百草枯(paraquat, PQ)为联吡啶杂环化合物,是一种全球使用的高效能非选择性接触型除草剂,其毒性强,对人、畜危害非常大。虽然我国自2020年9月26日起全面停止百草枯产品境内销售和使用[1],但社会生产生活中仍有一定存量的百草枯,对人们的生命安全造成威胁。本院2016年5月至2019年6月通过新开展的水化疗法联合血液净化等措施成功抢救重度百草枯中毒19例,抢救成功率达59.4%[2],其中2018年6月收治的1例口服大量百草枯可溶胶剂后出现纵隔气肿、皮下气肿、气胸的患者,经积极抢救,最终成功好转出院,并连续随访3年,现报告如下。
1 资料与方法患者男性,26岁,体重65 kg,口服20%百草枯可溶胶剂75 g,服毒后2 h后送本院急诊科,使用自动洗胃机洗胃后收住ICU。患者既往体健。入院查体:体温36.6℃,脉搏84次/min,呼吸频率19次/min,血压122/80 mmHg(1 mmHg=0.133 kPa),意识清楚,双肺呼吸音清;心率84次/min,心律规整,心音无异常;腹软,无压痛及反跳痛;肝脾肋下未触及,肠鸣音正常;四肢肢体肌力正常,双侧霍夫曼征、巴宾斯基征、布鲁津斯基征均阴性。尿液快速半定量检测(碳酸氢钠-连二亚硫酸钠法)百草枯浓度 > 100 mg/L;动脉血气分析:pH值7.40,动脉血二氧化碳分压(PaCO2)40 mmHg,动脉血氧分压(PaO2)81 mmHg,剩余碱(BE)0.0 mmol/L,血乳酸(Lac)2.6 mmol/L;血常规:白细胞计数9.24×109/L,淋巴细胞计数1.5×109/L,血红蛋白160.0 g/L,血小板计数284×109/L;凝血酶原时间、活化部分凝血活酶时间正常。入院诊断:急性百草枯中毒。入院后给予洗胃、导泻、胃肠道毒物吸附、补液利尿、血液净化、保护胃黏膜、营养支持、保护各器官功能、维持水和电解质平衡等治疗。
具体治疗经过:入院后立即10%甘露醇1 000 mL导泻;3 h内分次口服蒙脱石散60 g;每2 h 2%碳酸氢钠250 mL洗胃1次,连续6次;入ICU后立即给予血液滤过(HF)+血液灌流(HP)连续序贯式治疗16 h(HA230型一次性血液灌流器2个,珠海健帆生物科技股份公司);入院后立即给予水化疗法(即充分补液利尿),前8 h每小时持续静脉补液800~1 000 mL,入院8 h后每小时补液400~500 mL,入院48 h后每小时补液200~250 mL,为保持出入量平衡,呋塞米20 mg静脉推注,每日2次,持续2周;入院16 h后予以流质饮食。入院后同时给予普萘洛尔10 mg口服,维生素E胶丸0.1 g口服,均每日3次,3周后停用;乌司他丁10万单位静脉滴注(静滴),每日3次,2周后停用;血必净50 mL静滴,每日2次,2周后停用;维生素C 3 g静滴,每日1次,2周后减量,4周后停用;异甘草酸镁150 mg静滴,每日1次,4周后停用;甲泼尼龙160 mg静滴,每日2次,每10 d递减50%,40 d后改为口服,并逐渐减量,4个月后停用。
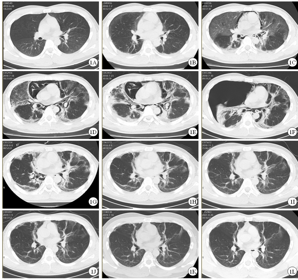
