2. 山东第一医科大学附属省立医院急诊医学科,济南 250021;
3. 山东第一医科大学附属省立医院重症医学科,济南 250021;
4. 山东第一医科大学附属省立医院医学检验科,济南 250021;
5. 山东第一医科大学附属省立医院医学影像科,济南 250021
2. Department of Emergency, Shandong Provincial Hospital Affiliated to Shandong First Medical University, Jinan 250021, China;
3. Department of Intensive Care Unit, Shandong Provincial Hospital Affiliated to Shandong First Medical University, Jinan 250021, China;
4. Medical Laboratory, Shandong Provincial Hospital Affiliated to Shandong First Medical University, Jinan 250021, China;
5. Department of medical imaging, Shandong Provincial Hospital Affiliated to Shandong First Medical University, Jinan 250021, China
一氧化碳(carbon monoxide, CO)是一种常见的窒息性气体[1],因其无色、无味、不易被察觉等特性,易发生急性CO中毒(acute carbon monoxide poisoning, ACOP)[2]。研究发现3%~40%的ACOP患者在经过约2~60 d的“假愈期”后可出现不可逆性的脑实质及功能损害,即CO中毒迟发性脑病(delayed encephalopathy after carbon monoxide poisoning, DEACMP)[3-4]。较发达国家而言,目前我国职业安全卫生管理对环境和工作暴露的监测标准仍较低[5-8]。据估计,DEACMP致残率和病死率分别可达78%和31%[9],而DEACMP的发病机制尚未完全明确。因此本文通过回顾性研究,探索表观扩散系数(apparent diffusion coefficient, ADC)联合C-反应蛋白(C-reactive protein, CRP)对环境和职业暴露引起的DEACMP诊断有效性进行评价。
1 资料与方法 1.1 一般资料回顾2017年12月至2021年12月山东省立医院不同院区内ACOP患者资料,通过本院伦理委员会审批(SWYX:NO.2022-237)。按照病例对照的研究设计,收集ACOP患者资料,其中选取发生DEACMP的ACOP患者作为病例组,ACOP预后良好、未发生DEACMP的患者作为对照组。
ACOP纳入标准:(1)符合ACOP诊断标准(ICD10:T58XX01);(2)中毒年龄18~65岁;(3)体力劳动者。排除标准:(1)合并其他中枢系统疾病;(2)CO中毒治疗不及时;(3)严重的心、脑、肝、肾疾病或功能不全者,严重的糖尿病及其他内分泌疾病者,免疫系统疾病者,恶性肿瘤、营养不良、酒精依赖及其他精神疾病者;(4)有过敏史及激素治疗史,接受过免疫抑制剂,近半年内接受过预防接种;(5)妊娠、哺乳及月经期妇女;(6)近2周内有外伤或(和)感染史;(7)血常规、肝功能、肾功能等实验室检查指标有明显异常者;(8)近期食用影响白细胞介素-6(interleukin-6, IL-6)水平食物和服用影响IL-6水平药物者;(9)排除其他原因导致的脑病。
在ACOP纳入排除标准的基础上,DEACMP纳入标准:(1)有假愈期;(2)假愈期后出现以痴呆、精神症状、肌张力增高和震颤麻痹为主的典型临床表现;(3)头颅MRI存在以半卵圆中心、苍白球、侧脑室周围白质为主要部位的对称性T2高信号改变。排除标准:假愈期内服用精神类药物。
1.2 数据采集收集研究对象的一般资料,包括性别、年龄、基础病史、吸烟饮酒史,ACOP组观察发病后24 h内白细胞计数(white blood cell count, WBC)、血红蛋白(hemoglobin, Hb)、血小板计数(platelet count, PLT)、中性粒细胞百分比(neutrophil percentage, NE%)、CRP、IL-6、ADC值;DEACMP组观察发病后24 h内WBC、Hb、PLT、NE%、CRP、IL-6及其发病前ADC值。
