2. 南京医科大学附属儿童医院急诊科,南京 210008
甲基丙二酸血症(又称为甲基丙二酸尿症)合并高同型半胱氨酸血症(又称为高同型半胱氨酸尿症,combined methylmalonic aciduria and homocystinuria, MAHC)是一组常染色隐性遗传疾病,由两种来源于钴胺素(维生素B12)的辅酶(腺苷钴胺素和甲钴胺)合成障碍导致[1]。该病包含多种基因致病性变异导致的不同类型,其中cblC型MAHC(OMIM 277400)是细胞内钴胺素代谢障碍中最为常见的类型,而MMACHC基因致病性变异是MAHC最为主要的病因,约占总数的80%[2]。欧美国家报道MAHCC发病率约1∶46 000~200 000,而在中国发病率更高,约为1∶3 220~21 488[3-6]。其临床表型多样,无特异性,波及神经、泌尿、心血管、消化、血液等多个系统,但呼吸系统受累少见[2]。
呼吸衰竭是我国儿童PICU常见的危重症,约占危重患儿总数的27%,病死率约17%[7]。尽管近年来呼吸机及体外膜肺氧合技术的进步及应用降低了呼吸衰竭的病死率,但呼吸衰竭病因学的明确仍是诊治关键[8]。随着二代测序技术的发展,越来越多的遗传代谢性疾病被认识到会以临床危象的形式表现出来。
本文总结2018—2021年南京医科大学附属儿童医院以呼吸衰竭为首发表现的MAHCC患儿临床特点、影像学表现、分子诊断、治疗及预后情况以提高对本病的认识。
1 资料与方法 1.1 一般资料以2018年1月至2021年12月南京医科大学附属儿童医院收治的呼吸衰竭为首发表现的MAHCC患儿为研究对象。本研究经南京医科大学附属儿童医院医学伦理委员会批准(审批号:202205052-1),监护人签署书面知情同意书。
纳入标准:(1)以呼吸系统症状为首发表现;(2)符合呼吸衰竭诊断:PaO2 < 60 mmHg(1 mmHg=0.133 kPa)[9];(3)根据尿有机酸、血同型半胱氨酸检测及基因诊断明确为MAHCC患儿[10]。排除标准:引起呼吸衰竭的其他疾病。
1.2 方法 1.2.1 回顾性收集临床资料(1) 一般情况:性别、年龄、家族史;(2)临床症状:主诉、阳性体征;(3)实验室检查:血常规、血生化、血气分析、血同型半胱氨酸、尿有机酸、胸部X线片、胸部高分辨率CT(HRCT)、心脏超声等;(4)基因诊断结果;(5)治疗及预后情况。
1.2.2 基因检测及变异分析采集患儿及其一级亲属外周静脉血各2 mL,提取外周血基因组DNA进行全外显子组测序,过程由北京全谱医学检验实验室完成。经分析筛选得到可疑的变异位点,Sanger法对先证者及一级亲属进行变异位点的验证。根据美国医学遗传学与基因组学学会(American College of Medical Genetics and Genomics, ACMG)指南(2015版)判断变异的致病性[11]。
2 结果 2.1 临床症状共纳入3例患儿,2例男童,1例女童,起病年龄分别为1岁8月、13岁5月及4岁6月,非早发型,家族史无特殊。临床特征总结见表 1。气促为3例患儿的主要表现,合并口唇发绀1例;3例患儿均合并肺动脉高压,1例合并心包积液;2例患儿有泌尿系统受累,1例表现为微量白蛋白尿,1例表现为左肾重复畸形及混合型红细胞尿;2例患儿有明显面色苍白、苍黄;2例患儿伴有消化系统受累,1例伴腹泻、腹胀,1例伴有轻度黄疸;2例患儿伴乏力、活动耐力下降,2例精神萎靡,1例合并营养不良;3例患儿均未见抽搐、意识障碍等神经系统表现。
| 指标 | 患儿1 | 患儿2 | 患儿3 |
| 性别 | 男 | 女 | 男 |
| 就诊年龄 | 1岁8月 | 13岁5月 | 4岁6月 |
| 主诉 | 气促、精神差3 d | 气促、乏力2月余 | 口唇发绀7 d |
| 既往病史 | 1岁2月手足口病后纳差,体重下降1.5 kg;1岁6月缺铁性贫血 | 无 | 1月龄高胆红素血症,贫血 |
| 个人史 | G2P2,足月剖宫产 | G1P1,足月顺产 | G2P2,足月顺产 |
