2. 山东省滕州市中心人民医院PICU,滕州 277599;
3. 浙江大学医学院附属儿童医院PICU,杭州 310003
儿童颅内静脉窦血栓形成(cerebral venous sinus thrombosis,CVST)是一种缺血性脑血管病,发生率低,致死率高,因缺乏特异性临床表现,容易误诊、漏诊,延误最佳治疗时机,对患儿健康及其家庭经济带来巨大负担。近年来时有报道,但急性化脓性阑尾炎合并颅内静脉窦血栓的报道较为少见,现予报道供临床参考。
1 资料与方法患儿,男,4岁2月,反复腹痛10 d,发热5 d,间断抽搐4 d于2022年2月21日由外院转入浙江大学医学院附属儿童医院PICU。10 d前患儿无明显诱因出现脐周阵发性疼痛,不剧能忍,偶可缓解,无呕吐、腹泻,无发热,无心悸、胸闷及意识障碍,发病后多次于当地诊所对症治疗,但腹痛无改善,5 d前患儿出现发热伴面色苍白,体温最高38.9℃,无畏寒、寒战等不适,就诊当地妇幼保健院,查血常规:WBC 3.81×109/L,N% 53.8%,CRP 82.38 mg/L,腹部立位片: 隔下游离气体,消化道穿孔可能,诊断为急性阑尾炎并穿孔,急诊行“腹腔镜下阑尾切除术+腹腔引流术”,术野阑尾坏疽伴体部穿孔,盆腔内见直径4.5 cm脓肿,脓性渗液260 mL。术中患儿心率下降至26次/min予胸外心脏按压约30 s后心率恢复至正常,术后安返病房。当天患儿出现高热,体温40℃并发生抽搐,表现为双眼上翻,四肢强直抖动,呼之不应,持续2~3 min后自行缓解,但一直神智不清,急诊行头颅MRI示双侧小脑及大脑半球对称性异常信号。诊断: “①急性化脓性阑尾炎穿孔后伴弥漫性腹膜炎;②脓毒性休克;③脓毒性脑病”。予呼吸机辅助通气,抗感染,亚低温脑保护,脱水降颅压,止痉、调节免疫、激素治疗。1 d前患儿出现双侧瞳孔不等大,对光反射消失,复查头部CT示颅内弥漫性实质肿胀,蛛网膜下腔出血可能,考虑CVST。予静脉维持泵入肝素15 U/(kg·h)和输注尿激酶4400 U/(kg·6 h),抢救治疗20 h后复查颅脑MRI提示颅内弥漫脑实质肿胀,蛛网膜下腔出血有进展,副鼻窦炎,为求进一步诊疗,经120转诊入本院。既往史、家族史、个人史:无殊。体格检查:体温38.0℃,脉搏144次/min,呼吸32次/min(呼吸机SIMV模式下), 血压127/73 mmHg(1 mmHg=0.133 kpa),体重16 kg,GCS评分4+T,营养风险评分3分,危重患儿评分92分,双侧瞳孔等大等圆,直径3 mm,对光反射消失,颈软,心肺听诊无殊,腹平软,术区敷料干燥,无渗血渗液,盆腔引流管固定在位、通畅,布氏征、克氏征阴性,巴氏征未引出,毛细血管再灌注时间(CRT)2 s。胸、腹部CT:双侧少量胸腔积液伴双下肺轻度不张;后腹膜多发淋巴结稍大;盆腹腔积液。实验室检查:血常规:WBC 12.79×109/L,N% 72.5%,PLT 76×109/L,Hb 85 g/L;炎症标记物:CRP 222.26 mg/L,降钙素原 > 100.00 ng/mL,白介素-6 1 732.56 pg/mL;大便常规:隐血阳性;凝血功能:纤维蛋白原1.30 g/L,D-二聚体19 820 μg/L;血生化:谷丙转氨酶201.0 U/L,乳酸脱氢酶1 186.0 U/L, 肌酸激酶1330.0 U/L, 肌酸激酶同工酶56.0 U/L。脑利钠肽187 pg/mL,肌钙蛋白I 0.693 μg/L;脑脊液常规、生化检查:未见异常;血培养:阴性,腹水培养: 咽峡炎链球菌,痰培养: 白色假丝酵母菌2+。临床诊断: ①急性颅高压伴脑疝;②蛛网膜下腔出血;③颅内静脉窦非化脓性血栓形成;④大脑功能障碍;⑤急性化脓性阑尾炎穿孔伴弥漫性腹膜炎;⑥阑尾切除术后;⑦脓毒症;⑧急性肺炎;⑨多浆膜腔积液;⑩心肺复苏术后。