系统性红斑狼疮(SLE)是一种自身免疫病,病因复杂,部分患者常出现肺部受累。SLE合并肺损害比较常见,如胸膜疾病、间质性肺疾病、弥漫性肺泡出血、肺栓塞、肺动脉高压、肺萎缩综合征、肺恶性肿瘤和感染等,但是SLE合并急性狼疮性肺炎(ALP)并不常见,约为1%~5%[1-2]。ALP合并弥漫性肺泡出血(DAH)临床罕见,可迅速发展为呼吸衰竭,危及生命,容易误诊或漏诊。糖皮质激素和免疫抑制剂是ALP以及DAH常用的治疗药物,但是仍有部分患者病情无法改善,病死率高达50%以上,其治疗面临的巨大挑战[3]。本文报道1例SLE并发ALP和DAH患者,常规抗感染治疗以及激素治疗后患者症状无改善,予连续5次血浆置换治疗后反应良好,短期内症状以及影像学均有明显改善,为难治性SLE患者合并ALP以及DAH提供了另一种相对有效的治疗思路。
1 资料与方法患者,女,79岁,因“咳嗽咯血伴有呼吸困难7 d”于2022-03-22入院。患者7 d前无明显诱因下出现咳嗽咯血,呼吸困难,发热(具体体温不详),就诊当地医院, 予以抗感染、化痰、平喘、止血等治疗,症状逐渐加重,进行性呼吸困难,双下肢水肿,至我院门诊就诊,拟“呼吸衰竭”收治呼吸内科。入院时患者神志清楚、体温37.8℃,无胸痛、无腹泻呕吐。患者既往确诊慢性阻塞性肺病2年,每年发作1月左右,未服用药物治疗。有系统性红斑狼疮(systemic lupus erythematosus, SLE)病史3年,间断不规律服用甲泼尼龙治疗(4mg, po, qd)。有乳腺癌病史2年,曾行手术治疗,术后规律化疗,定期复查未见转移。有双侧股骨头坏死病史1年,半年前行左侧髋关节置换术。否认“高血压”“糖尿病”“慢性肾病”等其它慢性病史,否认“肝炎”“结核”等传染病史。
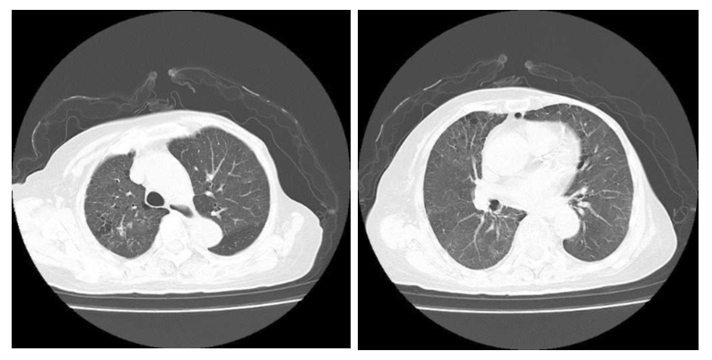
入院查体:体温37.8℃,心率92次/min,呼吸30次/min,血压108/65 mmHg(1 mmHg=0.133 kPa)。神志清楚,查体可配合,皮肤黏膜未见异常,浅表淋巴结未及肿大。口唇轻度紫绀,颈静脉充盈,双肺呼吸音粗, 双肺可闻及湿啰音。心律不齐,主动脉瓣区及三尖瓣膜区可闻及3/6级收缩期杂音。腹软、无压痛及反跳痛。双下肢轻度凹陷性水肿。辅助检查:血常规:白细胞(WBC)9.29×109/L、中性粒细胞计数(NEUT)8.14×109/L、淋巴细胞绝对值:0.78×109/L、红细胞计数(RBC)2.90×1012/L、血红蛋白(HGB)86.00 g/L、血小板计数(PLT)134.00×109/L。C反应蛋白(CRP)114.11 mg/L,白介素6(IL-6)45.30 pg/mL,降钙素原(PCT)0.54 ng/mL。总胆红素(TBIL):27.65 μmol/L、白蛋白(ALB)29.00 g/L、丙氨酸氨基转移酶(ALT)30.06 U/L、天门冬氨酸氨基转移酶(AST)41.30 U/L。肌酐(Scr)98.20 μmol/L、尿酸(UA)453.60μmol/L、尿素氮(BUN)13.38 mmol/L。钾(K+)3.01 mmol/L、氯(Cl-):109.09 mmol/L、钙(Ca2+)1.99 mmol/L。高敏肌钙蛋白Ⅰ(cTnI)78.30 pg/mL、肌红蛋白(Mb)88.10 ng/mL、B型尿钠肽(BNP)449.80 pg/mL。血沉(ESR)104.0 mm/h,类风湿因子(RF)37.67 IU/mL,补体C3:0.70 g/L、补体C4:0.17 g/L。尿液分析:隐血+3、白细胞+1、尿蛋白+3。凝血功能:D-二聚体:0.78 μg/mL、余正常。血气分析:pH 7.376、PaCO2 31.3 mmHg、PaO2 65.4 mmHg(鼻导管吸氧,FiO2: 30%)、BE-4.2 mmol/L、HCO3- 20.3 mmol/L、Lac 0.9 mmol/L。1, 3-β-D葡聚糖检测阴性,结核抗体、TORCH十项、呼吸道九项、EB病毒均为阴性。心电图示:窦性心律;室性早搏伴有长QTc间期。心脏彩超:三尖瓣少量反流。左室舒张功能减低。