;次日孵育HRP标记的二抗(1∶5000)室温避光2 h。使用超敏化学发光检测试剂盒显色,用Image Lab4.0系统观察蛋白条带的灰度值分析,分析各组大鼠心肌组织中TLR4/MyD88/NF-κB的相对表达水平。
1.4.3 血清cTn-I、TNF-α、IL-6、IL1β测定取腹主动脉血5 mL,4℃下以3000 r/min离心15 min,取上清液, 按照ELISA试剂盒说明书检测血清cTn-I、TNF-α、IL-6、IL1β浓度。
1.5 统计学方法采用SPSS 26.0软件分析数据,计量资料采用Kolmogorov-Smirnov检验正态分布,资料符合正态性,以均数±标准差(x±s)表示;多组间比较进行方差齐性检验,两组间比较采用LSD-t检验。以P<0.05为差异有统计学意义。
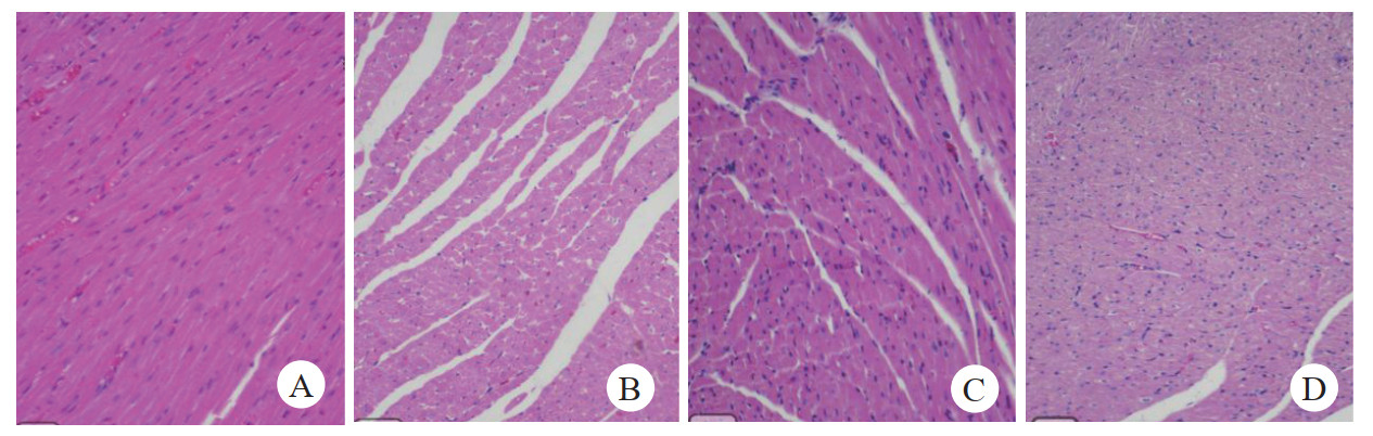
2 结果 2.1 各组大鼠心肌组织病理学变化光镜下Shame组心肌组织形态学正常,心肌纤维结构排列紧密,无明显充血、水肿及渗出等。CLP组可见心肌细胞明显水肿,呈带状空泡样变形,间质血管扩张充血严重,心机纤维排列紊乱,炎性细胞浸润明显(图 1)。CLP+ES组和CLP+TAK-242组与CLP组相比,心肌细胞水肿及坏死较减轻,间质仍有少量的炎性细胞浸润,心肌纤维排列较规整,但不及Shame组;TLR4、MyD88、NF-κB蛋白在脓毒症心肌组织中阳性表达呈棕褐色(图 2),于Shame组少量弱阳性表达,于CLP+ES组及CLP+TAK-242组中阳性表达明显减轻;正常组大鼠心肌组织肌纤维表达明显,无纤维化,发生脓毒症后胶原纤维表达增强,纤维化严重(图 3),给予β受体阻滞剂(艾司洛尔)和TLR4抑制剂后,纤维化组织较脓毒症组减少。说明发生脓毒症时,引起大鼠心肌组织的损伤,而β受体阻滞剂(艾司洛尔)与TLR4抑制剂会减轻脓毒症导致的心肌细胞损伤。
|
| A:假手术组(Shame组);B:脓毒症组(CLP组);C和D:艾司洛尔组(CLP+ES组)和TLR4抑制剂组(CLP+TAK-242组)HE 染色 中倍放大 图 1 各组大鼠心肌组织病理学改变 Fig 1 Histopathologic changes of myocardium in each group |
|
|
|
| Sham:假手术,CLP:盲肠结扎穿孔术,CLP+ES:盲肠结扎穿孔术后给予艾司洛尔,CLP+TAK-242:盲肠结扎穿孔术后给予TLR4抑制剂;棕褐色:TLR4、MyD88、NF-κ B阳性表达。免疫 组织化学染色 中倍放大 图 2 各组大鼠心肌组织中TLR4、MyD88及NF-κ B的表达变化 Fig 2 Expression of TLR4, MyD88 and NF-κ B in myocardial tissue of rats in each group |
|
|
|
| A:假手术组(Shame组);B:脓毒症组(CLP组);C和D分别:艾司洛尔组(CLP+ES组)和TLR4抑制剂组(CLP+TAK-242组)。Masson 染色 中倍放大 图 3 各组大鼠心肌组织纤维化程度 Fig 3 The degree of myocardial fi brosis of rats in each group |
|
|
CLP组大鼠心肌组织中TLR4、MyD88及NF-κB的表达较Shame组明显增加(P<0.05);与CLP组相比,给予艾司洛尔与TAK-242可减少显著减少三者的表达(P<0.05)。表明干预成功,β受体阻滞(艾司洛尔)可与TLR4抑制剂一样可以抑制脓毒性心肌组织中TLR4、MyD88及NF-κB蛋白的表达(图 4)。
|
| Shame组:假手术组;CLP组:脓毒症组;CLP+ES组和CLP+TAK-242组:给予艾司洛尔和TLR4抑制剂组;TLR4:Toll样受体4;NF-κ B:核转录因子-κ B;MyD88:髓样分化因子88;caspase-1:天冬氨酸特异性半胱氨酸蛋白酶1;与假手术组相比较, aP<0.05;与脓毒症组相比较,bP<0.05 图 4 各组大鼠心肌组织中TLR4、MyD88、NF-κ B及caspase-1蛋白表达水平 Fig 4 Protein expression levels of TLR4, MyD88, NF-κ B and caspase-1 in myocardial tissue of rats in each group |
|
|
CLP组大鼠血清中的cTn-I、TNF-α、IL-6及IL1β含量较Shame组明显升高,CLP+ES组与CLP+TAK-242组中该四种炎症因子的表达较CLP组显著降低,差异均有统计学意义(P<0.05;图 5)。说明发生脓毒症时,大鼠心脏中TLR4炎症通路会被激活,同时可调节炎性因子的释放,给予β受体阻滞剂治疗后可抑制炎症因子的释放,产生“抗炎”效应。