收集影像学资料,在工作站上利用图像后处理软件对全部样本人群在CO暴露24 h内的核磁影像进行处理分析,包括半卵圆中心区、侧脑室周围白质区、苍白球大脑半球对称标记感兴趣区域,再根据对称标记感兴趣区域对应的ADC值计算不同区域相应的平均值。后由3位影像科医师分别进行分析,2位及以上医师分析结果一致后采纳。
1.3 统计学方法样本量估计通过
本研究选取33例发生DEACMP的ACOP患者作为DEACMP组,56例ACOP预后良好、未发生DEACMP的患者作为ACOP组。DEACMP组和ACOP组的性别、年龄、基础病史(冠心病、高血压)及不良嗜好(吸烟、饮酒)差异无统计学意义(P > 0.05)。两组间糖尿病、脑卒中、WBC、CRP、IL-6、半卵圆中心的ADC值,差异有统计学意义(P < 0.05)。见表 1。
| 指标 | 总体(n=89) | DEACMP组(n=33) | ACOP组(n=56) | χ2或t值 | P值 |
| 年龄(岁)a | 56.8±7.7 | 59.0±8.1 | 55.1±7.0 | 27.49 | 0.180 |
| 性别(例,%) | 69.072 | 0.330 | |||
| 男性 | 48(54.9) | 20(60.6) | 28(50.0) | ||
| 女性 | 41(46.4) | 13(39.3) | 28(50.0) | ||
| 吸烟(例,%) | 31(35.6) | 19(58.2) | 12(21.4) | 6.879 | 0.820 |
| 饮酒(例,%) | 37(42.4) | 22(67.2) | 15(27.1) | 7.945 | 0.570 |
| 高血压(例,%) | 14(15.1) | 7(21.1) | 7(13.1) | 5.067 | 0.280 |
| 糖尿病(例,%) | 16(18.0) | 6(18.3) | 10(18.3) | 4.397 | 0.020 |
| 脑卒中(例,%) | 7(8.5) | 5(15.0) | 2(4.2) | 2.742 | 0.049 |
| WBC(×109/L)b | 5.7(4.6, 7.2) | 5.9(5.3, 8.1) | 5.2(4.5, 6.5) | 5.9844 | 0.001 |
| Hb(g/L)a | 133.2±16.4 | 134.0±13.2 | 132.5±18.5 | 70.966 | 0.690 |
| PLT(×109/L)b | 221.5(181.5, 271.0) | 221.5(181.5, 271.0) | 222.0(188.0, 271.0) | 27.656 | 0.340 |
| NE%(例,%) | 63.5±11.0 | 63.1±9.7 | 60.2±11.9 | 54.773 | 0.210 |
| CRP(mg/L)b | 1.0(0.6, 3.4) | 1.3(0.8, 18.7) | 0.9(0.6, 1.5) | 4.362 | 0.010 |
| IL-6(pg/mL)b | 2.7(1.7, 5.1) | 5.1(2.4, 11.7) | 2.1(1.5, 2.9) | 5.039 | 0.001 |
| ADC(×10-3mm2/s)b | |||||
| 半卵圆中心a | 688.8±57.1 | 669.4±63.3 | 703.7±47.4 | 118.458 | 0.010 |
| 侧脑室a | 671.4±63.1 | 687.6±67.4 | 658.9±57.2 | 102.820 | 0.112 |
| 苍白球b | 732.0(660.6, 787.1) | 749.3(679.3, 849.3) | 722.9(656.0, 758.1) | 65.131 | 0.054 |
| 注:WBC为白细胞计数,Hb为血红蛋白,PLT为血小板计数,NE%为中性粒细胞百分比,CRP为C-反应蛋白,IL-6为白细胞介素-6,ADC为表观扩散系数;a为x±s,b为M(Q1, Q3) | |||||
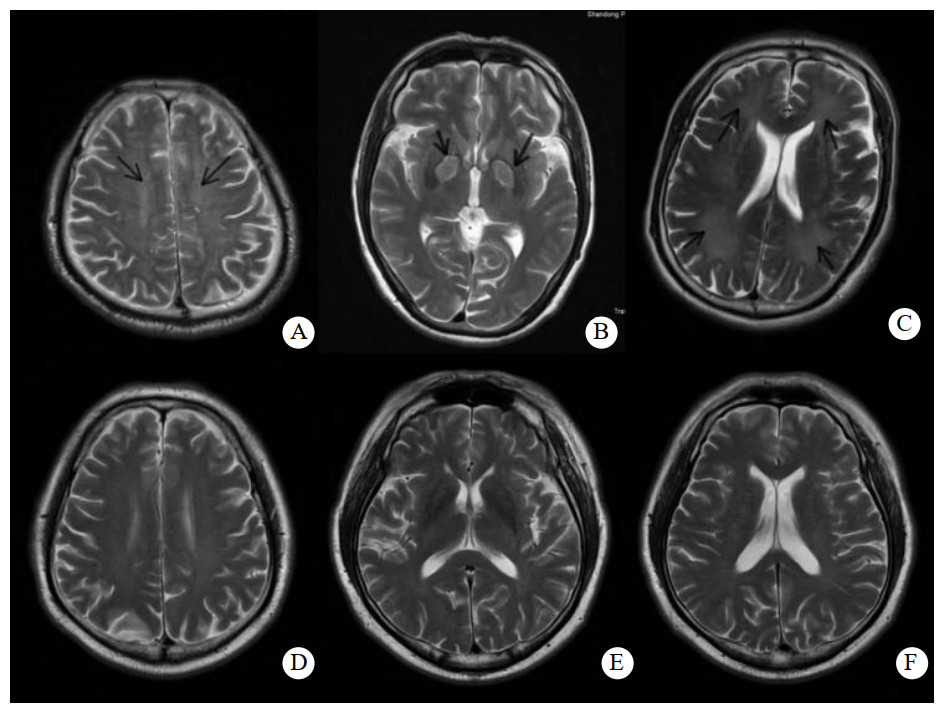