| 家族史 | 父母及10岁姐姐体健 | 父母、10岁妹妹及5月弟弟体健 | 父母、9岁姐姐体健 |
| 受累脏器 | |||
| 呼吸系统 | 气促 | 气促 | 口唇发绀、气促 |
| 循环系统 | 肺动脉高压 | 肺动脉高压 | 肺动脉高压伴有心包积液 |
| 泌尿系统 | 微量白蛋白尿 | 左肾重复畸形,混合型红细胞尿 | 无 |
| 血液系统 | 面色稍苍白 | 无 | 面色苍黄 |
| 神经系统 | 无 | 无 | 无 |
| 消化系统 | 腹泻、腹胀 | 无 | 黄疸 |
| 其他系统 | 精神萎靡、纳差、皮下脂肪菲薄 | 活动耐力下降 | 乏力、纳差、活动耐力下降、皮下水肿 |
| 随访时间 | 2个月 | 12个月 | 3个月 |
| 结局 | 1岁10月死于感染后代谢危象 | 反复呼吸道感染,仍活动耐力差 | 反复呼吸道感染 |
患儿行尿甲基丙二酸测定、血同型半胱氨酸测定,均明显增高(见表 2)。3例患儿血气分析均表现为明显的低氧血症,PaO2/FiO2 192~233 mmHg(见表 2),无二氧化碳潴留。另外,2例患儿合并贫血,血红蛋白最低为74 g/L;1例患儿合并轻度黄疸,总胆红素41.36 µmol/L,结合胆红素15.7 µmol/L;1例患儿尿微量白蛋白21.1 mg/L;1例患儿尿酸678 µmol/L,肌酐84 µmol/L。
| 患儿 | 动脉氧分压(mmHg) | 二氧化碳分压(mmHg) | PaO2/FiO2(mmHg) | 肺动脉压力(mmHg) | 血红蛋白(g/L) | 尿甲基丙二酸(mmol/mol肌酐) | 血同型半胱氨酸(µmol/L) | 变异类型 | 变异区域 | 核苷酸变化 | 氨基酸变化 | 来源 |
| 1 | 57.3 | 30.3 | 192 | 48 | 92 | 126.3 | 423.3 | MMACHC复合杂合 | exon1 | c.80A > G | p.Gln27Arg | 父亲 |
| exon4 | c.658_660delAAG | p.Lys220del | 母亲 | |||||||||
| 2 | 58.2 | 32.4 | 233 | 58 | 125 | 72.8 | 109.4 | MMACHC复合杂合 | exon1 | c.1A > G | p.Met1Val | 父亲 |
| exon1 | c.80A > G | p.Gln27Arg | 母亲 | |||||||||
| 3 | 46.5 | 20.6 | 221 | 60 | 74 | 259.4 | 271 | MMACHC复合杂合 | exon1 | c.80A > G | p.Gln27Arg | 父亲 |
| exon4 | c.609G > A | p.Trp203Ter | 母亲 |
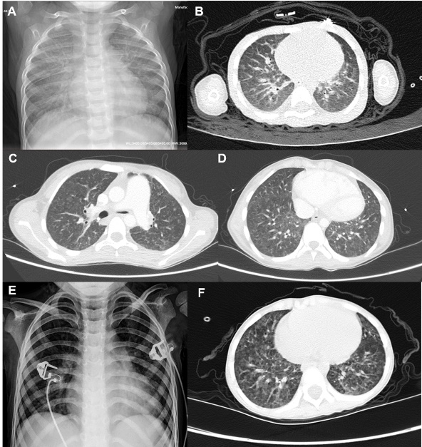
胸部影像学资料见图 1所示,患儿1胸片两肺纹理增多增粗,见片絮影;胸部HRCT见条絮影及网格样改变。患儿2胸部HRCT表现为两肺间质增厚,弥漫小片絮状磨玻璃影。患儿3胸片两肺片絮状密度增高影,胸部HRCT见两肺透亮度欠均匀,弥漫性小斑片状、结节状密度增高影。3例患儿行心脏超声检查,提示不同程度的肺动脉高压,其中2例合并三尖瓣返流,1例合并心包积液。3例患儿均行头颅CT或头颅MRI,未见明显异常。
|
| A:患儿1胸部X线片示两肺纹理增多增粗、片絮影;B:患儿1胸部HRCT示条絮影及网格样改变;C、D:患儿2胸部HRCT示两肺间质增厚、弥漫小片絮状磨玻璃影;E:患儿3胸部X线片示两肺片絮状密度增高;F:患儿3胸部HRCT示两肺弥漫性小斑片状、结节状密度增高 图 1 MAHCC合并呼吸衰竭患儿胸部影像学表现 |
|
|
患儿均行全外显子组测序,发现MMACHC基因复合杂合变异,家系情况见图 2所示。3例患儿共携带4种变异:c.1A > G、c.80A > G、c.609G > A、c.658_660delAAG,均为既往已报道的变异。ACMG评级为致病性变异。