胸部CT:双肺感染,双肺见多发磨玻璃样及片状高密度影,部分实变(图 1)。入院初步诊断:①呼吸衰竭;②重症肺炎;③咯血待查;④轻度系统性红斑狼疮;⑤左心功能不全NYHA分级Ⅲ级;⑥心律失常室早;⑦电解质代谢紊乱低钾、低钙血症;⑧左乳腺癌术后;⑨左侧髋关节置换术后。予美罗培南(1.0 g, ivgtt, q8h)+左氧氟沙星氯化钠注射液(0.5 g, ivgtt, qd)抗感染治疗,患者狼疮性肺炎不能排除,予甲泼尼龙(40 mg,静脉注射,qd)治疗,白眉蛇毒血凝酶(1ku, iv, q12h)止血、呋塞米(20 mg, po, qd)+螺内酯(20 mg, po, qd)利尿。盐酸沙丁胺醇+布地奈德混悬液+异丙托溴胺雾化治疗,奥美拉唑护胃,莫沙比利促进胃肠动力以及维持内环境稳定等治疗。
|
| 图 1 患者2022-03-22胸部CT检查影像 |
|
|
患者经验性抗感染治疗后症状进行性加重,仍诉咳嗽咯血,胸闷气促,无发热。氧合指数进行性下降(最低值102),经会诊后于2022-03-24转入ICU,予经鼻高流量氧疗(FiO2: 90%,流速50 L/min)。复查血常规:WBC 8.57×109/L、HGB 69.00 g/L、PLT 141.00×109/L。CRP 90.14 mg/L,PCT 0.44 ng/mL,IL-6 211.40 pg/mL。Scr 141.43μmol/L、UA 372.60 μmol/L、BUN 12.87 mmol/L。凝血功能:D-二聚体0.57 μg/mL、余正常。心肌酶谱和肌钙蛋白正常,核周型抗中性粒细胞胞浆抗体(典型)阳性、抗核抗体(ANA)强阳性、ANA滴度1∶320(正常参考值< 1∶100),天然SS-A抗体强阳性、抗Ro-52抗体强阳性、抗SS-B抗体强阳性,抗心磷脂抗体阴性。血气示:pH 7.388、PaCO2 32.6 mmHg、PaO2 77.9 mmHg(FiO2 90%)、BE-5.4 mmol/L、HCO3- 19.6 mmol/L、Lac 1.6 mmol/L。支气管镜灌洗液呈血性,提示大量含铁血黄素组织细胞。3次痰培养抗酸染色、革兰氏染色阴性,2次血和痰培养未见细菌和真菌。胸部DR:两肺见广泛片絮状高密度影,右肺见片状实变影,较前明显进展(图 2A)。结合患者胸片和肺部CT表现,考虑急性重症狼疮性肺炎,弥散性肺泡出血。停美罗培南,改用哌拉西林他唑巴坦钠(4.5 g, ivgtt, q8h)+伏立康唑(0.2 g, ivgtt, q12h)+SMZ(2片,po,q12h)预防院内感染、真菌感染及非典型病原体感染,继续予甲泼尼龙静脉注射(40 mg,qd)治疗。
|
| A:2022-03-24检查示两肺见广泛片絮状高密度影,右肺见片状实变影,较2022-03-22前明显进展;B:2022-03-29检查示双肺见散在片絮状高密度影,双侧肋隔角锐利,较022-03-24明显改善 图 2 患者胸部DR检查影像 |
|
|
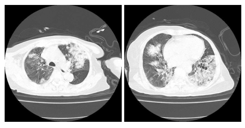
患者仍然诉胸闷,呼吸窘迫、咯血,伴有血色素进行下降,2次粪便隐血试验阳性。患者既往有股骨头坏死和肿瘤病史,拒绝激素冲击和免疫制剂治疗。为尽快改善症状,行血浆置换术(3 000 mL,qd),继续维持甲泼尼龙原治疗,加强护胃。经过连续5次血浆置换后,呼吸困难、咳嗽明显改善,无咯血。2022-03-29患者高流量吸氧改为普通吸氧,3.0 L/min,各项检查值:SaO2 97%~99%,WBC 8.16×109/L、中性粒细胞计数(NEUT)7.56×109/L、HGB 82.00 g/L。CRP 7.06 mg/L,IL-6 4.10 pg/mL,PCT 0.16 ng/mL,ESR 15.1 mm/h,Scr 111.20 μmol/L,总胆红素(TBIL)26.62 μmol/L、白蛋白(ALB)39.32 g/L、肝功能、电解质正常。核周型抗中性粒细胞胞浆抗体(典型)弱阳性、抗核抗体(ANA)强阳性、ANA滴度1∶100,天然SS-A抗体弱阳性、抗Ro-52抗体弱阳性、抗SS-B抗体弱阳性,抗心磷脂抗体阴性。胸部DR提示:双肺见片絮状高密度影,较前改善(图 2B)。2022-03-31复查胸部CT提示:双肺见多发磨玻璃样及片状高密度影,部分实变,较前吸收好转(图 3)。患者自动出院,出院口服泼尼松(40 mg,1次/d)和羟氯喹(200 mg,2次/d)治疗,并序贯减量,出院后2周(见附图 1A和图 1B)以及第6周胸部CT(见附图 1C和图 1D)随访较前进一步改善。