|
| Shame组:假手术组;CLP组:脓毒症组;CLP+ES组和CLP+TAK-242组:给予艾司洛尔和TLR4抑制剂组;cTn-I:心肌肌钙蛋白I;TNF-α:肿瘤坏死因子-α;IL-6:白细胞介素-6;IL-1β:白细胞介素-1β;与假手术组相比较, aP<0.05;与脓毒症组相比较,bP<0.05 图 5 各组大鼠血清cTn-I、TNF-α、IL6及IL-1β含量比较 Fig 5 Comparison of serum levels of CTN-I, TNF-α, IL-6 and IL-1β in each group |
|
|
脓毒症是一类在疾病发生发展过程中,细菌、病毒等各种微生物感染机体引发的全身性炎症反应综合征[23]。病原体侵入人体后,大量内外毒素在体内产生并引起TNF-α、IL-6、IL-1β等多种炎症因子大量释放,诱发全身炎症反应综合征,机体出现失控的炎性反应、免疫系统紊乱、高代谢状态及多器官功能障碍等一系列病理生理过程[24-25]。脓毒症中感染因素激活机体单核巨噬细胞系统及其他炎症反应细胞,产生并释放大量炎性介质所致。脓毒症时,内源性炎性介质,包括细胞因子、趋化因子、氧自由基、急性期反应物质、血浆酶系统产物及血纤维蛋白溶解途径等相互作用形成网络效应并引起全身各系统、器官的广泛损伤[26],如TNF-α、IL-6、IL-1β等引起的炎性反应不仅导致神经元凋亡及认知功能障碍[27],同时还参与心肌的损害。相关研究证明,内毒素引起的心肌细胞损伤与细胞炎症反应的发生有关[28]。大量实验数据提示炎性细胞的过度激活以及活性氧在脓毒症器官功能障碍,尤其心脏功能障碍的发病机制中起着至关重要的作用[29]。临床上脓毒症心肌病是脓毒症常见的主要并发症之一,可显著增加临床病死率[30]。
脓毒症时,脂多糖刺激的条件下,内源性配体TLR4水平上调,通过MyD88依赖性途径启动信号转导,该途径是由TIR结构域和MyD88结合引起促炎性细胞因子的产生,该信号会下游传播到核转录因子-κB信号,促进信号级联反应,介导TNF-α、IL-6、IL-8等炎症因子的释放,导致心脏收缩功能障碍[20]。TNF-α不仅是启动炎症级联反应的始动因子,还是引起内毒素休克、多器官功能衰竭发生的主要炎性因子[31-32]。已有研究证明,发生脓毒症时,TLR4炎症信号通路被激活,通过释放大量炎症因子增加炎性反应的发生,尤其加重心脏功能损害[33]。在一项动物实验里表明,LPS造成的大鼠心肌损伤能够激活心肌表明的Toll样受体,进而活化核转录因子-κB,使其进入细胞核内[34]。与以往大量研究相一致,本实验也证实脓毒症时,大鼠血清及心肌组织中TLR4及其下游的炎症因子表达增强,心肌损伤指标明显升高,均高于假手术组,且TLR4、MyD88及NF-κB蛋白的比值亦显著高于假手术组,说明发生脓毒症时,可介导TLR4/MyD88/NF-κB通路激活炎症反应,加重心肌损害。
对于脓毒症心肌病患者而言,β1受体阻滞剂通过阻断β1受体控制心率,减少心脏的做功,并且改善心肌的缺氧,增加冠状动脉的血流,从而减轻心肌的损伤和心功能障碍。研究发现,β1阻滞剂的应用对脓毒症心肌病患者起到抗炎作用,同时能够加强心脏的保护作用[35]。其机制主要包括:①阻断过度的β肾上腺素能的刺激,减少β肾上腺素能受体密度;②延长心室舒张时间和增加冠状动脉灌注;③增加心内膜下缺血心肌血流再分布,从而降低心肌缺血风险。在一项研究中显示,β1受体阻断剂艾司洛尔能够减轻脓毒症大鼠心肌的炎症反应,其作用机制可能与抑制TLR4/NF-ΚB信号通路的激活有关,从而减少脓毒症引起的心肌损伤[36]。近年来发现,使用β受体激活剂慢性刺激可引起心肌的炎症因子IL-1β、TNF-α、IL-6升高[37],而应用β受体阻滞剂则可抑制该炎症介质的释放,产生“抗炎”效应[38]。由此可见,干预β受体可影响炎症反应过程,尤其在脓毒性心肌病中可通过影响TLR4及其下游炎症因子来实现。相关动物实验表明,在不同的时间点给予β受体阻滞剂艾司洛尔干预治疗脓毒症心肌病大鼠后,其血浆中的TNF-α、IL10等炎症因子随着艾司洛尔剂量的增加而明显下降,与脓毒症阻大鼠比较,艾司洛尔治疗组的左室收缩压、左室舒张末压升高、肌酸激酶、乳酸脱氢酶显著降低,且明显存在剂量-效应关系[39]。因此,β受体阻滞剂在治疗脓毒症所致心肌损伤方面起到积极作用,能够降低多种炎症介质表达的水平,抑制多种炎症及凋亡等信号通路的激活,起到保护脓毒症心肌病患者心脏功能、降低病死率和改善其预后的作用,这将为脓毒症心肌病的预防和治疗提供崭新的研究方向。但其有效性及安全性还有待大量随机对照研究加以探讨。同时,还需更深一步的基础研究去证实艾司洛尔作为超短效、高选择性的β受体阻滞剂是通过直接作用还是间接作用于TLR4炎症通路来减轻脓毒症引起的心肌损伤。艾司洛尔可阻断β肾上腺素能受体过度激活引起的毒不良反应,包括心率及心肌耗氧量需求增加,全身炎症细胞因子的释放,减轻脓毒症引起的心肌损伤及炎症反应[40]。