|
| A:患儿1家系图;B:患儿2家系图;C:患儿3家系图 图 2 MAHCC合并呼吸衰竭患儿家系图 |
|
|
所有患儿确诊后均给予羟钴胺肌肉注射,甜菜碱、亚叶酸钙、左卡尼丁口服,合并感染时予抗生素治疗感染,急性期给予鼻导管吸氧。患儿1及3曾给予持续气道正压吸氧。患儿1同时使用西地那非、氢氯噻嗪、螺内酯、维生素D;患儿2同时口服西地那非;患儿3同时口服西地那非、波生坦、螺内酯、氢氯噻嗪。随访情况见表 1所示,患儿1于1岁8月就诊于本院治疗后症状改善出院;出院2个月后1岁10月因感染后代谢危象,放弃治疗死亡。患儿2治疗后症状改善,时有呼吸道感染,仍活动耐力差。患儿3治疗后症状改善,仍有反复呼吸道感染。
3 讨论MMACHC基因位于1p34.1,全长约13.8 kb,编码长度3 049 bp,编码含4个外显子282个氨基酸的氰钴胺还原酶[1]。该蛋白位于细胞胞浆,通过催化氰钴胺还原合成腺苷钴胺素及甲基钴胺素,而甲基钴胺素为蛋氨酸合成的辅酶,协同催化同型半胱氨酸转化为蛋氨酸[1-2]。故当MMACHC基因缺陷时,体内甲基丙二酸和同型半胱氨酸均升高导致合并型的甲基丙二酸血症[1-2]。该基因于2002年首次被发现,2006年明确为导致MAHCC的病因[1]。截至2022年3月,HGMD数据库共收录变异94种,其中错义或无义变异51种,剪接变异6种,小片段缺失22种,小片段插入9种,插入缺失1种,大片段缺失4种,大片段插入或重复1种。本研究中患儿的4种变异均为既往已报道变异,其中c.609G > A为我国最常见的变异[12]。
MAHCC临床表现多样,主要包括:营养不良、生长迟缓,小头畸形,抽搐、意识障碍等神经系统异常,血细胞减少,黄斑病变,肝肾功能不全等,但呼吸系统受累少见[2]。近年来,国内外陆续出现MAHCC合并弥漫性肺病的报道,且报道中合并弥漫性肺病的病例均存在肺动脉高压,但并非所有肺动脉高压的MAHCC患者均存在弥漫性肺病的表现[13-14]。报道中患者胸部HRCT表现为小叶中心磨玻璃结节伴小叶间隔增厚[13],与本研究的患者类似;但既往病例中,未明确提及存在呼吸衰竭情况。本研究中的患儿氧分压均小于60 mmHg,无二氧化碳潴留,呈Ⅰ型呼吸衰竭表现,这可能因本研究中患者存在合并感染而导致氧合障碍的加重。MAHCC引起肺动脉高压的原因可能与同型半胱氨酸对内皮的损伤有关,内皮损伤后肺毛细血管通透性增加,导致血栓的形成和肺小静脉闭塞[15]。目前MAHCC引起肺部病变的原因不明,但亦有可能与肺小血管病变相关,这也与MAHCC的肺部影像学改变吻合[13, 15]。诊断方面,胸部X线无法区分感染和弥漫性肺病,胸部HRCT检查有助于特征性多发边缘模糊的小叶中心磨玻璃样结节改变[13]。对于呼吸衰竭患儿及时完善胸部HRCT是寻找病因的重要步骤。而对于不明原因弥漫性肺病,及时完善血尿代谢筛查、外显子基因检测是明确病因的重要手段。本研究中的患儿通过HRCT检查、尿有机酸测定、血同型半胱氨酸测定、全外显子测序明确诊断。
MAHCC的管理目标是降低血浆甲基丙二酸和同型半胱氨酸的浓度,并将血浆蛋氨酸维持正常以改善代谢紊乱[2]。治疗主要是早期及时肠外补充羟钴胺[婴儿1.0 mg起始,逐渐加量至0.3 mg/(kg·d)]、甜菜碱[250 mg/(kg·d),分3~4次]、叶酸(成人每日1.0 mg)[2, 10]。根据临床症状、血同型半胱氨酸浓度、甲基丙二酸浓度、血浆蛋氨酸调整剂量[2, 10]。发生代谢危象时用含10%~12.5%的高糖等渗溶液进行容量置换,补充碳酸氢钠纠正酸中毒[2]。本研究中的患儿还因肺动脉高压接受了针对肺动脉高压的治疗西地那非、波生坦,在既往的研究中提示针对肺动脉高压的治疗需联合羟钴胺及甜菜碱的使用,而单独使用无效[13]。患儿1确诊后2个月因感染诱发代谢危象,家长放弃治疗而死亡。患儿2和患儿3均通过治疗症状改善,脱离吸氧正常生活,但间断呼吸道感染,仍长期随访中。饮食上,一般MAHCC患者能够耐受正常饮食,不建议将单纯型甲基丙二酸血症患者的低蛋白饮食应用于MAHCC患儿[2]。