常规MRI中DEACMP表现为长T1、T2信号。DWI中DEACMP组与ACOP组相比,病变区域信号增强。见图 1。
|
| A为DEACMP半卵圆中心高信号改变;B为DEACMP苍白球高信号改变;C为DEACMP侧脑室周围高信号改变;D为Non-DEACMP组半卵圆中心低信号;E为Non-DEACMP组苍白球低信号;F为Non-DEACMP组侧脑室周围低信号 图 1 DEACMP组和ACOP组不同部位在ADC图中的表现 Fig 1 ADC images of different parts in DEACMP group and ACOP group |
|
|
经二元Logistic回归分析,筛选DEACMP发病相关危险因素,在模型3中,WBC、CRP、半卵圆中心ADC与ACOP患者发生DEACMP相关,优势比分别为1.64(95%CI: 1.19~2.26,P=0.003)、1.22(95%CI: 1.03~1.45,P=0.019)、0.99(95%CI: 0.98~1.00,P=0.010)。见表 2。
| 指标 | 模型1 | 模型2 | 模型3 | ||||||||
| OR | 95%CI | P值 | OR | 95%CI | P值 | OR | 95%CI | P值 | |||
| WBC(×109/L) | 1.53 | 1.15~2.02 | 0.003 | 1.60 | 1.18~2.16 | 0.002 | 1.64 | 1.19~2.26 | 0.003 | ||
| CRP(mg/L) | 1.21 | 1.04~1.42 | 0.010 | 1.22 | 1.05~1.41 | 0.010 | 1.22 | 1.03~1.45 | 0.019 | ||
| IL-6(pg/mL) | 1.07 | 1.00~1.15 | 0.060 | 1.07 | 1.00~1.15 | 0.060 | 1.06 | 1.00~1.13 | 0.086 | ||
| 半卵圆中心ADC(×10-3mm2/s) | 0.99 | 0.98~1.00 | 0.009 | 0.99 | 0.98~1.00 | 0.010 | 0.99 | 0.98~1.00 | 0.010 | ||
| 注:WBC为白细胞计数,CRP为C-反应蛋白,IL-6为白细胞介素-6,ADC为表观扩散系数;模型1未调整;模型2调整性别、年龄;模型3调整性别、年龄、不良嗜好及基础疾病 | |||||||||||
半卵圆中心ADC值与CRP联合的AUC为0.765(95%CI: 0.656~0.845),特异度87.9%,敏感度23.2%,界值3.5°。半卵圆中心ADC值联合CRP对DEACMP的早期诊断较单一WBC、CRP、半卵圆中心ADC更具临床价值。见图 2和表 3。
|
| WBC为白细胞计数,CRP为C-反应蛋白,ADC为半卵圆中心ADC值,COMBINATION为CRP与半卵圆中心ADC值联合预测因子 图 2 不同指标对DEACMP预测价值的ROC曲线 Fig 2 ROC of different indexes for the predictive value of DEACMP |
|
|
| 指标 | AUC | 95%CI | 截断值 | 敏感度(%) | 特异度(%) | 最大约登指数 |
| WBC(×109/L) | 0.663 | 0.539~0.787 | 6.80 | 45.5 | 87.5 | 0.330 |
| CRP(mg/L) | 0.674 | 0.550~0.797 | 6.68 | 36.4 | 100.0 | 0.364 |
| 半卵圆中心ADC(×10-3mm2/s) | 0.681 | 0.562~0.802 | 719.98 | 30.3 | 87.5 | 0.305 |
| CRP与半卵圆中心联合预测因子 | 0.765 | 0.656~0.845 | 3.50 | 23.2 | 87.9 | 1.440 |
| 注:WBC为白细胞计数,CRP为C-反应蛋白,ADC为表观扩散系数 | ||||||
研究表明,葡萄糖可以自由渗透入红细胞,与Hb不可逆结合形成糖化血红蛋白(glycated hemoglobin,HbA1c)[9]。HbA1c作为评价患者近期血糖水平的可靠指标,广泛应用于实际临床。血浆中高水平游离葡萄糖或糖尿病患者Hb高亲和力均可造成人体HbA1c水平升高,糖尿病患者CO扩散能力降低[10],成为DEACMP促发因素。缺血性脑卒中患者由于血管解剖学异常,发生缺氧时更易加重。本研究单因素分析结果提示糖尿病和脑卒中与DEACMP相关,因此进一步深入探讨HbA1c是否影响DEACMP发生具有潜在的临床价值。