相关基础研究结果显示,小剂量的艾司洛尔可以改善脓毒症小鼠心功能,同时可降低炎性因子IL-6表达[41]。本研究中进一步探讨了β受体阻滞剂(艾司洛尔)治疗脓毒症大鼠炎症性心肌的机制及效果,结果显示,使用艾司洛尔阻断TLR4/MyD88/NF-κB信号通路后,脓毒症组大鼠心肌损伤情况明显好转,心肌组织中cTn-I、TNF-α、IL-6及IL-1β表达量均显著降低,且TLR4等蛋白比值明显降低。而针对小鼠脓毒性心肌损伤,有相关研究已证实艾司洛尔可不同程度的抑制TLR4的表达[42],当伴随容量不足时出现代偿性的心率增加,应用艾司洛尔后对小鼠的生存率产生何种影响尚需进一步论证。本研究所采取的HE染色、Masoon染色、免疫组织化学等试验明确说明了心肌组织的形态学变化;Westorn blot检测心脏组织局部炎症水平及通过ELISA呈现出细胞因子的表达量。除血清水平外,应进一步试验论证艾司洛尔对心肌组织中细胞因子水平的作用为本实验的不足之处。
综上所述,脓毒症时TLR4/MyD88/NF-κB炎症通路会被激活,并可引起心肌组织的损伤及炎症因子的表达。使用β受体阻滞剂后,能够减少脓毒性心肌损伤和炎症反应的发生,其机制是β受体阻滞剂阻断TLR4炎症信号通路,减少炎性因子TNF-α、IL-6及IL-1β的表达。提示艾司洛尔对于脓毒症心肌病有一定的治疗效果,因此合理使用β受体阻滞剂可以为临床上治疗脓毒症提供有效的治疗手段。
利益冲突 所有作者声明无利益冲突。
作者贡献声明 迪丽热巴·吐尔逊:实验操作、论文撰写;迪丽热巴·吐尔逊,丁琼莉:数据收集及整理、统计学分析;杨春波,于湘友:研究设计、论文修改
| [1] | Rhodes A, Evans LE, Alhazzani W, et al. Surviving sepsis campaign: international guidelines for management of sepsis and septic shock: 2016[J]. Intensive Care Med, 2017, 43(3): 304-377. DOI:10.1007/s00134-017-4683-6 |
| [2] | 贺小丽, 李德渊, 乔莉娜, 等. 脓毒症流行病学及预后的研究进展[J]. 中华危重病急救医学, 2018, 30(5): 486-489. DOI:10.3760/cma.j.issn.2095-4352.2018.05.019 |
| [3] | 朱保月, 齐洪娜, 张建军, 等. 早期心肌损伤标志物对老年脓毒症患者病情评估及预后的影响[J]. 中国老年学杂志, 2018, 38(19): 4708-4711. DOI:10.3969/j.issn.1005-9202.2018.19.038 |
| [4] | Flierl MA, Rittirsch D, Huber-Lang MS, et al. Molecular events in the cardiomyopathy of sepsis[J]. Mol Med, 2008, 14(5/6): 327-336. DOI:10.2119/2007-00130.Flierl |
| [5] | Sato R, Nasu M. A review of sepsis-induced cardiomyopathy[J]. J Intensive Care, 2015, 3: 48. DOI:10.1186/s40560-015-0112-5 |
| [6] | 董瑞安, 陈晓迎, 张丹. 脓毒症心肌病研究进展[J]. 现代医药卫生, 2018, 34(13): 1995-1997. DOI:10.3969/j.issn.1009.5519.2018.13.019 |
| [7] | Annane D, Bellissant E, Cavaillon JM. Septic shock[J]. Lancet, 2005, 365(9453): 63-78. DOI:10.1016/S0140-6736(04)17667-8 |
| [8] | Sanfilippo F, Santonocito C, Morelli A, et al. Beta-blocker use in severe sepsis and septic shock: a systematic review[J]. Curr Med Res Opin, 2015, 31(10): 1817-1825. DOI:10.1185/03007995.2015.1062357 |