治疗效果:患者治疗过程中给予持续心电监护、血氧饱和度监测、血压监测、记出入量,动态监测肝肾功能变化(表 1)。入院12 h后尿液中PQ含量降至10~30 mg/L,入院18 h后尿液中PQ含量降至0~3 mg/L。入院第2天出现口腔黏膜充血,咽部疼痛,血肌酐升高,PaCO2: 35mmHg,PaO2:115 mmHg,Lac: 3.9 mmol/L;第3天出现顽固性呃逆,间断予以氯丙嗪肌肉注射,PaO2: 103 mmHg,Lac: 4.5 mmol/L,胸部CT:双肺下叶条索灶(图 1A);第5天口咽黏膜糜烂疼痛加重,全身皮肤黏膜黄染,肝功能相关指标明显升高,PaO2: 92 mmHg,Lac: 1.5 mmol/L;第7天未再出现呃逆,PaO2: 90 mmHg,Lac: 1.4 mmol/L,胸部CT:双肺间质性改变,双侧胸腔积液(图 1B);第12天肾功能相关指标恢复正常,肝功能相关指标开始好转,PaO2: 63 mmHg;第13天胸部CT:纵隔、颈部及胸壁气肿,双肺间质纤维化范围较前增大,双侧胸腔少量积液(图 1C);第23天口咽部疼痛明显减轻,PaO2: 74 mmHg,胸部CT:纵隔气肿及皮下气肿较前加重,双肺间质弥漫磨玻璃样影及条索状高密度灶较前密度增高,肺组织较前膨胀不全,双侧胸腔仍见少量积液(图 1D);第28天胸部CT示纵隔气肿及皮下气肿、双肺间质性肺炎并纤维化、肺组织膨胀不全较前较前持续加重(图 1E);第31天肝功能相关指标恢复正常;第35天患者突发胸闷憋气,胸部CT示右侧大量气胸、纵隔偏移(图 1F),急症行胸腔闭式引流术后,症状缓解;第42天PaO2: 87 mmHg,胸部CT示右侧胸膜腔及纵隔内气体较前明显减少,双肺间质弥漫磨玻璃样影及条索状、斑片状高密度灶较前减轻(图 1G);第44天出院。服毒半年后,患者自述无胸闷、憋气、胸痛等不适,步行上五楼无明显气促症状,PaO2: 76 mmHg,胸部CT:双肺间质弥漫磨玻璃样影及条索状、斑片状高密度灶,范围较前缩小,边缘较前清晰(图 1J)。服毒1年后,患者可从事正常体力劳动,PaO2: 91 mmHg,胸部CT: 双肺野内示多发纤维条索灶,胸膜下线形成,肺纤维化复查好转CT表现(图 1K)。服毒3年后,患者已从事正常体力劳动,PaCO2: 39 mmHg,PaO2: 82 mmHg,胸部CT:双肺野内示多发纤维条索灶,胸膜下线形成,较前未见明显变化(图 1L)。
| 指标 | 第2天 | 第5天 | 第8天 | 第12天 | 第16天 | 第23天 | 第31天 |
| 丙氨酸氨基转氨酶(U/L) | 15 | 482 | 365 | 242 | 157 | 128 | 39 |
| 天门冬氨酸氨基转氨酶(U/L) | 40 | 248 | 102 | 105 | 55 | 35 | 16 |
| 总胆红素(umol/L) | 16.3 | 89.4 | 108.9 | 77.5 | 36.0 | 28.0 | 16.1 |
| 尿素氮(mmol/L) | 2.6 | 15.5 | 15.1 | 6.2 | 4.9 | 6.7 | 6.9 |
| 血肌酐(umol/L) | 133 | 394 | 227 | 81 | 43 | 91 | 70 |
2 讨论