IL-6广泛应用于基础研究中,可介导多种疾病发生,具有潜在的临床价值,研究表明DEACMP的脑白质损害由炎症因子介导损伤所致[11]。本研究结果显示,ACOP组和DEACMP组的IL-6值在单因素分析中差异具有统计学意义,而在多因素分析中不显著,需进一步扩大样本量后再次评估IL-6与DEACMP的相关性。WBC和CRP作为常见的炎症指标在临床中广泛应用,其水平升高与DEACMP发生呈正相关[12-13]。早期血CRP水平与CO中毒时的意识状态、年龄、CO中毒治疗不及时、高血压和糖尿病、头颅CT/MRI异常以及吸烟和饮酒史等共同被定义为DEACMP的促发因素[14]。多因素分析中CRP和WBC在ACOP组与DEACMP组间差异存在统计学意义,经ROC评价后提示具有一定诊断效能,因此对ACOP患者发生DEACMP具有早期诊断价值。
影像学研究显示,CO中毒后脑组织缺血、缺氧,导致神经细胞膜钠钾离子泵功能障碍,细胞内外水分子扩散异常,细胞外水分子向细胞内移动后造成细胞毒性水肿,使组织内水分子布朗运动的限制性增大,从而出现ADC值降低和DWI上信号相对升高。研究表明,在病变区DWI未出现信号异常之前就可以测得ADC值不同程度下降,在早期缺血的检测上ADC值更为敏感。ADC值减小越多,迟发性脑病发生的可能性越大,二者存在着相关性。ADC值降低对DEACMP诊断具有重要价值[15]。本研究显示,颅脑MRI半卵圆中心ADC值与DEACMP发病相关,经ROC评价发现,CRP与ADC联合在预测DEACMP的诊断效能方面的特异度和敏感度优于颅脑MRI半卵圆中心。但ACOP和DEACMP的发病率较低,可通过继续扩大样本量后再评价其预测价值。
偏倚作为病例对照研究的局限性,本研究通过以下措施进行控制:(1)本研究所采纳《CO中毒迟发性脑病诊断与治疗中国专家共识》[14](以下简称为“共识”)中DEACMP诊断标准及本院临床经验制定纳入和排除标准,以减少选择偏倚。(2)设计采用病例对照研究,通过对DEACMP和ACOP组人群的人口学资料进行对比,具有可比性。采用步进法的二元Logistic分析,通过对性别、年龄、基础疾病及不良嗜好进行调整,控制混杂偏倚。(3)资料整理阶段,本研究采用双录入的方式确保资料完整准确,减少信息偏倚。此外,本研究个别数据中有一个或几个离群值,本研究数据经核查,仍有部分结局变量存在离群值,但数据间无明显的逻辑错误,前后结果不矛盾,考虑系样本量较少所致,因此保留离群值并用于后续继续扩大数据处理。
综上所述,DEACMP的发生是多种因素综合作用的结果,应高度重视及初密切关注颅脑影像学检查异常、合并基础疾病以及验证指标如WBC、CRP等危险因素异常的ACOP患者,以降低DEACMP的发生率。
利益冲突 所有作者声明无利益冲突
作者贡献声明 李晨:统计分析,论文撰写;张兴国:实验设计;王敏、梁梦琳:论文修改;刘玲玲、张伟、刘玉波:实验操作;管艳云、徐甲瑞、冯宝宝:数据收集及整理
| [1] | 樊晶光, 王海椒, 李晗. 我国职业中毒现状及防治建议[J]. 伤害医学(电子版), 2017, 6(2): 1-4. DOI:10.3868/j.issn.2095-1566.2017.02.001 |
| [2] | 顾呈华, 丁帮梅, 韩磊, 等. 2006—2015年江苏省急性职业中毒发病情况分析[J]. 中国工业医学杂志, 2018, 31(2): 130-132. DOI:10.13631/j.cnki.zggyyx.2018.02.021 |
| [3] | Xu XM, Luo H, Rong BB, et al. Management of delayed encephalopathy after CO poisoning: an evidence-based narrative review[J]. Medicine (Baltimore), 2019, 98(49): e18199. DOI:10.1097/MD.0000000000018199 |