| [9] | Suzuki T, Morisaki H, Serita R, et al. Infusion of the beta-adrenergic blocker esmolol attenuates myocardial dysfunction in septic rats[J]. Crit Care Med, 2005, 33(10): 2294-2301. DOI:10.1097/01.ccm.0000182796.11329.3b |
| [10] | Rudiger A. Beta-block the septic heart[J]. Crit Care Med, 2010, 38(10 suppl): S608-S612. DOI:10.1097/ccm.0b013e3181f204ca |
| [11] | de Montmollin E, Aboab J, Mansart A, et al. Bench-to-bedside review: beta-adrenergic modulation in sepsis[J]. Crit Care, 2009, 13(5): 230. DOI:10.1186/cc8026 |
| [12] | 白雪, 王春朋, 山峰. 艾司洛尔在脓毒症中的作用研究进展[J]. 青岛大学学报(医学版), 2021, 57(4): 629-632. DOI:10.11712/jms.2096-5532.2021.57.071 |
| [13] | Suzuki T, Suzuki Y, Okuda J, et al. Sepsis-induced cardiac dysfunction and β-adrenergic blockade therapy for sepsis[J]. J Intensive Care, 2017, 5: 22. DOI:10.1186/s40560-017-0215-2 |
| [14] | Schmittinger CA, Dünser MW, Torgersen C, et al. Histologic pathologies of the myocardium in septic shock: a prospective observational study[J]. Shock, 2013, 39(4): 329-335. DOI:10.1097/SHK.0b013e318289376b |
| [15] | 张瑞芳, 刘欢, 余言午, 等. 艾司洛尔对脓毒症休克患者预后的影响: 随机对照研究的Meta分析[J]. 中华急诊医学杂志, 2022, 31(4): 527-530. DOI:10.3760/cma.j.issn.1671-0282.2022.04.017 |
| [16] | Kurozumi S, Kaira K, Matsumoto H, et al. β 2-Adrenergic receptor expression is associated with biomarkers of tumor immunity and predicts poor prognosis in estrogen receptor-negative breast cancer[J]. Breast Cancer Res Treat, 2019, 177(3): 603-610. DOI:10.1007/s10549-019-05341-6 |
| [17] | Fillatreau S, Manfroi B, Dörner T. Toll-like receptor signalling in B cells during systemic lupus erythematosus[J]. Nat Rev Rheumatol, 2021, 17(2): 98-108. DOI:10.1038/s41584-020-00544-4 |
| [18] | Takeda K, Akir AS. Toll-like receptors[J]. Curr Protoc Immunol, 2015, 109: 14.12-14.12. DOI:10.1002/0471142735.im1412s109 |
| [19] | O'Neill LAJ, Golenbock D, Bowie AG. The history of Toll-like receptors - redefining innate immunity[J]. Nat Rev Immunol, 2013, 13(6): 453-460. DOI:10.1038/nri3446 |
| [20] | Uno K, Kato K, Shimosegawa T. Novel role of toll-like receptors in Helicobacter pylori - induced gastric malignancy[J]. World J Gastroenterol, 2014, 20(18): 5244-5251. DOI:10.3748/wjg.v20.i18.5244 |