|
| 图 3 患者2022-03-31胸部CT检查影像 |
|
|
系统性红斑狼疮(systemic lupus erythematosus, SLE)以多种形式不同程度的影响肺部,主要表现为肺实质损伤(包括间质性肺炎和肺炎)、胸膜炎、胸腔积液、弥漫性肺泡出血、膈肌无力、肺血管疾病(肺动脉高压、肺栓塞和肺血管炎)等[4-5]。在迟发性SLE患者(大于50岁)中肺部受累更常见,约为早发组的三倍[6]。咳嗽、呼吸困难是SLE肺部损害最常见的症状或者首发症状,血清低补体水平与高抗anti dsDNA和肺部受累有明显相关性,并且这些肺部受累与较高的病死率有关,也是SLE造成死亡最常见的原因[5, 7]。急性狼疮性肺炎(acute lupus pneumonitis, ALP)的发病机制是由于体内免疫复合物沉积导致补体激活,导致肺部组织受损[2]。ALP发病率低于5%[3, 8],常常伴有多个系统受累,包括狼疮肾炎、胸膜炎、血管炎、关节炎,部分患者会迅速恶化进展为多器官功能障碍。组织学病理特征是非特异性肺泡壁损伤和坏死、肺泡水肿和出血,炎性细胞浸润,可伴有透明膜形成,免疫荧光下可见Ig及补体的沉积[4]。
ALP与常规肺炎临床表现具有相似性,但起病急,治疗难度较大,其病死率高达50%,及时准确地诊治十分关键,失治或误治极易耽误病情,影响预后[3]。早期鉴别ALP患者首先有SLE病史,出现咯血,呼吸困难,低氧血症等症状,然后在此基础上排除肺部感染,再结合胸部影像学特点和临床支气管镜检查,可以做出诊断。然而ALP患者常常合并肺部感染,细菌感染最常见,其次是结核分枝杆菌、真菌以及病毒[7]。临床上很难在早期将ALP与常规肺部感染进行区别,肺部组织活检依然是最直接,最准确的手段,但是在临床上普及性并不高。对于合并肺部感染或者容易误诊或者漏诊,推荐通过支气管镜肺泡灌洗液寻找潜在的细菌、真菌以及病毒等病原学证据,并在未明确病原学之前予经验性广覆盖抗感染治疗,部分患者在排除感染因素后甚至需要肺活检排除其它病因[4]。
弥漫性肺泡出血(diffuse alveolar hemorrhage, DAH)是SLE罕见且致命的并发症,临床表现为发热、咳嗽、呼吸困难,CT显示磨玻璃样浸润,DAH诊断率很低,有时很难与ALP以及其它肺部相关疾病区别开来。但是DAH多伴有血红蛋白急剧下降,支气管镜灌洗液呈血性,可见铁血黄素组织细胞,在排除凝血功能障碍疾病、肺梗死以及急性肺水肿等疾病后可做出诊断[4]。SLE患者并发ALP合并DAH临床十分罕见,诊断相对单一的ALP或DAH更困难。该患者既往有慢阻肺病史,入院初步考虑慢阻肺急性加重期、肺部感染,同时患者狼疮性肺炎不能排除,予美罗培南抗联合左氧氟沙星抗感染治疗,甲泼尼龙兼顾ALP。但是患者临床症状无明显改善,且进行性加重,转入ICU复查自身免疫相关指标呈强阳性,支气管镜检查灌洗液呈血性,大量含铁血黄素组织细胞,多次痰培养未检出病原微生物,结合患者影像学表现,提示急性狼疮性肺炎,弥散性肺泡内出血。停美罗培南和莫西沙星,予哌拉西林他唑巴坦+伏立康唑+SMZ预防院内感染、真菌以及非典型病原体感染,继续予静脉甲泼尼龙治疗。