综上所述,MMACHC基因变异导致的MAHCC可以呼吸衰竭、弥漫性肺病为主要表现并伴肺动脉高压。对不明原因呼吸衰竭患者完善胸部HRCT检查警惕MAHCC特征性肺部表现,对可疑患者及时行血尿代谢筛查及基因检测有助于疾病的早期诊断及早期治疗,并为家系成员提供遗传咨询依据。
利益冲突 所有作者声明无利益冲突
| [1] | Lerner-Ellis JP, Tirone JC, Pawelek PD, et al. Identification of the gene responsible for methylmalonic aciduria and homocystinuria, cblC type[J]. Nat Genet, 2006, 38(1): 93-100. DOI:10.1038/ng1683 |
| [2] | Sloan JL, Carrillo N, Adams D, et al. Disorders of Intracellular Cobalamin Metabolism[M/OL]// Adam MP, Ardinger HH, Pagon RA, et al. GeneReviews. Seattle (WA): University of Washington, 2008. https://www.ncbi.nlm.nih.gov/books/NBK1328/. |
| [3] | Morel CF, Lerner-Ellis JP, Rosenblatt DS. Combined methylmalonic aciduria and homocystinuria (cblC): phenotype-genotype correlations and ethnic-specific observations[J]. Mol Genet Metab, 2006, 88(4): 315-321. DOI:10.1016/j.ymgme.2006.04.001 |
| [4] | Weisfeld-Adams JD, Morrissey MA, Kirmse BM, et al. Newborn screening and early biochemical follow-up in combined methylmalonic aciduria and homocystinuria, cblC type, and utility of methionine as a secondary screening analyte[J]. Mol Genet Metab, 2010, 99(2): 116-123. DOI:10.1016/j.ymgme.2009.09.008 |
| [5] | Zhou W, Li HZ, Wang CX, et al. Newborn screening for methylmalonic acidemia in a Chinese population: molecular genetic confirmation and genotype phenotype correlations[J]. Front Genet, 2018, 9: 726. DOI:10.3389/fgene.2018.00726 |
| [6] | Wang T, Ma J, Zhang Q, et al. Expanded newborn screening for inborn errors of metabolism by tandem mass spectrometry in Suzhou, China: disease spectrum, prevalence, genetic characteristics in a Chinese population[J]. Front Genet, 2019, 10: 1052. DOI:10.3389/fgene.2019.01052 |
