2. 中部战区总医院急诊科,武汉 430070
主动脉窦瘤(aneurysm of aortic sinus)也被称为Valsalva动脉瘤(aneurysm of the sinus of valsalva,SOVA),主动脉与左心室基底部之间有一环形纤维冠状带,主动脉中层和纤维环连接处的弹性纤维变薄后形成窦瘤[1]。主动脉窦瘤可以是先天性的,也可以继发于感染、创伤、医源性损伤等。无症状时可随访,一旦破裂则需要立即干预。由于本病相对罕见,常规经胸心脏超声可能难以发现,常常需经食道超声心动图辅助诊断,本文报道1例无冠窦瘤破裂入右心房行静脉动脉体外膜肺氧合治疗患者,旨在提高急诊科医师对本病的了解及认识,减少误诊或漏诊,且在关于V-A ECMO的潜在禁忌症的突破方面提供了一定的临床经验。
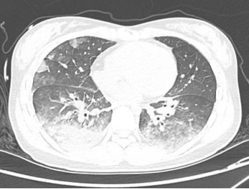
1 资料与方法患者女性,19岁,因“突发胸痛14 h”入院。患者14 h前无明显诱因出现胸骨后疼痛,呈紧缩感,伴有胸闷、呼吸困难,间断咳嗽。近期有听力下降、腹泻病史。8 h前就诊于外院时查体:体温测不出,Bp 53/36 mmHg(1 mmHg=0.133 kPa),呼吸40次/min, 脉搏137次/min,SPO2 93%,神志淡漠,全身皮肤湿冷,黏膜无黄染及出血点,颈静脉无怒张。听诊双肺呼吸音粗,可闻及满肺湿啰音,心音不清,腹部查体无异常,双下肢足背动脉搏动对称。化验结果提示WBC 29.3×109/L,NE 85.4%,TnT 93 ng/L,pro-BNP 2 047 pg/mL,PCT 0.11 ng/mL, 血气分析:pH 7.349,PCO2 31.2mmHg,PO2 67.2 mmHg,HCO3- 17.2 mmol/L,Lac 5.7 mmol/L。心电图提示:窦性心动过速、AVR导联ST段抬高,余导联ST段压低;床旁心脏超声提示EF 52%,二尖瓣中度返流、三尖瓣中重度返流,未见室壁节段性运动性异常。考虑心源性休克,原因尚不明确,给予机械通气、血管活性药物、补液等抗休克治疗,同时联系本院急诊ECMO团队,本院急诊ECMO团队到达现场后,患者突然出现室颤,给予胸外按压及电除颤后逐渐恢复窦律,立即进行V-A ECMO上机指征及预后评分SAVE评分评估,符合V-A ECMO上机适应证,约30 min成功上机运转,流量3.5 L/min,复查外周动脉血气分析: pH 7.305,PCO2 21 mmHg,PO2 73.4 mmHg,HCO3- 10.5 mmol/L,Lac 8.4 mmol/L。后转运至本院急诊病房,转运途中行生命体征、血气分析、ACT等常规监测,至病房后患者ECMO支持下血压仍需大剂量血管活性药物维持且脉压差较小,观察ECMO动静脉管路颜色极为接近,床旁经胸心脏超声提示主动脉瓣重度返流,为明确原因立即行急诊CT检查及床旁经食道超声心动图检查。本院肺CT(图 1)提示肺水肿,床旁经胸心脏超声提示主动脉瓣大量返流但心室收缩可,请超声影像科进一步行床旁经食道超声检查提示无冠窦呈瘤样凸向右房侧,瘤壁上可见宽约0.6 cm破口;主动脉瓣舒张期无冠瓣脱向左室流出道侧(图 2、图 3)。立即请心血管外科会诊,急诊行主动脉瓣机械瓣膜置换术+主动脉窦修补术+房间隔造口术+主动脉球囊反搏置入术+心脏起搏器置入术,术中探查与经食道超声所见相符(图 4、图 5),考虑左心功能差,左心压力较高,行房间隔造口术。术后复查胸片肺水肿基本消失(图 6),继续呼吸机与ECMO支持,因患者肺功能良好,自主呼吸良好,为减少呼吸机相关肺损伤、呼吸机相关肺炎等发生,术后第4天神志清醒后拔除气管插管,机械通气减轻左心前后负荷的作用去除后,继续ECMO与IABP支持,ECMO增加左心后负荷时IABP可降低左室后负荷,达到左心减压的目的,术后第10天心功能恢复,下调ECMO流量后循环可维持,予以撤离ECMO,术后第12天撤离IABP,后停用肝素持续泵入抗凝,达肝素皮下注射联用华法林口服抗凝3 d后,单用华法林口服抗凝,维持INR达标,在康复期间患者活动时左下肢疼痛,左侧足背动脉搏动减弱,下肢动静脉超声提示左侧股浅动脉血栓形成,期间增加华法林剂量后血栓未见明显变化,后行下肢股浅动脉切开取栓术,术后33 d患者完全康复顺利出院。
|
| 图 1 术前肺CT |
|
|
|
| 图 2 经食道超声心动图 |
|
|
|
| 图 3 经食道超声心动图 |
|
|
|
| 图 4 术中所见 |
|
|
|
| 图 5 术中修补破口 |
|
|
|
| 图 6 术后胸片 |
|
|
主动脉窦瘤占先天性心脏病患者的1.4%~3.5%,相比欧美人群,亚洲人群发病率更高,男性发病率约为女性的4倍[2-3]。主动脉窦的功能是在左心室收缩期主动脉瓣打开时防止冠状动脉口闭塞,根据冠状动脉的开口可命名为右冠状窦、左冠状窦和无冠状窦。主动脉窦瘤最常累及右冠状窦,其次为无冠状窦,最后是左冠状窦。原因分为先天性和后天性,先天性经常与马方综合征或其他结缔组织疾病有关,后天性与感染(梅毒、感染性心内膜炎和肺结核)、动脉粥样硬化、创伤和医源性损伤等有关[4-5]。
主动脉窦瘤较小或未破裂时患者可能完全没有症状,破裂后根据破口大小、破入部位的不同会产生不同的血流动力学变化,产生相应的临床表现也会不同。当破入右心时,主动脉与右心之间的压力差增大,引起右心容量负荷增加,严重者可出现肺动脉高压;与此同时,因大量左向右分流导致体循环血流量明显减少,易进展为急性心源性休克[6-8]。本案例患者术中探查考虑为先天性无冠窦瘤,既往窦瘤未破裂时无明显症状,破裂后患者突发胸痛、胸闷、呼吸困难,很快出现心源性休克,且V-A ECMO支持下患者血压仍需大剂量血管活性药物维持且脉压差较小,与窦瘤破入右房后体循环血流量明显减少出现的血流动力学改变相符,右心容量负荷增加导致的肺水肿与肺CT表现一致。