百草枯可溶胶剂作为替代百草枯水剂的安全剂型之一,是一种凝胶体,由符合国家标准的百草枯母液、助剂和水等加工而得,除有效成分外,还添加了适量增稠剂。虽然可溶胶剂很难吞咽,极大降低了人为取食的风险,但仍有吞食百草枯可溶胶剂自杀的情况。急性百草枯中毒以急性肺损伤为主,同时可导致肝、肾等器官损伤,重症患者多死于呼吸衰竭或多器官功能障碍综合征。百草枯的中毒无特效解毒剂,病死率高达90%~100%。口服PQ后,24 h可经肾脏排出50%~70%[3]。在缺乏特效解毒药的情况下,快速清除进入人体内的PQ显得尤为重要。
本例患者口服20%百草枯可溶胶剂75 g,服毒量远超成人口服致死量2~6 g[3]。救治成功的主要原因有:①及时清除了体内尚未吸收的毒物:患者服毒后2 h即被送到医院,立即使用自动洗胃机进行彻底洗胃,洗胃后予以甘露醇导泻,行全肠灌洗,清理胃肠道后,口服大量蒙脱石散吸附胃肠道内残留的毒物。笔者选用蒙脱石散,是因为其具有层纹状结构及非均匀性电荷分布,对消化道内的病菌及毒素有固定、抑制作用,此外对消化道粘膜有很强覆盖保护能力,并具有局部止痛作用,且本品不进入血液循环系统,并连同所固定的攻击因子随消化道自身蠕动排出体外,本品不改变大便颜色,不改变正常的肠蠕动。②及时促进已吸收毒物的排出:吸收入血的百草枯主要以原型的形式经肾脏排出,没有基础肾病的肾脏具有强大的排出毒物的功能,因此强化利尿是清除血液中毒物极其重要的措施。实践中可以由血液滤过的废液中检测到百草枯成分,说明血液滤过对清除百草枯有疗效,并可清除炎性介质减轻炎症反应,因此血液滤过也是救治百草枯中毒的有效措施。该患者入院后及时大量补液利尿,并立即给予血液灌流联合血液滤过治疗,入院18 h后已检测不到百草枯,效果确切,为了彻底清除残余的微量PQ和可能产生的炎性介质,大量补液共持续了48 h。③及时联合以下药物治疗:免疫抑制药物如甲泼尼龙,PQ竞争剂如普萘洛尔,抗氧化剂如维生素C、维生素E、乌司他丁等,中成药如血必净注射液,以及具有抗炎和保护肝细胞的药物如异甘草酸镁等。
综上所述,提高PQ中毒患者抢救成功率的关键是尽快促使患者体内尚未吸收和已吸收的PQ排出,阻止PQ的吸收,使机体组织暴露于PQ中毒的剂量尽可能降低、时间尽可能缩短,救治措施主要包括胃肠道的净化、血液净化、组织净化(充分补液利尿),同时,应及时给予器官功能的支持、应用目前认为能清除氧自由基的药物、实施抗肺纤维化治疗。本病例提示,百草枯中毒患者如果能得到早期及时有效的治疗,可使患者机体组织保留代偿修复能力,肺部的病变范围会逐渐吸收,甚至不留后遗症,百草枯中毒所致的肺纤维化、呼吸衰竭,并非都是“渐进性出现不可逆性肺纤维化和呼吸衰竭”。
利益冲突 所有作者作者声明无利益冲突
| [1] | 詹峰, 宋维. 常见除草剂急性中毒: 共性与差异性[J]. 中华急诊医学杂志, 2020, 29(12): 1515-1519. DOI:10.3760/cma.j.issn.1671-0282.2020.12.003 |
| [2] | 程友林, 冯恩民, 刘光增, 等. "水化疗法"治疗重度急性百草枯中毒[J]. 中华危重病急救医学, 2020, 32(7): 846-849. DOI:10.3760/cma.j.cn121430-20200506-00362 |
| [3] | 柴艳芬. 急性百草枯中毒[M]//葛均波, 徐永健, 王辰. 内科学. 9版. 北京: 人民卫生出版社, 2018: 887-890. |
2023, Vol. 32