维续呼吸机应用,头部亚低温,美罗培南、万古霉素、伏立康唑联合抗感染;呋塞米、3%氯化钠、甘露醇降颅内压;维护器官功能,保持电解质、酸碱平衡,营养对症支持治疗;入院当天复查头颅MRI提示广泛脑水肿、肿胀,颞叶钩回疝、枕骨大孔疝,双侧基底节异常信号,经神经外科会诊后,于入院当日行后颅窝去骨瓣减压+小脑扁桃体、半球部分切除术。术后尼莫地平7.5 μg/(kg·h)静脉泵注以扩张脑血管,3 d后改为口服尼莫地平片15 mg /12 h,术后48 h继续小剂量肝素5~10 U/(kg·h)静脉泵注抗凝,根据APTT调整剂量。动态监测颅内影像学改变,见图 1~3;2月28日拔除气管插管,予面罩吸氧,GCS评分6分,3月1日改鼻导管吸氧,拔除盆、腹腔引流管,2022-03-02转康复医院治疗。目前康复治疗第8周,能够睁眼、发声,但不能正常交流,头颅MRI提示脑萎缩。
|
| 图 1 2月18日头部CT |
|
|
|
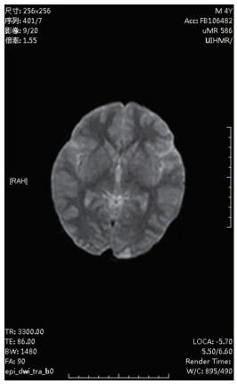
| 图 2 2月22日颅脑MRI |
|
|
|
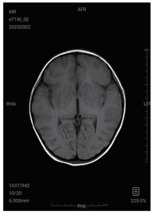
| 图 3 3月2日颅脑MRI |
|
|
图 1为颅内弥漫脑实质肿胀,脑沟脑回显示不清,脑室受压,部分脑沟内可见高密度影,右侧小脑幕密度增高。中线结构居中。副鼻窦内见软组织密度影。图 2为大脑皮层、小脑及脑干形态肿胀,呈稍长T2信号影,有类似束带征。图 3为后颅窝去骨辨减压+小脑部分切除术后复查: 脑疝征象明显好转。
2 讨论CVST是临床少见的脑血管病,约占全部脑血栓形成的3.5%,以青年女性居多[1],儿童化脓性阑尾炎合并CVST尤为罕见。CVST形成主要由血流动力学、血管条件和血液成分异常三因素所致,87.5%的患者因血液系统、感染性疾病、药物等因素诱发[2]。分析该患儿CVST形成原因,一是感染,肠道感染是首发病变,病程中有呕吐、发热、禁饮食等液体丢失和摄入不足史,手术中探查见阑尾化脓穿孔并周围形成脓性坏死且病理结果佐证;此外影像学提示副鼻窦炎,需警惕颅内上行性感染,这些均导致患儿有效循环血容量不足、血流速度减慢,成为CVST形成的高危基质。也提示在临床中遇到导致有效循环血容量绝对或相对不足的疾病如感染、创伤、恶性肿瘤等,特别要留意伴有急性、隐匿性失水的疾患,尤需兼顾初始病灶与远端器官同步监测、诊疗的策略,注意把握口服补液盐和开通静脉通道的补液适应证、时机与方法并反复评估疗效。二是手术打击,启动炎症因子介导的血管和白细胞反应使血管通透性提高,并趋化白细胞、血小板聚集以致血管内皮表面粗糙。此外患儿经历心肺复苏术,病中有一过性循环不稳定阶段,显然患儿具备以上一系列容易形成血栓的危险因素。治疗期间笔者注意监测患儿血红蛋白和红细胞比容变化趋势,没有发生明显的升高而浓缩情况,凝血机制未提示纤溶亢进,考虑与积极治疗原发病、加强抗感染、早期抗凝有关。
目前影像学CT及MRI是筛查CVST常用手段,而DSA是金标准[3-4]。但早期CVST多为不完全梗阻,仅有轻微或无症状,据统计92.8%的患者仅表现为头痛,少数可伴有颅高压征象、抽搐、肢体无力等局灶神经功能受损表现,因CVST早期缺乏特异性或容易被原发及全身症状掩盖,且血栓形成原因复杂,漏诊率高达73%[5]。另外儿童表达认知能力局限,神经系统发育欠完善,不能及时准确表述病症,这与延误最佳诊治时机不无关系,所以需要给予未成年人更科学严密的日常照护。