| [7] | 胡晓光, 喻文亮, 钱素云, 等. 危重呼吸衰竭患儿的救治与转归[J]. 中华急诊医学杂志, 2011, 20(5): 459-463. DOI:10.3760/cma.j.issn.1671-0282.2011.05.004 |
| [8] | 张育才, 周益平, 崔云, 等. 体外膜肺氧合挽救儿童难治低氧性呼吸衰竭疗效的初步观察[J]. 中华急诊医学杂志, 2020, 29(6): 788-792. DOI:10.3760/cma.j.issn.1671-0282.2020.06.008 |
| [9] | 江载芳, 申昆玲, 沈颖. 诸福棠实用儿科学[M]. 8版. 北京: 人民卫生出版社, 2015: 2713-2714. |
| [10] | Huemer M, Diodato D, Schwahn B, et al. Guidelines for diagnosis and management of the cobalamin-related remethylation disorders cblC, cblD, cblE, cblF, cblG, cblJ and MTHFR deficiency[J]. J Inherit Metab Dis, 2017, 40(1): 21-48. DOI:10.1007/s10545-016-9991-4 |
| [11] | Richards S, Aziz N, Bale S, et al. Standards and guidelines for the interpretation of sequence variants: a joint consensus recommendation of the American College of Medical Genetics and Genomics and the Association for Molecular Pathology[J]. Genet Med, 2015, 17(5): 405-424. DOI:10.1038/gim.2015.30 |
| [12] | Liu MY, Yang YL, Chang YC, et al. Mutation spectrum of MMACHC in Chinese patients with combined methylmalonic aciduria and homocystinuria[J]. J Hum Genet, 2010, 55(9): 621-626. DOI:10.1038/jhg.2010.81 |
| [13] | 唐晓蕾, 杨海明, 刘辉, 等. 以弥漫性肺疾病为突出或首发表现的甲基丙二酸血症合并高同型半胱氨酸血症临床分析[J]. 中华儿科杂志, 2019, 57(8): 620-624. DOI:10.3760/cma.j.issn.0578-1310.2019.08.010 |
| [14] | Gupta A, Kabra M, Gupta N. Combined methylmalonic aciduria and homocystinuria presenting as pulmonary hypertension[J]. Indian J Pediatr, 2021, 88(12): 1244-1246. DOI:10.1007/s12098-021-03938-8 |
| [15] | Liu JR, Tang XL, Zhou CJ, et al. Cobalamin C deficiency presenting with diffuse alveolar hemorrhage and pulmonary microangiopathy[J]. Pediatr Pulmonol, 2020, 55(6): 1481-1486. DOI:10.1002/ppul.24781 |
2023, Vol. 32