| [21] | Gu JS, Sun RR, Shen S, et al. The influence of TLR4 agonist lipopolysaccharides on hepatocellular carcinoma cells and the feasibility of its application in treating liver cancer[J]. Onco Targets Ther, 2015, 8: 2215-2225. DOI:10.2147/OTT.S86536 |
| [22] | Wang CY, Yuan WL, Hu AM, et al. Dexmedetomidine alleviated sepsis induced myocardial ferroptosis and septic heart injury[J]. Mol Med Rep, 2020, 22(1): 175-184. DOI:10.3892/mmr.2020.11114 |
| [23] | Prescott HC, Angus DC. Enhancing recovery from sepsis : a review[J]. JAMA, 2018, 319(1): 62-75. DOI:10.1001/jama.2017.17687 |
| [24] | Alobaidi R, Basu RK, Goldstein SL, et al. Sepsis-associated acute kidney injury[J]. Semin Nephrol, 2015, 35(1): 2-11. DOI:10.1016/j.semnephrol.2015.01.002 |
| [25] | Veach RA, Liu Y, Zienkiewicz J, et al. Survival, bacterial clearance and thrombocytopenia are improved in polymicrobial sepsis by targeting nuclear transport shuttles[J]. PLoS One, 2017, 12(6): e0179468. DOI:10.1371/journal.pone.0179468 |
| [26] | Liu YC, Yu MM, Shou ST, et al. Sepsis-induced cardiomyopathy: mechanisms and treatments[J]. Front Immunol, 2017, 8: 1021. DOI:10.3389/fimmu.2017.01021 |
| [27] | 万田田, 姬文卿, 郭树彬. 脓毒症相关性脑病的发病机制和干预措施研究进展[J]. 中华急诊医学杂志, 2021, 30(7): 902-907. DOI:10.3760/cma.j.issn.1671-0282.2021.07.026 |
| [28] | 杨霞, 李香琴, 马晓媛, 等. 脓毒症血管内皮损伤及调节策略的研究进展[J]. 中国中西医结合急救杂志, 2016, 23(1): 108-110. DOI:10.3969/j.issn.1008-9691.2016.01.028 |
| [29] | 师灵灵, 韩艳秋, 任慧娟, 等. 脓毒症的病理生理机制研究进展[J]. 中华医院感染学杂志, 2016, 26(8): 1914-1916. DOI:10.11816/cn.ni.2016-152123 |
| [30] | Jentzer JC, Vallabhajosyula S, Khanna AK, et al. Management of refractory vasodilatory shock[J]. Chest, 2018, 154(2): 416-426. DOI:10.1016/j.chest.2017.12.021 |
| [31] | Gil M, Kim YK, Hong SB, et al. Naringin decreases TNF-α and HMGB1 release from LPS-stimulated macrophages and improves survival in a CLP-induced sepsis mice[J]. PLoS One, 2016, 11(10): e0164186. DOI:10.1371/journal.pone.0164186 |
| [32] | 吴莉, 姜芸. 不同剂量艾司洛尔对脓毒症心肌病大鼠TNF-α和IL-10的影响[J]. 新疆医科大学学报, 2018, 41(9): 1139-1142. DOI:10.3969/j.issn.1009-5551.2018.09.019 |