早期抗凝同时降低颅内压是CVST的治疗原则[6],抗凝治疗即防止血栓加重,又促进血栓溶解,欧美CVST治疗指南将肝素作为CVST的一线治疗药物,甚至用于伴有出血性脑梗死的患者[7],所以抗凝时机的把握是治疗关键[8]。但抗凝也有加重出血的可能,目前国内针对出血性患者的抗凝仍需权衡利弊,提倡小剂量肝素抗凝和个体化的治疗方案[9],为该患儿制定了早期静脉使用低相对分子质量肝素钠,出院替代为口服华法令的序贯抗凝疗法,疗程拟定3个月或6~12个月[10],待后续康复、随访而定,期间监测凝血全套及血小板,避免抗凝所致不良反应而增加出血风险[11-12]。治疗中考虑到CVST预后与静脉回流障碍后产生的静脉充血程度、栓塞的程度和范围、梗阻的时间以及侧支循环建立等因素相关[13],所以积极治疗原发病同时,注意把控手术适应证也尤为重要,虽然患儿发生呼吸心搏骤停、脑疝等严重并发症,但抢救及时尚取得较好疗效。
重症监护治疗中,除常规监测患儿神志、意识等基础生命体征外,还侧重于对容易影响血栓形成的循环、感染、凝血功能的连续监测,也关注于将二氧化碳分压(PaCO2)控制在35~45 mmHg之间,避免脑血管张力大幅度波动影响颅内压,其次床旁TCD的监测意义也很重要[14]。
近年来随着诊断技术水平的提高,儿童CVST的发病率呈逐年递增趋势,严重危及患儿生命健康,应重视产前诊断与筛查工作。对于无明显诱因的易拴症患儿,抗凝蛋白PC、PS、AT缺陷是发生静脉栓塞重要的遗传性危险因素[15],PS缺陷可能是无明显诱因CVST形成的一个重要遗传因素,但考虑到CVST形成的危险因素很多,尚缺乏可靠的流行病学研究证实,所以仍需要积累更多的临床资料。故建议患儿在出院前完善该项DNA筛查,对明确血栓形成的原因、改善预后、预防静脉血栓再发、提高生活质量,具有重要临床指导意义。
利益冲突 所有作者声明无利益冲突
| [1] | 刘梦泽, 何文, 龚浠平, 等. 经颅彩色编码超声及经颅超声造影观察颅内静脉窦血栓[J]. 中国介入影像与治疗学, 2019, 16(1): 27-30. DOI:10.13929/j.1672-8475.201809010 |
| [2] | 李明, 娄凡, 高连波. 成年人颅内静脉窦血栓的诊断与治疗分析[J]. 中国医师杂志, 2014, 16(5): 689-691. |
| [3] | 蒋琼, 俞青, 张小丹, 等. 5例急性淋巴细胞白血病患者应用培门冬酶致颅内静脉窦血栓的护理[J]. 护理学报, 2018, 25(16): 42-43. DOI:10.16460/j.issn1008-9969.2018.16.042 |
| [4] | 王春梅, 吉训明, 段建钢, 等. 血栓弹力图检测低相对分子质量肝素治疗颅内静脉系统血栓形成患者的凝血状态[J]. 血栓与止血学, 2018, 24(4): 555-557. DOI:10.3969/j.issn.1009-6213.2018.04.005 |
| [5] | Alshoabi SA. Cerebral venous sinus thrombosis: a diagnostic challenge in a rare presentation[J]. Brain Circ, 2017, 3(4): 227-230. DOI:10.4103/bc.bc_27_17 |
| [6] | Kowoll CM, Kaminski J, Weiß V, et al. Severe cerebral venous and sinus thrombosis: clinical course, imaging correlates, and prognosis[J]. Neurocrit Care, 2016, 25(3): 392-399. DOI:10.1007/s12028-016-0256-8 |