| [4] | Kwon OY, Chung SP, Ha YR, et al. Delayed postanoxic encephalopathy after carbon monoxide poisoning[J]. Emerg Med J, 2004, 21(2): 250-251. DOI:10.1136/emj.2002.002014 |
| [5] | 卫生部. 国家职业卫生标准管理办法[J]. 中国城乡企业卫生, 2002, 17(4): 1. DOI:10.3969/j.issn.1007-1326.2003.02.012 |
| [6] | Ernst A, Zibrak JD. Carbon monoxide poisoning[J]. N Engl J Med, 1998, 339(22): 1603-1608. DOI:10.1056/nejm199811263392206 |
| [7] | Chang YL, Yang CC, Deng JF, et al. Diverse manifestations of oral methylene chloride poisoning: report of 6 cases[J]. J Toxicol Clin Toxicol, 1999, 37(4): 497-504. DOI:10.1081/clt-100102442 |
| [8] | Amsel J, Soden KJ, Sielken RL Jr, et al. Observed versus predicted carboxyhemoglobin levels in cellulose triacetate workers exposed to methylene chloride[J]. Am J Ind Med, 2001, 40(2): 180-191. DOI:10.1002/ajim.1086 |
| [9] | Omaye ST. Metabolic modulation of carbon monoxide toxicity[J]. Toxicology, 2002, 180(2): 139-150. DOI:10.1016/s0300-483x(02)00387-6 |
| [10] | Ljubić S, Metelko Z, Car N, et al. Reduction of diffusion capacity for carbon monoxide in diabetic patients[J]. Chest, 1998, 114(4): 1033-1035. DOI:10.1378/chest.114.4.1033 |
| [11] | Tanaka T, Narazaki M, Kishimoto T. IL-6 in inflammation, immunity, and disease[J]. Cold Spring Harb Perspect Biol, 2014, 6(10): a016295. DOI:10.1101/cshperspect.a016295 |
| [12] | 范江河, 白净, 李雪振, 等. C反应蛋白与时间关系对急性一氧化碳中毒患者的临床意义[J]. 海南医学, 2017, 28(24): 4032-4035. DOI:10.3969/j.issn.1003-6350.2017.24.024 |
| [13] | Romero FR, Cataneo DC, Cataneo AJ. C-reactive protein and vasospasm after aneurysmal subarachnoid hemorrhage[J]. Acta Cir Bras, 2014, 29(5): 340-345. DOI:10.1590/s0102-86502014000500009 |
| [14] | 中国医师协会神经内科医师分会脑与脊髓损害专业委员会. CO中毒迟发性脑病诊断与治疗中国专家共识[J]. 中国神经免疫学和神经病学杂志, 2021, 28(3): 173-179. DOI:10.3969/j.issn.1006-2963.2021.03.001 |
| [15] | 杜冉. MRI在一氧化碳中毒迟发性脑病中的应用[J]. 中国城乡企业卫生, 2012, 27(6): 36-38. DOI:10.16286/j.1003-5052.2012.06.025 |
2023, Vol. 32