目前糖皮质激素是SLE以及ALP或DAH治疗的基础。严重ALP患者需要激素冲击治疗(0.5~1.0 g/d),可联合免疫抑制剂,此外还有静脉注射人免疫球蛋白,生物制剂等[9]。尽管如此,SLE患者治疗仍面临着巨大挑战,预后很差,总体死亡率接近50%[4]。本例患者入院怀疑ALP,予静脉甲泼尼龙(40 mg,qd)治疗,转入ICU后排除肺部感染,确诊为ALP和弥散性肺泡内出血,甲泼尼龙治疗后患者病情仍然进行性加重,伴有顽固低氧血症。指南推荐对于严重SLE患者推荐大剂量激素冲击治疗,国内外有文献报道应用激素冲击治疗成功救治ALP患者[10-11]。但是大剂量激素冲击治疗有诸多严重不良反应,如股骨头坏死、消化道出血、肺部感染以及脆性骨折等[12]。本例患者有双侧股骨头坏死病史、左侧髋关节置换术病史以及肿瘤病史,激素治疗期间粪便隐血试验阳性,有较高的激素和免疫制剂冲击治疗风险,患者拒绝激素和免疫抑制剂冲击治疗。血浆置换可以清除血浆中大分子物质(包括致病的自身抗体、循环免疫复合物、补体、轻链蛋白、内毒素及大分子脂蛋白等),从而有效的清除阻断自身免疫物质及血清毒素对自身组织的损伤,延缓疾病的进展,改善肺功能[13-14]。指南推荐对于重症难治性SLE患者可以尝试血浆置换辅助治疗与糖皮质激素和其他免疫抑制剂联合使用,并且在儿童重症SLE获得比较满意的治疗效果,若合并感染可联合使用静脉注射人免疫球蛋白[9]。文献报道了其在SLE以及合并ALP患者中疗效[15-16]。本例SLE患者合并ALP以及弥散性肺泡内出血,血浆置换可作为弥散性肺泡内出血的辅助治疗措施,可短期改善患者临床症状[17]。患者连续5次血浆置换治疗后反应良好,短期内病情以及影像学均有明显好转。与既往文献报道不同的是该患者没有接受激素冲击治疗,也没有使用免疫抑制剂,在普通剂量激素治疗无效的基础上直接进行血浆置换治疗,为难治性SLE患者合并ALP以及弥散性肺泡内出血提供了另一种相对有效的治疗思路。
综上所述,ALP以及弥漫性肺泡出血是SLE少见且危险的并发症,对于SLE合并ALP以及弥漫性肺泡出血患者应早期诊断,及时治疗,从而改善患者长期预后。糖皮质激素及免疫抑制剂(特别是环磷酰胺)仍是SLE治疗的主要药物。在常规治疗无效的基础上或者患者不能耐受大剂量糖皮质激素及免疫抑制剂治疗时,可考虑进行血浆置换治疗改善患者临床症状。
利益冲突 所有作者声明无利益冲突
| [1] | Wan SA, Teh CL, Jobli AT. Lupus pneumonitis as the initial presentation of systemic lupus erythematosus: case series from a single institution[J]. Lupus, 2016, 25(13): 1485-1490. DOI:10.1177/0961203316646461 |
| [2] | 谭婷, 何英. 急性狼疮性肺炎的治疗概述[J]. 中国中医急症, 2016, 25(5) 858-859, 867. DOI:10.3969/j.issn.1004-745X.2016.05.032 |
| [3] | 杨吉娟, 池淑红. 系统性红斑狼疮的肺损害[J]. 中国实用内科杂志, 2021, 41(9) 749-752, 756. DOI:10.19538/j.nk2021090104 |
| [4] | Kamen DL, Strange C. Pulmonary manifestations of systemic lupus erythematosus[J]. Clin Chest Med, 2010, 31(3): 479-488. DOI:10.1016/j.ccm.2010.05.001 |
| [5] | Amarnani R, Yeoh SA, Denneny EK, et al. Lupus and the lungs: the assessment and management of pulmonary manifestations of systemic lupus erythematosus[J]. Front Med (Lausanne), 2020, 7: 610257. DOI:10.3389/fmed.2020.610257 |
| [6] | Medlin JL, Hansen KE, McCoy SS, et al. Pulmonary manifestations in late versus early systemic lupus erythematosus: a systematic review and meta-analysis[J]. Semin Arthritis Rheum, 2018, 48(2): 198-204. DOI:10.1016/j.semarthrit.2018.01.010 |