因患者生命体征难以维持并出现室颤,经初始评估符合V-A ECMO上机适应证,预后评分生存率较高,遂紧急行V-A ECMO,上机初期动静脉导管内颜色差别较明显,很快两导管内颜色难以区分,考虑原因为充分氧合的左心血通过破口直接进入右心房被引出,自身形成“再循环”使得动静脉导管颜色相近。根据2021年ELSO成人心脏病患者V-A ECMO指南,对ECMO功能有影响的病因如主动脉瓣关闭不全为V-A ECMO潜在禁忌证[9],理论上患者行V-A ECMO后主动脉与右心之间的压力差会进一步增大,左向右分流增加,心源性休克进行性加重且随时可能出现心脏停搏,但患者已出现室颤,病因未明确情况下经目前治疗仍随时会出现呼吸心搏骤停,且通过精确的ECMO流量滴定可减少右心容量负荷,同时相对减小主动脉与右心之间的压力差,为后续寻找病因及治疗争取时间。V-A ECMO也同样适用于心脏术后心功能尚未恢复的患者,本例患者因术后心功能较差未能立即撤机,继续V-A ECMO支持治疗,待心功能恢复后才撤机。V-A ECMO的适应证在临床上不断被拓宽,其精准使用可以为存在相对禁忌证的患者的后续诊治争取时间。但本例患者治疗期间也出现了V-A ECMO的常见并发症:左心压力增加及下肢动脉缺血。V-A ECMO辅助下因左心室后负荷增加引起左室扩张,易出现左房增大、肺水肿、血流瘀滞形成血栓等,不利于心肌的恢复,术中行房间隔造口术减轻左心压力;术后出现下肢动脉缺血,股浅动脉内出现血栓经抗凝治疗无效后行下肢动脉切开取栓术。
主动脉根部造影为诊断主动脉窦瘤的“金标准”[10], 但本例患者生命体征不稳定,外出检查需携带呼吸机及ECMO机器,转运风险较大,因此采用床旁心脏超声检查是非有创检查的最佳手段之一。本案例外院经胸心脏超声提示三尖瓣中重度返流,入院后床旁经胸心脏超声仅发现主动脉瓣重度返流,仍无法明确心源性休克原因,联系超声影像科通过经食道超声心动图发现无冠窦瘤破裂入右心房才最终明确诊断。主动脉窦瘤的诊断需要技术高超且临床经验丰富的超声科医生,也反映出急诊科医生需学习掌握经食道超声心动图技术。
主动脉窦瘤破裂病例较为少见,主动脉窦瘤一旦破裂,易出现急性心力衰竭、心源性休克,死亡风险极高,通常需要急诊手术治疗。但随着心脏介入医学发展,介入治疗也成为主动脉窦瘤破裂后另一治疗选择[11-12]。但当存在主动脉瓣关闭不全或室间隔缺损时,手术治疗仍然是主动脉窦瘤破裂治疗的首选方法,未破裂的主动脉瘤窦如果出现明显的症状或迅速增大时也应考虑手术治疗[13]。破裂后多于心血管外科于体外循环下急诊手术,术前行体外膜肺氧合病例极为罕见。Singh等[14]分享一例合并先天性心脏病的17岁女孩同样因心源性休克就诊,后很快出现心脏骤停,经心肺复苏恢复自主循环后再次出现心脏骤停,行V-A ECMO支持治疗后经食道超声心动图提示右主动脉瘤破入右心房,行急诊手术治疗后预后良好。病情发展过程与本病例相似。
快速诊断和急诊手术治疗对于主动脉窦瘤破裂的预后十分关键。该病例突出体现了当代急诊科医生需要掌握经食道超声心动图技术的重要性和必要性,且V-A ECMO的精细化管理可以为一些存在潜在禁忌证的患者的后续诊疗争取时间进而达到挽救生命的目的,在关于V-A ECMO潜在禁忌证的突破方面提供了一定的临床经验。
利益冲突 所有作者声明无利益冲突
| [1] | Bricker AO, Avutu B, Mohammed TLH, et al. Valsalva sinus aneurysms: findings at CT and MR imaging[J]. Radiographics, 2010, 30(1): 99-110. DOI:10.1148/rg.301095719 |
| [2] | Seo KW, Park JS. Sinus of Valsalva aneurysm and multiple aortic aneurysms provoked by viral myocarditis[J]. Korean Circ J, 2019, 49(2): 194-196. DOI:10.4070/kcj.2018.0309 |
| [3] | Stöger G, Borger MA, Misfeld M. A giant aneurysm of the left sinus of Valsalva[J]. Eur J Cardiothorac Surg, 2019, 56(3): 627. DOI:10.1093/ejcts/ezz010 |
| [4] | Feldman DN, Roman MJ. Aneurysms of the sinuses of Valsalva[J]. Cardiology, 2006, 106(2): 73-81. DOI:10.1159/000092635 |
| [5] | Weinreich M, Yu PJ, Trost B. Sinus of Valsalva aneurysms: review of the literature and an update on management[J]. Clin Cardiol, 2015, 38(3): 185-189. DOI:10.1002/clc.22359 |