| [7] | Sacco RL, Adams R, Alhers G, et al. Guidelines for prevention of stroke in patients with ischemic stroke or transient ischemic attack: a statement for healthcare professionals from the American Heart Association/American Stroke Association Council on Stroke: co-sponsored by the Council on Cardiovascular Radiology and Intervention: the American Academy of Neurology affirms the value of this guideline[J]. Stroke, 2006, 37(2): 577-617. DOI:10.1161/01.STR.0000199147.30016.74 |
| [8] | 邓天霞, 张曦, 曾东风, 等. 伊马替尼治疗Ph阳性急性淋巴细胞白血病致全身多发静脉血栓形成1例并文献复习[J]. 中国输血杂志, 2016, 29(10): 1102-1104. DOI:10.13303/j.cjbt.issn.1004-549x.2016.10.005 |
| [9] | 静脉和静脉窦血栓形成诊治的多中心专家共识组. 颅内静脉和静脉窦血栓形成诊治的中国专家共识[J]. 中华内科杂志, 2013, 52(12): 1088-1091. DOI:10.3760/cma.j.issn.0578-1426.2013.12.026 |
| [10] | 吴畏, 王凯沁, 刘冉, 等. 急性髓细胞白血病并发肺静脉栓塞死亡1例[J]. 中国法医学杂志, 2016, 31(3): 313-314. DOI:10.13618/j.issn.1001-5728.2016.03.039 |
| [11] | Masuhr F, Mehraein S, Einhäupl K. Cerebral venous and sinus[J]. J Neurol, 2004, 251(1): 11-23. DOI:10.1007/s00415-004-0321-7 |
| [12] | van Nuenen BF, Munneke M, Bloem BR. Cerebral venous sinus thrombosis: prevention of recurrent thromboembolism[J]. Stroke, 2005, 36(9): 1822-1823. DOI:10.1161/01.str.0000176582.17934.82 |
| [13] | 李媛, 俞英欣, 邱峰, 等. 颅内静脉系统血栓形成合并脑出血的临床特点、危险因素、诊断方法以及治疗方案分析[J]. 现代生物医学进展, 2018, 18(8) 1552-1555, 1600. DOI:10.13241/j.cnki.pmb.2018.08.032 |
| [14] | 张晓燕, 杜敢琴, 张栋栋, 等. 子痫并颅内静脉窦血栓形成、脑出血及可逆性后部脑病综合征一例报道[J]. 实用心脑肺血管病杂志, 2018, 26(3): 116-118. |
| [15] | Angchaisuksiri P. Venous thromboembolism in Asia: an unrecognised and under-treated problem?[J]. Thromb Haemost, 2011, 106(4): 585-590. DOI:10.1160/TH11-03-0184 |
2022, Vol. 31