| [7] | Aguilera-Pickens G, Abud-Mendoza C. Pulmonary manifestations in systemic lupus erythematosus: pleural involvement, acute pneumonitis, chronic interstitial lung disease and diffuse alveolar hemorrhage[J]. Reumatol Clin (Engl Ed), 2018, 14(5): 294-300. DOI:10.1016/j.reuma.2018.03.012 |
| [8] | 林禾, 林滇恬. 系统性红斑狼疮的肺部损害[J]. 浙江医学, 2018, 40(22) 2403-2407, 2410. DOI:10.12056/j.issn.1006-2785.2018.40.22.2018-1646 |
| [9] | 中华医学会风湿病学分会, 国家皮肤与免疫疾病临床医学研究中心, 中国系统性红斑狼疮研究协作组. 2020中国系统性红斑狼疮诊疗指南[J]. 中华内科杂志, 2020, 59(3): 172-185. DOI:10.3760/cma.j.issn.0578-1426.2020.03.002 |
| [10] | 翟惠芬, 陈乐天. 急性狼疮性肺炎一例[J]. 中国呼吸与危重监护杂志, 2015, 14(5): 502-504. DOI:10.7507/1671-6205.2015123 |
| [11] | Singh A, Kaur R. Non-invasive ventilation in patients with acute lupus pneumonitis: a case report and review of literature[J]. Lung India, 2012, 29(3): 270-272. DOI:10.4103/0970-2113.99115 |
| [12] | 朱亚男, 张文. 系统性红斑狼疮并发无菌性骨坏死与糖皮质激素使用相关性的荟萃分析[J]. 中华临床免疫和变态反应杂志, 2018, 12(2): 178-184. DOI:10.3969/j.issn.1673-8705.2018.02.008 |
| [13] | 夏璐, 牛培元, 陶琳. 双重血浆置换对系统性红斑狼疮肺间质病变患者肺功能的影响[J]. 成都医学院学报, 2019, 14(1): 44-47. DOI:10.3969/j.issn.1674-2257.2019.01.010 |
| [14] | 夏芳芳, 鲁芙爱, 吕慧敏, 等. 系统性红斑狼疮伴间质性肺炎的临床特点及相关因素分析[J]. 北京大学学报(医学版), 2021, 53(2): 266-272. DOI:10.19723/j.issn.1671-167X.2021.02.006 |
| [15] | Dhungana A, Shrestha P, Shrestha BD, et al. Diffuse alveolar haemorrhage as initial presentation of systemic lupus erythematosus: a case report[J]. JNMA J Nepal Med Assoc, 2018, 56(214): 970-973. DOI:10.31729/jnma.3903 |
| [16] | 程玉生, 戴山林, 车楠, 等. 急性狼疮性肺炎继发气胸一例并文献复习[J]. 中国呼吸与危重监护杂志, 2017, 16(6): 606-609. DOI:10.7507/1671-6205.201704011 |
2023, Vol. 32