| [6] | Chen J, Liang HN, Wu L, et al. Right sinus of Valsalva aneurysm spontaneously dissecting into the interventricular septum in a rare case of Behcet & apos; s disease[J]. Eur Heart J Cardiovasc Imaging, 2019, 20(5): 601. DOI:10.1093/ehjci/jey218 |
| [7] | Vural KM, Sener E, Taşdemir O, et al. Approach to sinus of Valsalva aneurysms: a review of 53 cases[J]. Eur J Cardiothorac Surg, 2001, 20(1): 71-76. DOI:10.1016/s1010-7940(01)00758-8 |
| [8] | Diwakar A, Patnaik SS, Hiremath CS, et al. Rupture of sinus of Valsalva - A 15 years single institutional retrospective review: Preoperative heart failure has an impact on post operative outcome?[J]. Ann Card Anaesth, 2019, 22(1): 24-29. DOI:10.4103/aca.ACA_243_17 |
| [9] | Lorusso R, Shekar K, MacLaren G, et al. ELSO interim guidelines for venoarterial extracorporeal membrane oxygenation in adult cardiac patients[J]. ASAIO J, 2021, 67(8): 827-844. DOI:10.1097/MAT.0000000000001510 |
| [10] | DeMaria AN, Blanchard DG. Echocardiography In: Fuster V, Walsh RA, Harrington RA, eds. Hurst's the Heart Manual of Cardiology[M]. 13th ed. New York, NY: McGraw‐Hill; 2011. |
| [11] | Sarkar M, Wehman B, Mukherjee R, et al. Left sinus of Valsalva aneurysm presenting as myocardial ischemia[J]. J Thorac Cardiovasc Surg, 2019, 157(3): e167-e168. DOI:10.1016/j.jtcvs.2018.09.070 |
| [12] | Chan N, Charalambous M, Fuschetto DP, et al. Severe compression of the left circumflex coronary artery by a large sinus of Valsalva aneurysm[J]. J Cardiovasc Comput Tomogr, 2020, 14(5): e26-e28. DOI:10.1016/j.jcct.2018.11.001 |
| [13] | Hiratzka LF, Bakris GL, Beckman JA, et al. 2010 ACCF/AHA/AATS/ACR/ASA/SCA/SCAI/SIR/STS/SVM guidelines for the diagnosis and management of patients with Thoracic Aortic Disease: a report of the American College of Cardiology Foundation/American Heart Association Task Force on Practice Guidelines, American Association for Thoracic Surgery, American College of Radiology, American Stroke Association, Society of Cardiovascular Anesthesiologists, Society for Cardiovascular Angiography and Interventions, Society of Interventional Radiology, Society of Thoracic Surgeons, and Society for Vascular Medicine[J]. Circulation, 2010, 121(13): e266-e369. DOI:10.1161/CIR.0b013e3181d4739e |
| [14] | Singh J, Fong LS, Ellenberger K, et al. Venoarterial extracorporeal membrane oxygenation for ruptured sinus of Valsalva aneurysm[J]. Ann Thorac Surg, 2021, 112(3): e181-e183. DOI:10.1016/j.athoracsur.2020.12.047 |
2023, Vol. 32