| [33] | Zhou SJ, Wang G, Zhang WB. Effect of TLR4/MyD88 signaling pathway on sepsis-associated acute respiratory distress syndrome in rats, via regulation of macrophage activation and inflammatory response[J]. Exp Ther Med, 2018, 15(4): 3376-3384. DOI:10.3892/etm.2018.5815 |
| [34] | Fallach R, Shainberg A, Avlas O, et al. Cardiomyocyte Toll-like receptor 4 is involved in heart dysfunction following septic shock or myocardial ischemia[J]. J Mol Cell Cardiol, 2010, 48(6): 1236-1244. DOI:10.1016/j.yjmcc.2010.02.020 |
| [35] | Romero-Bermejo FJ, Ruiz-Bailen M, Gil-Cebrian J, et al. Sepsis-induced cardiomyopathy[J]. Curr Cardiol Rev, 2011, 7(3): 163-183. DOI:10.2174/157340311798220494 |
| [36] | 刘新强, 温妙云, 李旭声, 等. β1受体阻滞剂通过TLR4/NF-κB信号通路抑制脓毒症心肌炎症反应[J]. 中华危重病急救医学, 2019, 31(2): 193-197. DOI:10.3760/cma.j.issn.2095-4352.2019.02.014 |
| [37] | Prabhu SD, Chandrasekar B, Murray DR, et al. Beta-adrenergic blockade in developing heart failure: effects on myocardial inflammatory cytokines, nitric oxide, and remodeling[J]. Circulation, 2000, 101(17): 2103-2109. DOI:10.1161/01.cir.101.17.2103 |
| [38] | Han JB, Zou CP, Mei LQ, et al. MD2 mediates angiotensinⅡ-induced cardiac inflammation and remodeling via directly binding to AngⅡ and activating TLR4/NF-κB signaling pathway[J]. Basic Res Cardiol, 2017, 112(1): 9. DOI:10.1007/s00395-016-0599-5 |
| [39] | 武冬, 郭筱王, 贾佳, 等. 艾司洛尔对脓毒症大鼠心肌损伤的改善及对氧化还原酶及核因子-κB-P53的调控分析[J]. 山西医药杂志, 2019, 48(15): 1811-1815. DOI:10.3969/j.issn.0253-9926.2019.15.002 |
| [40] | Pathan N, Franklin JL, Eleftherohorinou H, et al. Myocardial depressant effects of interleukin 6 in meningococcal sepsis are regulated by p38 mitogen-activated protein kinase[J]. Crit Care Med, 2011, 39(7): 1692-1711. DOI:10.1097/CCM.0b013e3182186d27 |
| [41] | Wei CJ, Louis H, Schmitt M, et al. Effects of low doses of esmolol on cardiac and vascular function in experimental septic shock[J]. Crit Care, 2016, 20(1): 407. DOI:10.1186/s13054-016-1580-2 |
| [42] | 李兴佳. 小鼠心肌损伤中TLR4/JNK信号通路的变化及不同药物的影响[D]. 长春: 吉林大学, 2019. DOI: 10.27162/d.cnki.gjlin.2019.000665. |
2022, Vol. 31



